Revision 2

#49300

Store at -20C

CST Logo
Orders:

877-616-CELL (2355)

[email protected]

Support:

877-678-TECH (8324)

3 Trask Lane | Danvers | Massachusetts | 01923 | USA

For Research Use Only. Not for Use in Diagnostic Procedures.

Applications:
W, IHC-Bond, IHC-P, IF-IC, FC-FP

Reactivity:
H M R

Sensitivity:
Endogenous

MW (kDa):
45-48

Source/Isotype:
Rabbit IgG

UniProt ID:
#P10914

Entrez-Gene Id:
3659

Product Usage Information

This product is the carrier-free version of product #8478. All data were generated using the same antibody clone in the standard formulation which contains BSA and glycerol.

This formulation is ideal for use with technologies requiring specialized or custom antibody labeling, including fluorophores, metals, lanthanides, and oligonucleotides. It is not recommended for ChIP, ChIP-seq, CUT&RUN, or CUT&Tag assays. If you require a carrier-free formulation for chromatin profiling, please contact us. Optimal dilutions/concentrations should be determined by the end user.

BSA and Azide Free antibodies are quality control tested by size exclusion chromatography (SEC) to determine antibody integrity.

Formulation

Supplied in 1X PBS (10 mM Na2HPO4, 3 mM KCl, 2 mM KH2PO4, and 140 mM NaCl (pH 7.8)). BSA and Azide Free.

For standard formulation of this product see product #8478.

Storage

Store at -20°C. This product will freeze at -20°C so it is recommended to aliquot into single-use vials to avoid multiple freeze/thaw cycles. A slight precipitate may be present and can be dissolved by gently vortexing. This will not interfere with antibody performance.

Specificity/Sensitivity

IRF-1 (D5E4) Rabbit Monoclonal Antibody (BSA and Azide Free) recognizes endogenous levels of total IRF-1 protein.

Source / Purification

Monoclonal antibody is produced by immunizing animals with a synthetic peptide corresponding to residues surrounding Pro261 of human IRF-1 protein.

Background

Interferon regulatory factors (IRFs) comprise a family of transcription factors that function within the Jak/Stat pathway to regulate interferon (IFN) and IFN-inducible gene expression in response to viral infection (1). IRFs play an important role in pathogen defense, autoimmunity, lymphocyte development, cell growth, and susceptibility to transformation. The IRF family includes nine members: IRF-1, IRF-2, IRF-9/ISGF3γ, IRF-3, IRF-4 (Pip/LSIRF/ICSAT), IRF-5, IRF-6, IRF-7, and IRF-8/ICSBP. All IRF proteins share homology in their amino-terminal DNA-binding domains. IRF family members regulate transcription through interactions with proteins that share similar DNA-binding motifs, such as IFN-stimulated response elements (ISRE), IFN consensus sequences (ICS), and IFN regulatory elements (IRF-E) (2).

The IRF-1 transcription factor was originally identified as a regulator of virus-inducible enhancer-like elements of the IFN-β gene (3). IRF-1 is widely expressed and upregulated by viral infection or stimulation with IFN or other cytokines. IRF-1 is serine-phosphorylated by casein kinase II (CKII) at two clustered sites, one in the DNA-binding domain (amino acids 138-150) and another in the transactivation domain (amino acids 219-231) (4). Mutation analysis of the latter site suggests that these phosphorylation sites help regulate IRF-1 activity. Tyrosine phosphorylation has also been shown to be important in IFN-γ-mediated differentiation of myeloid cell lines (5). C-terminal SUMOylated IRF-1 inhibits apoptosis in tumor cells by repression of its transcriptional activity (6).

Species Reactivity

Species reactivity is determined by testing in at least one approved application (e.g., western blot).

Applications Key

W: Western Blotting IHC-Bond: IHC Leica Bond IHC-P: Immunohistochemistry (Paraffin) IF-IC: Immunofluorescence (Immunocytochemistry) FC-FP: Flow Cytometry (Fixed/Permeabilized)

Cross-Reactivity Key

H: Human M: Mouse R: Rat

Trademarks and Patents

Cell Signaling Technology is a trademark of Cell Signaling Technology, Inc.

SignalStain is a registered trademark of Cell Signaling Technology, Inc.

KARPAS cell line source: Dr. Abraham Karpas at the University of Cambridge.

All other trademarks are the property of their respective owners. Visit cellsignal.com/trademarks for more information.

Limited Uses

Except as otherwise expressly agreed in a writing signed by a legally authorized representative of CST, the following terms apply to Products provided by CST, its affiliates or its distributors. Any Customer's terms and conditions that are in addition to, or different from, those contained herein, unless separately accepted in writing by a legally authorized representative of CST, are rejected and are of no force or effect.

Products are labeled with For Research Use Only or a similar labeling statement and have not been approved, cleared, or licensed by the FDA or other regulatory foreign or domestic entity, for any purpose. Customer shall not use any Product for any diagnostic or therapeutic purpose, or otherwise in any manner that conflicts with its labeling statement. Products sold or licensed by CST are provided for Customer as the end-user and solely for research and development uses. Any use of Product for diagnostic, prophylactic or therapeutic purposes, or any purchase of Product for resale (alone or as a component) or other commercial purpose, requires a separate license from CST. Customer shall (a) not sell, license, loan, donate or otherwise transfer or make available any Product to any third party, whether alone or in combination with other materials, or use the Products to manufacture any commercial products, (b) not copy, modify, reverse engineer, decompile, disassemble or otherwise attempt to discover the underlying structure or technology of the Products, or use the Products for the purpose of developing any products or services that would compete with CST products or services, (c) not alter or remove from the Products any trademarks, trade names, logos, patent or copyright notices or markings, (d) use the Products solely in accordance with CST Product Terms of Sale and any applicable documentation, and (e) comply with any license, terms of service or similar agreement with respect to any third party products or services used by Customer in connection with the Products.

Orders: 877-616-CELL (2355) [email protected] Support: 877-678-TECH (8324) [email protected] Web: cellsignal.com
For Research Use Only. Not for Use in Diagnostic Procedures.

Revision 2

Cell Signaling Technology Logo
Western blot analysis of extracts from THP-1, NK-92, and KARPAS-299 cells using IRF-1 (D5E4) XP® Rabbit mAb. Data were generated using the standard formulation of this product.
Western Blotting Image 1: IRF-1 (D5E4) Rabbit Monoclonal Antibody (BSA and Azide Free)
Western blot analysis of HeLa cells, untreated (-) or treated with Human Interferon-γ (hIFN-γ) (100 ng/mL, 4 hr; +), using IRF-1 (D5E4) XP® Rabbit mAb. Data were generated using the standard formulation of this product.
Western Blotting Image 2: IRF-1 (D5E4) Rabbit Monoclonal Antibody (BSA and Azide Free)
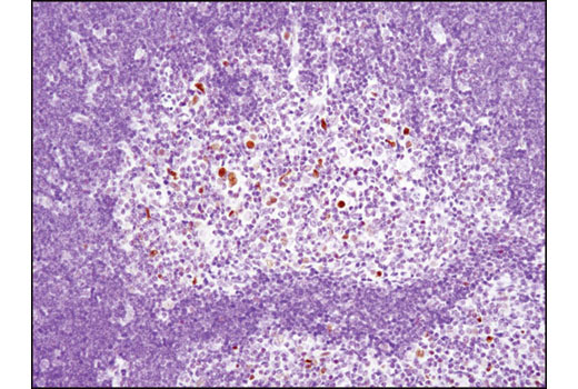
Immunohistochemical analysis of paraffin-embedded mouse thymus using IRF-1 (D5E4) XP® Rabbit mAb performed on the Leica® BOND™ Rx. Data were generated using the standard formulation of this product.
Immunohistochemistry Image 1: IRF-1 (D5E4) Rabbit Monoclonal Antibody (BSA and Azide Free)
Orders: 877-616-CELL (2355) [email protected] Support: 877-678-TECH (8324) [email protected] Web: cellsignal.com
For Research Use Only. Not for Use in Diagnostic Procedures.

Revision 2

Cell Signaling Technology Logo
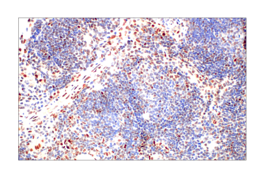
Immunohistochemical analysis of paraffin-embedded mouse thymus using IRF-1 (D5E4) XP® Rabbit mAb. Data were generated using the standard formulation of this product.
Immunohistochemistry Image 1: IRF-1 (D5E4) Rabbit Monoclonal Antibody (BSA and Azide Free)
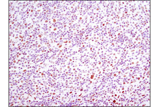
Imunohistochemical analysis of paraffin-embedded human lymphoma using IRF-1 (D5E4) XP® Rabbit mAb. Data were generated using the standard formulation of this product.
Immunohistochemistry Image 2: IRF-1 (D5E4) Rabbit Monoclonal Antibody (BSA and Azide Free)
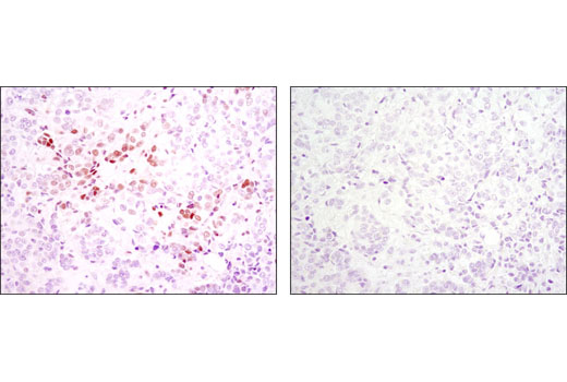
Imunohistochemical analysis of paraffin-embedded human breast carcinoma using IRF-1 (D5E4) XP® Rabbit mAb in the presence of control peptide (left) or antigen-specific peptide (right). Data were generated using the standard formulation of this product.
Immunohistochemistry Image 3: IRF-1 (D5E4) Rabbit Monoclonal Antibody (BSA and Azide Free)
Orders: 877-616-CELL (2355) [email protected] Support: 877-678-TECH (8324) [email protected] Web: cellsignal.com
For Research Use Only. Not for Use in Diagnostic Procedures.

Revision 2

Cell Signaling Technology Logo
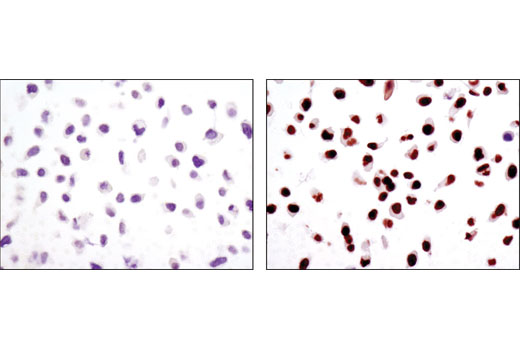
Imunohistochemical analysis of paraffin-embedded HeLa cell pellets, control (left) or IFN gamma-treated (right), using IRF-1 (D5E4) XP® Rabbit mAb. Data were generated using the standard formulation of this product.
Immunohistochemistry Image 4: IRF-1 (D5E4) Rabbit Monoclonal Antibody (BSA and Azide Free)
Confocal immunofluorescent analysis of HeLa cells, serum-starved (left) or treated with Human Interferon-γ (hIFN-γ) (100 ng/mL, 4 hr; right), using IRF-1 (D5E4) XP® Rabbit mAb (green) and DyLight™ 554 Phalloidin #13054 (red). Data were generated using the standard formulation of this product.
Immunofluorescence Image 1: IRF-1 (D5E4) Rabbit Monoclonal Antibody (BSA and Azide Free)
Flow cytometric analysis of HeLa cells, untreated (blue) or treated with Human Interferon-γ (hIFN-γ) (green), using IRF-1 (D5E4) XP® Rabbit mAb. Data were generated using the standard formulation of this product.
Flow Cytometry Image 1: IRF-1 (D5E4) Rabbit Monoclonal Antibody (BSA and Azide Free)
Orders: 877-616-CELL (2355) [email protected] Support: 877-678-TECH (8324) [email protected] Web: cellsignal.com
For Research Use Only. Not for Use in Diagnostic Procedures.