Revision 6

#76983

Store at -20C

CST Logo
Orders:

877-616-CELL (2355)

[email protected]

Support:

877-678-TECH (8324)

3 Trask Lane | Danvers | Massachusetts | 01923 | USA

For Research Use Only. Not for Use in Diagnostic Procedures.

Applications:
W, IP, IHC-Bond, IHC-P, IF-IC, FC-FP

Reactivity:
H

Sensitivity:
Endogenous

MW (kDa):
60

Source/Isotype:
Rabbit IgG

UniProt ID:
#Q13568

Entrez-Gene Id:
3663

Product Usage Information

Application Dilution
Western Blotting 1:1000
Immunoprecipitation 1:100
IHC Leica Bond 1:125 - 1:500
Immunohistochemistry (Paraffin) 1:250 - 1:1000
Immunofluorescence (Immunocytochemistry) 1:50 - 1:200
Flow Cytometry (Fixed/Permeabilized) 1:50 - 1:200

Storage

Supplied in 10 mM sodium HEPES (pH 7.5), 150 mM NaCl, 100 µg/ml BSA, 50% glycerol and less than 0.02% sodium azide. Store at –20°C. Do not aliquot the antibody.

For a carrier-free (BSA and azide free) version of this product see product #35187.

Specificity/Sensitivity

IRF-5 (E7F9W) Rabbit Monoclonal Antibody recognizes endogenous levels of total IRF-5 protein.

Source / Purification

Monoclonal antibody is produced by immunizing animals with a synthetic peptide corresponding to residues surrounding Gly480 of human IRF-5 protein.

Background

Interferon regulatory factors (IRFs) comprise a family of transcription factors that function within the Jak/Stat pathway to regulate interferon (IFN) and IFN-inducible gene expression in response to viral infection (1). IRFs play an important role in pathogen defense, autoimmunity, lymphocyte development, cell growth, and susceptibility to transformation. The IRF family includes nine members: IRF-1, IRF-2, IRF-9/ISGF3γ, IRF-3, IRF-4 (Pip/LSIRF/ICSAT), IRF-5, IRF-6, IRF-7, and IRF-8/ICSBP. All IRF proteins share homology in their amino-terminal DNA-binding domains. IRF family members regulate transcription through interactions with proteins that share similar DNA-binding motifs, such as IFN-stimulated response elements (ISRE), IFN consensus sequences (ICS), and IFN regulatory elements (IRF-E) (2).

Species Reactivity

Species reactivity is determined by testing in at least one approved application (e.g., western blot).

Western Blot Buffer

IMPORTANT: For western blots, incubate membrane with diluted primary antibody in 5% w/v BSA, 1X TBS, 0.1% Tween® 20 at 4°C with gentle shaking, overnight.

Applications Key

W: Western Blotting IP: Immunoprecipitation IHC-Bond: IHC Leica Bond IHC-P: Immunohistochemistry (Paraffin) IF-IC: Immunofluorescence (Immunocytochemistry) FC-FP: Flow Cytometry (Fixed/Permeabilized)

Cross-Reactivity Key

H: Human

Trademarks and Patents

Cell Signaling Technology is a trademark of Cell Signaling Technology, Inc.

Alexa Fluor is a registered trademark of Life Technologies Corporation.

All other trademarks are the property of their respective owners. Visit cellsignal.com/trademarks for more information.

Limited Uses

Except as otherwise expressly agreed in a writing signed by a legally authorized representative of CST, the following terms apply to Products provided by CST, its affiliates or its distributors. Any Customer's terms and conditions that are in addition to, or different from, those contained herein, unless separately accepted in writing by a legally authorized representative of CST, are rejected and are of no force or effect.

Products are labeled with For Research Use Only or a similar labeling statement and have not been approved, cleared, or licensed by the FDA or other regulatory foreign or domestic entity, for any purpose. Customer shall not use any Product for any diagnostic or therapeutic purpose, or otherwise in any manner that conflicts with its labeling statement. Products sold or licensed by CST are provided for Customer as the end-user and solely for research and development uses. Any use of Product for diagnostic, prophylactic or therapeutic purposes, or any purchase of Product for resale (alone or as a component) or other commercial purpose, requires a separate license from CST. Customer shall (a) not sell, license, loan, donate or otherwise transfer or make available any Product to any third party, whether alone or in combination with other materials, or use the Products to manufacture any commercial products, (b) not copy, modify, reverse engineer, decompile, disassemble or otherwise attempt to discover the underlying structure or technology of the Products, or use the Products for the purpose of developing any products or services that would compete with CST products or services, (c) not alter or remove from the Products any trademarks, trade names, logos, patent or copyright notices or markings, (d) use the Products solely in accordance with CST Product Terms of Sale and any applicable documentation, and (e) comply with any license, terms of service or similar agreement with respect to any third party products or services used by Customer in connection with the Products.

Orders: 877-616-CELL (2355) [email protected] Support: 877-678-TECH (8324) [email protected] Web: cellsignal.com
For Research Use Only. Not for Use in Diagnostic Procedures.

Revision 6

Cell Signaling Technology Logo
Western blot analysis of extracts from various cell lines using IRF-5 (E7F9W) Rabbit mAb (upper) or β-Actin (D6A8) Rabbit mAb #8457 (lower).
Western Blotting Image 1: IRF-5 (E7F9W) Rabbit Monoclonal Antibody
Immunoprecipitation of IRF-5 protein from HDLM-2 cell extracts. Lane 1 is 10% input, lane 2 is Rabbit (DA1E) mAb IgG XP® Isotype Control #3900, and lane 3 is IRF-5 (E7F9W) Rabbit mAb. Western blot analysis was performed using IRF-5 (E7F9W) Rabbit mAb. Mouse Anti-rabbit IgG (Conformation Specific) (L27A9) mAb (HRP Conjugate) #5127 was used as a secondary antibody.
Immunoprecipitation Image 1: IRF-5 (E7F9W) Rabbit Monoclonal Antibody
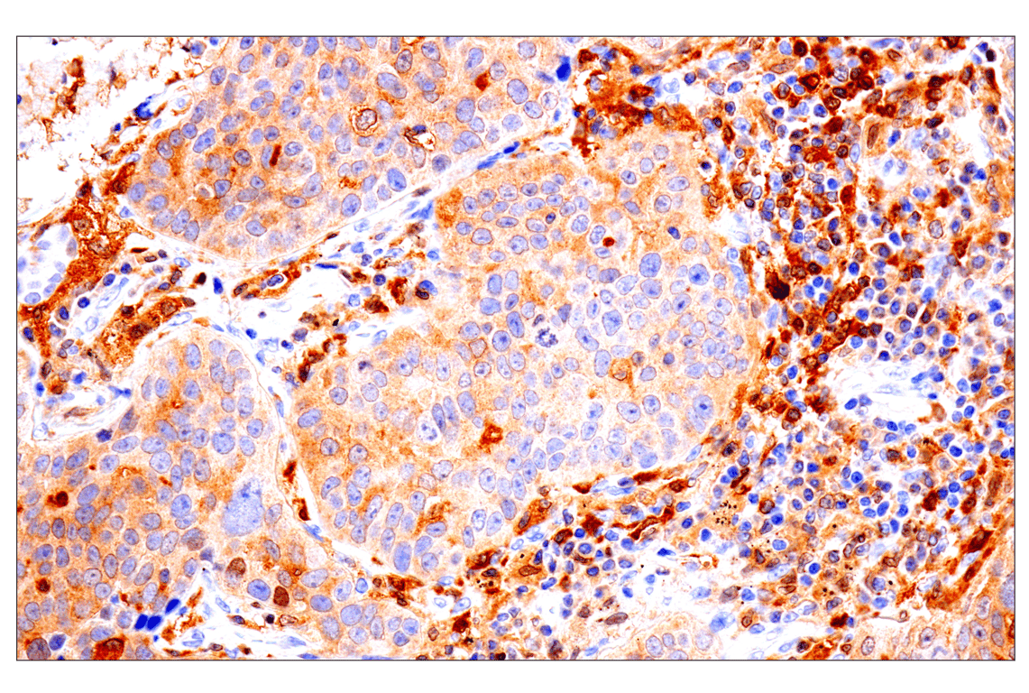
Immunohistochemical analysis of paraffin-embedded human squamous cell lung carcinoma using IRF-5 (E7F9W) Rabbit mAb performed on the Leica BOND RX.
Immunohistochemistry Image 1: IRF-5 (E7F9W) Rabbit Monoclonal Antibody
Orders: 877-616-CELL (2355) [email protected] Support: 877-678-TECH (8324) [email protected] Web: cellsignal.com
For Research Use Only. Not for Use in Diagnostic Procedures.

Revision 6

Cell Signaling Technology Logo
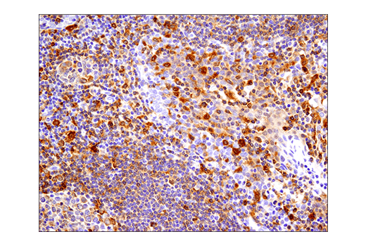
Immunohistochemical analysis of paraffin-embedded human non-Hodgkin lymphoma using IRF-5 (E7F9W) Rabbit mAb performed on the Leica BOND RX.
Immunohistochemistry Image 2: IRF-5 (E7F9W) Rabbit Monoclonal Antibody
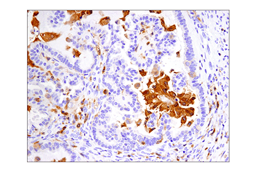
Immunohistochemical analysis of paraffin-embedded human colon adenocarcinoma using IRF-5 (E7F9W) Rabbit mAb performed on the Leica BOND RX.
Immunohistochemistry Image 3: IRF-5 (E7F9W) Rabbit Monoclonal Antibody
Immunohistochemical analysis of paraffin-embedded human mucoepidermoid carcinoma of the larynx using IRF-5 (E7F9W) Rabbit mAb.
Immunohistochemistry Image 1: IRF-5 (E7F9W) Rabbit Monoclonal Antibody
Orders: 877-616-CELL (2355) [email protected] Support: 877-678-TECH (8324) [email protected] Web: cellsignal.com
For Research Use Only. Not for Use in Diagnostic Procedures.

Revision 6

Cell Signaling Technology Logo
Immunohistochemical analysis of paraffin-embedded human neuroendocrine lung carcinoma using IRF-5 (E7F9W) Rabbit mAb.
Immunohistochemistry Image 2: IRF-5 (E7F9W) Rabbit Monoclonal Antibody
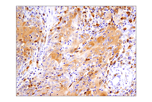
Immunohistochemical analysis of paraffin-embedded human ovarian serous carcinoma using IRF-5 (E7F9W) Rabbit mAb.
Immunohistochemistry Image 3: IRF-5 (E7F9W) Rabbit Monoclonal Antibody
Immunohistochemical analysis of paraffin-embedded human tonsil using IRF-5 (E7F9W) Rabbit mAb.
Immunohistochemistry Image 4: IRF-5 (E7F9W) Rabbit Monoclonal Antibody
Orders: 877-616-CELL (2355) [email protected] Support: 877-678-TECH (8324) [email protected] Web: cellsignal.com
For Research Use Only. Not for Use in Diagnostic Procedures.

Revision 6

Cell Signaling Technology Logo
Immunohistochemical analysis of paraffin-embedded human lung carcinoma using IRF-5 (E7F9W) Rabbit mAb (left) compared to concentration-matched Rabbit (DA1E) mAb IgG XP® Isotype Control #3900 (right). Images depict two fields of view of the same case. Note staining of immune cells (top) and tumor cells (bottom).
Immunohistochemistry Image 5: IRF-5 (E7F9W) Rabbit Monoclonal Antibody
Immunohistochemical analysis of paraffin-embedded HDLM-2 cell pellet (left, positive) or HeLa cell pellet (right, negative) using IRF-5 (E7F9W) Rabbit mAb.
Immunohistochemistry Image 6: IRF-5 (E7F9W) Rabbit Monoclonal Antibody
Confocal immunofluorescent analysis of THP-1 cells treated with TPA (12-O-Tetradecanoylphorbol-13-Acetate) #4174 (80 nM, 16 hr; left, positive) and HeLa cells (right, negative), using IRF-5 (E7F9W) Rabbit mAb (green). Actin filaments were labeled with Alexa Fluor® 647 Phalloidin #8940 (red). Samples were mounted in ProLong® Gold Antifade Reagent with DAPI #8961 (blue).
Immunofluorescence Image 1: IRF-5 (E7F9W) Rabbit Monoclonal Antibody
Orders: 877-616-CELL (2355) [email protected] Support: 877-678-TECH (8324) [email protected] Web: cellsignal.com
For Research Use Only. Not for Use in Diagnostic Procedures.

Revision 6

Cell Signaling Technology Logo
Flow cytometric analysis of Jurkat cells (blue) and U-937 cells (green) using IRF-5 (E7F9W) Rabbit mAb (solid lines) or a concentration-matched Rabbit (DA1E) mAb IgG XP® Isotype Control #3900 (dashed lines). Anti-rabbit IgG (H+L), F(ab')2 Fragment (Alexa Fluor® 488 Conjugate) #4412 was used as a secondary antibody.
Flow Cytometry Image 1: IRF-5 (E7F9W) Rabbit Monoclonal Antibody
Orders: 877-616-CELL (2355) [email protected] Support: 877-678-TECH (8324) [email protected] Web: cellsignal.com
For Research Use Only. Not for Use in Diagnostic Procedures.