Revision 4

#77215

Store at -20C

CST Logo
Orders:

877-616-CELL (2355)

[email protected]

Support:

877-678-TECH (8324)

3 Trask Lane | Danvers | Massachusetts | 01923 | USA

For Research Use Only. Not for Use in Diagnostic Procedures.

Applications:
W, IP, FC-FP

Reactivity:
H

Sensitivity:
Endogenous

MW (kDa):
72

Source/Isotype:
Rabbit IgG

UniProt ID:
#Q08881

Entrez-Gene Id:
3702

Product Usage Information

Application Dilution
Western Blotting 1:1000
Immunoprecipitation 1:100
Flow Cytometry (Fixed/Permeabilized) 1:50

Storage

Supplied in 10 mM sodium HEPES (pH 7.5), 150 mM NaCl, 100 µg/ml BSA, 50% glycerol and less than 0.02% sodium azide. Store at –20°C. Do not aliquot the antibody.

For a carrier free (BSA and azide free) version of this product see product #24573.

Specificity/Sensitivity

ITK (E4X7M) Rabbit Monoclonal Antibody recognizes endogenous levels of total ITK protein.

Source / Purification

Monoclonal antibody is produced by immunizing animals with a synthetic peptide corresponding to residues near the carboxy terminus of human ITK protein.

Background

Interleukin-2 inducible T cell kinase (Itk, Emt, or Tsk) is a member of the non-receptor protein tyrosine kinases. Family members of Itk include Tec, Btk, Rlk, and Bmx and are all defined by a common structure: an amino-terminal PH domain, a Tec-homology domain, and an SH3 and SH2 domain followed by a carboxy-terminal kinase domain (1). Tec, Rlk, and Itk are expressed in T cells and activated in response to T cell receptor (TCR) engagement. Data demonstrate that Itk functions in signal transduction downstream of TCR and activates PLCgamma1 and Erk. Lck directly activates Itk through phosphorylation in the conserved activation loop at Tyr511, and furthermore, Itk is autophosphorylated in the SH3 domain at Tyr180. Itk-Y180F is still capable of phosphorylating PLCgamma1 in contrast to Itk-Y511F, which has lost that function (2-3). Itk -/- mice show reduced lung inflammation, eosinophil infiltration, and mucous production in response to allergic asthma induction. Thus, Itk could become a desirable target for anti-asthmatic treatments (4).

Species Reactivity

Species reactivity is determined by testing in at least one approved application (e.g., western blot).

Western Blot Buffer

IMPORTANT: For western blots, incubate membrane with diluted primary antibody in 5% w/v BSA, 1X TBS, 0.1% Tween® 20 at 4°C with gentle shaking, overnight.

Applications Key

W: Western Blotting IP: Immunoprecipitation FC-FP: Flow Cytometry (Fixed/Permeabilized)

Cross-Reactivity Key

H: Human

Trademarks and Patents

Cell Signaling Technology is a trademark of Cell Signaling Technology, Inc.

Alexa Fluor is a registered trademark of Life Technologies Corporation.

All other trademarks are the property of their respective owners. Visit cellsignal.com/trademarks for more information.

Limited Uses

Except as otherwise expressly agreed in a writing signed by a legally authorized representative of CST, the following terms apply to Products provided by CST, its affiliates or its distributors. Any Customer's terms and conditions that are in addition to, or different from, those contained herein, unless separately accepted in writing by a legally authorized representative of CST, are rejected and are of no force or effect.

Products are labeled with For Research Use Only or a similar labeling statement and have not been approved, cleared, or licensed by the FDA or other regulatory foreign or domestic entity, for any purpose. Customer shall not use any Product for any diagnostic or therapeutic purpose, or otherwise in any manner that conflicts with its labeling statement. Products sold or licensed by CST are provided for Customer as the end-user and solely for research and development uses. Any use of Product for diagnostic, prophylactic or therapeutic purposes, or any purchase of Product for resale (alone or as a component) or other commercial purpose, requires a separate license from CST. Customer shall (a) not sell, license, loan, donate or otherwise transfer or make available any Product to any third party, whether alone or in combination with other materials, or use the Products to manufacture any commercial products, (b) not copy, modify, reverse engineer, decompile, disassemble or otherwise attempt to discover the underlying structure or technology of the Products, or use the Products for the purpose of developing any products or services that would compete with CST products or services, (c) not alter or remove from the Products any trademarks, trade names, logos, patent or copyright notices or markings, (d) use the Products solely in accordance with CST Product Terms of Sale and any applicable documentation, and (e) comply with any license, terms of service or similar agreement with respect to any third party products or services used by Customer in connection with the Products.

Orders: 877-616-CELL (2355) [email protected] Support: 877-678-TECH (8324) [email protected] Web: cellsignal.com
For Research Use Only. Not for Use in Diagnostic Procedures.

Revision 4

Cell Signaling Technology Logo
Western blot analysis of extracts from various cell lines using ITK (E4X7M) Rabbit mAb (upper) or β-Actin (D6A8) Rabbit mAb #8457 (lower).
Western Blotting Image 1: ITK (E4X7M) Rabbit Monoclonal Antibody
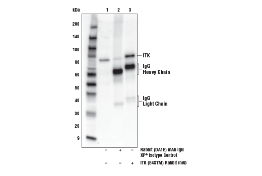
Immunoprecipitation of ITK from Jurkat cell extracts. Lane 1 is 10% input, lane 2 is Rabbit (DA1E) mAb IgG XP® Isotype Control #3900, and lane 3 is ITK (E4X7M) Rabbit mAb. Western blot analysis was performed using ITK (E4X7M) Rabbit mAb.
Immunoprecipitation Image 1: ITK (E4X7M) Rabbit Monoclonal Antibody
Flow cytometric analysis of Ramos cells (blue) and Jurkat cells (green) using ITK (E4X7M) Rabbit mAb (solid lines) or a concentration-matched Rabbit (DA1E) mAb IgG XP® Isotype Control #3900 (dashed lines). Anti-rabbit IgG (H+L), F(ab')2 Fragment (Alexa Fluor® 488 Conjugate) #4412 was used as a secondary antibody.
Flow Cytometry Image 1: ITK (E4X7M) Rabbit Monoclonal Antibody
Orders: 877-616-CELL (2355) [email protected] Support: 877-678-TECH (8324) [email protected] Web: cellsignal.com
For Research Use Only. Not for Use in Diagnostic Procedures.