Revision 4

#70109

Store at -20C

CST Logo
Orders:

877-616-CELL (2355)

[email protected]

Support:

877-678-TECH (8324)

3 Trask Lane | Danvers | Massachusetts | 01923 | USA

For Research Use Only. Not for Use in Diagnostic Procedures.

Applications:
W, IP, IHC-P, FC-FP

Reactivity:
H M Mk

Sensitivity:
Endogenous

MW (kDa):
180

Source/Isotype:
Rabbit IgG

UniProt ID:
#P78504

Entrez-Gene Id:
182

Product Usage Information

Application Dilution
Western Blotting 1:1000
Immunoprecipitation 1:200
Immunohistochemistry (Paraffin) 1:200
Flow Cytometry (Fixed/Permeabilized) 1:50

Storage

Supplied in 10 mM sodium HEPES (pH 7.5), 150 mM NaCl, 100 µg/ml BSA, 50% glycerol and less than 0.02% sodium azide. Store at –20°C. Do not aliquot the antibody.

For a carrier free (BSA and azide free) version of this product see product #15269.

Specificity/Sensitivity

Jagged1 (D4Y1R) Rabbit Monoclonal Antibody recognizes endogenous levels of total Jagged1 protein. Based on sequence analyses, this antibody is not predicted to detect Jagged2 protein.

Species predicted to react based on 100% sequence homology

Rat, Hamster

Source / Purification

Monoclonal antibody is produced by immunizing animals with a synthetic peptide corresponding to residues surrounding Ala1131 of human Jagged1 protein.

Background

Notch signaling is activated upon engagement of the Notch receptor with its ligands, the DSL (Delta, Serrate, Lag2) single-pass type I membrane proteins. The DSL proteins contain multiple EGF-like repeats and a DSL domain that is required for binding to Notch (1,2). Five DSL proteins have been identified in mammals: Jagged1, Jagged2, Delta-like (DLL) 1, 3, and 4 (3). Ligand binding to the Notch receptor results in two sequential proteolytic cleavages of the receptor by the ADAM protease and the γ-secretase complex. The intracellular domain of Notch is released and then translocates to the nucleus, where it activates transcription. Notch ligands may also be processed in a way similar to Notch, suggesting a bi-directional signaling through receptor-ligand interactions (4-6).

Species Reactivity

Species reactivity is determined by testing in at least one approved application (e.g., western blot).

Western Blot Buffer

IMPORTANT: For western blots, incubate membrane with diluted primary antibody in 5% w/v nonfat dry milk, 1X TBS, 0.1% Tween® 20 at 4°C with gentle shaking, overnight.

Applications Key

W: Western Blotting IP: Immunoprecipitation IHC-P: Immunohistochemistry (Paraffin) FC-FP: Flow Cytometry (Fixed/Permeabilized)

Cross-Reactivity Key

H: Human M: Mouse Mk: Monkey

Trademarks and Patents

Cell Signaling Technology is a trademark of Cell Signaling Technology, Inc.

Alexa Fluor is a registered trademark of Life Technologies Corporation.

All other trademarks are the property of their respective owners. Visit cellsignal.com/trademarks for more information.

Limited Uses

Except as otherwise expressly agreed in a writing signed by a legally authorized representative of CST, the following terms apply to Products provided by CST, its affiliates or its distributors. Any Customer's terms and conditions that are in addition to, or different from, those contained herein, unless separately accepted in writing by a legally authorized representative of CST, are rejected and are of no force or effect.

Products are labeled with For Research Use Only or a similar labeling statement and have not been approved, cleared, or licensed by the FDA or other regulatory foreign or domestic entity, for any purpose. Customer shall not use any Product for any diagnostic or therapeutic purpose, or otherwise in any manner that conflicts with its labeling statement. Products sold or licensed by CST are provided for Customer as the end-user and solely for research and development uses. Any use of Product for diagnostic, prophylactic or therapeutic purposes, or any purchase of Product for resale (alone or as a component) or other commercial purpose, requires a separate license from CST. Customer shall (a) not sell, license, loan, donate or otherwise transfer or make available any Product to any third party, whether alone or in combination with other materials, or use the Products to manufacture any commercial products, (b) not copy, modify, reverse engineer, decompile, disassemble or otherwise attempt to discover the underlying structure or technology of the Products, or use the Products for the purpose of developing any products or services that would compete with CST products or services, (c) not alter or remove from the Products any trademarks, trade names, logos, patent or copyright notices or markings, (d) use the Products solely in accordance with CST Product Terms of Sale and any applicable documentation, and (e) comply with any license, terms of service or similar agreement with respect to any third party products or services used by Customer in connection with the Products.

Orders: 877-616-CELL (2355) [email protected] Support: 877-678-TECH (8324) [email protected] Web: cellsignal.com
For Research Use Only. Not for Use in Diagnostic Procedures.

Revision 4

Cell Signaling Technology Logo
Western blot analysis of extracts from various cell lines using Jagged1 (D4Y1R) XP® Rabbit mAb (upper) and β-Actin (D6A8) Rabbit mAb #8457 (lower). Molt4 and Jurkat cells do not expression Jagged1 protein, confirming specificity of the antibody for Jagged1.
Western Blotting Image 1: Jagged1 (D4Y1R) Rabbit Monoclonal Antibody
Immunoprecipitation of Jagged1 protein from HT-29 cell extracts. Lane 1 is 10% input, lane 2 is Rabbit (DA1E) XP® IgG Isotype Control #3900, and lane 3 is Jagged1 (D4Y1R) XP® Rabbit mAb. Western blot analysis was performed using Jagged1 (D4Y1R) XP® Rabbit mAb.
Immunoprecipitation Image 1: Jagged1 (D4Y1R) Rabbit Monoclonal Antibody
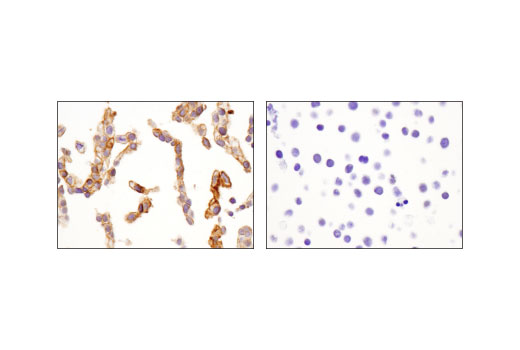
Immunohistochemical analysis of paraffin-embedded HepG2 (positive, left) and Jurkat (negative, right) cell pellets using Jagged1 (D4Y1R) XP® Rabbit mAb.
Immunohistochemistry Image 1: Jagged1 (D4Y1R) Rabbit Monoclonal Antibody
Orders: 877-616-CELL (2355) [email protected] Support: 877-678-TECH (8324) [email protected] Web: cellsignal.com
For Research Use Only. Not for Use in Diagnostic Procedures.

Revision 4

Cell Signaling Technology Logo
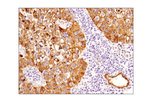
Immunohistochemical analysis of paraffin-embedded human lung carcinoma using Jagged1 (D4Y1R) XP® Rabbit mAb.
Immunohistochemistry Image 2: Jagged1 (D4Y1R) Rabbit Monoclonal Antibody
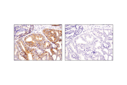
Immunohistochemical analysis of paraffin-embedded human prostate carcinoma using Jagged1 (D4Y1R) XP(R) Rabbit mAb in the presence of control peptide (left) or antigen-specific peptide (right).
Immunohistochemistry Image 3: Jagged1 (D4Y1R) Rabbit Monoclonal Antibody
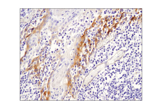
Immunohistochemical analysis of paraffin-embedded human tonsil using Jagged1 (D4Y1R) XP(R) Rabbit mAb.
Immunohistochemistry Image 4: Jagged1 (D4Y1R) Rabbit Monoclonal Antibody
Orders: 877-616-CELL (2355) [email protected] Support: 877-678-TECH (8324) [email protected] Web: cellsignal.com
For Research Use Only. Not for Use in Diagnostic Procedures.

Revision 4

Cell Signaling Technology Logo
Flow cytometric analysis of fixed and permeabilized Jurkat cells (blue, negative) and MKN-45 cells (green, positive) using Jagged1 (D4Y1R) XP® Rabbit mAb. Anti-rabbit IgG (H+L), F(ab')2 Fragment (Alexa Fluor® 488 Conjugate) #4412 was used as a secondary antibody.
Flow Cytometry Image 1: Jagged1 (D4Y1R) Rabbit Monoclonal Antibody
Orders: 877-616-CELL (2355) [email protected] Support: 877-678-TECH (8324) [email protected] Web: cellsignal.com
For Research Use Only. Not for Use in Diagnostic Procedures.