Revision 1

#92435

Store at -20C

CST Logo
Orders:

877-616-CELL (2355)

[email protected]

Support:

877-678-TECH (8324)

3 Trask Lane | Danvers | Massachusetts | 01923 | USA

For Research Use Only. Not for Use in Diagnostic Procedures.

Applications:
W, IHC-P

Reactivity:
H

Sensitivity:
Endogenous

MW (kDa):
40

Source/Isotype:
Rabbit IgG

UniProt ID:
#Q9Y624

Entrez-Gene Id:
50848

Product Usage Information

Application Dilution
Western Blotting 1:1000
Immunohistochemistry (Paraffin) 1:800 - 1:3200

Storage

Supplied in 10 mM sodium HEPES (pH 7.5), 150 mM NaCl, 100 µg/mL BSA, 50% glycerol, and less than 0.02% sodium azide. Store at –20°C. Do not aliquot the antibody.

Specificity/Sensitivity

JAM-A (E8D2N) Rabbit Monoclonal Antibody recognizes endogenous levels of total JAM-A protein.

Source / Purification

Monoclonal antibody is produced by immunizing animals with recombinant protein specific to the central sequence of human JAM-A protein.

Background

Junctional Adhesion Molecule-A/F11 Receptor (JAM-A/F11R) is a transmembrane glycoprotein belonging to the immunoglobulin superfamily. JAM-A regulates multiple cellular processes, including tight junction assembly, epithelial-mesenchymal transition (EMT), leukocyte migration, virus binding, platelet activation, and angiogenesis.  Aberrant expression of JAM-A is correlated with poor patient prognosis in several human cancers (1,2). In a mouse model of atherosclerosis, an antagonistic peptide that inhibits JAM-A-expressing platelets from interacting with inflamed endothelial cells reduces atherosclerotic plaque formation (3).

Species Reactivity

Species reactivity is determined by testing in at least one approved application (e.g., western blot).

Western Blot Buffer

IMPORTANT: For western blots, incubate membrane with diluted primary antibody in 5% w/v nonfat dry milk, 1X TBS, 0.1% Tween® 20 at 4°C with gentle shaking, overnight.

Applications Key

W: Western Blotting IHC-P: Immunohistochemistry (Paraffin)

Cross-Reactivity Key

H: Human

Trademarks and Patents

Cell Signaling Technology is a trademark of Cell Signaling Technology, Inc.

SignalStain is a registered trademark of Cell Signaling Technology, Inc.

All other trademarks are the property of their respective owners. Visit cellsignal.com/trademarks for more information.

Limited Uses

Except as otherwise expressly agreed in a writing signed by a legally authorized representative of CST, the following terms apply to Products provided by CST, its affiliates or its distributors. Any Customer's terms and conditions that are in addition to, or different from, those contained herein, unless separately accepted in writing by a legally authorized representative of CST, are rejected and are of no force or effect.

Products are labeled with For Research Use Only or a similar labeling statement and have not been approved, cleared, or licensed by the FDA or other regulatory foreign or domestic entity, for any purpose. Customer shall not use any Product for any diagnostic or therapeutic purpose, or otherwise in any manner that conflicts with its labeling statement. Products sold or licensed by CST are provided for Customer as the end-user and solely for research and development uses. Any use of Product for diagnostic, prophylactic or therapeutic purposes, or any purchase of Product for resale (alone or as a component) or other commercial purpose, requires a separate license from CST. Customer shall (a) not sell, license, loan, donate or otherwise transfer or make available any Product to any third party, whether alone or in combination with other materials, or use the Products to manufacture any commercial products, (b) not copy, modify, reverse engineer, decompile, disassemble or otherwise attempt to discover the underlying structure or technology of the Products, or use the Products for the purpose of developing any products or services that would compete with CST products or services, (c) not alter or remove from the Products any trademarks, trade names, logos, patent or copyright notices or markings, (d) use the Products solely in accordance with CST Product Terms of Sale and any applicable documentation, and (e) comply with any license, terms of service or similar agreement with respect to any third party products or services used by Customer in connection with the Products.

Orders: 877-616-CELL (2355) [email protected] Support: 877-678-TECH (8324) [email protected] Web: cellsignal.com
For Research Use Only. Not for Use in Diagnostic Procedures.

Revision 1

Cell Signaling Technology Logo
Western blot analysis of extracts from HaCaT, Capan-2, and BJ cells using JAM-A (E8D2N) XP® Rabbit mAb (upper) or GAPDH (D16H11) XP® Rabbit mAb #5174 (lower). Low expression of JAM-A protein in BJ cells is consistent with the predicted expression pattern.
Western Blotting Image 1: JAM-A (E8D2N) Rabbit Monoclonal Antibody
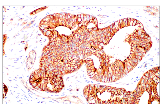
Immunohistochemical analysis of paraffin-embedded human urothelial carcinoma using JAM-A (E8D2N) XP® Rabbit mAb.
Immunohistochemistry Image 1: JAM-A (E8D2N) Rabbit Monoclonal Antibody
Immunohistochemical analysis of paraffin-embedded human prostate adenocarcinoma using JAM-A (E8D2N) XP® Rabbit mAb.
Immunohistochemistry Image 2: JAM-A (E8D2N) Rabbit Monoclonal Antibody
Orders: 877-616-CELL (2355) [email protected] Support: 877-678-TECH (8324) [email protected] Web: cellsignal.com
For Research Use Only. Not for Use in Diagnostic Procedures.

Revision 1

Cell Signaling Technology Logo
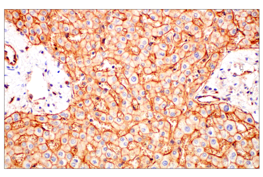
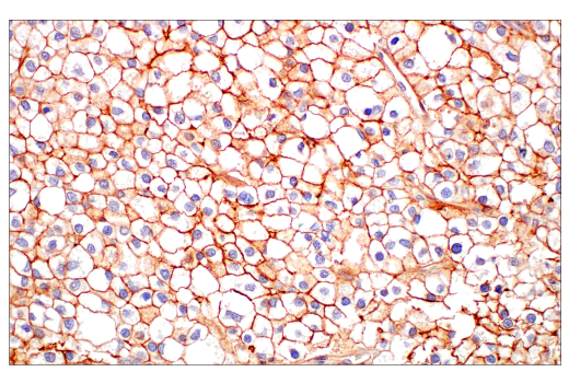
Immunohistochemical analysis of paraffin-embedded human hepatocellular carcinoma using JAM-A (E8D2N) XP® Rabbit mAb.
Immunohistochemistry Image 3: JAM-A (E8D2N) Rabbit Monoclonal Antibody
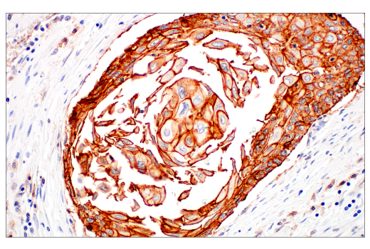
Immunohistochemical analysis of paraffin-embedded human renal cell carcinoma using JAM-A (E8D2N) XP® Rabbit mAb.
Immunohistochemistry Image 4: JAM-A (E8D2N) Rabbit Monoclonal Antibody
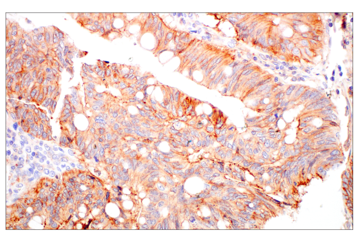
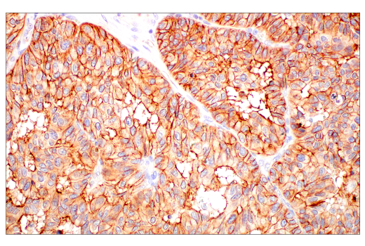
Immunohistochemical analysis of paraffin-embedded human colon adenocarcinoma using JAM-A (E8D2N) XP® Rabbit mAb.
Immunohistochemistry Image 5: JAM-A (E8D2N) Rabbit Monoclonal Antibody
Orders: 877-616-CELL (2355) [email protected] Support: 877-678-TECH (8324) [email protected] Web: cellsignal.com
For Research Use Only. Not for Use in Diagnostic Procedures.

Revision 1

Cell Signaling Technology Logo

Immunohistochemical analysis of paraffin-embedded human cervical squamous cell carcinoma using JAM-A (E8D2N) XP® Rabbit mAb.

Immunohistochemistry Image 6: JAM-A (E8D2N) Rabbit Monoclonal Antibody
Immunohistochemical analysis of paraffin-embedded human colon carcinoma using JAM-A (E8D2N) XP® Rabbit mAb.
Immunohistochemistry Image 7: JAM-A (E8D2N) Rabbit Monoclonal Antibody
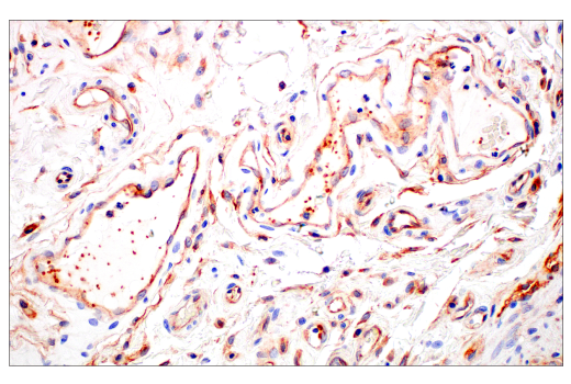
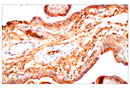
Immunohistochemical analysis of paraffin-embedded normal human placenta using JAM-A (E8D2N) XP® Rabbit mAb.
Immunohistochemistry Image 8: JAM-A (E8D2N) Rabbit Monoclonal Antibody
Orders: 877-616-CELL (2355) [email protected] Support: 877-678-TECH (8324) [email protected] Web: cellsignal.com
For Research Use Only. Not for Use in Diagnostic Procedures.

Revision 1

Cell Signaling Technology Logo
Immunohistochemical analysis of paraffin-embedded normal human liver using JAM-A (E8D2N) XP® Rabbit mAb.
Immunohistochemistry Image 9: JAM-A (E8D2N) Rabbit Monoclonal Antibody

Immunohistochemical analysis of paraffin-embedded normal human kidney using JAM-A (E8D2N) XP® Rabbit mAb.

Immunohistochemistry Image 10: JAM-A (E8D2N) Rabbit Monoclonal Antibody
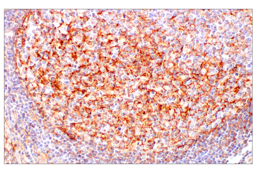
Immunohistochemical analysis of paraffin-embedded human tonsil using JAM-A (E8D2N) XP® Rabbit mAb.
Immunohistochemistry Image 11: JAM-A (E8D2N) Rabbit Monoclonal Antibody
Orders: 877-616-CELL (2355) [email protected] Support: 877-678-TECH (8324) [email protected] Web: cellsignal.com
For Research Use Only. Not for Use in Diagnostic Procedures.

Revision 1

Cell Signaling Technology Logo
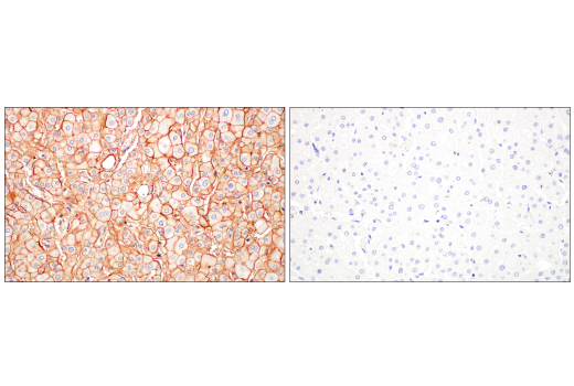
Immunohistochemical analysis of paraffin-embedded human hepatocellular carcinoma using JAM-A (E8D2N) XP® Rabbit mAb (left) compared to concentration-matched Rabbit (DA1E) mAb IgG XP® Isotype Control #3900 (right). 
Immunohistochemistry Image 12: JAM-A (E8D2N) Rabbit Monoclonal Antibody
Immunohistochemical analysis of paraffin-embedded HaCaT cell pellet (left, positive) or BJ cell pellet (right, negative) using
JAM-A (E8D2N) XP® Rabbit mAb.
Immunohistochemistry Image 13: JAM-A (E8D2N) Rabbit Monoclonal Antibody
Orders: 877-616-CELL (2355) [email protected] Support: 877-678-TECH (8324) [email protected] Web: cellsignal.com
For Research Use Only. Not for Use in Diagnostic Procedures.