Revision 3

#5519

Store at -20C

CST Logo
Orders:

877-616-CELL (2355)

[email protected]

Support:

877-678-TECH (8324)

3 Trask Lane | Danvers | Massachusetts | 01923 | USA

For Research Use Only. Not for Use in Diagnostic Procedures.

Applications:
W, IP, IHC-P, IF-IC, FC-FP

Reactivity:
H M R Mk

Sensitivity:
Endogenous

MW (kDa):
190

Source/Isotype:
Rabbit IgG

UniProt ID:
#O60271

Entrez-Gene Id:
9043

Product Usage Information

Application Dilution
Western Blotting 1:1000
Immunoprecipitation 1:50
Immunohistochemistry (Paraffin) 1:50
Immunofluorescence (Immunocytochemistry) 1:50
Flow Cytometry (Fixed/Permeabilized) 1:50

Storage

Supplied in 10 mM sodium HEPES (pH 7.5), 150 mM NaCl, 100 µg/ml BSA, 50% glycerol and less than 0.02% sodium azide. Store at –20°C. Do not aliquot the antibody.

For a carrier free (BSA and azide free) version of this product see product #49354.

Specificity/Sensitivity

JIP4/SPAG9 (D72F4) Rabbit Monoclonal Antibody recognizes endogenous levels of total JIP4 protein. This antibody will detect known splice variants of JIP4 (SPAG9, JLP) but is not predicted to cross-react with other JIP family members.

Source / Purification

Monoclonal antibody is produced by immunizing animals with a synthetic peptide corresponding to a region surrounding Leu237 of human JIP4 protein.

Background

JNK-Interacting Proteins (JIPs), as their name implies, coordinate c-Jun N-terminal Kinase (JNK) signaling by acting as scaffolds for components of the JNK signaling cascade (1). JIPs localize and promote JNK activation in response to stress by amalgamating and co-localizing upstream kinases and downstream effectors in the stress-kinase pathway analogous to the mechanism by which AKAPs orchestrate PKA signaling. JIPs bind to an array of MAPKs and other signaling proteins, including the mixed-lineage kinases, MKK7, p38α MAPK, JNK1-3, Max, Myc, NF-κB, LRRK2, and others (1-4).

There are four known JIPs, JIP1-4, of which JIP1 and JIP2 share extensive sequence homology and domain structure. JIP1 and JIP2 are mainly expressed in neurons, testis and in β pancreatic cells, where they have been implicated in cellular responses to metabolic stress, the development of diabetes, and post-traumatic brain damage (5-7). Although architecturally distinct from JIP1 and JIP2, JIP3 and JIP4 share some overlapping functions and are more broadly expressed. JIP4, encoded by the SPAG9 (sperm-associated antigen-9) gene, is a homooligomer that binds to and coordinates the activation of numerous components of the stress-activated kinase cascade including MEK4, MEKK3, p38α MAPK, and JNK1-3 (1,3). However, unlike the other JIP members, JIP4 does not appear to activate JNK directly, instead favoring stimulation of p38 MAPK signaling events in response to cellular stress (3,8).

In addition to mediating stress responses, JIP4 (or its splice variant, JLP) has also been shown to interact with ARF6 and PIKfyve, thus regulating microtubule-based endosomal trafficking (9,10). There are extensive reports indicating that JIP4 is phosphorylated in response to stress (UV damage etc.) but it is unclear what effect, if any, this has on its function, localization, or binding properties (11-14).

Species Reactivity

Species reactivity is determined by testing in at least one approved application (e.g., western blot).

Western Blot Buffer

IMPORTANT: For western blots, incubate membrane with diluted primary antibody in 5% w/v BSA, 1X TBS, 0.1% Tween® 20 at 4°C with gentle shaking, overnight.

Applications Key

W: Western Blotting IP: Immunoprecipitation IHC-P: Immunohistochemistry (Paraffin) IF-IC: Immunofluorescence (Immunocytochemistry) FC-FP: Flow Cytometry (Fixed/Permeabilized)

Cross-Reactivity Key

H: Human M: Mouse R: Rat Mk: Monkey

Trademarks and Patents

Cell Signaling Technology is a trademark of Cell Signaling Technology, Inc.

All other trademarks are the property of their respective owners. Visit cellsignal.com/trademarks for more information.

Limited Uses

Except as otherwise expressly agreed in a writing signed by a legally authorized representative of CST, the following terms apply to Products provided by CST, its affiliates or its distributors. Any Customer's terms and conditions that are in addition to, or different from, those contained herein, unless separately accepted in writing by a legally authorized representative of CST, are rejected and are of no force or effect.

Products are labeled with For Research Use Only or a similar labeling statement and have not been approved, cleared, or licensed by the FDA or other regulatory foreign or domestic entity, for any purpose. Customer shall not use any Product for any diagnostic or therapeutic purpose, or otherwise in any manner that conflicts with its labeling statement. Products sold or licensed by CST are provided for Customer as the end-user and solely for research and development uses. Any use of Product for diagnostic, prophylactic or therapeutic purposes, or any purchase of Product for resale (alone or as a component) or other commercial purpose, requires a separate license from CST. Customer shall (a) not sell, license, loan, donate or otherwise transfer or make available any Product to any third party, whether alone or in combination with other materials, or use the Products to manufacture any commercial products, (b) not copy, modify, reverse engineer, decompile, disassemble or otherwise attempt to discover the underlying structure or technology of the Products, or use the Products for the purpose of developing any products or services that would compete with CST products or services, (c) not alter or remove from the Products any trademarks, trade names, logos, patent or copyright notices or markings, (d) use the Products solely in accordance with CST Product Terms of Sale and any applicable documentation, and (e) comply with any license, terms of service or similar agreement with respect to any third party products or services used by Customer in connection with the Products.

Orders: 877-616-CELL (2355) [email protected] Support: 877-678-TECH (8324) [email protected] Web: cellsignal.com
For Research Use Only. Not for Use in Diagnostic Procedures.

Revision 3

Cell Signaling Technology Logo
Western blot analysis of extracts from various tissues and cell lines using JIP4/SPAG9 (D72F4) XP® Rabbit mAb.
Western Blotting Image 1: JIP4/SPAG9 (D72F4) Rabbit Monoclonal Antibody
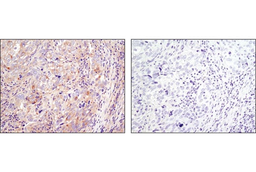
Immunohistochemical analysis of paraffin-embedded human ovarian carcioma using JIP4/SPAG9 (D72F4) XP® Rabbit mAb in the presence of control peptide (left) or antigen-specific peptide (right).
Immunohistochemistry Image 1: JIP4/SPAG9 (D72F4) Rabbit Monoclonal Antibody
Immunohistochemical analysis of paraffin-embedded human lung adenocarcioma using JIP4/SPAG9 (D72F4) XP® Rabbit mAb.
Immunohistochemistry Image 2: JIP4/SPAG9 (D72F4) Rabbit Monoclonal Antibody
Orders: 877-616-CELL (2355) [email protected] Support: 877-678-TECH (8324) [email protected] Web: cellsignal.com
For Research Use Only. Not for Use in Diagnostic Procedures.

Revision 3

Cell Signaling Technology Logo
Confocal immunofluorescent analysis of HeLa cells untreated (left) or nocodazole-treated (right) using JIP4/SPAG9 (D72F4) XP® Rabbit mAb (green). Blue pseudocolor= DRAQ5® #4084 (fluorescent DNA dye).
Immunofluorescence Image 1: JIP4/SPAG9 (D72F4) Rabbit Monoclonal Antibody
Confocal immunofluorescent analysis of A172 cells using JIP4/SPAG9 (D72F4) XP® Rabbit mAb (green). Blue pseudocolor= DRAQ5® #4084 (fluorescent DNA dye).
Immunofluorescence Image 2: JIP4/SPAG9 (D72F4) Rabbit Monoclonal Antibody
Flow cytometric analysis of NIH/3T3 cells using JIP4/SPAG9 (D72F4) XP® Rabbit mAb (blue) compared to a nonspecific negative control antibody (red).
Flow Cytometry Image 1: JIP4/SPAG9 (D72F4) Rabbit Monoclonal Antibody
Orders: 877-616-CELL (2355) [email protected] Support: 877-678-TECH (8324) [email protected] Web: cellsignal.com
For Research Use Only. Not for Use in Diagnostic Procedures.