Revision 3

#3100

Store at -20C

CST Logo
Orders:

877-616-CELL (2355)

[email protected]

Support:

877-678-TECH (8324)

3 Trask Lane | Danvers | Massachusetts | 01923 | USA

For Research Use Only. Not for Use in Diagnostic Procedures.

Applications:
W, IP, IHC-P

Reactivity:
H Mk

Sensitivity:
Endogenous

MW (kDa):
220

Source/Isotype:
Rabbit IgG

UniProt ID:
#Q7LBC6

Entrez-Gene Id:
51780

Product Usage Information

Application Dilution
Western Blotting 1:1000
Immunoprecipitation 1:50
Immunohistochemistry (Paraffin) 1:50

Storage

Supplied in 10 mM sodium HEPES (pH 7.5), 150 mM NaCl, 100 µg/ml BSA, 50% glycerol and less than 0.02% sodium azide. Store at –20°C. Do not aliquot the antibody.

Specificity/Sensitivity

JMJD1B (C6D12) Rabbit Monoclonal Antibody detects endogenous levels of JMJD1B protein (all three isoforms). This antibody does not cross react with other Jumonji C proteins, including HR, JMJD1A and JMJD1C.

Source / Purification

Monoclonal antibody is produced by immunizing animals with a synthetic peptide corresponding to residues surrounding Ser779 of the human JMJD1B protein.

Background

The methylation state of lysine residues in histone proteins is a major determinant of the formation of active and inactive regions of the genome and is crucial for the proper programming of the genome during development (1,2). Jumonji C (JmjC) domain-containing proteins represent the largest class of potential histone demethylase proteins (3). The JmjC domain of several proteins has been shown to catalyze the demethylation of mono-, di-, and tri-methyl lysine residues via an oxidative reaction that requires iron and α-ketoglutarate (3). Based on homology, both humans and mice contain at least 30 such proteins, which can be divided into seven separate families (3). The JMJD1 (Jumonji domain-containing protein 1) family, also known as JHDM2 (JmjC domain-containing histone demethylation protein 2) family, contains four members: hairless (HR), JMJD1A/JHDM2A, JMJD1B/JHDM2B, and JMJD1C/JHDM2C. Hairless is expressed in the skin and brain and acts as a co-repressor of the thyroid hormone receptor (4-6). Mutations in the hairless gene cause alopecia in both mice and humans (4,5). JMJD1A is expressed in meiotic and post-meiotic male germ cells, contributes to androgen receptor-mediated gene regulation, and is required for spermatogenesis (7-9). It has also been identified as a downstream target of OCT4 and STAT3 and is critical for the regulation of self-renewal in embryonic stem cells (10,11). JMJD1B is a more widely expressed family member and is frequently deleted in myeloid leukemia (12). JMJD1C (also known as TRIP8) is a co-factor of both the androgen and thyroid receptors and has a potential link to autism (13-15). Members of the JMJD1/JHDM2 family have been shown to demethylate mono-methyl and di-methyl histone H3 (Lys9) (3,8).

Species Reactivity

Species reactivity is determined by testing in at least one approved application (e.g., western blot).

Western Blot Buffer

IMPORTANT: For western blots, incubate membrane with diluted primary antibody in 5% w/v BSA, 1X TBS, 0.1% Tween® 20 at 4°C with gentle shaking, overnight.

Applications Key

W: Western Blotting IP: Immunoprecipitation IHC-P: Immunohistochemistry (Paraffin)

Cross-Reactivity Key

H: Human Mk: Monkey

Trademarks and Patents

Cell Signaling Technology is a trademark of Cell Signaling Technology, Inc.

U.S. Patent No. 7,429,487, foreign equivalents, and child patents deriving therefrom.

All other trademarks are the property of their respective owners. Visit cellsignal.com/trademarks for more information.

Limited Uses

Except as otherwise expressly agreed in a writing signed by a legally authorized representative of CST, the following terms apply to Products provided by CST, its affiliates or its distributors. Any Customer's terms and conditions that are in addition to, or different from, those contained herein, unless separately accepted in writing by a legally authorized representative of CST, are rejected and are of no force or effect.

Products are labeled with For Research Use Only or a similar labeling statement and have not been approved, cleared, or licensed by the FDA or other regulatory foreign or domestic entity, for any purpose. Customer shall not use any Product for any diagnostic or therapeutic purpose, or otherwise in any manner that conflicts with its labeling statement. Products sold or licensed by CST are provided for Customer as the end-user and solely for research and development uses. Any use of Product for diagnostic, prophylactic or therapeutic purposes, or any purchase of Product for resale (alone or as a component) or other commercial purpose, requires a separate license from CST. Customer shall (a) not sell, license, loan, donate or otherwise transfer or make available any Product to any third party, whether alone or in combination with other materials, or use the Products to manufacture any commercial products, (b) not copy, modify, reverse engineer, decompile, disassemble or otherwise attempt to discover the underlying structure or technology of the Products, or use the Products for the purpose of developing any products or services that would compete with CST products or services, (c) not alter or remove from the Products any trademarks, trade names, logos, patent or copyright notices or markings, (d) use the Products solely in accordance with CST Product Terms of Sale and any applicable documentation, and (e) comply with any license, terms of service or similar agreement with respect to any third party products or services used by Customer in connection with the Products.

Orders: 877-616-CELL (2355) [email protected] Support: 877-678-TECH (8324) [email protected] Web: cellsignal.com
For Research Use Only. Not for Use in Diagnostic Procedures.

Revision 3

Cell Signaling Technology Logo
Western blot analysis of extracts from HeLa and NCCIT cell lines using JMJD1B (C6D12) Rabbit mAb.
Western Blotting Image 1: JMJD1B (C6D12) Rabbit Monoclonal Antibody
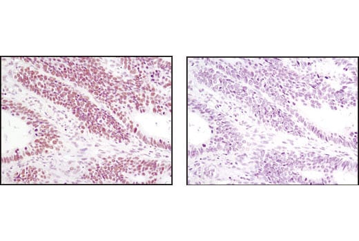
Immunohistochemical analysis of paraffin-embedded human colon carcinoma using JMJD1B (C6D12) Rabbit mAb in the presence of control peptide (left) or antigen-specific peptide (right).
Immunohistochemistry Image 1: JMJD1B (C6D12) Rabbit Monoclonal Antibody
Immunohistochemical analysis of paraffin-embedded human lung carcinoma using JMJD1B (C6D12) Rabbit mAb.
Immunohistochemistry Image 2: JMJD1B (C6D12) Rabbit Monoclonal Antibody
Orders: 877-616-CELL (2355) [email protected] Support: 877-678-TECH (8324) [email protected] Web: cellsignal.com
For Research Use Only. Not for Use in Diagnostic Procedures.