Revision 13

#9449

Store at -20C

CST Logo
Orders:

877-616-CELL (2355)

[email protected]

Support:

877-678-TECH (8324)

3 Trask Lane | Danvers | Massachusetts | 01923 | USA

For Research Use Only. Not for Use in Diagnostic Procedures.

Applications:
IHC-P, IF-IC, FC-FP

Reactivity:
H Mk

Sensitivity:
Endogenous

Source/Isotype:
Mouse IgG1 kappa

UniProt ID:
#P46013

Entrez-Gene Id:
4288

Product Usage Information

Application Dilution
Immunohistochemistry (Paraffin) 1:800 - 1:3200
Immunofluorescence (Immunocytochemistry) 1:1600 - 1:6400
Flow Cytometry (Fixed/Permeabilized) 1:100 - 1:400

Storage

Supplied in 10 mM sodium HEPES (pH 7.5), 150 mM NaCl, 100 µg/ml BSA, 50% glycerol and less than 0.02% sodium azide. Store at –20°C. Do not aliquot the antibody.

For a carrier-free (BSA and azide free) version of this product see product #62548.

Specificity/Sensitivity

Ki-67 (8D5) Mouse Monoclonal Antibody recognizes endogenous levels of total Ki-67 protein.

Source / Purification

Monoclonal antibody is produced by immunizing animals with a synthetic peptide corresponding to residues near the amino terminus of human Ki-67 protein.

Background

Ki-67, named after the location where it was discovered (Kiel University, Germany), is a nuclear nonhistone protein (1) that is universally expressed among proliferating cells and absent in quiescent cells (2). Ki-67 detects proliferating cells in G1, S, G2, and mitosis, but not in the G0 resting phase. Research studies have shown that high levels of Ki-67 are associated with poorer breast cancer survival (3). Research studies have explored the use of Ki-67, along with other markers, as potential prognostic or predictive markers in breast cancer and other malignant diseases (4).

Species Reactivity

Species reactivity is determined by testing in at least one approved application (e.g., western blot).

Applications Key

IHC-P: Immunohistochemistry (Paraffin) IF-IC: Immunofluorescence (Immunocytochemistry) FC-FP: Flow Cytometry (Fixed/Permeabilized)

Cross-Reactivity Key

H: Human Mk: Monkey

Trademarks and Patents

Cell Signaling Technology is a trademark of Cell Signaling Technology, Inc.

All other trademarks are the property of their respective owners. Visit cellsignal.com/trademarks for more information.

Limited Uses

Except as otherwise expressly agreed in a writing signed by a legally authorized representative of CST, the following terms apply to Products provided by CST, its affiliates or its distributors. Any Customer's terms and conditions that are in addition to, or different from, those contained herein, unless separately accepted in writing by a legally authorized representative of CST, are rejected and are of no force or effect.

Products are labeled with For Research Use Only or a similar labeling statement and have not been approved, cleared, or licensed by the FDA or other regulatory foreign or domestic entity, for any purpose. Customer shall not use any Product for any diagnostic or therapeutic purpose, or otherwise in any manner that conflicts with its labeling statement. Products sold or licensed by CST are provided for Customer as the end-user and solely for research and development uses. Any use of Product for diagnostic, prophylactic or therapeutic purposes, or any purchase of Product for resale (alone or as a component) or other commercial purpose, requires a separate license from CST. Customer shall (a) not sell, license, loan, donate or otherwise transfer or make available any Product to any third party, whether alone or in combination with other materials, or use the Products to manufacture any commercial products, (b) not copy, modify, reverse engineer, decompile, disassemble or otherwise attempt to discover the underlying structure or technology of the Products, or use the Products for the purpose of developing any products or services that would compete with CST products or services, (c) not alter or remove from the Products any trademarks, trade names, logos, patent or copyright notices or markings, (d) use the Products solely in accordance with CST Product Terms of Sale and any applicable documentation, and (e) comply with any license, terms of service or similar agreement with respect to any third party products or services used by Customer in connection with the Products.

Orders: 877-616-CELL (2355) [email protected] Support: 877-678-TECH (8324) [email protected] Web: cellsignal.com
For Research Use Only. Not for Use in Diagnostic Procedures.

Revision 13

Cell Signaling Technology Logo
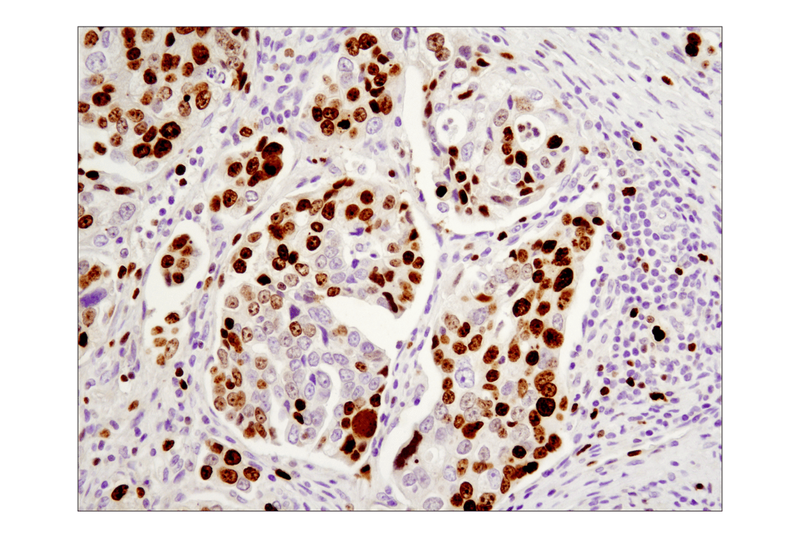
Immunohistochemical analysis of paraffin-embedded human breast carcinoma using Ki-67 (8D5) Mouse mAb.
Immunohistochemistry Image 1: Ki-67 (8D5) Mouse Monoclonal Antibody
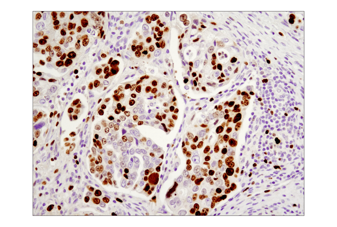
Immunohistochemical analysis of paraffin-embedded human colon carcinoma using Ki-67 (8D5) Mouse mAb.
Immunohistochemistry Image 2: Ki-67 (8D5) Mouse Monoclonal Antibody
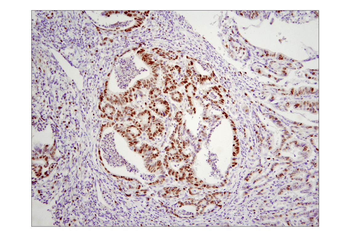
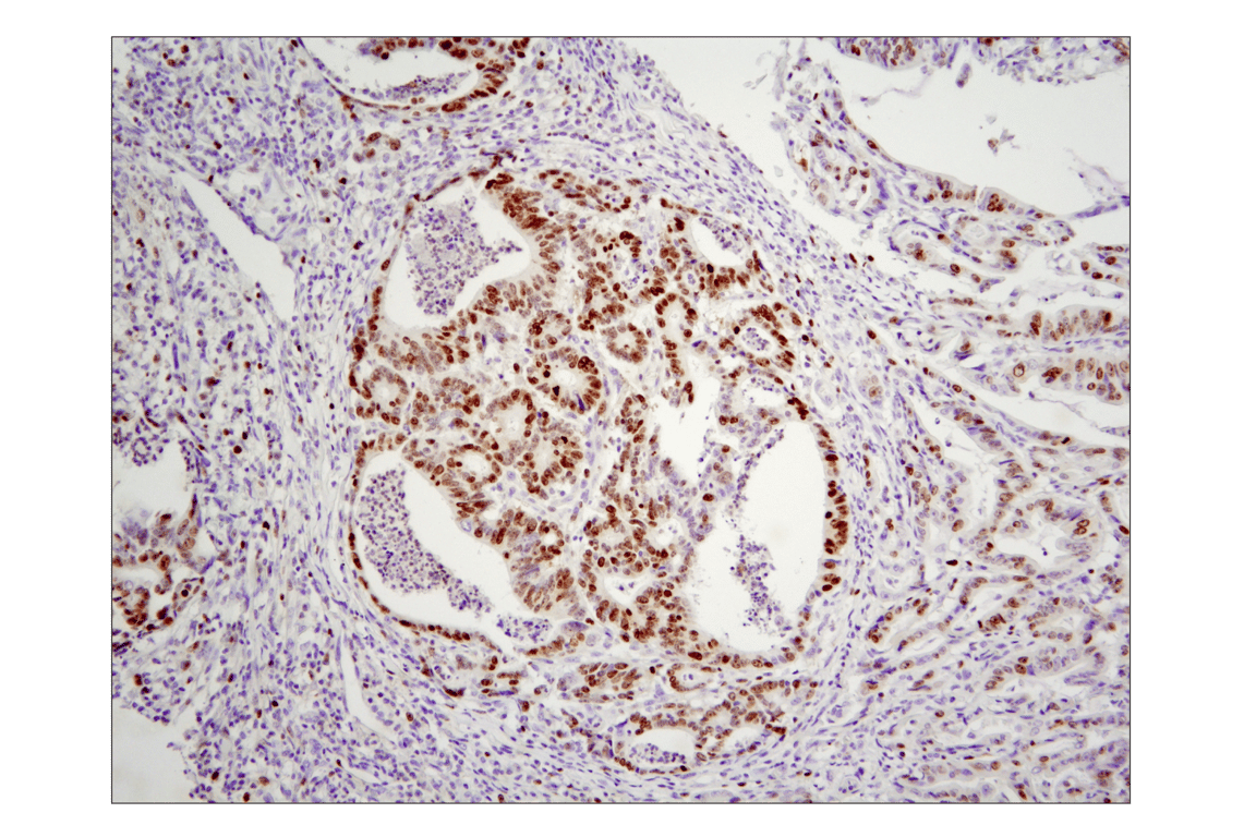
Immunohistochemical analysis of paraffin-embedded human ovarian serous adenocarcinoma using Ki-67 (8D5) Mouse mAb.
Immunohistochemistry Image 3: Ki-67 (8D5) Mouse Monoclonal Antibody
Orders: 877-616-CELL (2355) [email protected] Support: 877-678-TECH (8324) [email protected] Web: cellsignal.com
For Research Use Only. Not for Use in Diagnostic Procedures.

Revision 13

Cell Signaling Technology Logo
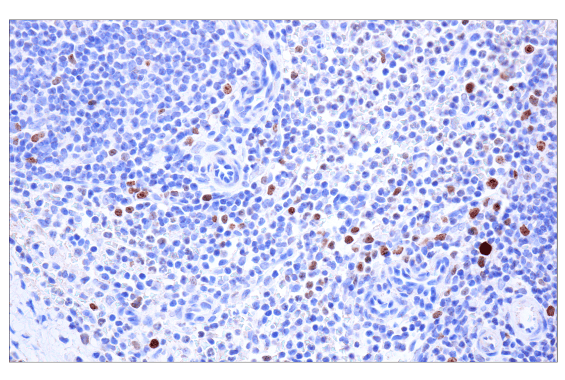
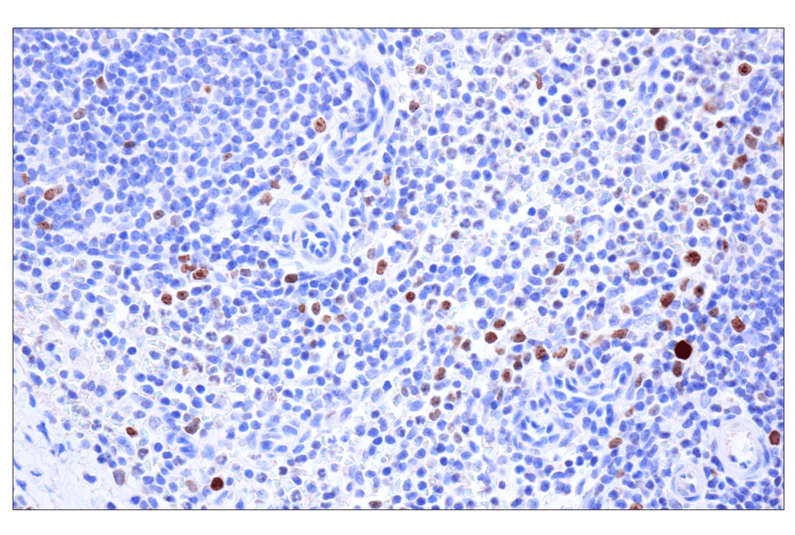
Immunohistochemical analysis of paraffin-embedded rhesus monkey spleen using Ki-67 (8D5) Mouse mAb.
Immunohistochemistry Image 4: Ki-67 (8D5) Mouse Monoclonal Antibody
Confocal immunofluorescent analysis of HeLa cells using Ki-67 (8D5) Mouse mAb (green). Actin filaments were labeled with DY-554 phalloidin (red). Blue pseudocolor = DRAQ5® #4084 (fluorescent DNA dye).
Immunofluorescence Image 1: Ki-67 (8D5) Mouse Monoclonal Antibody
Flow cytometric analysis of Jurkat cells using Ki-67 (8D5) Mouse mAb (right) and Propidium Iodide (PI)/RNase Staining Solution #4087, compared to concentration-matched Mouse (G3A1) mAb IgG1 Isotype Control #5415 (left). Anti-mouse IgG (H+L), F(ab')2 Fragment (Alexa Fluor® 488 Conjugate) #4408 was used as a secondary antibody.
Flow Cytometry Image 1: Ki-67 (8D5) Mouse Monoclonal Antibody
Orders: 877-616-CELL (2355) [email protected] Support: 877-678-TECH (8324) [email protected] Web: cellsignal.com
For Research Use Only. Not for Use in Diagnostic Procedures.