Revision 9

#86846

Store at -20C

CST Logo
Orders:

877-616-CELL (2355)

[email protected]

Support:

877-678-TECH (8324)

3 Trask Lane | Danvers | Massachusetts | 01923 | USA

For Research Use Only. Not for Use in Diagnostic Procedures.

Applications:
W, IHC-P, IF-IC

Reactivity:
H

Sensitivity:
Endogenous

MW (kDa):
74

Source/Isotype:
Mouse IgG3

UniProt ID:
#P02545

Entrez-Gene Id:
4000

Product Usage Information

Application Dilution
Western Blotting 1:1000
Immunohistochemistry (Paraffin) 1:500 - 1:2000
Immunofluorescence (Immunocytochemistry) 1:12800 - 1:25600

Storage

Supplied at 1 mg/mL in PBS containing 0.09% sodium azide. Store at -20°C. This product will freeze at -20°C so it is recommended to aliquot into single-use vials to avoid multiple freeze/thaw cycles. A slight precipitate may be present, but will not interfere with antibody performance. This product is stable for 36 months when stored at -20C.

Specificity/Sensitivity

Lamin A (133A2) Mouse Monoclonal Antibody recognizes endogenous levels of total lamin A protein. This antibody also reacts with large fragments of lamin A (50 kDa) produced by caspase cleavage during apoptosis. This antibody does not cross-react with lamin C.

Source / Purification

Monoclonal antibody is produced by immunizing animals with recombinant protein specific to the carboxy terminus of human lamin A protein.

Background

Lamins are nuclear membrane structural components that are important in maintaining normal cell functions such as cell cycle control, DNA replication, and chromatin organization (1-3). Lamin A/C is cleaved by caspase-6 and serves as a marker for caspase-6 activation. During apoptosis, lamin A/C is specifically cleaved into a large (41-50 kDa) and a small (28 kDa) fragment (3,4). The cleavage of lamins results in nuclear dysregulation and cell death (5,6).

Species Reactivity

Species reactivity is determined by testing in at least one approved application (e.g., western blot).

Western Blot Buffer

IMPORTANT: For western blots, incubate membrane with diluted primary antibody in 5% w/v BSA, 1X TBS, 0.1% Tween® 20 at 4°C with gentle shaking, overnight.

Applications Key

W: Western Blotting IHC-P: Immunohistochemistry (Paraffin) IF-IC: Immunofluorescence (Immunocytochemistry)

Cross-Reactivity Key

H: Human

Trademarks and Patents

Cell Signaling Technology is a trademark of Cell Signaling Technology, Inc.

SignalStain is a registered trademark of Cell Signaling Technology, Inc.

All other trademarks are the property of their respective owners. Visit cellsignal.com/trademarks for more information.

Limited Uses

Except as otherwise expressly agreed in a writing signed by a legally authorized representative of CST, the following terms apply to Products provided by CST, its affiliates or its distributors. Any Customer's terms and conditions that are in addition to, or different from, those contained herein, unless separately accepted in writing by a legally authorized representative of CST, are rejected and are of no force or effect.

Products are labeled with For Research Use Only or a similar labeling statement and have not been approved, cleared, or licensed by the FDA or other regulatory foreign or domestic entity, for any purpose. Customer shall not use any Product for any diagnostic or therapeutic purpose, or otherwise in any manner that conflicts with its labeling statement. Products sold or licensed by CST are provided for Customer as the end-user and solely for research and development uses. Any use of Product for diagnostic, prophylactic or therapeutic purposes, or any purchase of Product for resale (alone or as a component) or other commercial purpose, requires a separate license from CST. Customer shall (a) not sell, license, loan, donate or otherwise transfer or make available any Product to any third party, whether alone or in combination with other materials, or use the Products to manufacture any commercial products, (b) not copy, modify, reverse engineer, decompile, disassemble or otherwise attempt to discover the underlying structure or technology of the Products, or use the Products for the purpose of developing any products or services that would compete with CST products or services, (c) not alter or remove from the Products any trademarks, trade names, logos, patent or copyright notices or markings, (d) use the Products solely in accordance with CST Product Terms of Sale and any applicable documentation, and (e) comply with any license, terms of service or similar agreement with respect to any third party products or services used by Customer in connection with the Products.

Orders: 877-616-CELL (2355) [email protected] Support: 877-678-TECH (8324) [email protected] Web: cellsignal.com
For Research Use Only. Not for Use in Diagnostic Procedures.

Revision 9

Cell Signaling Technology Logo
Western blot analysis of extracts from various cell lines using Lamin A (133A2) Mouse mAb.
Western Blotting Image 1: Lamin A (133A2) Mouse Monoclonal Antibody
Immunohistochemical analysis of paraffin-embedded human infiltrating ductal carcinoma of the breast using Lamin A (133A2) Mouse mAb.
Immunohistochemistry Image 1: Lamin A (133A2) Mouse Monoclonal Antibody
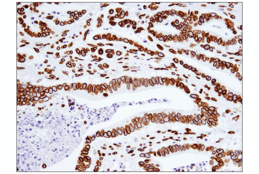
Immunohistochemical analysis of paraffin-embedded human colon carcinoma using Lamin A (133A2) Mouse mAb.
Immunohistochemistry Image 2: Lamin A (133A2) Mouse Monoclonal Antibody
Orders: 877-616-CELL (2355) [email protected] Support: 877-678-TECH (8324) [email protected] Web: cellsignal.com
For Research Use Only. Not for Use in Diagnostic Procedures.

Revision 9

Cell Signaling Technology Logo
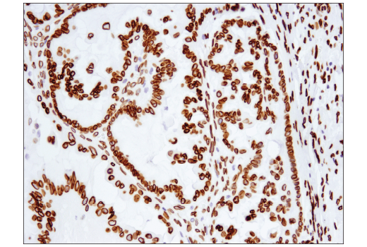
Immunohistochemical analysis of paraffin-embedded human serous carcinoma of the ovary using Lamin A (133A2) Mouse mAb.
Immunohistochemistry Image 3: Lamin A (133A2) Mouse Monoclonal Antibody
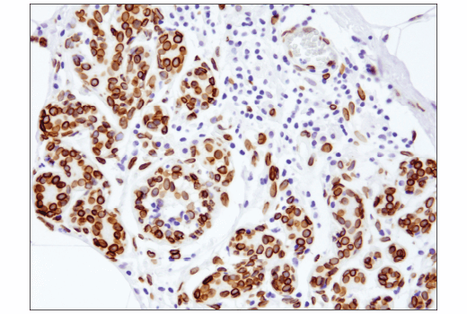
Immunohistochemical analysis of paraffin-embedded human prostate carcinoma using Lamin A (133A2) Mouse mAb.
Immunohistochemistry Image 4: Lamin A (133A2) Mouse Monoclonal Antibody
Confocal immunofluorescent analysis of HeLa cells using Lamin A (133A2) Mouse mAb (green). Actin filaments were labeled with DyLight™ 650 Phalloidin #12956 (red pseudocolor). Blue pseudocolor = Propidium Iodide (PI)/RNase Staining Solution #4087 (fluorescent DNA dye).
Immunofluorescence Image 1: Lamin A (133A2) Mouse Monoclonal Antibody
Orders: 877-616-CELL (2355) [email protected] Support: 877-678-TECH (8324) [email protected] Web: cellsignal.com
For Research Use Only. Not for Use in Diagnostic Procedures.