Revision 1

#34698

Store at -20C

CST Logo
Orders:

877-616-CELL (2355)

[email protected]

Support:

877-678-TECH (8324)

3 Trask Lane | Danvers | Massachusetts | 01923 | USA

For Research Use Only. Not for Use in Diagnostic Procedures.

Applications:
W, IHC-P, IF-F, IF-IC, FC-FP

Reactivity:
H M R Mk

Sensitivity:
Endogenous

MW (kDa):
74 (Lamin A), 63 (Lamin C)

Source/Isotype:
Mouse IgG2a

UniProt ID:
#P02545

Entrez-Gene Id:
4000

Product Usage Information

This product is the carrier free version of product #4777. All data were generated using the same antibody clone in the standard formulation which contains BSA and glycerol.

This formulation is ideal for use with technologies requiring specialized or custom antibody labeling, including fluorophores, metals, lanthanides, and oligonucleotides. It is not recommended for ChIP, ChIP-seq, CUT&RUN or CUT&Tag assays. If you require a carrier free formulation for chromatin profiling, please contact us. Optimal dilutions/concentrations should be determined by the end user.

BSA and Azide Free antibodies are quality control tested by size exclusion chromatography (SEC) to determine antibody integrity.

Formulation

Supplied in 1X PBS (10 mM Na2HPO4, 3 mM KCl, 2 mM KH2PO4, and 140 mM NaCl (pH 7.8)). BSA and Azide Free.

For standard formulation of this product see product #4777

Storage

Store at -20°C. This product will freeze at -20°C so it is recommended to aliquot into single-use vials to avoid multiple freeze/thaw cycles. A slight precipitate may be present and can be dissolved by gently vortexing. This will not interfere with antibody performance.

Specificity/Sensitivity

Lamin A/C (4C11) Mouse Monoclonal Antibody (BSA and Azide Free) detects endogenous levels of lamin A and lamin C proteins. This antibody also reacts with the larger fragments of lamin A (50 kDa) and lamin C (41 kDa) produced by caspase cleavage during apoptosis. This antibody does not cross-react with lamins B1 and B2.

Source / Purification

Monoclonal antibody is produced by immunizing animals with a recombinant fragment of human lamin A protein.

Background

Lamins are nuclear membrane structural components that are important in maintaining normal cell functions such as cell cycle control, DNA replication, and chromatin organization (1-3). Lamin A/C is cleaved by caspase-6 and serves as a marker for caspase-6 activation. During apoptosis, lamin A/C is specifically cleaved into a large (41-50 kDa) and a small (28 kDa) fragment (3,4). The cleavage of lamins results in nuclear dysregulation and cell death (5,6).

Species Reactivity

Species reactivity is determined by testing in at least one approved application (e.g., western blot).

Applications Key

W: Western Blotting IHC-P: Immunohistochemistry (Paraffin) IF-F: Immunofluorescence (Frozen) IF-IC: Immunofluorescence (Immunocytochemistry) FC-FP: Flow Cytometry (Fixed/Permeabilized)

Cross-Reactivity Key

H: Human M: Mouse R: Rat Mk: Monkey

Trademarks and Patents

Cell Signaling Technology is a trademark of Cell Signaling Technology, Inc.

All other trademarks are the property of their respective owners. Visit cellsignal.com/trademarks for more information.

Limited Uses

Except as otherwise expressly agreed in a writing signed by a legally authorized representative of CST, the following terms apply to Products provided by CST, its affiliates or its distributors. Any Customer's terms and conditions that are in addition to, or different from, those contained herein, unless separately accepted in writing by a legally authorized representative of CST, are rejected and are of no force or effect.

Products are labeled with For Research Use Only or a similar labeling statement and have not been approved, cleared, or licensed by the FDA or other regulatory foreign or domestic entity, for any purpose. Customer shall not use any Product for any diagnostic or therapeutic purpose, or otherwise in any manner that conflicts with its labeling statement. Products sold or licensed by CST are provided for Customer as the end-user and solely for research and development uses. Any use of Product for diagnostic, prophylactic or therapeutic purposes, or any purchase of Product for resale (alone or as a component) or other commercial purpose, requires a separate license from CST. Customer shall (a) not sell, license, loan, donate or otherwise transfer or make available any Product to any third party, whether alone or in combination with other materials, or use the Products to manufacture any commercial products, (b) not copy, modify, reverse engineer, decompile, disassemble or otherwise attempt to discover the underlying structure or technology of the Products, or use the Products for the purpose of developing any products or services that would compete with CST products or services, (c) not alter or remove from the Products any trademarks, trade names, logos, patent or copyright notices or markings, (d) use the Products solely in accordance with CST Product Terms of Sale and any applicable documentation, and (e) comply with any license, terms of service or similar agreement with respect to any third party products or services used by Customer in connection with the Products.

Orders: 877-616-CELL (2355) [email protected] Support: 877-678-TECH (8324) [email protected] Web: cellsignal.com
For Research Use Only. Not for Use in Diagnostic Procedures.

Revision 1

Cell Signaling Technology Logo
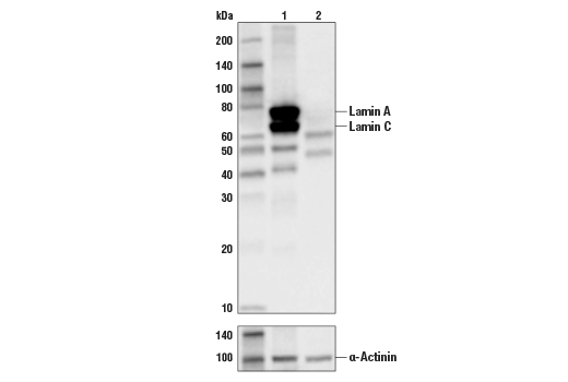
Western blot analysis of extracts from control HeLa cells (lane 1) or HeLa cells with an apparent in-frame truncation mutation in the gene encoding LMNA (lane 2) using Lamin A/C (4C11) Mouse mAb #4777 (upper) or α-actinin (D6F6) XP® Rabbit mAb #6487 (lower). The change in LMNA molecular weight in the mutated HeLa cells is consistent with an in-frame deletion. Data were generated using the standard formulation of this product.
Western Blotting Image 1: Lamin A/C (4C11) Mouse Monoclonal Antibody (BSA and Azide Free)
Western blot analysis of extracts from various cell lines using Lamin A/C (4C11) Mouse mAb. Data were generated using the standard formulation of this product.
Western Blotting Image 2: Lamin A/C (4C11) Mouse Monoclonal Antibody (BSA and Azide Free)
Western blot analysis of extracts from THP-1 cells, untreated or treated with cycloheximide (CHX, 10 μg/ml, overnight) followed by TNF-α #8902 (20 ng/ml, 4 hr), using Lamin A/C (4C11) Mouse mAb. Data were generated using the standard formulation of this product.
Western Blotting Image 3: Lamin A/C (4C11) Mouse Monoclonal Antibody (BSA and Azide Free)
Orders: 877-616-CELL (2355) [email protected] Support: 877-678-TECH (8324) [email protected] Web: cellsignal.com
For Research Use Only. Not for Use in Diagnostic Procedures.

Revision 1

Cell Signaling Technology Logo
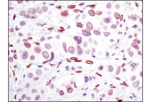
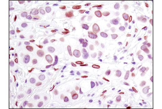
Immunohistochemical analysis of paraffin-embedded human breast carcinoma using Lamin A/C (4C11) Mouse mAb. Data were generated using the standard formulation of this product.
Immunohistochemistry Image 1: Lamin A/C (4C11) Mouse Monoclonal Antibody (BSA and Azide Free)
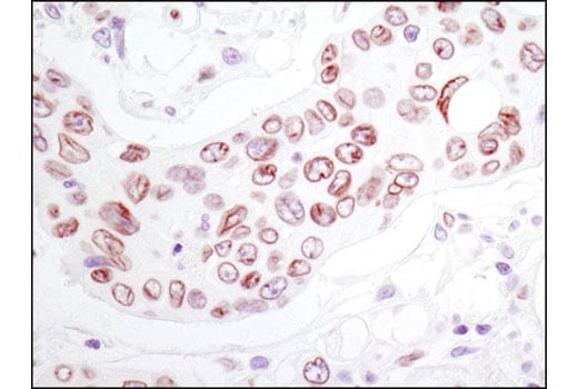
Immunohistochemical analysis of paraffin-embedded human colon carcinoma using Lamin A/C (4C11) Mouse mAb. Data were generated using the standard formulation of this product.
Immunohistochemistry Image 2: Lamin A/C (4C11) Mouse Monoclonal Antibody (BSA and Azide Free)
Immunofluorescent analysis of normal rat brain using Lamin A/C (4C11) Mouse mAb (green) and MAP2 Antibody #4542 (red). Data were generated using the standard formulation of this product.
Immunofluorescence Image 1: Lamin A/C (4C11) Mouse Monoclonal Antibody (BSA and Azide Free)
Orders: 877-616-CELL (2355) [email protected] Support: 877-678-TECH (8324) [email protected] Web: cellsignal.com
For Research Use Only. Not for Use in Diagnostic Procedures.

Revision 1

Cell Signaling Technology Logo
Confocal immunofluorescent analysis of HeLa cells using Lamin A/C (4C11) Mouse mAb (green). Actin filaments were labeled with DY-554 phalloidin (red). Data were generated using the standard formulation of this product.
Immunofluorescence Image 1: Lamin A/C (4C11) Mouse Monoclonal Antibody (BSA and Azide Free)
Flow cytometric analysis of HeLa cells (green) using Lamin A/C (4C11) Mouse mAb (solid lines) or a concentration matched Mouse (G3A1) mAb IgG Isotype Control #5415 (dashed lines). Anti-mouse IgG (H+L), F(ab')2 Fragment (Alexa Fluor® 488 Conjugate) #4408 was used as a secondary antibody. Data were generated using the standard formulation of this product.
Flow Cytometry Image 1: Lamin A/C (4C11) Mouse Monoclonal Antibody (BSA and Azide Free)
Flow cytometric analysis of Daudi cells (blue) and MJ cells (green) using Lamin A/C (4C11) Mouse mAb (solid lines) or concentration-matched Mouse (G3A1) mAb IgG1 Isotype Control #5415 (dashed lines). Anti-mouse IgG (H+L), F(ab')2 Fragment (Alexa Fluor® 488 Conjugate) #4408 was used as a secondary antibody. Data were generated using the standard formulation of this product.
Flow Cytometry Image 2: Lamin A/C (4C11) Mouse Monoclonal Antibody (BSA and Azide Free)
Orders: 877-616-CELL (2355) [email protected] Support: 877-678-TECH (8324) [email protected] Web: cellsignal.com
For Research Use Only. Not for Use in Diagnostic Procedures.