Revision 1

#17416

Store at -20C

CST Logo
Orders:

877-616-CELL (2355)

[email protected]

Support:

877-678-TECH (8324)

3 Trask Lane | Danvers | Massachusetts | 01923 | USA

For Research Use Only. Not for Use in Diagnostic Procedures.

Applications:
W, IHC-P

Reactivity:
H M R

Sensitivity:
Endogenous

MW (kDa):
68, 45

Source/Isotype:
Rabbit IgG

UniProt ID:
#P20700

Entrez-Gene Id:
4001

Product Usage Information

Application Dilution
Western Blotting 1:1000
Immunohistochemistry (Paraffin) 1:500 - 1:2000

Storage

Supplied in 10 mM sodium HEPES (pH 7.5), 150 mM NaCl, 100 µg/ml BSA, 50% glycerol and less than 0.02% sodium azide. Store at –20°C. Do not aliquot the antibody.

Specificity/Sensitivity

Lamin B1 (E6M5T) Rabbit Monoclonal Antibody recognizes endogenous levels of total lamin B1 protein. Species cross-reactivity for IHC-P is human only.

Source / Purification

Monoclonal antibody is produced by immunizing animals with a synthetic peptide corresponding to residues surrounding Arg455 of human lamin B1 protein.

Background

Lamins are nuclear membrane structural components that are important in maintaining normal cell functions, such as cell cycle control, DNA replication, and chromatin organization (1-3). Lamins have been subdivided into types A and B. Type-A lamins consist of lamin A and C, which arise from alternative splicing of the lamin A gene LMNA. Lamin A and C are cleaved by caspases into large (41-50 kDa) and small (28 kDa) fragments, which can be used as markers for apoptosis (4,5). Type-B lamins consist of lamin B1 and B2, encoded by separate genes (6-8). Lamin B1 is also cleaved by caspases during apoptosis (9). Research studies have shown that duplication of the lamin B1 gene LMNB1 is correlated with pathogenesis of the neurological disorder adult-onset leukodystrophy (10).

Species Reactivity

Species reactivity is determined by testing in at least one approved application (e.g., western blot).

Western Blot Buffer

IMPORTANT: For western blots, incubate membrane with diluted primary antibody in 5% w/v BSA, 1X TBS, 0.1% Tween® 20 at 4°C with gentle shaking, overnight.

Applications Key

W: Western Blotting IHC-P: Immunohistochemistry (Paraffin)

Cross-Reactivity Key

H: Human M: Mouse R: Rat

Trademarks and Patents

Cell Signaling Technology is a trademark of Cell Signaling Technology, Inc.

SignalStain is a registered trademark of Cell Signaling Technology, Inc.

All other trademarks are the property of their respective owners. Visit cellsignal.com/trademarks for more information.

Limited Uses

Except as otherwise expressly agreed in a writing signed by a legally authorized representative of CST, the following terms apply to Products provided by CST, its affiliates or its distributors. Any Customer's terms and conditions that are in addition to, or different from, those contained herein, unless separately accepted in writing by a legally authorized representative of CST, are rejected and are of no force or effect.

Products are labeled with For Research Use Only or a similar labeling statement and have not been approved, cleared, or licensed by the FDA or other regulatory foreign or domestic entity, for any purpose. Customer shall not use any Product for any diagnostic or therapeutic purpose, or otherwise in any manner that conflicts with its labeling statement. Products sold or licensed by CST are provided for Customer as the end-user and solely for research and development uses. Any use of Product for diagnostic, prophylactic or therapeutic purposes, or any purchase of Product for resale (alone or as a component) or other commercial purpose, requires a separate license from CST. Customer shall (a) not sell, license, loan, donate or otherwise transfer or make available any Product to any third party, whether alone or in combination with other materials, or use the Products to manufacture any commercial products, (b) not copy, modify, reverse engineer, decompile, disassemble or otherwise attempt to discover the underlying structure or technology of the Products, or use the Products for the purpose of developing any products or services that would compete with CST products or services, (c) not alter or remove from the Products any trademarks, trade names, logos, patent or copyright notices or markings, (d) use the Products solely in accordance with CST Product Terms of Sale and any applicable documentation, and (e) comply with any license, terms of service or similar agreement with respect to any third party products or services used by Customer in connection with the Products.

Orders: 877-616-CELL (2355) [email protected] Support: 877-678-TECH (8324) [email protected] Web: cellsignal.com
For Research Use Only. Not for Use in Diagnostic Procedures.

Revision 1

Cell Signaling Technology Logo
Western blot analysis of extracts from various cell lines and rat spleen tissue using Lamin B1 (E6M5T) Rabbit mAb (upper) or GAPDH (D16H11) XP® Rabbit mAb #5174 (lower). Relatively low expression of Lamin B1 protein in U-87 MG cells is consistent with the predicted expression pattern.
Western Blotting Image 1: Lamin B1 (E6M5T) Rabbit Monoclonal Antibody
Immunohistochemical analysis of paraffin-embedded normal human breast using Lamin B1 (E6M5T) Rabbit mAb.
Immunohistochemistry Image 1: Lamin B1 (E6M5T) Rabbit Monoclonal Antibody
Immunohistochemical analysis of paraffin-embedded BeWo cell pellet (left, high-expressing) or U-87 MG cell pellet (right, low-expressing) using Lamin B1 (E6M5T) Rabbit mAb.
Immunohistochemistry Image 2: Lamin B1 (E6M5T) Rabbit Monoclonal Antibody
Orders: 877-616-CELL (2355) [email protected] Support: 877-678-TECH (8324) [email protected] Web: cellsignal.com
For Research Use Only. Not for Use in Diagnostic Procedures.

Revision 1

Cell Signaling Technology Logo
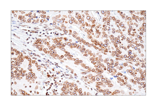
Immunohistochemical analysis of paraffin-embedded human esophageal adenocarcinoma using Lamin B1 (E6M5T) Rabbit mAb.
Immunohistochemistry Image 3: Lamin B1 (E6M5T) Rabbit Monoclonal Antibody
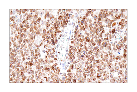
Immunohistochemical analysis of paraffin-embedded human squamous cell carcinoma of the tonsil using Lamin B1 (E6M5T) Rabbit mAb.
Immunohistochemistry Image 4: Lamin B1 (E6M5T) Rabbit Monoclonal Antibody
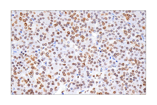
Immunohistochemical analysis of paraffin-embedded human renal cell carcinoma using Lamin B1 (E6M5T) Rabbit mAb.
Immunohistochemistry Image 5: Lamin B1 (E6M5T) Rabbit Monoclonal Antibody
Orders: 877-616-CELL (2355) [email protected] Support: 877-678-TECH (8324) [email protected] Web: cellsignal.com
For Research Use Only. Not for Use in Diagnostic Procedures.

Revision 1

Cell Signaling Technology Logo
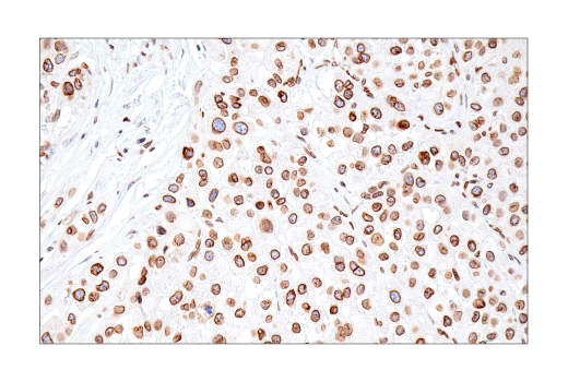
Immunohistochemical analysis of paraffin-embedded human hepatocellular carcinoma using Lamin B1 (E6M5T) Rabbit mAb.
Immunohistochemistry Image 6: Lamin B1 (E6M5T) Rabbit Monoclonal Antibody
Immunohistochemical analysis of paraffin-embedded human mature ovarian teratoma using Lamin B1 (E6M5T) Rabbit mAb.
Immunohistochemistry Image 7: Lamin B1 (E6M5T) Rabbit Monoclonal Antibody
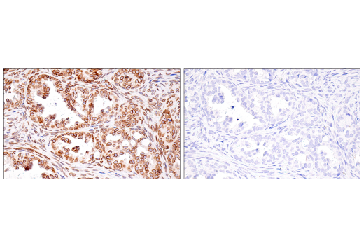
Immunohistochemical analysis of paraffin-embedded human ovarian clear cell carcinoma using Lamin B1 (E6M5T) Rabbit mAb (left) compared to concentration-matched Rabbit (DA1E) mAb IgG XP® Isotype Control #3900 (right).
Immunohistochemistry Image 8: Lamin B1 (E6M5T) Rabbit Monoclonal Antibody
Orders: 877-616-CELL (2355) [email protected] Support: 877-678-TECH (8324) [email protected] Web: cellsignal.com
For Research Use Only. Not for Use in Diagnostic Procedures.

Revision 1

Cell Signaling Technology Logo
Immunohistochemical analysis of paraffin-embedded normal human pancreas using Lamin B1 (E6M5T) Rabbit mAb.
Immunohistochemistry Image 9: Lamin B1 (E6M5T) Rabbit Monoclonal Antibody
Immunohistochemical analysis of paraffin-embedded normal human prostate using Lamin B1 (E6M5T) Rabbit mAb.
Immunohistochemistry Image 10: Lamin B1 (E6M5T) Rabbit Monoclonal Antibody
Immunohistochemical analysis of paraffin-embedded normal human thymus using Lamin B1 (E6M5T) Rabbit mAb.
Immunohistochemistry Image 11: Lamin B1 (E6M5T) Rabbit Monoclonal Antibody
Orders: 877-616-CELL (2355) [email protected] Support: 877-678-TECH (8324) [email protected] Web: cellsignal.com
For Research Use Only. Not for Use in Diagnostic Procedures.