Revision 1

#46843

Store at -20C

CST Logo
Orders:

877-616-CELL (2355)

[email protected]

Support:

877-678-TECH (8324)

3 Trask Lane | Danvers | Massachusetts | 01923 | USA

For Research Use Only. Not for Use in Diagnostic Procedures.

Applications:
W, IHC-P

Reactivity:
M

Sensitivity:
Endogenous

MW (kDa):
42 (non-glycosylated), 90-120 (glycosylated)

Source/Isotype:
Rabbit IgG

UniProt ID:
#P11438

Entrez-Gene Id:
16783

Product Usage Information

Application Dilution
Western Blotting 1:1000
Immunohistochemistry (Paraffin) 1:500 - 1:2000

Storage

Supplied in 10 mM sodium HEPES (pH 7.5), 150 mM NaCl, 100 µg/ml BSA, 50% glycerol and less than 0.02% sodium azide. Store at –20°C. Do not aliquot the antibody.

Specificity/Sensitivity

LAMP1 (E6N3R) Rabbit Monoclonal Antibody recognizes endogenous levels of total LAMP1 protein. Non-specific nucleolar staining was observed in mouse brain by immunohistochemistry.

Source / Purification

Monoclonal antibody is produced by immunizing animals with a synthetic peptide corresponding to residues surrounding Phe122 of mouse LAMP1 protein.

Background

Lysosome-associated membrane protein 1 and 2 (LAMP1 and LAMP2) are two abundant lysosomal membrane proteins (1,2). Both are transmembrane proteins and are heavily glycosylated at the amino-terminal luminal side of the lysosomal inner leaflet, which protects the proteins from proteolysis (3). The carboxy terminus of LAMP1 is exposed to the cytoplasm and contains a tyrosine sorting motif that targets LAMP to lysosomal membranes (4). LAMP1 and LAMP2 are 37% homologous in their protein sequences. Both LAMP1 and LAMP2 are involved in regulating lysosomal motility during lysosome-phagosome fusion and cholesterol trafficking (5,6).

Species Reactivity

Species reactivity is determined by testing in at least one approved application (e.g., western blot).

Western Blot Buffer

IMPORTANT: For western blots, incubate membrane with diluted primary antibody in 5% w/v BSA, 1X TBS, 0.1% Tween® 20 at 4°C with gentle shaking, overnight.

Applications Key

W: Western Blotting IHC-P: Immunohistochemistry (Paraffin)

Cross-Reactivity Key

M: Mouse

Trademarks and Patents

Cell Signaling Technology is a trademark of Cell Signaling Technology, Inc.

SignalStain is a registered trademark of Cell Signaling Technology, Inc.

All other trademarks are the property of their respective owners. Visit cellsignal.com/trademarks for more information.

Limited Uses

Except as otherwise expressly agreed in a writing signed by a legally authorized representative of CST, the following terms apply to Products provided by CST, its affiliates or its distributors. Any Customer's terms and conditions that are in addition to, or different from, those contained herein, unless separately accepted in writing by a legally authorized representative of CST, are rejected and are of no force or effect.

Products are labeled with For Research Use Only or a similar labeling statement and have not been approved, cleared, or licensed by the FDA or other regulatory foreign or domestic entity, for any purpose. Customer shall not use any Product for any diagnostic or therapeutic purpose, or otherwise in any manner that conflicts with its labeling statement. Products sold or licensed by CST are provided for Customer as the end-user and solely for research and development uses. Any use of Product for diagnostic, prophylactic or therapeutic purposes, or any purchase of Product for resale (alone or as a component) or other commercial purpose, requires a separate license from CST. Customer shall (a) not sell, license, loan, donate or otherwise transfer or make available any Product to any third party, whether alone or in combination with other materials, or use the Products to manufacture any commercial products, (b) not copy, modify, reverse engineer, decompile, disassemble or otherwise attempt to discover the underlying structure or technology of the Products, or use the Products for the purpose of developing any products or services that would compete with CST products or services, (c) not alter or remove from the Products any trademarks, trade names, logos, patent or copyright notices or markings, (d) use the Products solely in accordance with CST Product Terms of Sale and any applicable documentation, and (e) comply with any license, terms of service or similar agreement with respect to any third party products or services used by Customer in connection with the Products.

Orders: 877-616-CELL (2355) [email protected] Support: 877-678-TECH (8324) [email protected] Web: cellsignal.com
For Research Use Only. Not for Use in Diagnostic Procedures.

Revision 1

Cell Signaling Technology Logo
Western blot analysis of extracts from mouse C2C12 and NIH/3T3 cells, mock treated (-) or peptide-N-glycosidase F (PNGaseF)-treated (+), using LAMP1 (E6N3R) Rabbit mAb (upper) or β-Actin (D6A8) Rabbit mAb #8457 (lower).
Western Blotting Image 1: LAMP1 (E6N3R) Rabbit Monoclonal Antibody
Immunohistochemical analysis of paraffin-embedded mouse kidney using LAMP1 (E6N3R) Rabbit mAb.
Immunohistochemistry Image 1: LAMP1 (E6N3R) Rabbit Monoclonal Antibody
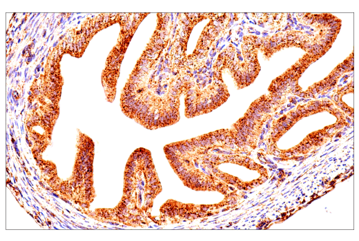
Immunohistochemical analysis of paraffin-embedded mouse colon using LAMP1 (E6N3R) Rabbit mAb.
Immunohistochemistry Image 2: LAMP1 (E6N3R) Rabbit Monoclonal Antibody
Orders: 877-616-CELL (2355) [email protected] Support: 877-678-TECH (8324) [email protected] Web: cellsignal.com
For Research Use Only. Not for Use in Diagnostic Procedures.

Revision 1

Cell Signaling Technology Logo
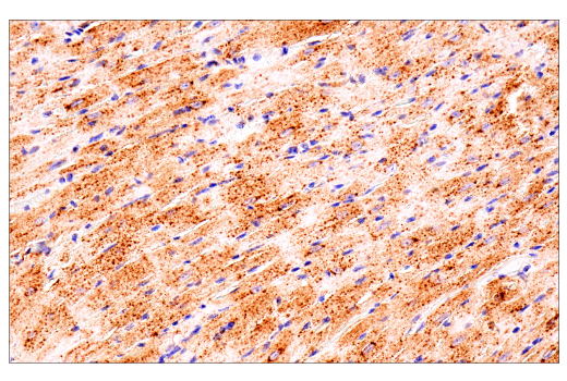
Immunohistochemical analysis of paraffin-embedded mouse heart using LAMP1 (E6N3R) Rabbit mAb.
Immunohistochemistry Image 3: LAMP1 (E6N3R) Rabbit Monoclonal Antibody
Immunohistochemical analysis of paraffin-embedded mouse liver using LAMP1 (E6N3R) Rabbit mAb.
Immunohistochemistry Image 4: LAMP1 (E6N3R) Rabbit Monoclonal Antibody
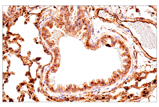
Immunohistochemical analysis of paraffin-embedded mouse lung using LAMP1 (E6N3R) Rabbit mAb.
Immunohistochemistry Image 5: LAMP1 (E6N3R) Rabbit Monoclonal Antibody
Orders: 877-616-CELL (2355) [email protected] Support: 877-678-TECH (8324) [email protected] Web: cellsignal.com
For Research Use Only. Not for Use in Diagnostic Procedures.

Revision 1

Cell Signaling Technology Logo
Immunohistochemical analysis of paraffin-embedded mouse oviduct using LAMP1 (E6N3R) Rabbit mAb.
Immunohistochemistry Image 6: LAMP1 (E6N3R) Rabbit Monoclonal Antibody
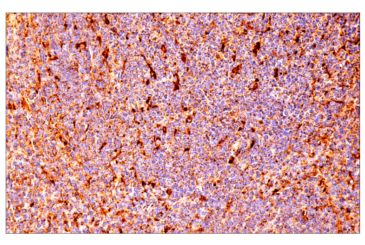
Immunohistochemical analysis of paraffin-embedded mouse spleen using LAMP1 (E6N3R) Rabbit mAb.
Immunohistochemistry Image 7: LAMP1 (E6N3R) Rabbit Monoclonal Antibody
Immunohistochemical analysis of paraffin-embedded mouse thymus using LAMP1 (E6N3R) Rabbit mAb.
Immunohistochemistry Image 8: LAMP1 (E6N3R) Rabbit Monoclonal Antibody
Orders: 877-616-CELL (2355) [email protected] Support: 877-678-TECH (8324) [email protected] Web: cellsignal.com
For Research Use Only. Not for Use in Diagnostic Procedures.

Revision 1

Cell Signaling Technology Logo
Immunohistochemical analysis of paraffin-embedded mouse testis using LAMP1 (E6N3R) Rabbit mAb (left) compared to concentration-matched Rabbit (DA1E) mAb IgG XP® Isotype Control #3900 (right).
Immunohistochemistry Image 9: LAMP1 (E6N3R) Rabbit Monoclonal Antibody
Orders: 877-616-CELL (2355) [email protected] Support: 877-678-TECH (8324) [email protected] Web: cellsignal.com
For Research Use Only. Not for Use in Diagnostic Procedures.