Revision 4

#47778

Store at -20C

CST Logo
Orders:

877-616-CELL (2355)

[email protected]

Support:

877-678-TECH (8324)

3 Trask Lane | Danvers | Massachusetts | 01923 | USA

For Research Use Only. Not for Use in Diagnostic Procedures.

Applications:
W, IHC-P, IF-IC

Reactivity:
H

Sensitivity:
Endogenous

MW (kDa):
70, 140

Source/Isotype:
Rabbit IgG

UniProt ID:
#Q9UQV4

Entrez-Gene Id:
27074

Product Usage Information

Application Dilution
Western Blotting 1:1000
Immunohistochemistry (Paraffin) 1:100 - 1:400
Immunofluorescence (Immunocytochemistry) 1:400 - 1:1600

Storage

Supplied in 10 mM sodium HEPES (pH 7.5), 150 mM NaCl, 100 µg/mL BSA, 50% glycerol, and less than 0.02% sodium azide. Store at –20°C. Do not aliquot the antibody.

For a carrier free (BSA and azide free) version of this product see product #88687.

Specificity/Sensitivity

LAMP3/CD208 (E6E5U) Rabbit Monoclonal Antibody recognizes endogenous levels of total LAMP3 protein.

Source / Purification

Monoclonal antibody is produced by immunizing animals with a synthetic peptide corresponding to residues surrounding Pro257 of human LAMP3/CD208 protein.

Background

Lysosome-associated membrane proteins (LAMPs) are a family of proteins present predominantly on the membrane of lysosomes. Five members have been identified so far (LAMP1, LAMP2, LAMP3, CD68/Macrosialin/LAMP4, and BAD-LAMP/LAMP5). LAMP proteins are involved in many different aspects of cell biology and can influence cellular processes, such as phagocytosis, autophagy, lipid transport, and aging. Their expression varies among different tissues (1). LAMP3, also known as CD-LAMP and CD208, is highly expressed only in certain cell types and differentiation stages. LAMP3 is specifically expressed by human dendritic cells (DCs) upon activation and therefore serves as a marker of human DC maturation, but is not expressed by DCs in mouse (2-4). Its expression is associated with poor prognosis of certain tumors, and the locus where it is encoded was identified as a risk factor for Parkinson's disease (PD) (5).

Species Reactivity

Species reactivity is determined by testing in at least one approved application (e.g., western blot).

Western Blot Buffer

IMPORTANT: For western blots, incubate membrane with diluted primary antibody in 5% w/v nonfat dry milk, 1X TBS, 0.1% Tween® 20 at 4°C with gentle shaking, overnight.

Applications Key

W: Western Blotting IHC-P: Immunohistochemistry (Paraffin) IF-IC: Immunofluorescence (Immunocytochemistry)

Cross-Reactivity Key

H: Human

Trademarks and Patents

Cell Signaling Technology is a trademark of Cell Signaling Technology, Inc.

All other trademarks are the property of their respective owners. Visit cellsignal.com/trademarks for more information.

Limited Uses

Except as otherwise expressly agreed in a writing signed by a legally authorized representative of CST, the following terms apply to Products provided by CST, its affiliates or its distributors. Any Customer's terms and conditions that are in addition to, or different from, those contained herein, unless separately accepted in writing by a legally authorized representative of CST, are rejected and are of no force or effect.

Products are labeled with For Research Use Only or a similar labeling statement and have not been approved, cleared, or licensed by the FDA or other regulatory foreign or domestic entity, for any purpose. Customer shall not use any Product for any diagnostic or therapeutic purpose, or otherwise in any manner that conflicts with its labeling statement. Products sold or licensed by CST are provided for Customer as the end-user and solely for research and development uses. Any use of Product for diagnostic, prophylactic or therapeutic purposes, or any purchase of Product for resale (alone or as a component) or other commercial purpose, requires a separate license from CST. Customer shall (a) not sell, license, loan, donate or otherwise transfer or make available any Product to any third party, whether alone or in combination with other materials, or use the Products to manufacture any commercial products, (b) not copy, modify, reverse engineer, decompile, disassemble or otherwise attempt to discover the underlying structure or technology of the Products, or use the Products for the purpose of developing any products or services that would compete with CST products or services, (c) not alter or remove from the Products any trademarks, trade names, logos, patent or copyright notices or markings, (d) use the Products solely in accordance with CST Product Terms of Sale and any applicable documentation, and (e) comply with any license, terms of service or similar agreement with respect to any third party products or services used by Customer in connection with the Products.

Orders: 877-616-CELL (2355) [email protected] Support: 877-678-TECH (8324) [email protected] Web: cellsignal.com
For Research Use Only. Not for Use in Diagnostic Procedures.

Revision 4

Cell Signaling Technology Logo
Western blot analysis of extracts from various cell lines using LAMP3/CD208 (E6E5U) XP® Rabbit mAb (upper) or β-Actin (D6A8) Rabbit mAb #8457 (lower).
Western Blotting Image 1: LAMP3/CD208 (E6E5U) Rabbit Monoclonal Antibody
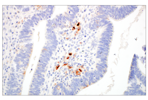
Immunohistochemical analysis of paraffin-embedded human colon carcinoma using LAMP3/CD208 (E6E5U) XP® Rabbit mAb.
Immunohistochemistry Image 1: LAMP3/CD208 (E6E5U) Rabbit Monoclonal Antibody
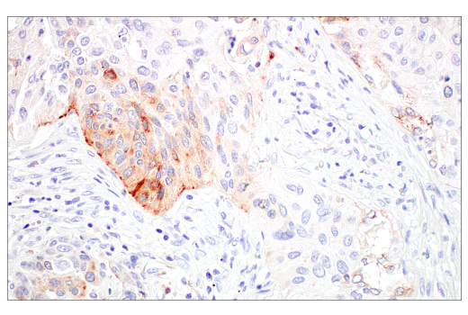
Immunohistochemical analysis of paraffin-embedded human endometrioid adenocarcinoma using LAMP3/CD208 (E6E5U) XP® Rabbit mAb.
Immunohistochemistry Image 2: LAMP3/CD208 (E6E5U) Rabbit Monoclonal Antibody
Orders: 877-616-CELL (2355) [email protected] Support: 877-678-TECH (8324) [email protected] Web: cellsignal.com
For Research Use Only. Not for Use in Diagnostic Procedures.

Revision 4

Cell Signaling Technology Logo
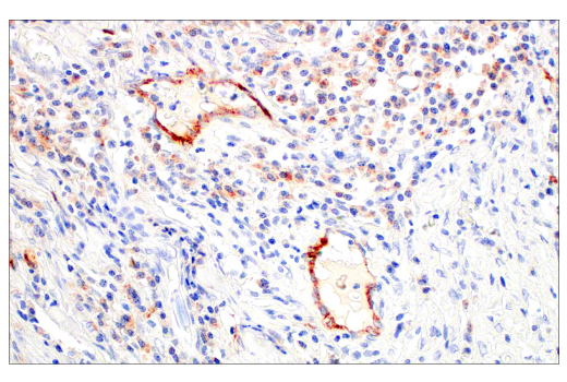
Immunohistochemical analysis of paraffin-embedded human serous papillary carcinoma of the ovary using LAMP3/CD208 (E6E5U) XP® Rabbit mAb.
Immunohistochemistry Image 3: LAMP3/CD208 (E6E5U) Rabbit Monoclonal Antibody
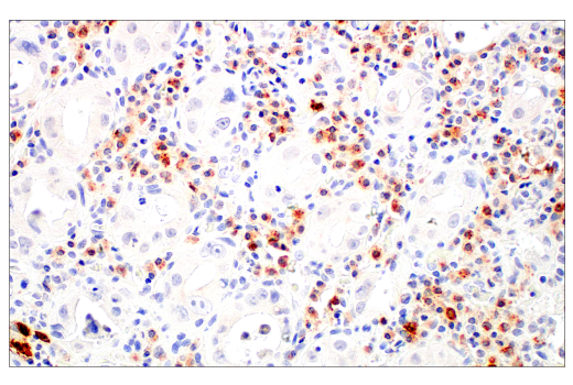
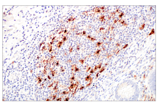
Immunohistochemical analysis of paraffin-embedded human B-cell non-Hodgkin lymphoma using LAMP3/CD208 (E6E5U) XP® Rabbit mAb.
Immunohistochemistry Image 4: LAMP3/CD208 (E6E5U) Rabbit Monoclonal Antibody
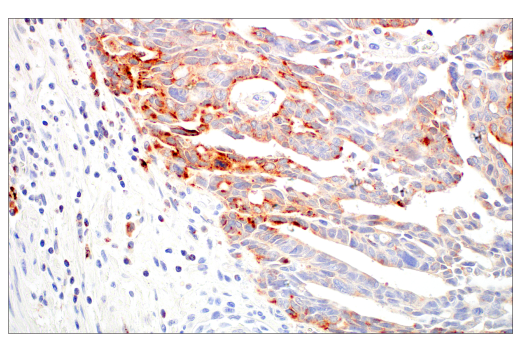
Immunohistochemical analysis of paraffin-embedded human squamous cell lung carcinoma using LAMP3/CD208 (E6E5U) XP® Rabbit mAb.
Immunohistochemistry Image 5: LAMP3/CD208 (E6E5U) Rabbit Monoclonal Antibody
Orders: 877-616-CELL (2355) [email protected] Support: 877-678-TECH (8324) [email protected] Web: cellsignal.com
For Research Use Only. Not for Use in Diagnostic Procedures.

Revision 4

Cell Signaling Technology Logo
Immunohistochemical analysis of paraffin-embedded human mucinous colorectal adenocarcinoma using LAMP3/CD208 (E6E5U) XP® Rabbit mAb.
Immunohistochemistry Image 6: LAMP3/CD208 (E6E5U) Rabbit Monoclonal Antibody
Immunohistochemical analysis of paraffin-embedded human appendix using LAMP3/CD208 (E6E5U) XP® Rabbit mAb.
Immunohistochemistry Image 7: LAMP3/CD208 (E6E5U) Rabbit Monoclonal Antibody
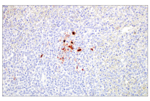
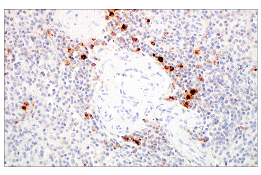
Immunohistochemical analysis of paraffin-embedded normal human spleen using LAMP3/CD208 (E6E5U) XP® Rabbit mAb.
Immunohistochemistry Image 8: LAMP3/CD208 (E6E5U) Rabbit Monoclonal Antibody
Orders: 877-616-CELL (2355) [email protected] Support: 877-678-TECH (8324) [email protected] Web: cellsignal.com
For Research Use Only. Not for Use in Diagnostic Procedures.

Revision 4

Cell Signaling Technology Logo
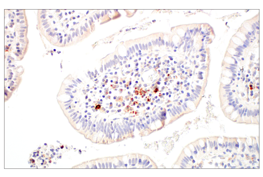
Immunohistochemical analysis of paraffin-embedded normal human small intestine using LAMP3/CD208 (E6E5U) XP® Rabbit mAb.
Immunohistochemistry Image 9: LAMP3/CD208 (E6E5U) Rabbit Monoclonal Antibody
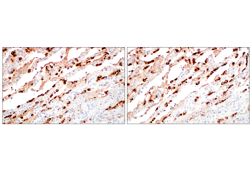
Immunohistochemical analysis of paraffin-embedded human lung sarcoma using LAMP3/CD208 (E6E5U) XP® Rabbit mAb (left) or a LAMP3/CD208 Rabbit mAb (right). These two antibodies detect unique, non-overlapping epitopes on human LAMP3/CD208. The similar staining patterns obtained with both antibodies help to confirm the specificity of the staining.
Immunohistochemistry Image 10: LAMP3/CD208 (E6E5U) Rabbit Monoclonal Antibody
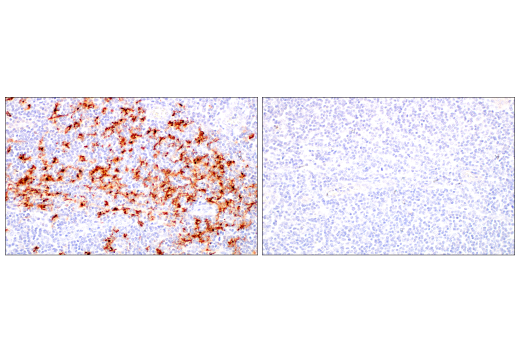
Immunohistochemical analysis of paraffin-embedded human tonsil using LAMP3/CD208 (E6E5U) XP® Rabbit mAb (left) compared to concentration-matched Rabbit (DA1E) mAb IgG XP® Isotype Control #3900 (right). 
Immunohistochemistry Image 11: LAMP3/CD208 (E6E5U) Rabbit Monoclonal Antibody
Orders: 877-616-CELL (2355) [email protected] Support: 877-678-TECH (8324) [email protected] Web: cellsignal.com
For Research Use Only. Not for Use in Diagnostic Procedures.

Revision 4

Cell Signaling Technology Logo
Immunohistochemical analysis of paraffin-embedded 293T cell pellet, untransfected (left) or LAMP3/CD208-transfected (right), using LAMP3/CD208 (E6E5U) XP® Rabbit mAb.
Immunohistochemistry Image 12: LAMP3/CD208 (E6E5U) Rabbit Monoclonal Antibody
Confocal immunofluorescent analysis of EFO-21 cells (left, positive) and KYSE-70 cells (right, negative) using LAMP3/CD208 (E6E5U) XP® Rabbit mAb (green) and Propidium Iodide (PI)/RNase Staining Solution #4087 (blue pseudocolor).
Immunofluorescence Image 1: LAMP3/CD208 (E6E5U) Rabbit Monoclonal Antibody
Orders: 877-616-CELL (2355) [email protected] Support: 877-678-TECH (8324) [email protected] Web: cellsignal.com
For Research Use Only. Not for Use in Diagnostic Procedures.