Revision 3

#36833

Store at -20C

CST Logo
Orders:

877-616-CELL (2355)

[email protected]

Support:

877-678-TECH (8324)

3 Trask Lane | Danvers | Massachusetts | 01923 | USA

For Research Use Only. Not for Use in Diagnostic Procedures.

Product Includes Product # Quantity Mol. Wt Isotype/Source
BIN1 (E4A1P) Rabbit Monoclonal Antibody5184420 µl45-80 kDaRabbit IgG
SORL1 (D8D4G) Rabbit Monoclonal Antibody7932220 µl250 kDaRabbit IgG
TREM2 (D8I4C) Rabbit Monoclonal Antibody9106820 µl28 kDaRabbit IgG
ApoE (pan) (D7I9N) Rabbit Monoclonal Antibody1336620 µl35 kDaRabbit IgG
Clusterin (D7N2K) Rabbit Monoclonal Antibody3464220 µl35-42, 65, 75 kDaRabbit IgG
ApoE4 (E5M4L) Rabbit Monoclonal Antibody3932720 µl35 kDaRabbit IgG
EphA1 (D6V7I) Rabbit Monoclonal Antibody9067320 µl130 kDaRabbit IgG
MEF2C (D80C1) Rabbit Monoclonal Antibody503020 µl50-60 kDaRabbit IgG
MHC Class II (LGII-612.14) Mouse Monoclonal Antibody6825820 µl25-35, 50-65 kDaMouse IgG1
Anti-rabbit IgG, HRP-linked Antibody7074100 µlGoat

Please visit cellsignal.com for individual component applications, species cross-reactivity, dilutions, protocols, and additional product information.

Description

The Late-Onset Alzheimer's Disease Risk Gene Antibody Sampler Kit provides an economical means of detecting proteins identified as risk factors for late-onset Alzheimer’s Disease (LOAD) by western blot. This kit includes enough antibodies to perform at least two western blot experiments with each primary antibody.

Storage

Supplied in 10 mM sodium HEPES (pH 7.5), 150 mM NaCl, 100 µg/mL BSA, 50% glycerol, and less than 0.02% sodium azide. Store at –20°C. Do not aliquot the antibody.

Background

Alzheimer's Disease (AD) is the leading cause of dementia worldwide. Clinically, it is characterized by the presence of extracellular amyloid plaques and intracellular neurofibrillary tangles, which result in neuronal dysfunction and cell death (1). Genome-wide association studies (GWAS) have identified a cohort of risk genes associated with late-onset AD (LOAD), including, but not limited to, APOE, BIN1, SORL1, TREM2, EphA1, MEF2C, CLU, and HLA-DRB1 (2,3).
 
APOE has three allele variants: ApoE2, ApoE3, and ApoE4. ApoE4 is associated with an increased risk of AD. Evidence suggests that this risk occurs through promotion of amyloid-beta plaque aggregation (1). ApoE4 is also associated with impaired microglial response, lipid transport, synaptic integrity and plasticity, glucose metabolism, and cerebrovascular integrity (4). Mutations in BIN1, primarily involved in endocytosis and maintaining cytoskeletal integrity in the brain, are suggested to play a role in the aggravation of tau pathology (5,6). Increased levels of BIN1 have been seen in AD postmortem brain tissue (6). SORL1 expression is decreased in the brain of AD patients (7). Studies have demonstrated a role for SORL1 as a neuronal sorting receptor that binds amyloid precursor protein (APP) and regulates its trafficking and proteolytic processing, thus regulating β-amyloid (Aβ) peptide production (8). The triggering receptor expressed on myeloid cells 2 (TREM2) is an innate immune receptor that is expressed on the cell surface of microglia, macrophages, osteoclasts, and immature dendritic cells (9). Research studies using AD mouse models indicate that deficiency and haploinsufficiency of TREM2 can lead to increased Aβ accumulation due to dysfunctional microglia response (10). EphA1 is a member of the ephrin family of receptor tyrosine kinases responsible for regulating cell morphology and motility (11). In the central nervous system (CNS), EphA1 plays a role in synaptic plasticity and axon guidance (12). EphA1 is involved in inflammatory signaling pathways (13), which may mean it plays a role in regulation of neuroinflammatory processes in AD (14). MEF2C is a member of the myocyte enhancer factor 2 (MEF2) family of transcription factors shown to play a role in learning and memory formation through regulation of synaptic plasticity (15). Studies have shown that MEF2C may play a role in age-related microglial activation through IFN-I associated MEF2C deregulation (16,17). MEF2C may also act as a modulator for APP proteolytic processing of Aβ (18,19). Clusterin (CLU) is a multifunctional glycoprotein shown to play a protective role in AD by sequestering Aβ40 peptides to form long-lived, stable complexes, which prevent amyloid fibril formation (20-22). Major histocompatibility complex class II (MHC class II) molecules are transmembrane glycoproteins expressed on the surface of antigen-presenting cells that bind exogenous peptide antigens derived from endocytosed extracellular proteins digested in the lysosome (23,24). Increases in MHC class II-expressing microglia have been shown in AD brain (25).

Trademarks and Patents

Cell Signaling Technology is a trademark of Cell Signaling Technology, Inc.

All other trademarks are the property of their respective owners. Visit cellsignal.com/trademarks for more information.

Limited Uses

Except as otherwise expressly agreed in a writing signed by a legally authorized representative of CST, the following terms apply to Products provided by CST, its affiliates or its distributors. Any Customer's terms and conditions that are in addition to, or different from, those contained herein, unless separately accepted in writing by a legally authorized representative of CST, are rejected and are of no force or effect.

Products are labeled with For Research Use Only or a similar labeling statement and have not been approved, cleared, or licensed by the FDA or other regulatory foreign or domestic entity, for any purpose. Customer shall not use any Product for any diagnostic or therapeutic purpose, or otherwise in any manner that conflicts with its labeling statement. Products sold or licensed by CST are provided for Customer as the end-user and solely for research and development uses. Any use of Product for diagnostic, prophylactic or therapeutic purposes, or any purchase of Product for resale (alone or as a component) or other commercial purpose, requires a separate license from CST. Customer shall (a) not sell, license, loan, donate or otherwise transfer or make available any Product to any third party, whether alone or in combination with other materials, or use the Products to manufacture any commercial products, (b) not copy, modify, reverse engineer, decompile, disassemble or otherwise attempt to discover the underlying structure or technology of the Products, or use the Products for the purpose of developing any products or services that would compete with CST products or services, (c) not alter or remove from the Products any trademarks, trade names, logos, patent or copyright notices or markings, (d) use the Products solely in accordance with CST Product Terms of Sale and any applicable documentation, and (e) comply with any license, terms of service or similar agreement with respect to any third party products or services used by Customer in connection with the Products.

Orders: 877-616-CELL (2355) [email protected] Support: 877-678-TECH (8324) [email protected] Web: cellsignal.com
For Research Use Only. Not for Use in Diagnostic Procedures.

Revision 3

Cell Signaling Technology Logo
Western blot analysis of cell extracts from Hep G2 cells treated with Brefeldin A #9972 (10 ng/ml, 90 min) and human cerebellum using ApoE (pan) (D7I9N) Rabbit mAb.
undefined Image 1: Late-Onset Alzheimer's Disease Risk Gene Antibody Sampler Kit
Immunohistochemical analysis of paraffin-embedded human kidney using ApoE (pan) (D7I9N) Rabbit mAb.
undefined Image 2: Late-Onset Alzheimer's Disease Risk Gene Antibody Sampler Kit
Western blot analysis of extracts from indicated human cell lines and human tonsil using Clusterin (D7N2K) XP® Rabbit mAb (upper) and β-Actin (D6A8) Rabbit mAb #8457 (lower).
undefined Image 3: Late-Onset Alzheimer's Disease Risk Gene Antibody Sampler Kit
Orders: 877-616-CELL (2355) [email protected] Support: 877-678-TECH (8324) [email protected] Web: cellsignal.com
For Research Use Only. Not for Use in Diagnostic Procedures.

Revision 3

Cell Signaling Technology Logo
Western blot analysis of recombinant ApoE2, ApoE4, and ApoE3 proteins (5ng) using ApoE4 (E5M4L) Rabbit mAb (upper) and ApoE (pan) (D7I9N) Rabbit mAb #13366 (lower).
undefined Image 4: Late-Onset Alzheimer's Disease Risk Gene Antibody Sampler Kit
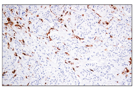
Immunohistochemical analysis of paraffin-embedded human hepatocellular carcinoma using ApoE4 (E5M4L) Rabbit mAb.
undefined Image 5: Late-Onset Alzheimer's Disease Risk Gene Antibody Sampler Kit
Western blot analysis of extracts from various cells lines using MEF2C (D80C1) XP® Rabbit mAb.
undefined Image 6: Late-Onset Alzheimer's Disease Risk Gene Antibody Sampler Kit
Orders: 877-616-CELL (2355) [email protected] Support: 877-678-TECH (8324) [email protected] Web: cellsignal.com
For Research Use Only. Not for Use in Diagnostic Procedures.

Revision 3

Cell Signaling Technology Logo
Western blot analysis of extracts from various cells and tissue extracts using BIN1 (E4A1P) Rabbit mAb (upper) and α-Actinin (D6F6) XP® Rabbit mAb #6487 (lower).
undefined Image 7: Late-Onset Alzheimer's Disease Risk Gene Antibody Sampler Kit
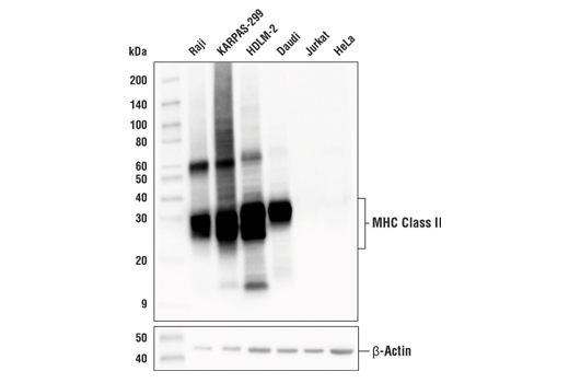
Western blot analysis of extracts from various cell lines using MHC Class II (LGII-612.14) Mouse mAb (upper) or β-Actin (D6A8) Rabbit mAb #8457 (lower).
undefined Image 8: Late-Onset Alzheimer's Disease Risk Gene Antibody Sampler Kit
After the primary antibody is bound to the target protein, a complex with HRP-linked secondary antibody is formed. The LumiGLO® is added and emits light during enzyme catalyzed decomposition.
undefined Image 9: Late-Onset Alzheimer's Disease Risk Gene Antibody Sampler Kit
Orders: 877-616-CELL (2355) [email protected] Support: 877-678-TECH (8324) [email protected] Web: cellsignal.com
For Research Use Only. Not for Use in Diagnostic Procedures.

Revision 3

Cell Signaling Technology Logo
Western blot analysis of extracts from various tissues using SORL1 (D8D4G) Rabbit mAb (upper) and β-Actin (D6A8) Rabbit mAb #8457 (lower).
undefined Image 10: Late-Onset Alzheimer's Disease Risk Gene Antibody Sampler Kit
Western blot analysis of extracts from LoVo, HT-29 and mIMCD-3 cell lines using EphA1 (D6V7I) Rabbit mAb.
undefined Image 11: Late-Onset Alzheimer's Disease Risk Gene Antibody Sampler Kit
Western blot analysis of extracts from 293T cells, mock transfected (-) or transfected with a construct expressing Myc-tagged full-length human TREM2 protein (hTREM2-Myc; +), using TREM2 (D8I4C) Rabbit mAb.
undefined Image 12: Late-Onset Alzheimer's Disease Risk Gene Antibody Sampler Kit
Orders: 877-616-CELL (2355) [email protected] Support: 877-678-TECH (8324) [email protected] Web: cellsignal.com
For Research Use Only. Not for Use in Diagnostic Procedures.

Revision 3

Cell Signaling Technology Logo
Western blot analysis of cell extracts from 293T cells, treated with Brefeldin A #9972 (10 ng/ml, 90 min; +) and mock transfected (-) or transfected with a construct expressing full-length human ApoE2 (hApoE2; +), ApoE3 (hApoE3; +), or ApoE4 (hApoE4; +), using ApoE (pan) (D7I9N) Rabbit mAb (upper) and α-Actinin (D6F6) XP® Rabbit mAb #6487 (lower).
undefined Image 13: Late-Onset Alzheimer's Disease Risk Gene Antibody Sampler Kit
Immunohistochemical analysis of paraffin-embedded liver (left) or brain (right) from C57BL/6NTac (wt/wt, model #B6-F, top) and APOE4 knock-in (hu/hu, model #1549-F, bottom) mice using ApoE (pan) (D7I9N) Rabbit mAb. Mice from Taconic Biosciences, Inc.
undefined Image 14: Late-Onset Alzheimer's Disease Risk Gene Antibody Sampler Kit
Immunohistochemical analysis of paraffin-embedded T-47D cell pellet (left, positive) or Jurkat cell pellet (right, negative) using Clusterin (D7N2K) XP® Rabbit mAb.
undefined Image 15: Late-Onset Alzheimer's Disease Risk Gene Antibody Sampler Kit
Orders: 877-616-CELL (2355) [email protected] Support: 877-678-TECH (8324) [email protected] Web: cellsignal.com
For Research Use Only. Not for Use in Diagnostic Procedures.

Revision 3

Cell Signaling Technology Logo
Western blot analysis of extracts from 293T cells, mock transfected (-) or transfected with constructs expressing full-length human ApoE4 protein (hApoE4; +), full-length human ApoE3 protein (hApoE3; +), or full-length human ApoE2 protein (hApoE2; +), using ApoE4 (E5M4L) Rabbit mAb (upper), ApoE (pan) (D7I9N) Rabbit mAb #13366 (middle), and β-Actin (D6A8) Rabbit mAb #8457 (lower).
undefined Image 16: Late-Onset Alzheimer's Disease Risk Gene Antibody Sampler Kit
Immunohistochemical analysis of paraffin-embedded human urothelial carcinoma using ApoE4 (E5M4L) Rabbit mAb.
undefined Image 17: Late-Onset Alzheimer's Disease Risk Gene Antibody Sampler Kit
Confocal immunofluorescent analysis of C2C12 cells, undifferentiated (left) or differentiated for 3 days (right), using MEF2C (D80C1) XP® Rabbit mAb (green). Actin filaments were labeled with DY-554 phalloidin (red).
undefined Image 18: Late-Onset Alzheimer's Disease Risk Gene Antibody Sampler Kit
Orders: 877-616-CELL (2355) [email protected] Support: 877-678-TECH (8324) [email protected] Web: cellsignal.com
For Research Use Only. Not for Use in Diagnostic Procedures.

Revision 3

Cell Signaling Technology Logo
Immunoprecipitation of BIN1 protein from SK-OV-3 cell extracts. Lane 1 is 10% input, lane 2 is Rabbit (DA1E) mAb IgG XP® Isotype Control #3900, and lane 3 is BIN1 (E4A1P) Rabbit mAb. Western blot analysis was performed using BIN1 (E4A1P) Rabbit mAb.
undefined Image 19: Late-Onset Alzheimer's Disease Risk Gene Antibody Sampler Kit
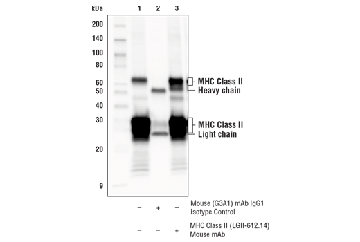
Immunoprecipitation of MHC Class II from Raji cell extracts. Lane 1 is 10% input, lane 2 is Mouse (G3A1) mAb IgG1 Isotype Control #5415, and lane 3 is MHC Class II (LGII-612.14) Mouse mAb. Western blot analysis was performed using MHC Class II (LGII-612.14) Mouse mAb. Anti-mouse IgG, HRP-linked Antibody #7076 was used as the secondary antibody.
undefined Image 20: Late-Onset Alzheimer's Disease Risk Gene Antibody Sampler Kit
Western blot analysis of extracts from THP-1, HL-60, and Jurkat cells using TREM2 (D8I4C) Rabbit mAb (upper) and β-Actin (D6A8) Rabbit mAb #8457 (lower).
undefined Image 21: Late-Onset Alzheimer's Disease Risk Gene Antibody Sampler Kit
Orders: 877-616-CELL (2355) [email protected] Support: 877-678-TECH (8324) [email protected] Web: cellsignal.com
For Research Use Only. Not for Use in Diagnostic Procedures.

Revision 3

Cell Signaling Technology Logo
Immunoprecipitation of ApoE from Hep G2 cells treated with Brefeldin A #9972 (10 ng/ml, 90 min), using Rabbit (DA1E) mAb IgG XP® Isotype Control #3900 (lane 2) or ApoE (pan) (D7I9N) Rabbit mAb (lane 3). Lane 1 is 10% input. Western blot analysis was performed using ApoE (pan) (D7I9N) Rabbit mAb.
undefined Image 22: Late-Onset Alzheimer's Disease Risk Gene Antibody Sampler Kit
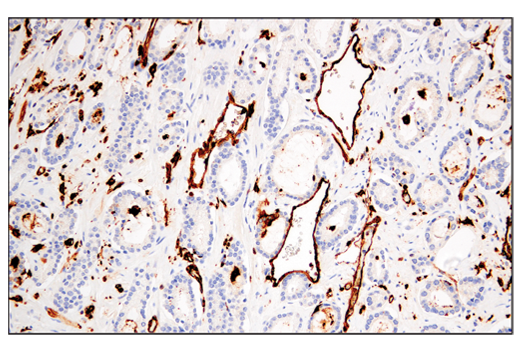
Immunohistochemical analysis of paraffin-embedded human spleen using ApoE (pan) (D7I9N) Rabbit mAb.
undefined Image 23: Late-Onset Alzheimer's Disease Risk Gene Antibody Sampler Kit
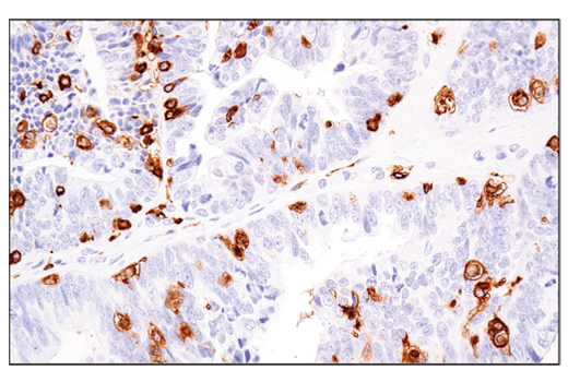
Immunohistochemical analysis of paraffin-embedded human non-small cell lung carcinoma using Clusterin (D7N2K) XP® Rabbit mAb.
undefined Image 24: Late-Onset Alzheimer's Disease Risk Gene Antibody Sampler Kit
Orders: 877-616-CELL (2355) [email protected] Support: 877-678-TECH (8324) [email protected] Web: cellsignal.com
For Research Use Only. Not for Use in Diagnostic Procedures.

Revision 3

Cell Signaling Technology Logo
Immunohistochemical analysis of paraffin-embedded liver (left) or brain (right) from C57BL/6NTac (wt/wt, model #B6-F, top) and APOE4 knock-in (hu/hu, model #1549-F, bottom) mice using ApoE4 (E5M4L) Rabbit mAb. Mice from Taconic Biosciences, Inc.
undefined Image 25: Late-Onset Alzheimer's Disease Risk Gene Antibody Sampler Kit
Immunohistochemical analysis of paraffin-embedded human prostate adenocarcinoma using MHC Class II (LGII-612.14) Mouse mAb performed on the Leica® BOND™ Rx.
undefined Image 26: Late-Onset Alzheimer's Disease Risk Gene Antibody Sampler Kit
Immunoprecipitation of TREM2 from THP-1 cell extracts. Lane 1 is 10% input, lane 2 is Rabbit (DA1E) mAb IgG XP® Isotype Control #3900, and lane 3 is TREM2 (D8I4C) Rabbit mAb. Western blot analysis was performed using TREM2 (D8I4C) Rabbit mAb.
undefined Image 27: Late-Onset Alzheimer's Disease Risk Gene Antibody Sampler Kit
Orders: 877-616-CELL (2355) [email protected] Support: 877-678-TECH (8324) [email protected] Web: cellsignal.com
For Research Use Only. Not for Use in Diagnostic Procedures.

Revision 3

Cell Signaling Technology Logo
Immunohistochemical analysis of paraffin-embedded human small intestine using ApoE (pan) (D7I9N) Rabbit mAb.
undefined Image 28: Late-Onset Alzheimer's Disease Risk Gene Antibody Sampler Kit
Immunohistochemical analysis of paraffin-embedded human serous papillary carcinoma of the ovary using Clusterin (D7N2K) XP® Rabbit mAb.
undefined Image 29: Late-Onset Alzheimer's Disease Risk Gene Antibody Sampler Kit
Immunohistochemical analysis of paraffin-embedded normal human lung using ApoE4 (E5M4L) Rabbit mAb.
undefined Image 30: Late-Onset Alzheimer's Disease Risk Gene Antibody Sampler Kit
Orders: 877-616-CELL (2355) [email protected] Support: 877-678-TECH (8324) [email protected] Web: cellsignal.com
For Research Use Only. Not for Use in Diagnostic Procedures.

Revision 3

Cell Signaling Technology Logo
Immunohistochemical analysis of paraffin-embedded human gastric carcinoma using MHC Class II (LGII-612.14) Mouse mAb performed on the Leica® BOND™ Rx.
undefined Image 31: Late-Onset Alzheimer's Disease Risk Gene Antibody Sampler Kit
Confocal immunofluorescent analysis of THP-1 (positive, left) and HL-60 (negative, right) cells using TREM2 (D8I4C) Rabbit mAb (green). Actin filaments were labeled with DyLight™ 554 Phalloidin #13054 (red). Blue pseudocolor = DRAQ5® #4084 (fluorescent DNA dye).
undefined Image 32: Late-Onset Alzheimer's Disease Risk Gene Antibody Sampler Kit
Immunohistochemical analysis of paraffin-embedded human skin using ApoE (pan) (D7I9N) Rabbit mAb in the presence of control peptide (left) and antigen-specific peptide (right).
undefined Image 33: Late-Onset Alzheimer's Disease Risk Gene Antibody Sampler Kit
Orders: 877-616-CELL (2355) [email protected] Support: 877-678-TECH (8324) [email protected] Web: cellsignal.com
For Research Use Only. Not for Use in Diagnostic Procedures.

Revision 3

Cell Signaling Technology Logo
Immunohistochemical analysis of paraffin-embedded human tonsil using Clusterin (D7N2K) XP® Rabbit mAb in the presence of control peptide (left) or antigen-specific peptide (right).
undefined Image 34: Late-Onset Alzheimer's Disease Risk Gene Antibody Sampler Kit
Immunohistochemical analysis of paraffin-embedded human mature ovarian teratoma using ApoE4 (E5M4L) Rabbit mAb.
undefined Image 35: Late-Onset Alzheimer's Disease Risk Gene Antibody Sampler Kit
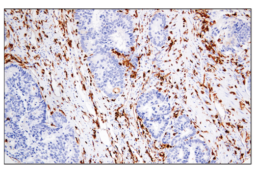
Immunohistochemical analysis of paraffin-embedded human ductal breast carcinoma using MHC Class II (LGII-612.14) Mouse mAb.
undefined Image 36: Late-Onset Alzheimer's Disease Risk Gene Antibody Sampler Kit
Orders: 877-616-CELL (2355) [email protected] Support: 877-678-TECH (8324) [email protected] Web: cellsignal.com
For Research Use Only. Not for Use in Diagnostic Procedures.

Revision 3

Cell Signaling Technology Logo
Immunohistochemical analysis of paraffin-embedded 293T cell pellets, control (left-top) or transfected with human ApoE isoforms ApoE2 (right-top), ApoE3 (left-bottom), and ApoE4 (right-bottom) using ApoE (pan) (D7I9N) Rabbit mAb.
undefined Image 37: Late-Onset Alzheimer's Disease Risk Gene Antibody Sampler Kit
Immunohistochemical analysis of paraffin-embedded human prostate carcinoma using Clusterin (D7N2K) XP® Rabbit mAb.
undefined Image 38: Late-Onset Alzheimer's Disease Risk Gene Antibody Sampler Kit
Immunohistochemical analysis of paraffin-embedded human lung adenocarcinoma using ApoE4 (E5M4L) Rabbit mAb.
undefined Image 39: Late-Onset Alzheimer's Disease Risk Gene Antibody Sampler Kit
Orders: 877-616-CELL (2355) [email protected] Support: 877-678-TECH (8324) [email protected] Web: cellsignal.com
For Research Use Only. Not for Use in Diagnostic Procedures.

Revision 3

Cell Signaling Technology Logo
Immunohistochemical analysis of paraffin-embedded human colon carcinoma using MHC Class II (LGII-612.14) Mouse mAb (left) compared to concentration-matched Mouse (G3A1) mAb IgG1 Isotype Control #5415 (right).
undefined Image 40: Late-Onset Alzheimer's Disease Risk Gene Antibody Sampler Kit
Immunohistochemical analysis of paraffin-embedded Hep G2 cell pellet (left, positive) or 293T cell pellet (right, negative) using ApoE (pan) (D7I9N) Rabbit mAb.
undefined Image 41: Late-Onset Alzheimer's Disease Risk Gene Antibody Sampler Kit
Immunohistochemical analysis of paraffin-embedded 293T cell pellets, control or transfected with human ApoE isoforms ApoE4, ApoE2, and ApoE3 (from left to right as indicated), using ApoE4 (E5M4L) Rabbit mAb (top panels) or ApoE (pan) (D7I9N) Rabbit mAb #13366 (bottom panels). Note the limited cross-reactivity with overexpressed ApoE2 and ApoE3. Cross-reactivity with these isoforms in endogenous models is unlikely.
undefined Image 42: Late-Onset Alzheimer's Disease Risk Gene Antibody Sampler Kit
Orders: 877-616-CELL (2355) [email protected] Support: 877-678-TECH (8324) [email protected] Web: cellsignal.com
For Research Use Only. Not for Use in Diagnostic Procedures.

Revision 3

Cell Signaling Technology Logo
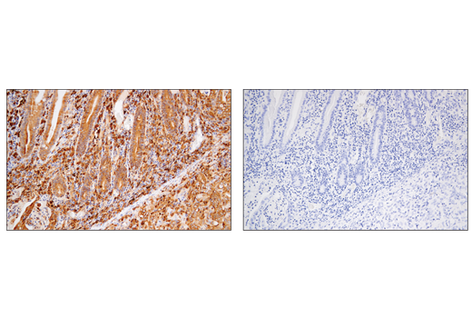
Immunohistochemical analysis of paraffin-embedded human colon adenocarcinoma using MHC Class II (LGII-612.14) Mouse mAb.
undefined Image 43: Late-Onset Alzheimer's Disease Risk Gene Antibody Sampler Kit
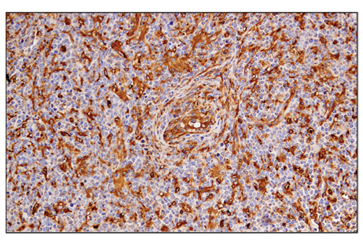
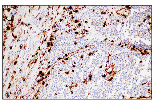
Immunohistochemical analysis of paraffin-embedded human non-Hodgkin lymphoma using MHC Class II (LGII-612.14) Mouse mAb.
undefined Image 44: Late-Onset Alzheimer's Disease Risk Gene Antibody Sampler Kit
Confocal immunofluorescent analysis of Hep G2 cells (left, positive) and 293T cells (right, negative) using ApoE (pan) (D7I9N) Rabbit mAb #13366 (green). Actin filaments were labeled with DyLight™ 554 Phalloidin #13054 (red). Samples were mounted in ProLong® Gold Antifade Reagent with DAPI #8961 (blue).
undefined Image 45: Late-Onset Alzheimer's Disease Risk Gene Antibody Sampler Kit
Orders: 877-616-CELL (2355) [email protected] Support: 877-678-TECH (8324) [email protected] Web: cellsignal.com
For Research Use Only. Not for Use in Diagnostic Procedures.

Revision 3

Cell Signaling Technology Logo
Immunohistochemical analysis of paraffin-embedded human serous papillary carcinoma of the ovary using MHC Class II (LGII-612.14) Mouse mAb.
undefined Image 46: Late-Onset Alzheimer's Disease Risk Gene Antibody Sampler Kit
Western blot analysis of extracts from HepG2 cells (lane 1), 293T mock transfected (lane 2) or transiently transfected with a construct expressing ApoE4 (lane 3), whole liver extracts from wild type C57BL/6NTac model #B6-F mice (lane 4), or ApoE4 knock-in (model #1549-F) (lane 5) using ApoE4 (E5M4L) Rabbit mAb (upper) and β-Actin (D6A8) Rabbit mAb #8457 (lower). Mice from Taconic Biosciences, Inc.
undefined Image 47: Late-Onset Alzheimer's Disease Risk Gene Antibody Sampler Kit
Immunohistochemical analysis of paraffin-embedded Raji cell pellet (left, positive) or Jurkat cell pellet (right, negative) using MHC Class II (LGII-612.14) Mouse mAb.
undefined Image 48: Late-Onset Alzheimer's Disease Risk Gene Antibody Sampler Kit
Orders: 877-616-CELL (2355) [email protected] Support: 877-678-TECH (8324) [email protected] Web: cellsignal.com
For Research Use Only. Not for Use in Diagnostic Procedures.

Revision 3

Cell Signaling Technology Logo
Flow cytometric analysis of Jurkat cells (blue) and Raji cells (green) using MHC Class II (LGII-612.14) Mouse mAb (solid lines) or a concentration-matched Mouse (G3A1) mAb IgG1 Isotype Control #5415 (dashed lines). Anti-mouse IgG (H+L), F(ab')2 Fragment (Alexa Fluor® 488 Conjugate) #4408 was used as a secondary antibody.
undefined Image 49: Late-Onset Alzheimer's Disease Risk Gene Antibody Sampler Kit
Western blot analysis of extracts from HepG2 cells (lane 1), 293T mock transfected (lane 2) or transiently transfected with a construct expressing ApoE4 (lane 3), whole liver extracts from wild type C57BL/6NTac model #B6-F mice (lane 4), or ApoE4 knock-in (model #1549-F) (lane 5), whole brain extracts from wild type C57BL/6NTac mice (lane 6), or ApoE4 knock-in (lane 7) using ApoE (pan) (D7I9N) Rabbit mAb (upper) and β-Actin (D6A8) Rabbit mAb #8457 (lower). Mice from Taconic Biosciences, Inc.
undefined Image 50: Late-Onset Alzheimer's Disease Risk Gene Antibody Sampler Kit
Confocal immunofluorescent analysis of fixed frozen hippocampus from C57BL/6 (left) and APOE4 knock-in (hu/hu, model #1549-F, right) mice labeled with ApoE (pan) (D7I9N) Rabbit mAb (top, green). Free secondary binding sites were then blocked with Rabbit (DA1E) mAb IgG XP® Isotype Control #3900 prior to colabeling with GFAP (GA5) Mouse mAb (Alexa Fluor® 594 Conjugate) #8152 (bottom, red), and AQP4 (D1F8E) XP® Rabbit mAb (Alexa Fluor® 647 Conjugate) #89851 (bottom, blue pseudocolor). Mice from Taconic Biosciences, Inc.
undefined Image 51: Late-Onset Alzheimer's Disease Risk Gene Antibody Sampler Kit
Orders: 877-616-CELL (2355) [email protected] Support: 877-678-TECH (8324) [email protected] Web: cellsignal.com
For Research Use Only. Not for Use in Diagnostic Procedures.

Revision 3

Cell Signaling Technology Logo

Simple Western™ analysis of lysates (0.1 mg/mL) from 293T cells transfected with constructs expressing full-length human ApoE4 protein using ApoE4 (E5M4L) Rabbit mAb #39327. The virtual lane view (left) shows the target band (as indicated) at 1:10 and 1:50 dilutions of primary antibody. The corresponding electropherogram view (right) plots chemiluminescence by molecular weight along the capillary at 1:10 (blue line) and 1:50 (green line) dilutions of primary antibody. This experiment was performed under reducing conditions on the Jess™ Simple Western instrument from ProteinSimple, a BioTechne brand, using the 2-40 kDa separation module.

undefined Image 52: Late-Onset Alzheimer's Disease Risk Gene Antibody Sampler Kit
Simple Western™ analysis of lysates (0.001 mg/mL) from Karpas299 cells using MHC Class II (LGII-612.14) Mouse mAb #68258. The virtual lane view (left) shows the target (as indicated) at 1:10 and 1:50 dilutions of primary antibody. The corresponding electropherogram view (right) plots chemiluminescence by molecular weight along the capillary at 1:10 (blue line) and 1:50 (green line) dilutions of primary antibody. This experiment was performed under reducing conditions on the Jess™ Simple Western instrument from ProteinSimple, a BioTechne brand, using the 12-230 kDa separation module.
undefined Image 53: Late-Onset Alzheimer's Disease Risk Gene Antibody Sampler Kit
Flow cytometric analysis of fixed/permeablized Jurkat cells (blue, negative) and THP-1 cells (green, positive) using TREM2 (D8I4C) Rabbit mAb (solid lines) or concentration-matached Rabbit (DA1E) mAb IgG XP® Isotype Control #3900 (dashed lines). Anti-rabbit IgG F(ab')2 Fragment (Alexa Fluor® 488 Conjugate) #4412 was used as a secondary antibody.
undefined Image 54: Late-Onset Alzheimer's Disease Risk Gene Antibody Sampler Kit
Orders: 877-616-CELL (2355) [email protected] Support: 877-678-TECH (8324) [email protected] Web: cellsignal.com
For Research Use Only. Not for Use in Diagnostic Procedures.

Revision 3

Cell Signaling Technology Logo
Simple Western™ analysis of lysates (1 mg/ml) from THP-1 cells treated with PNGase using TREM2 (D8I4C) Rabbit mAb #91068. The virtual lane view (left) shows the target band (as indicated) at 1:50 and 1:250 dilutions of primary antibody. The corresponding electropherogram view (right) plots chemiluminescence by molecular weight along the capillary at 1:50 (blue line) and 1:250 (green line) dilutions of primary antibody. This experiment was performed under reducing conditions on the Jess™ Simple Western instrument from ProteinSimple, a BioTechne brand, using the 12-230kDa.
undefined Image 55: Late-Onset Alzheimer's Disease Risk Gene Antibody Sampler Kit
Orders: 877-616-CELL (2355) [email protected] Support: 877-678-TECH (8324) [email protected] Web: cellsignal.com
For Research Use Only. Not for Use in Diagnostic Procedures.