Revision 3

#20371

Store at -20C

CST Logo
Orders:

877-616-CELL (2355)

[email protected]

Support:

877-678-TECH (8324)

3 Trask Lane | Danvers | Massachusetts | 01923 | USA

For Research Use Only. Not for Use in Diagnostic Procedures.

Applications:
W, IHC-P, IF-F, IF-IC, FC-FP, ELISA

Reactivity:
H M R Mk

Sensitivity:
Endogenous

MW (kDa):
14, 16

Source/Isotype:
Mouse IgG2b kappa

UniProt ID:
#Q9GZQ8

Entrez-Gene Id:
81631

Product Usage Information

This product is the carrier free version of product #83506. All data were generated using the same antibody clone in the standard formulation which contains BSA and glycerol.

This formulation is ideal for use with technologies requiring specialized or custom antibody labeling, including fluorophores, metals, lanthanides, and oligonucleotides. It is not recommended for ChIP, ChIP-seq, CUT&RUN or CUT&Tag assays. If you require a carrier free formulation for chromatin profiling, please contact us. Optimal dilutions/concentrations should be determined by the end user.

BSA and Azide Free antibodies are quality control tested by size exclusion chromatography (SEC) to determine antibody integrity.

Formulation

Supplied in 1X PBS (10 mM Na2HPO4, 3 mM KCl, 2 mM KH2PO4, and 140 mM NaCl (pH 7.8)). BSA and Azide Free.

For standard formulation of this product see product #83506

Storage

Store at -20°C. This product will freeze at -20°C so it is recommended to aliquot into single-use vials to avoid multiple freeze/thaw cycles. A slight precipitate may be present and can be dissolved by gently vortexing. This will not interfere with antibody performance.

Specificity/Sensitivity

LC3B (E5Q2K) Mouse Monoclonal Antibody (BSA and Azide Free) recognizes endogenous levels of total LC3B protein. This antibody detects both type I and type II forms of LC3B. Cross reactivity was not detected with other family members.

Source / Purification

Monoclonal antibody is produced by immunizing animals with a synthetic peptide corresponding to residues near the amino terminus of human LC3B protein.

Background

Autophagy is a catabolic process for the autophagosomic-lysosomal degradation of bulk cytoplasmic contents (1,2). Autophagy is generally activated by conditions of nutrient deprivation, but it has also been associated with a number of physiological processes including development, differentiation, neurodegenerative diseases, infection, and cancer (3). Autophagy marker Light Chain 3 (LC3) was originally identified as a subunit of microtubule-associated proteins 1A and 1B (termed MAP1LC3) (4) and subsequently found to contain similarity to the yeast protein Apg8/Aut7/Cvt5 critical for autophagy (5). Three human LC3 isoforms (LC3A, LC3B, and LC3C) undergo posttranslational modifications during autophagy (6-9). Cleavage of LC3 at the carboxy terminus immediately following synthesis yields the cytosolic LC3-I form. During autophagy, LC3-I is converted to LC3-II through lipidation by a ubiquitin-like system involving Atg7 and Atg3 that allows for LC3 to become associated with autophagic vesicles (6-10). The presence of LC3 in autophagosomes and the conversion of LC3 to the lower migrating form, LC3-II, have been used as indicators of autophagy (11).

Species Reactivity

Species reactivity is determined by testing in at least one approved application (e.g., western blot).

Applications Key

W: Western Blotting IHC-P: Immunohistochemistry (Paraffin) IF-F: Immunofluorescence (Frozen) IF-IC: Immunofluorescence (Immunocytochemistry) FC-FP: Flow Cytometry (Fixed/Permeabilized) ELISA: ELISA

Cross-Reactivity Key

H: Human M: Mouse R: Rat Mk: Monkey

Trademarks and Patents

Cell Signaling Technology is a trademark of Cell Signaling Technology, Inc.

All other trademarks are the property of their respective owners. Visit cellsignal.com/trademarks for more information.

Limited Uses

Except as otherwise expressly agreed in a writing signed by a legally authorized representative of CST, the following terms apply to Products provided by CST, its affiliates or its distributors. Any Customer's terms and conditions that are in addition to, or different from, those contained herein, unless separately accepted in writing by a legally authorized representative of CST, are rejected and are of no force or effect.

Products are labeled with For Research Use Only or a similar labeling statement and have not been approved, cleared, or licensed by the FDA or other regulatory foreign or domestic entity, for any purpose. Customer shall not use any Product for any diagnostic or therapeutic purpose, or otherwise in any manner that conflicts with its labeling statement. Products sold or licensed by CST are provided for Customer as the end-user and solely for research and development uses. Any use of Product for diagnostic, prophylactic or therapeutic purposes, or any purchase of Product for resale (alone or as a component) or other commercial purpose, requires a separate license from CST. Customer shall (a) not sell, license, loan, donate or otherwise transfer or make available any Product to any third party, whether alone or in combination with other materials, or use the Products to manufacture any commercial products, (b) not copy, modify, reverse engineer, decompile, disassemble or otherwise attempt to discover the underlying structure or technology of the Products, or use the Products for the purpose of developing any products or services that would compete with CST products or services, (c) not alter or remove from the Products any trademarks, trade names, logos, patent or copyright notices or markings, (d) use the Products solely in accordance with CST Product Terms of Sale and any applicable documentation, and (e) comply with any license, terms of service or similar agreement with respect to any third party products or services used by Customer in connection with the Products.

Orders: 877-616-CELL (2355) [email protected] Support: 877-678-TECH (8324) [email protected] Web: cellsignal.com
For Research Use Only. Not for Use in Diagnostic Procedures.

Revision 3

Cell Signaling Technology Logo
Western blot analysis of extracts from HCT 116 and HCT 116 LC3B knockout cells, untreated (-) or treated with Chloroquine #14774 (50 μM, 18 hr) using LC3B (E5Q2K) Mouse mAb #83506 (upper) or GAPDH (D16H11) XP® Rabbit mAb #5174 (lower). The absence of signal in the HCT 116 knockout cells confirms the specificity of the antibody for LC3B. Data were generated using the standard formulation of this product.
Western Blotting Image 1: LC3B (E5Q2K) Mouse Monoclonal Antibody (BSA and Azide Free)
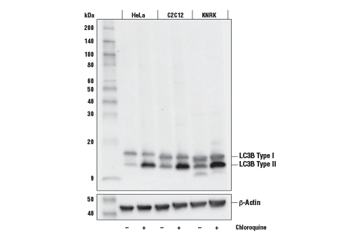
Western blot analysis of extracts from HeLa, C2C12, and KNRK cells, untreated (-) or treated with Chloroquine (50 μM, overnight; +) #14774 using LC3B (E5Q2K) Mouse mAb (upper) or β-Actin (D6A8) Rabbit mAb #8457 (lower). Data were generated using the standard formulation of this product.
Western Blotting Image 2: LC3B (E5Q2K) Mouse Monoclonal Antibody (BSA and Azide Free)
Western blot analysis of extracts from HeLa cells or HeLa cells with a knockout of LC3B (HeLa/LC3B KO) using LC3B (E5Q2K) Mouse mAb (upper) or β-Actin (D6A8) Rabbit mAb #8457 (lower). Data were generated using the standard formulation of this product.
Western Blotting Image 3: LC3B (E5Q2K) Mouse Monoclonal Antibody (BSA and Azide Free)
Orders: 877-616-CELL (2355) [email protected] Support: 877-678-TECH (8324) [email protected] Web: cellsignal.com
For Research Use Only. Not for Use in Diagnostic Procedures.

Revision 3

Cell Signaling Technology Logo
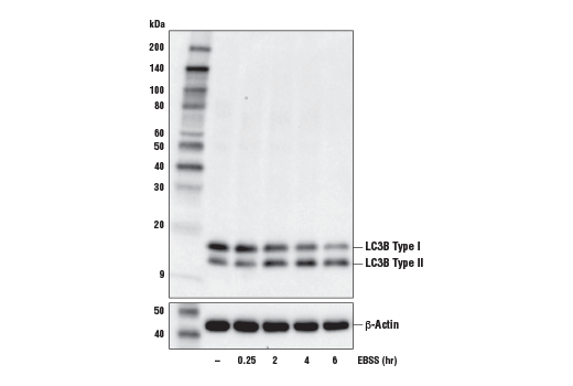
Western blot analysis of extracts from A549 cells, untreated (-) or starved with Earle's Balanced Salt Solution (EBSS) (indicated times) using LC3B (E5Q2K) Mouse mAb (upper) or β-Actin (D6A8) Rabbit mAb (lower). Data were generated using the standard formulation of this product.
Western Blotting Image 4: LC3B (E5Q2K) Mouse Monoclonal Antibody (BSA and Azide Free)
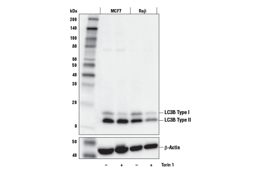
Western blot analysis of extracts from MCF7 and Raji cells, untreated (-) or treated with Torin 1 (250 nM, 5 hr; +) #14379, using LC3B (E5Q2K) Mouse mAb (upper) or β-Actin (D6A8) Rabbit mAb #8457 (lower). Data were generated using the standard formulation of this product.
Western Blotting Image 5: LC3B (E5Q2K) Mouse Monoclonal Antibody (BSA and Azide Free)
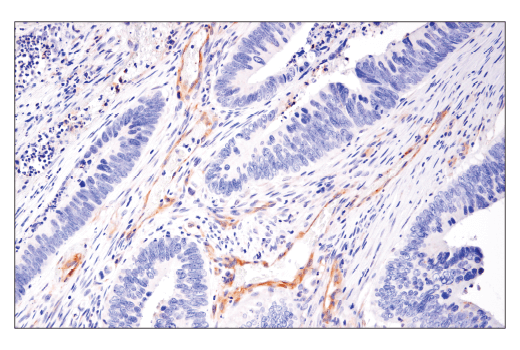
Immunohistochemical analysis of paraffin-embedded human colon carcinoma using LC3B (E5Q2K) Mouse mAb. Data were generated using the standard formulation of this product.
Immunohistochemistry Image 1: LC3B (E5Q2K) Mouse Monoclonal Antibody (BSA and Azide Free)
Orders: 877-616-CELL (2355) [email protected] Support: 877-678-TECH (8324) [email protected] Web: cellsignal.com
For Research Use Only. Not for Use in Diagnostic Procedures.

Revision 3

Cell Signaling Technology Logo
Immunohistochemical analysis of paraffin-embedded human esophageal carcinoma using LC3B (E5Q2K) Mouse mAb. Data were generated using the standard formulation of this product.
Immunohistochemistry Image 2: LC3B (E5Q2K) Mouse Monoclonal Antibody (BSA and Azide Free)
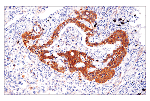
Immunohistochemical analysis of paraffin-embedded human lung carcinoma using LC3B (E5Q2K) Mouse mAb. Data were generated using the standard formulation of this product.
Immunohistochemistry Image 3: LC3B (E5Q2K) Mouse Monoclonal Antibody (BSA and Azide Free)
Immunohistochemical analysis of paraffin-embedded human non-Hodgkin's lymphoma using LC3B (E5Q2K) Mouse mAb. Data were generated using the standard formulation of this product.
Immunohistochemistry Image 4: LC3B (E5Q2K) Mouse Monoclonal Antibody (BSA and Azide Free)
Orders: 877-616-CELL (2355) [email protected] Support: 877-678-TECH (8324) [email protected] Web: cellsignal.com
For Research Use Only. Not for Use in Diagnostic Procedures.

Revision 3

Cell Signaling Technology Logo
Immunohistochemical analysis of paraffin-embedded HCT116 cell pellets, untreated (left-top) or treated with Chloroquine #14774 (right-top), and HCT116 LC3B knockout cell pellets, untreated (left-bottom) or treated with Chloroquine #14774 (right-bottom), using LC3B (E5Q2K) Mouse mAb. Data were generated using the standard formulation of this product.
Immunohistochemistry Image 5: LC3B (E5Q2K) Mouse Monoclonal Antibody (BSA and Azide Free)
Immunohistochemical analysis of paraffin-embedded normal human brain using LC3B (E5Q2K) Mouse mAb. Data were generated using the standard formulation of this product.
Immunohistochemistry Image 6: LC3B (E5Q2K) Mouse Monoclonal Antibody (BSA and Azide Free)
Immunohistochemical analysis of paraffin-embedded KARPAS 299 cell pellet (left, high-expressing) or VCaP cell pellet (right, low-expressing) using LC3B (E5Q2K) Mouse mAb. Data were generated using the standard formulation of this product.
Immunohistochemistry Image 7: LC3B (E5Q2K) Mouse Monoclonal Antibody (BSA and Azide Free)
Orders: 877-616-CELL (2355) [email protected] Support: 877-678-TECH (8324) [email protected] Web: cellsignal.com
For Research Use Only. Not for Use in Diagnostic Procedures.

Revision 3

Cell Signaling Technology Logo
Immunohistochemical analysis of paraffin-embedded HeLa cell pellets, untreated (left) or treated with Chloroquine #14774 (right), using LC3B (E5Q2K) Mouse mAb. Data were generated using the standard formulation of this product.
Immunohistochemistry Image 8: LC3B (E5Q2K) Mouse Monoclonal Antibody (BSA and Azide Free)
Immunohistochemical analysis of paraffin-embedded normal human spleen using LC3B (E5Q2K) Mouse mAb. Data were generated using the standard formulation of this product.
Immunohistochemistry Image 9: LC3B (E5Q2K) Mouse Monoclonal Antibody (BSA and Azide Free)
Confocal immunofluorescent analysis of fixed frozen mouse cerebellum, labeled with LC3B (E5Q2K) Mouse mAb #83506 (left, green) and co-labeled with GFAP (E4L7M) XP® Rabbit mAb #80788 (right, red) and DAPI #4083 (right, blue). Data were generated using the standard formulation of this product.
Immunofluorescence Image 1: LC3B (E5Q2K) Mouse Monoclonal Antibody (BSA and Azide Free)
Orders: 877-616-CELL (2355) [email protected] Support: 877-678-TECH (8324) [email protected] Web: cellsignal.com
For Research Use Only. Not for Use in Diagnostic Procedures.

Revision 3

Cell Signaling Technology Logo
Confocal immunofluorescent analysis of fixed frozen mouse pons, labeled with LC3B (E5Q2K) Mouse mAb #83506 (left, green) and co-labeled with GFAP (E4L7M) XP® Rabbit mAb #80788 (right, red) and DAPI #4083 (right, blue). Data were generated using the standard formulation of this product.
Immunofluorescence Image 2: LC3B (E5Q2K) Mouse Monoclonal Antibody (BSA and Azide Free)
Confocal immunofluorescent analysis of HCT 116 cells either untreated (left) or treated with Chloroquine #14774 (50 µM, overnight) (center) or LC3B HCT 116 knockout cells treated with Chloroquine #14774 (50 µM, overnight) (right) using LC3B (E5Q2K) Mouse mAb (green). Actin filaments were labeled with β-Actin (13E5) Rabbit mAb #4970 (red) and nuclei were labeled with DAPI #4083 (blue). Data were generated using the standard formulation of this product.
Immunofluorescence Image 1: LC3B (E5Q2K) Mouse Monoclonal Antibody (BSA and Azide Free)
Flow cytometric analysis of HCT-116 cells, wild-type (green, high expression) or LC3B knockdown (blue, negative expression), using LC3B (E5Q2K) Mouse mAb or a concentration-matched Mouse (E7Q5L) mAb IgG2b Isotype Control #53484 (dashed lines). Anti-mouse IgG (H+L), F(ab')2 Fragment (Alexa Fluor® 488 Conjugate) #4408 was used as a secondary antibody. Data were generated using the standard formulation of this product.
Flow Cytometry Image 1: LC3B (E5Q2K) Mouse Monoclonal Antibody (BSA and Azide Free)
Orders: 877-616-CELL (2355) [email protected] Support: 877-678-TECH (8324) [email protected] Web: cellsignal.com
For Research Use Only. Not for Use in Diagnostic Procedures.

Revision 3

Cell Signaling Technology Logo
Flow cytometric analysis of HCT-116 cells, untreated (blue) or treated with Chloroquine #14774 (50 μM, 18 hr; green) using LC3B (E5Q2K) Mouse mAb Antibody (solid lines) or concentration-matched Mouse (E7Q5L) mAb IgG2b Isotype Control #53484 (dashed lines). Anti-mouse IgG (H+L), F(ab')2 Fragment (Alexa Fluor® 488 Conjugate) #4408 was used as a secondary antibody. Data were generated using the standard formulation of this product.
Flow Cytometry Image 2: LC3B (E5Q2K) Mouse Monoclonal Antibody (BSA and Azide Free)
Data using Total LC3B Matched Antibody Pair #48226 are shown. The two antibodies function as a capture-target-detection sandwich (#98439 and #20371, respectively) to detect endogenous protein expression in treated and untreated cells.
ELISA Image 1: LC3B (E5Q2K) Mouse Monoclonal Antibody (BSA and Azide Free)
Orders: 877-616-CELL (2355) [email protected] Support: 877-678-TECH (8324) [email protected] Web: cellsignal.com
For Research Use Only. Not for Use in Diagnostic Procedures.