Revision 4

#3588

Store at -20C

CST Logo
Orders:

877-616-CELL (2355)

[email protected]

Support:

877-678-TECH (8324)

3 Trask Lane | Danvers | Massachusetts | 01923 | USA

For Research Use Only. Not for Use in Diagnostic Procedures.

Applications:
W, IHC-P

Reactivity:
H M

Sensitivity:
Endogenous

MW (kDa):
70

Source/Isotype:
Rabbit IgG

UniProt ID:
#P13796

Entrez-Gene Id:
3936

Product Usage Information

Application Dilution
Western Blotting 1:1000
Immunohistochemistry (Paraffin) 1:400

Storage

Supplied in 10 mM sodium HEPES (pH 7.5), 150 mM NaCl, 100 µg/ml BSA, 50% glycerol and less than 0.02% sodium azide. Store at –20°C. Do not aliquot the antibody.

For a carrier free (BSA and azide free) version of this product see product #43188.

Specificity/Sensitivity

LCP1 (D1C3) Rabbit Monoclonal Antibody recognizes endogenous levels of total LCP1 protein.

Species predicted to react based on 100% sequence homology

Monkey

Source / Purification

Monoclonal antibody is produced by immunizing animals with a synthetic peptide corresponding to residues surrounding Asp567 of human LCP1 protein.

Background

Highly conserved and widely expressed plastin proteins comprise a subset of actin-binding proteins that include proteins that promote actin bundling. Three plastins exhibiting differential expression are found in mammals and include L-plastin, T-plastin, and I-plastin. T-plastin (plastin-3) is found in cells of most solid tissues, while I-plastin (plastin-1) is expressed specifically in the kidney, colon, and small intestine (1-3). Research studies have shown that L-plastin (plastin-2) or lymphocyte cytosolic protein 1 (LCP1) is mainly expressed in hematopoietic cells and nonhematopoietic tumors, and increased expression correlates with metastatic progression in colon cancer cell lines (4). Investigators have found that overexpression of LCP1 in premetastatic cancer cell lines induces invasion and loss of E-cadherin expression, which is characteristic of metastatic cancer cell lines (5). LCP1 becomes phosphorylated at Ser5 upon stimulation through the T cell receptor/CD3 complex in association with the CD2 cell adhesion molecule or the CD28 receptor (6). Phosphorylation at Ser5 enhances the ability of LCP1 to bind to F-actin and increases cell motility (7,8).

Species Reactivity

Species reactivity is determined by testing in at least one approved application (e.g., western blot).

Western Blot Buffer

IMPORTANT: For western blots, incubate membrane with diluted primary antibody in 5% w/v nonfat dry milk, 1X TBS, 0.1% Tween® 20 at 4°C with gentle shaking, overnight.

Applications Key

W: Western Blotting IHC-P: Immunohistochemistry (Paraffin)

Cross-Reactivity Key

H: Human M: Mouse

Trademarks and Patents

Cell Signaling Technology is a trademark of Cell Signaling Technology, Inc.

All other trademarks are the property of their respective owners. Visit cellsignal.com/trademarks for more information.

Limited Uses

Except as otherwise expressly agreed in a writing signed by a legally authorized representative of CST, the following terms apply to Products provided by CST, its affiliates or its distributors. Any Customer's terms and conditions that are in addition to, or different from, those contained herein, unless separately accepted in writing by a legally authorized representative of CST, are rejected and are of no force or effect.

Products are labeled with For Research Use Only or a similar labeling statement and have not been approved, cleared, or licensed by the FDA or other regulatory foreign or domestic entity, for any purpose. Customer shall not use any Product for any diagnostic or therapeutic purpose, or otherwise in any manner that conflicts with its labeling statement. Products sold or licensed by CST are provided for Customer as the end-user and solely for research and development uses. Any use of Product for diagnostic, prophylactic or therapeutic purposes, or any purchase of Product for resale (alone or as a component) or other commercial purpose, requires a separate license from CST. Customer shall (a) not sell, license, loan, donate or otherwise transfer or make available any Product to any third party, whether alone or in combination with other materials, or use the Products to manufacture any commercial products, (b) not copy, modify, reverse engineer, decompile, disassemble or otherwise attempt to discover the underlying structure or technology of the Products, or use the Products for the purpose of developing any products or services that would compete with CST products or services, (c) not alter or remove from the Products any trademarks, trade names, logos, patent or copyright notices or markings, (d) use the Products solely in accordance with CST Product Terms of Sale and any applicable documentation, and (e) comply with any license, terms of service or similar agreement with respect to any third party products or services used by Customer in connection with the Products.

Orders: 877-616-CELL (2355) [email protected] Support: 877-678-TECH (8324) [email protected] Web: cellsignal.com
For Research Use Only. Not for Use in Diagnostic Procedures.

Revision 4

Cell Signaling Technology Logo
Western blot analysis of extracts from various cell lines using LCP1 (D1C3) Rabbit mAb.
Western Blotting Image 1: LCP1 (D1C3) Rabbit Monoclonal Antibody
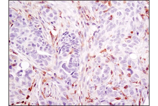
Immunohistochemical analysis of paraffin-embedded human breast carcinoma using LCP1 (D1C3) Rabbit mAb.
Immunohistochemistry Image 1: LCP1 (D1C3) Rabbit Monoclonal Antibody
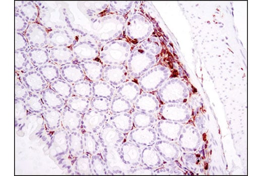
Immunohistochemical analysis of paraffin-embedded mouse colon using LCP1 (D1C3) Rabbit mAb.
Immunohistochemistry Image 2: LCP1 (D1C3) Rabbit Monoclonal Antibody
Orders: 877-616-CELL (2355) [email protected] Support: 877-678-TECH (8324) [email protected] Web: cellsignal.com
For Research Use Only. Not for Use in Diagnostic Procedures.

Revision 4

Cell Signaling Technology Logo
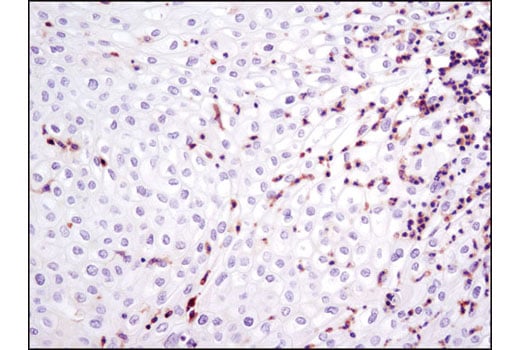
Immunohistochemical analysis of paraffin-embedded human ovarian carcinoma using LCP1 (D1C3) Rabbit mAb.
Immunohistochemistry Image 3: LCP1 (D1C3) Rabbit Monoclonal Antibody
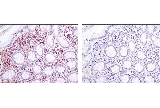
Immunohistochemical analysis of paraffin-embedded human colon using LCP1 (D1C3) Rabbit mAb in the presence of control peptide (left) or antigen-specific peptide (right).
Immunohistochemistry Image 4: LCP1 (D1C3) Rabbit Monoclonal Antibody
Orders: 877-616-CELL (2355) [email protected] Support: 877-678-TECH (8324) [email protected] Web: cellsignal.com
For Research Use Only. Not for Use in Diagnostic Procedures.