Revision 1

#78144

Store at -20C

CST Logo
Orders:

877-616-CELL (2355)

[email protected]

Support:

877-678-TECH (8324)

3 Trask Lane | Danvers | Massachusetts | 01923 | USA

For Research Use Only. Not for Use in Diagnostic Procedures.

Applications:
W

Reactivity:
H

Sensitivity:
Endogenous

MW (kDa):
110

Source/Isotype:
Rabbit IgG

UniProt ID:
#Q8NHL6

Entrez-Gene Id:
10859

Product Usage Information

Application Dilution
Western Blotting 1:1000

Storage

Supplied in 10 mM sodium HEPES (pH 7.5), 150 mM NaCl, 100 µg/ml BSA, 50% glycerol and less than 0.02% sodium azide. Store at –20°C. Do not aliquot the antibody.

Specificity/Sensitivity

LILRB1/CD85j (D4L8L) Rabbit Monoclonal Antibody recognizes endogenous levels of total LILRB1/CD85J protein. This antibody does not cross-react with LILRB2 protein.

Source / Purification

Monoclonal antibody is produced by immunizing animals with a synthetic peptide corresponding to residues surrounding Arg370 of human LILRB1/CD85j protein.

Background

The leukocyte Ig-like receptor subfamily B (LILRB) are type-I transmembrane glycoproteins containing ligand-binding extracellular IgG-like domains and immunoreceptor tyrosine-based inhibition motifs (ITIMS) within the cytoplasmic domain, which recruit SHP protein tyrosine phosphatases, leading to transduction of signals that inhibit immune cell activation. Encoded within a region of chromosome 19 known as the leukocyte receptor complex, the LILRB subfamily of inhibitory receptors consists of LILRB1 to LILRB5, also referred to as CD85J, CD85D, CD85A, CD85K, and CD85C, respectively (1). There is mounting evidence that LILRBs function, in part, as a novel class of immune checkpoint receptors and support tumor growth through the transmission of inhibitory signals upon engagement of ligands expressed on tumor cells (2).

LILRB1 (CD85j/ILT2/LIR1) is expressed across multiple hematopoietic cell lineages, such as B-cells, NK cells, monocytes, and T-cells (3,4). Like other members of the LILRB subfamily, LILRB1 contains multiple extracellular IgG-like domains and intracellular ITIM motifs (5). Research studies have demonstrated that LILRB1 interacts with multiple HLA class I ligands, such as HLA-G (6). Cross-linking of LILRB1 upon ligand engagement has been shown to activate immunosuppressive signaling cascades, which in B-cells, suppresses their activation and ability to produce antibodies (7). In NK and T cell lineages, research studies have shown that LILRB1 transduces signaling to inhibit cytolytic activity (3).

Species Reactivity

Species reactivity is determined by testing in at least one approved application (e.g., western blot).

Western Blot Buffer

IMPORTANT: For western blots, incubate membrane with diluted primary antibody in 5% w/v BSA, 1X TBS, 0.1% Tween® 20 at 4°C with gentle shaking, overnight.

Applications Key

W: Western Blotting

Cross-Reactivity Key

H: Human

Trademarks and Patents

Cell Signaling Technology is a trademark of Cell Signaling Technology, Inc.

All other trademarks are the property of their respective owners. Visit cellsignal.com/trademarks for more information.

Limited Uses

Except as otherwise expressly agreed in a writing signed by a legally authorized representative of CST, the following terms apply to Products provided by CST, its affiliates or its distributors. Any Customer's terms and conditions that are in addition to, or different from, those contained herein, unless separately accepted in writing by a legally authorized representative of CST, are rejected and are of no force or effect.

Products are labeled with For Research Use Only or a similar labeling statement and have not been approved, cleared, or licensed by the FDA or other regulatory foreign or domestic entity, for any purpose. Customer shall not use any Product for any diagnostic or therapeutic purpose, or otherwise in any manner that conflicts with its labeling statement. Products sold or licensed by CST are provided for Customer as the end-user and solely for research and development uses. Any use of Product for diagnostic, prophylactic or therapeutic purposes, or any purchase of Product for resale (alone or as a component) or other commercial purpose, requires a separate license from CST. Customer shall (a) not sell, license, loan, donate or otherwise transfer or make available any Product to any third party, whether alone or in combination with other materials, or use the Products to manufacture any commercial products, (b) not copy, modify, reverse engineer, decompile, disassemble or otherwise attempt to discover the underlying structure or technology of the Products, or use the Products for the purpose of developing any products or services that would compete with CST products or services, (c) not alter or remove from the Products any trademarks, trade names, logos, patent or copyright notices or markings, (d) use the Products solely in accordance with CST Product Terms of Sale and any applicable documentation, and (e) comply with any license, terms of service or similar agreement with respect to any third party products or services used by Customer in connection with the Products.

Orders: 877-616-CELL (2355) [email protected] Support: 877-678-TECH (8324) [email protected] Web: cellsignal.com
For Research Use Only. Not for Use in Diagnostic Procedures.

Revision 1

Cell Signaling Technology Logo
Western blot analysis of extracts from Daudi cells, untreated (-) or treated with PNGase F (+), using LILRB1/CD85j (D4L8L) Rabbit mAb (upper) and β-Actin (D6A8) Rabbit mAb #8457 (lower).
Western Blotting Image 1: LILRB1/CD85j (D4L8L) Rabbit Monoclonal Antibody
Western blot analysis of extracts from various cell lines using LILRB1/CD85j (D4L8L) Rabbit mAb (upper) and β-Actin (D6A8) Rabbit mAb #8457 (lower). As expected, LILRB1/CD85j protein is not detected in A-431 cells.
Western Blotting Image 2: LILRB1/CD85j (D4L8L) Rabbit Monoclonal Antibody
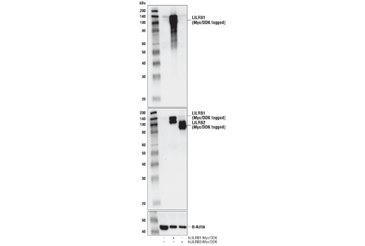
Western blot analysis of extracts from 293T cells, mock transfected (-) or transfected with constructs expressing Myc/DDK-tagged full-length human LILRB1 protein (hLILRB1-Myc/DDK; +) or Myc/DDK-tagged full-length human LILRB2 protein (hLILRB2-Myc/DDK; +), using LILRB1/CD85j (D4L8L) Rabbit mAb (upper), DYKDDDDK Tag Antibody #2368 (middle), and β-Actin (D6A8) Rabbit mAb #8457 (lower).
Western Blotting Image 3: LILRB1/CD85j (D4L8L) Rabbit Monoclonal Antibody
Orders: 877-616-CELL (2355) [email protected] Support: 877-678-TECH (8324) [email protected] Web: cellsignal.com
For Research Use Only. Not for Use in Diagnostic Procedures.