Revision 6

#3695

Store at -20C

CST Logo
Orders:

877-616-CELL (2355)

[email protected]

Support:

877-678-TECH (8324)

3 Trask Lane | Danvers | Massachusetts | 01923 | USA

For Research Use Only. Not for Use in Diagnostic Procedures.

Applications:
W, IHC-P, IF-IC, FC-FP

Reactivity:
H

Sensitivity:
Endogenous

MW (kDa):
26

Source/Isotype:
Rabbit IgG

UniProt ID:
#Q9H9Z2

Entrez-Gene Id:
79727

Product Usage Information

Application Dilution
Western Blotting 1:1000
Immunohistochemistry (Paraffin) 1:50 - 1:200
Immunofluorescence (Immunocytochemistry) 1:400
Flow Cytometry (Fixed/Permeabilized) 1:100

Storage

Supplied in 10 mM sodium HEPES (pH 7.5), 150 mM NaCl, 100 µg/ml BSA, 50% glycerol and less than 0.02% sodium azide. Store at –20°C. Do not aliquot the antibody.

For a carrier free (BSA and azide free) version of this product see product #24397.

Specificity/Sensitivity

LIN28A (D84C11) Rabbit Monoclonal Antibody detects endogenous levels of total LIN28A protein.

Species predicted to react based on 100% sequence homology

Rat, Monkey

Source / Purification

Monoclonal antibody is produced by immunizing animals with a synthetic peptide corresponding to amino acid sequence at the carboxy terminus of human LIN28A.

Background

LIN28A and LIN28B are conserved, developmentally regulated RNA binding proteins that inhibit the processing and maturation of the let-7 family of miRNAs (1,2). The let-7 miRNAs have been implicated in repression of oncogenes such as Ras, Myc, and HMGA2 (3). It has recently been shown that upregulation of LIN28A and LIN28B in primary human tumors and human cancer cell lines is correlated with downregulation of let-7 miRNAs (4). LIN28 genes are reported to be involved in primordial germ cell development and germ cell malignancy (5). In addition, allelic variation in LIN28B is associated with regulating the timing of puberty in humans (6). Overexpression of LIN28A, in conjunction with Oct-4, Sox2, and Nanog, can reprogram human fibroblasts to pluripotent, ES-like cells (7).

Species Reactivity

Species reactivity is determined by testing in at least one approved application (e.g., western blot).

Western Blot Buffer

IMPORTANT: For western blots, incubate membrane with diluted primary antibody in 5% w/v BSA, 1X TBS, 0.1% Tween® 20 at 4°C with gentle shaking, overnight.

Applications Key

W: Western Blotting IHC-P: Immunohistochemistry (Paraffin) IF-IC: Immunofluorescence (Immunocytochemistry) FC-FP: Flow Cytometry (Fixed/Permeabilized)

Cross-Reactivity Key

H: Human

Trademarks and Patents

Cell Signaling Technology is a trademark of Cell Signaling Technology, Inc.

SignalStain is a registered trademark of Cell Signaling Technology, Inc.

All other trademarks are the property of their respective owners. Visit cellsignal.com/trademarks for more information.

Limited Uses

Except as otherwise expressly agreed in a writing signed by a legally authorized representative of CST, the following terms apply to Products provided by CST, its affiliates or its distributors. Any Customer's terms and conditions that are in addition to, or different from, those contained herein, unless separately accepted in writing by a legally authorized representative of CST, are rejected and are of no force or effect.

Products are labeled with For Research Use Only or a similar labeling statement and have not been approved, cleared, or licensed by the FDA or other regulatory foreign or domestic entity, for any purpose. Customer shall not use any Product for any diagnostic or therapeutic purpose, or otherwise in any manner that conflicts with its labeling statement. Products sold or licensed by CST are provided for Customer as the end-user and solely for research and development uses. Any use of Product for diagnostic, prophylactic or therapeutic purposes, or any purchase of Product for resale (alone or as a component) or other commercial purpose, requires a separate license from CST. Customer shall (a) not sell, license, loan, donate or otherwise transfer or make available any Product to any third party, whether alone or in combination with other materials, or use the Products to manufacture any commercial products, (b) not copy, modify, reverse engineer, decompile, disassemble or otherwise attempt to discover the underlying structure or technology of the Products, or use the Products for the purpose of developing any products or services that would compete with CST products or services, (c) not alter or remove from the Products any trademarks, trade names, logos, patent or copyright notices or markings, (d) use the Products solely in accordance with CST Product Terms of Sale and any applicable documentation, and (e) comply with any license, terms of service or similar agreement with respect to any third party products or services used by Customer in connection with the Products.

Orders: 877-616-CELL (2355) [email protected] Support: 877-678-TECH (8324) [email protected] Web: cellsignal.com
For Research Use Only. Not for Use in Diagnostic Procedures.

Revision 6

Cell Signaling Technology Logo
Western blot analysis of extracts of NTERA-2 and IGROV1 cells using LIN28A (D84C11) XP® Rabbit mAb.
Western Blotting Image 1: LIN28A (D84C11) Rabbit Monoclonal Antibody
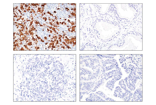
Immunohistochemical analysis of paraffin-embedded human tumor tissues: seminoma (top-left), prostate carcinoma (top-right), neuroendocrine lung carcinoma (bottom-left) and ductal breast carcinoma (bottom-right) using LIN28A (D84C11) XP® Rabbit mAb.
Immunohistochemistry Image 1: LIN28A (D84C11) Rabbit Monoclonal Antibody
Immunohistochemical analysis of paraffin-embedded IGROV-1 cell pellet (left, positive) or HCT 116 cell pellet (right, negative) using LIN28A (D84C11) XP® Rabbit mAb.
Immunohistochemistry Image 2: LIN28A (D84C11) Rabbit Monoclonal Antibody
Orders: 877-616-CELL (2355) [email protected] Support: 877-678-TECH (8324) [email protected] Web: cellsignal.com
For Research Use Only. Not for Use in Diagnostic Procedures.

Revision 6

Cell Signaling Technology Logo
Immunohistochemical analysis of paraffin-embedded normal human tissues: testis (top-left), prostate (top-right), pancreas (bottom-left) and kidney (bottom-right) using LIN28A (D84C11) XP® Rabbit mAb.
Immunohistochemistry Image 3: LIN28A (D84C11) Rabbit Monoclonal Antibody
Confocal immunofluorescent analysis of NTERA-2 cells using Lin28A (D84C11) XP® Rabbit mAb (green). Actin filaments have been labeled with DY-554 phalloidin (red). Blue pseudocolor = DRAQ5® #4084 (fluorescent DNA dye).
Immunofluorescence Image 1: LIN28A (D84C11) Rabbit Monoclonal Antibody
Flow cytometric analysis of HeLa cells (blue) and NTERA2 cells (green) using LIN28A (D84C11) XP® Rabbit mAb.
Flow Cytometry Image 1: LIN28A (D84C11) Rabbit Monoclonal Antibody
Orders: 877-616-CELL (2355) [email protected] Support: 877-678-TECH (8324) [email protected] Web: cellsignal.com
For Research Use Only. Not for Use in Diagnostic Procedures.