Revision 4

#99680

Store at -20C

CST Logo
Orders:

877-616-CELL (2355)

[email protected]

Support:

877-678-TECH (8324)

3 Trask Lane | Danvers | Massachusetts | 01923 | USA

For Research Use Only. Not for Use in Diagnostic Procedures.

Applications:
W, IHC-Bond, IHC-P

Reactivity:
H

Sensitivity:
Endogenous

MW (kDa):
100

Source/Isotype:
Rabbit IgG

UniProt ID:
#Q9Y4K0

Entrez-Gene Id:
4017

Product Usage Information

Application Dilution
Western Blotting 1:1000
IHC Leica Bond 1:400 - 1:1600
Immunohistochemistry (Paraffin) 1:800 - 1:3200

Storage

Supplied in 10 mM sodium HEPES (pH 7.5), 150 mM NaCl, 100 µg/ml BSA, 50% glycerol and less than 0.02% sodium azide. Store at –20°C. Do not aliquot the antibody.

For a carrier free (BSA and azide free) version of this product see product #72903.

Specificity/Sensitivity

LOXL2 (E3P7Y) Rabbit Monoclonal Antibody recognizes endogenous levels of total LOXL2 protein.

Source / Purification

Monoclonal antibody is produced by immunizing animals with recombinant protein specific to the amino terminus of human LOXL2 protein.

Background

Lysyl oxidase-like 2 (LOXL2) is a secreted copper-dependent amine oxidase and a member of the lysyl oxidase family (1). It primarily catalyzes the oxidation of lysine (or hydroxylysine) residues in collagen and elastin to form peptidyl aldehyde derivatives (1). These modifications are required for further cross-linking of target proteins to enhance extracellular matrix (ECM) stiffness. LOXL2 has been associated with progression and metastases of many cancer types, including breast cancer and fibrotic disease, all through active remodeling of the ECM (2-5). Additionally, within the cell, LOXL2 has been shown to play a role in EMT, cell polarity, and transcriptional repression (6-8). LOXL2 has become an attractive target for therapeutic intervention in cancer treating, blocking metastasis, and halting fibrosis (9-10).

Species Reactivity

Species reactivity is determined by testing in at least one approved application (e.g., western blot).

Western Blot Buffer

IMPORTANT: For western blots, incubate membrane with diluted primary antibody in 5% w/v BSA, 1X TBS, 0.1% Tween® 20 at 4°C with gentle shaking, overnight.

Applications Key

W: Western Blotting IHC-Bond: IHC Leica Bond IHC-P: Immunohistochemistry (Paraffin)

Cross-Reactivity Key

H: Human

Trademarks and Patents

Cell Signaling Technology is a trademark of Cell Signaling Technology, Inc.

SignalStain is a registered trademark of Cell Signaling Technology, Inc.

All other trademarks are the property of their respective owners. Visit cellsignal.com/trademarks for more information.

Limited Uses

Except as otherwise expressly agreed in a writing signed by a legally authorized representative of CST, the following terms apply to Products provided by CST, its affiliates or its distributors. Any Customer's terms and conditions that are in addition to, or different from, those contained herein, unless separately accepted in writing by a legally authorized representative of CST, are rejected and are of no force or effect.

Products are labeled with For Research Use Only or a similar labeling statement and have not been approved, cleared, or licensed by the FDA or other regulatory foreign or domestic entity, for any purpose. Customer shall not use any Product for any diagnostic or therapeutic purpose, or otherwise in any manner that conflicts with its labeling statement. Products sold or licensed by CST are provided for Customer as the end-user and solely for research and development uses. Any use of Product for diagnostic, prophylactic or therapeutic purposes, or any purchase of Product for resale (alone or as a component) or other commercial purpose, requires a separate license from CST. Customer shall (a) not sell, license, loan, donate or otherwise transfer or make available any Product to any third party, whether alone or in combination with other materials, or use the Products to manufacture any commercial products, (b) not copy, modify, reverse engineer, decompile, disassemble or otherwise attempt to discover the underlying structure or technology of the Products, or use the Products for the purpose of developing any products or services that would compete with CST products or services, (c) not alter or remove from the Products any trademarks, trade names, logos, patent or copyright notices or markings, (d) use the Products solely in accordance with CST Product Terms of Sale and any applicable documentation, and (e) comply with any license, terms of service or similar agreement with respect to any third party products or services used by Customer in connection with the Products.

Orders: 877-616-CELL (2355) [email protected] Support: 877-678-TECH (8324) [email protected] Web: cellsignal.com
For Research Use Only. Not for Use in Diagnostic Procedures.

Revision 4

Cell Signaling Technology Logo
Western blot analysis of extracts from BT-549 and HCT-15 cells using LOXL2 (E3P7Y) Rabbit mAb (upper) and β-Actin (D6A8) Rabbit mAb #8457 (lower). The differential in LOXL2 expression between BT-549 and HCT-15 cells is consistent with their reported molecular expression profiles (www.depmap.org), confirming specificity of the antibody for LOXL2 (E3P7Y) Rabbit mAb.
Western Blotting Image 1: LOXL2 (E3P7Y) Rabbit Monoclonal Antibody
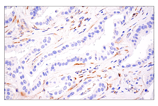
Immunohistochemical analysis of paraffin-embedded human colon carcinoma using LOXL2 (E3P7Y) Rabbit mAb performed on the Leica® BOND™ Rx.
Immunohistochemistry Image 1: LOXL2 (E3P7Y) Rabbit Monoclonal Antibody
Immunohistochemical analysis of paraffin-embedded human endometrioid adenocarcinoma using LOXL2 (E3P7Y) Rabbit mAb performed on the Leica® BOND™ Rx.
Immunohistochemistry Image 2: LOXL2 (E3P7Y) Rabbit Monoclonal Antibody
Orders: 877-616-CELL (2355) [email protected] Support: 877-678-TECH (8324) [email protected] Web: cellsignal.com
For Research Use Only. Not for Use in Diagnostic Procedures.

Revision 4

Cell Signaling Technology Logo
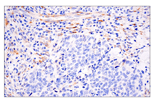
Immunohistochemical analysis of paraffin-embedded human ductal breast carcinoma using LOXL2 (E3P7Y) Rabbit mAb.
Immunohistochemistry Image 1: LOXL2 (E3P7Y) Rabbit Monoclonal Antibody
Immunohistochemical analysis of paraffin-embedded BT-549 cell pellet (left, positive) or HCT-15 cell pellet (right, negative) using LOXL2 (E3P7Y) Rabbit mAb.
Immunohistochemistry Image 2: LOXL2 (E3P7Y) Rabbit Monoclonal Antibody
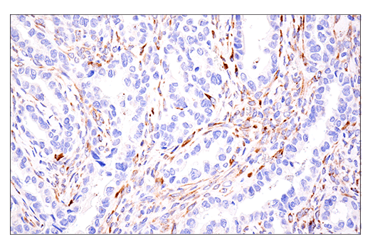
Immunohistochemical analysis of paraffin-embedded human lung adenocarcinoma using LOXL2 (E3P7Y) Rabbit mAb.
Immunohistochemistry Image 3: LOXL2 (E3P7Y) Rabbit Monoclonal Antibody
Orders: 877-616-CELL (2355) [email protected] Support: 877-678-TECH (8324) [email protected] Web: cellsignal.com
For Research Use Only. Not for Use in Diagnostic Procedures.

Revision 4

Cell Signaling Technology Logo
Immunohistochemical analysis of paraffin-embedded human ovarian clear cell carcinoma using LOXL2 (E3P7Y) Rabbit mAb.
Immunohistochemistry Image 4: LOXL2 (E3P7Y) Rabbit Monoclonal Antibody
Immunohistochemical analysis of paraffin-embedded human placenta using LOXL2 (E3P7Y) Rabbit mAb.
Immunohistochemistry Image 5: LOXL2 (E3P7Y) Rabbit Monoclonal Antibody
Orders: 877-616-CELL (2355) [email protected] Support: 877-678-TECH (8324) [email protected] Web: cellsignal.com
For Research Use Only. Not for Use in Diagnostic Procedures.