Revision 3

#57411

Store at -20C

CST Logo
Orders:

877-616-CELL (2355)

[email protected]

Support:

877-678-TECH (8324)

3 Trask Lane | Danvers | Massachusetts | 01923 | USA

For Research Use Only. Not for Use in Diagnostic Procedures.

Applications:
W, IP, IHC-P

Reactivity:
H

Sensitivity:
Endogenous

MW (kDa):
55

Source/Isotype:
Rabbit IgG

UniProt ID:
#Q8NF37

Entrez-Gene Id:
79888

Product Usage Information

Application Dilution
Western Blotting 1:1000
Immunoprecipitation 1:50
Immunohistochemistry (Paraffin) 1:2000 - 1:8000

Storage

Supplied in 10 mM sodium HEPES (pH 7.5), 150 mM NaCl, 100 µg/mL BSA, 50% glycerol, and less than 0.02% sodium azide. Store at –20°C. Do not aliquot the antibody.

For a carrier free (BSA and azide free) version of this product see product #81677.

Specificity/Sensitivity

LPCAT1 (E4V4B) Rabbit Monoclonal Antibody recognizes endogenous levels of total LPCAT1 protein. Non-specific staining was observed in pancreas by immunohistochemistry.

Source / Purification

Monoclonal antibody is produced by immunizing animals with a synthetic peptide corresponding to residues surrounding Ala524 of human LPCAT1 protein.

Background

LPCAT1 (lysophosphatidylcholine acyltransferase 1), an enzyme that functions in phospholipid metabolism and remodeling, has been reported to be highly expressed and to play a tumor-promoting role in multiple human cancers. Overexpression of LPCAT1 is linked to poor prognosis in breast cancer and hepatocellular carcinoma (HCC) (1,2). In cervical cancer, knockdown of LPCAT1 reduces proliferation, migration, and invasion of cancer cells, and LPCAT1 deletion reduces tumor growth and metastasis in mice through Jak2/Stat3 signaling (3). In endometrial cancer, LPCAT1 enhances stemness and metastasis through TGF-β signaling (4). In non-small cell lung cancer (NSCLC), LPCAT1 upregulates EGFR/PI3K/Akt signaling, promoting resistance to epidermal growth factor receptor (EGFR) tyrosine kinase inhibitors (TKI) (5). Due to its high expression in cancer, as well as its role in tumor promotion and drug resistance, LPCAT1 is a potential therapeutic target and prognostic biomarker.

Species Reactivity

Species reactivity is determined by testing in at least one approved application (e.g., western blot).

Western Blot Buffer

IMPORTANT: For western blots, incubate membrane with diluted primary antibody in 5% w/v BSA, 1X TBS, 0.1% Tween® 20 at 4°C with gentle shaking, overnight.

Applications Key

W: Western Blotting IP: Immunoprecipitation IHC-P: Immunohistochemistry (Paraffin)

Cross-Reactivity Key

H: Human

Trademarks and Patents

Cell Signaling Technology is a trademark of Cell Signaling Technology, Inc.

All other trademarks are the property of their respective owners. Visit cellsignal.com/trademarks for more information.

Limited Uses

Except as otherwise expressly agreed in a writing signed by a legally authorized representative of CST, the following terms apply to Products provided by CST, its affiliates or its distributors. Any Customer's terms and conditions that are in addition to, or different from, those contained herein, unless separately accepted in writing by a legally authorized representative of CST, are rejected and are of no force or effect.

Products are labeled with For Research Use Only or a similar labeling statement and have not been approved, cleared, or licensed by the FDA or other regulatory foreign or domestic entity, for any purpose. Customer shall not use any Product for any diagnostic or therapeutic purpose, or otherwise in any manner that conflicts with its labeling statement. Products sold or licensed by CST are provided for Customer as the end-user and solely for research and development uses. Any use of Product for diagnostic, prophylactic or therapeutic purposes, or any purchase of Product for resale (alone or as a component) or other commercial purpose, requires a separate license from CST. Customer shall (a) not sell, license, loan, donate or otherwise transfer or make available any Product to any third party, whether alone or in combination with other materials, or use the Products to manufacture any commercial products, (b) not copy, modify, reverse engineer, decompile, disassemble or otherwise attempt to discover the underlying structure or technology of the Products, or use the Products for the purpose of developing any products or services that would compete with CST products or services, (c) not alter or remove from the Products any trademarks, trade names, logos, patent or copyright notices or markings, (d) use the Products solely in accordance with CST Product Terms of Sale and any applicable documentation, and (e) comply with any license, terms of service or similar agreement with respect to any third party products or services used by Customer in connection with the Products.

Orders: 877-616-CELL (2355) [email protected] Support: 877-678-TECH (8324) [email protected] Web: cellsignal.com
For Research Use Only. Not for Use in Diagnostic Procedures.

Revision 3

Cell Signaling Technology Logo
Western blot analysis of extracts fom various cell lines using LPCAT1 (E4V4B) Rabbit mAb (upper) or GAPDH (D16H11) XP® Rabbit mAb #5174 (lower). Low expression of LPCAT1 protein in OVCAR-8 and U-87 MG cells is consistent with the predicted expression pattern.
Western Blotting Image 1: LPCAT1 (E4V4B) Rabbit Monoclonal Antibody
Western blot analysis of extracts from 293T cells, mock transfected (-) or transfected with a construct expressing full-length human LPCAT1 protein (hLPCAT1-Myc/DDK; +), using LPCAT1 (E4V4B) Rabbit mAb (upper), Myc-Tag (71D10) Rabbit mAb #2278 (middle), or GAPDH (D16H11) XP® Rabbit mAb #5174 (lower).
Western Blotting Image 2: LPCAT1 (E4V4B) Rabbit Monoclonal Antibody
Immunoprecipitation of LPCAT1 protein from BeWo cell extracts. Lane 1 is 10% input, lane 2 is Rabbit (DA1E) mAb IgG XP® Isotype Control #3900, and lane 3 is LPCAT1 (E4V4B) Rabbit mAb. An LPCAT1 antibody raised to a different antigenic determinant of LPCAT1 was used to detect the protein. Mouse Anti-rabbit IgG (Conformation Specific) (L27A9) mAb (HRP Conjugate) #5127 was used as a secondary antibody.
Immunoprecipitation Image 1: LPCAT1 (E4V4B) Rabbit Monoclonal Antibody
Orders: 877-616-CELL (2355) [email protected] Support: 877-678-TECH (8324) [email protected] Web: cellsignal.com
For Research Use Only. Not for Use in Diagnostic Procedures.

Revision 3

Cell Signaling Technology Logo
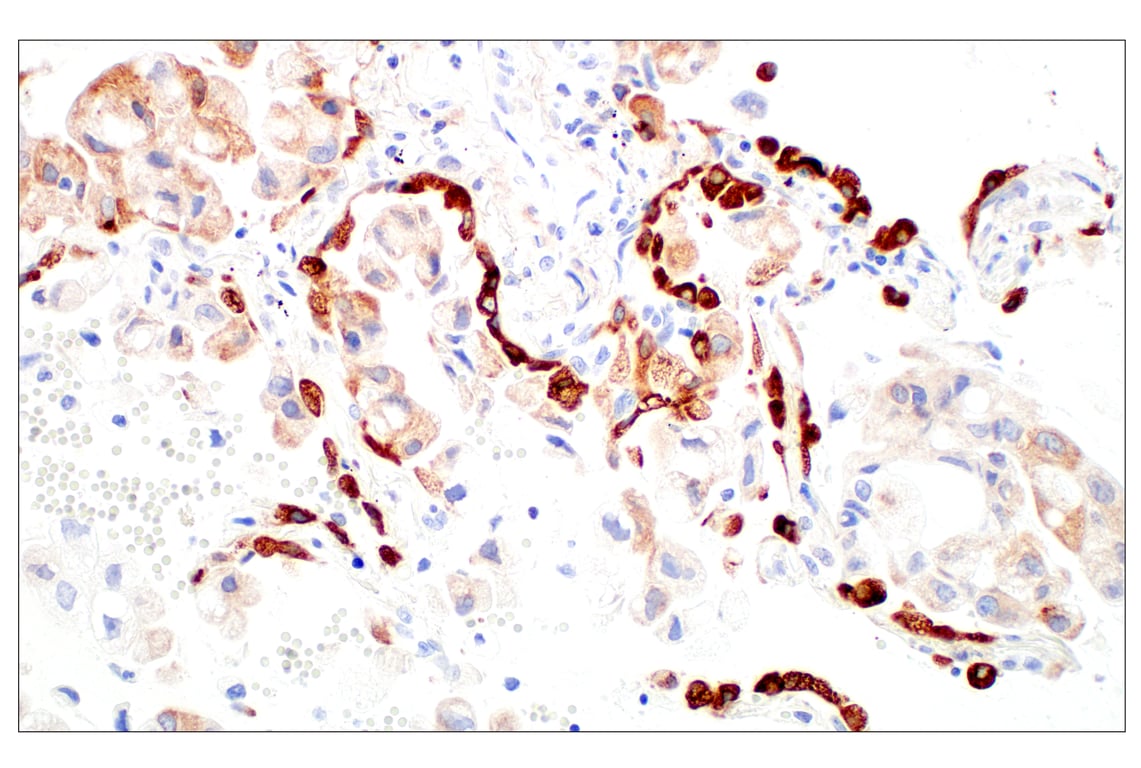
Immunohistochemical analysis of paraffin-embedded human bronchioloalveolar adenocarcinoma using LPCAT1 (E4V4B) Rabbit mAb.
Immunohistochemistry Image 1: LPCAT1 (E4V4B) Rabbit Monoclonal Antibody
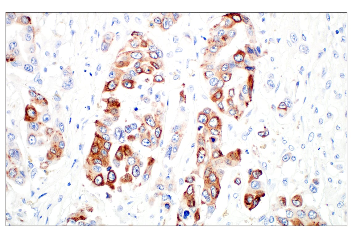
Immunohistochemical analysis of paraffin-embedded human non-small cell lung adenocarcinoma using LPCAT1 (E4V4B) Rabbit mAb.
Immunohistochemistry Image 2: LPCAT1 (E4V4B) Rabbit Monoclonal Antibody

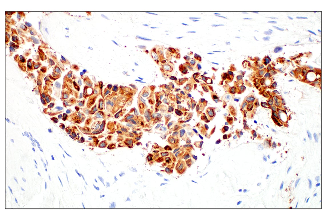
Immunohistochemical analysis of paraffin-embedded human urothelial carcinoma using LPCAT1 (E4V4B) Rabbit mAb.

Immunohistochemistry Image 3: LPCAT1 (E4V4B) Rabbit Monoclonal Antibody
Orders: 877-616-CELL (2355) [email protected] Support: 877-678-TECH (8324) [email protected] Web: cellsignal.com
For Research Use Only. Not for Use in Diagnostic Procedures.

Revision 3

Cell Signaling Technology Logo
Immunohistochemical analysis of paraffin-embedded human squamous cell lung carcinoma using LPCAT1 (E4V4B) Rabbit mAb.
Immunohistochemistry Image 4: LPCAT1 (E4V4B) Rabbit Monoclonal Antibody
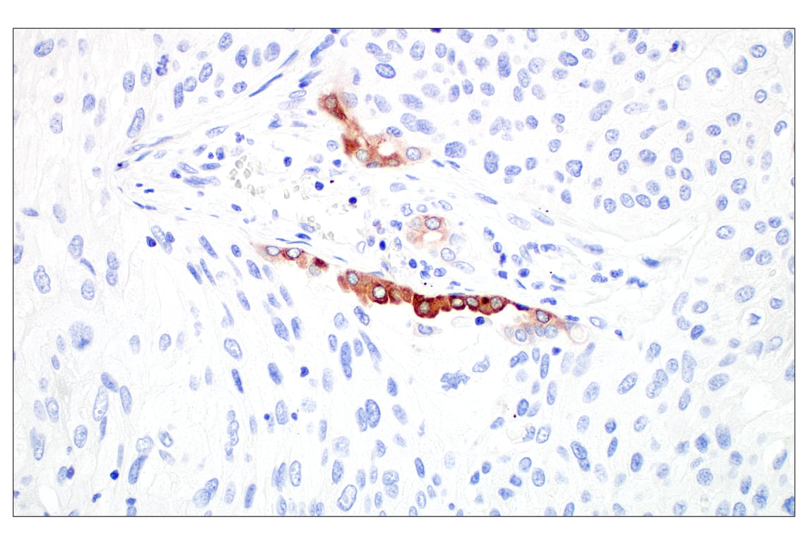
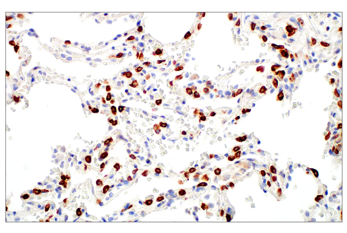
Immunohistochemical analysis of paraffin-embedded normal human lung using LPCAT1 (E4V4B) Rabbit mAb.
Immunohistochemistry Image 5: LPCAT1 (E4V4B) Rabbit Monoclonal Antibody
Immunohistochemical analysis of paraffin-embedded normal human lung using LPCAT1 (E4V4B) Rabbit mAb (left) compared to concentration-matched Rabbit (DA1E) mAb IgG XP® Isotype Control #3900 (right).
Immunohistochemistry Image 6: LPCAT1 (E4V4B) Rabbit Monoclonal Antibody
Orders: 877-616-CELL (2355) [email protected] Support: 877-678-TECH (8324) [email protected] Web: cellsignal.com
For Research Use Only. Not for Use in Diagnostic Procedures.

Revision 3

Cell Signaling Technology Logo
Immunohistochemical analysis of paraffin-embedded BeWo cell pellet (left, positive) or OVCAR-8 cell pellet (right, negative) using LPCAT1 (E4V4B) Rabbit mAb.
Immunohistochemistry Image 7: LPCAT1 (E4V4B) Rabbit Monoclonal Antibody
Orders: 877-616-CELL (2355) [email protected] Support: 877-678-TECH (8324) [email protected] Web: cellsignal.com
For Research Use Only. Not for Use in Diagnostic Procedures.