Revision 3

#42521

Store at -20C

CST Logo
Orders:

877-616-CELL (2355)

[email protected]

Support:

877-678-TECH (8324)

3 Trask Lane | Danvers | Massachusetts | 01923 | USA

For Research Use Only. Not for Use in Diagnostic Procedures.

Product Includes Product # Quantity Mol. Wt Isotype/Source
LRP1 (E2Q7S) Rabbit Monoclonal Antibody2638720 µl85 kDaRabbit IgG
ApoE (pan) (D7I9N) Rabbit Monoclonal Antibody1336620 µl35 kDaRabbit IgG
Tau (D1M9X) Rabbit Monoclonal Antibody4668720 µl50-80 kDaRabbit IgG
Phospho-Tau (Thr181) (D9F4G) Rabbit Monoclonal Antibody1288520 µl50-80 kDaRabbit IgG
Phospho-Tau (Ser404) (D2Z4G) Rabbit Monoclonal Antibody2019420 µl50-80 kDaRabbit IgG
SORL1 (D8D4G) Rabbit Monoclonal Antibody7932220 µl250 kDaRabbit IgG
Rab5 (C8B1) Rabbit Monoclonal Antibody354720 µl25 kDaRabbit
Rab7 (D95F2) Rabbit Monoclonal Antibody936720 µl23 kDaRabbit IgG
Rab11 (D4F5) Rabbit Monoclonal Antibody558920 µl25 kDaRabbit IgG
Anti-rabbit IgG, HRP-linked Antibody7074100 µlGoat

Please visit cellsignal.com for individual component applications, species cross-reactivity, dilutions, protocols, and additional product information.

Description

The LRP1-mediated Endocytosis and Transmission of Tau Antibody Sampler Kit provides an economical means of detecting components of the LRP-1 mediated intercellular transmission of human tau using antibodies. The kit includes enough antibodies to perform two western blot experiments with each primary antibody.

Storage

Supplied in 10 mM sodium HEPES (pH 7.5), 150 mM NaCl, 100 µg/ml BSA, 50% glycerol and less than 0.02% sodium azide. Store at –20°C. Do not aliquot the antibodies.

Background

Tau is a heterogeneous microtubule-associated protein that promotes and stabilizes microtubule assembly, especially in axons. In addition to its normal function, intracellular neurofibrillary tangle protein aggregates, composed of hyperphosphorylated helical bundles of tau, are a major hallmark of neurodegenerative diseases like Alzheimer's disease (AD) (1). Moreover, disease progression is also measured by the progressive spread and deposition of the protein aggregates via intercellular transfer of tau (2). Although the intercellular mechanism of protein aggregate transfer is poorly understood, low density lipoprotein receptor related protein 1 (LRP1) was identified as a regulator of tau uptake and spread (3). LRP1 is a type I transmembrane receptor that mediates the endocytosis of various ligands, including apolipoproteins and tau. Interestingly, human apolipoprotein E (ApoE), which also binds to LRP1, is genetically linked to AD (4). LRP1-mediated protein uptake, in addition to tau, may play an important role in AD progression. In addition to LRP1, other low density lipoprotein receptor related proteins, including SORL1, are genetically linked to AD, suggesting a conserved cellular mechanism that converges on this family of proteins that contributes to AD etiology (5). Once tau binds to LRP1, receiving cells are likely to internalize and process tau via the endosomal pathway, completing cell-to-cell transmission. Rab5, Rab7, and Rab11, members of the Ras superfamily of small Rab GTPases, are likely to regulate endosomal processing of tau (6). 

Trademarks and Patents

Cell Signaling Technology is a trademark of Cell Signaling Technology, Inc.

U.S. Patent No. 7,429,487, foreign equivalents, and child patents deriving therefrom.

All other trademarks are the property of their respective owners. Visit cellsignal.com/trademarks for more information.

Limited Uses

Except as otherwise expressly agreed in a writing signed by a legally authorized representative of CST, the following terms apply to Products provided by CST, its affiliates or its distributors. Any Customer's terms and conditions that are in addition to, or different from, those contained herein, unless separately accepted in writing by a legally authorized representative of CST, are rejected and are of no force or effect.

Products are labeled with For Research Use Only or a similar labeling statement and have not been approved, cleared, or licensed by the FDA or other regulatory foreign or domestic entity, for any purpose. Customer shall not use any Product for any diagnostic or therapeutic purpose, or otherwise in any manner that conflicts with its labeling statement. Products sold or licensed by CST are provided for Customer as the end-user and solely for research and development uses. Any use of Product for diagnostic, prophylactic or therapeutic purposes, or any purchase of Product for resale (alone or as a component) or other commercial purpose, requires a separate license from CST. Customer shall (a) not sell, license, loan, donate or otherwise transfer or make available any Product to any third party, whether alone or in combination with other materials, or use the Products to manufacture any commercial products, (b) not copy, modify, reverse engineer, decompile, disassemble or otherwise attempt to discover the underlying structure or technology of the Products, or use the Products for the purpose of developing any products or services that would compete with CST products or services, (c) not alter or remove from the Products any trademarks, trade names, logos, patent or copyright notices or markings, (d) use the Products solely in accordance with CST Product Terms of Sale and any applicable documentation, and (e) comply with any license, terms of service or similar agreement with respect to any third party products or services used by Customer in connection with the Products.

Orders: 877-616-CELL (2355) [email protected] Support: 877-678-TECH (8324) [email protected] Web: cellsignal.com
For Research Use Only. Not for Use in Diagnostic Procedures.

Revision 3

Cell Signaling Technology Logo
Western blot analysis of normal mouse brain and Tau KO (-/-) mouse brain with Phospho-Tau (Thr181) (D9F4G) Rabbit mAb (upper) and β-Actin (D6A8) Rabbit mAb #8457 (lower). Tau-KO mouse brain tissue was kindly provided by Dr. Dominic Walsh at Brigham and Women's Hospital and Harvard Medical School.
undefined Image 1: LRP1-mediated Endocytosis and Transmission of Tau Antibody Sampler Kit
Western blot analysis of cell extracts from Hep G2 cells treated with Brefeldin A #9972 (10 ng/ml, 90 min) and human cerebellum using ApoE (pan) (D7I9N) Rabbit mAb.
undefined Image 2: LRP1-mediated Endocytosis and Transmission of Tau Antibody Sampler Kit
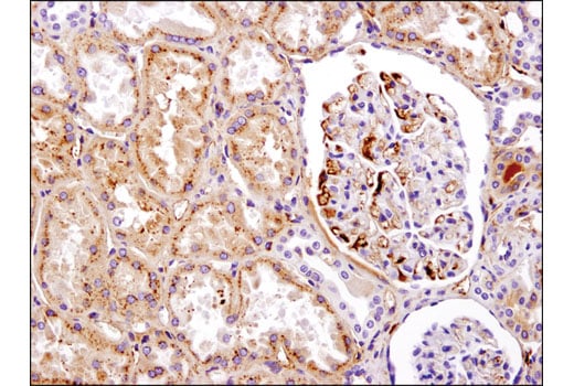
Immunohistochemical analysis of paraffin-embedded human kidney using ApoE (pan) (D7I9N) Rabbit mAb.
undefined Image 3: LRP1-mediated Endocytosis and Transmission of Tau Antibody Sampler Kit
Orders: 877-616-CELL (2355) [email protected] Support: 877-678-TECH (8324) [email protected] Web: cellsignal.com
For Research Use Only. Not for Use in Diagnostic Procedures.

Revision 3

Cell Signaling Technology Logo
Western blot analysis of normal mouse brain and Tau KO (-/-) mouse brain with Phospho-Tau (Ser404) (D2Z4G) Rabbit mAb (upper) and β-Actin (D6A8) Rabbit mAb #8457 (lower). Tau-KO mouse brain tissue was kindly provided by Dr. Dominic Walsh at Brigham and Women's Hospital and Harvard Medical School.
undefined Image 4: LRP1-mediated Endocytosis and Transmission of Tau Antibody Sampler Kit
Western blot analysis of extracts from various cell lines and tissues using LRP1 (E2Q7S) Rabbit mAb (upper) and α-Actinin (D6F6) XP® Rabbit mAb #6487 (lower).
undefined Image 5: LRP1-mediated Endocytosis and Transmission of Tau Antibody Sampler Kit
Western blot analysis of extracts from various cell lines using Rab5 (C8B1) Rabbit mAb.
undefined Image 6: LRP1-mediated Endocytosis and Transmission of Tau Antibody Sampler Kit
Orders: 877-616-CELL (2355) [email protected] Support: 877-678-TECH (8324) [email protected] Web: cellsignal.com
For Research Use Only. Not for Use in Diagnostic Procedures.

Revision 3

Cell Signaling Technology Logo
Western blot analysis of normal mouse brain and Tau KO (-/-) mouse brain with Tau (D1M9X) XP® Rabbit mAb (upper) and β-Actin (D6A8) Rabbit mAb #8457 (lower). Tau-KO mouse brain tissue was kindly provided by Dr. Dominic Walsh at Brigham and Women's Hospital and Harvard Medical School.
undefined Image 7: LRP1-mediated Endocytosis and Transmission of Tau Antibody Sampler Kit
Western blot analysis of extracts from various cell lines using Rab11 (D4F5) XP® Rabbit mAb.
undefined Image 8: LRP1-mediated Endocytosis and Transmission of Tau Antibody Sampler Kit
After the primary antibody is bound to the target protein, a complex with HRP-linked secondary antibody is formed. The LumiGLO® is added and emits light during enzyme catalyzed decomposition.
undefined Image 9: LRP1-mediated Endocytosis and Transmission of Tau Antibody Sampler Kit
Orders: 877-616-CELL (2355) [email protected] Support: 877-678-TECH (8324) [email protected] Web: cellsignal.com
For Research Use Only. Not for Use in Diagnostic Procedures.

Revision 3

Cell Signaling Technology Logo
Western blot analysis of extracts from various tissues using SORL1 (D8D4G) Rabbit mAb (upper) and β-Actin (D6A8) Rabbit mAb #8457 (lower).
undefined Image 10: LRP1-mediated Endocytosis and Transmission of Tau Antibody Sampler Kit
Western blot analysis of extracts from various cell lines using Rab7 (D95F2) XP® Rabbit mAb.
undefined Image 11: LRP1-mediated Endocytosis and Transmission of Tau Antibody Sampler Kit
Western blot analysis of extracts from mouse and rat brain using Phospho-Tau (Thr181) (D9F4G) Rabbit mAb. The phospho-specificity of Phospho-Tau (Thr181) (D9F4G) Rabbit mAb was verified by peptide blocking using a phosphopeptide or non-phosphopeptide targeting residue Thr181.
undefined Image 12: LRP1-mediated Endocytosis and Transmission of Tau Antibody Sampler Kit
Orders: 877-616-CELL (2355) [email protected] Support: 877-678-TECH (8324) [email protected] Web: cellsignal.com
For Research Use Only. Not for Use in Diagnostic Procedures.

Revision 3

Cell Signaling Technology Logo
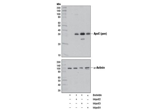
Western blot analysis of cell extracts from 293T cells, treated with Brefeldin A #9972 (10 ng/ml, 90 min; +) and mock transfected (-) or transfected with a construct expressing full-length human ApoE2 (hApoE2; +), ApoE3 (hApoE3; +), or ApoE4 (hApoE4; +), using ApoE (pan) (D7I9N) Rabbit mAb (upper) and α-Actinin (D6F6) XP® Rabbit mAb #6487 (lower).
undefined Image 13: LRP1-mediated Endocytosis and Transmission of Tau Antibody Sampler Kit
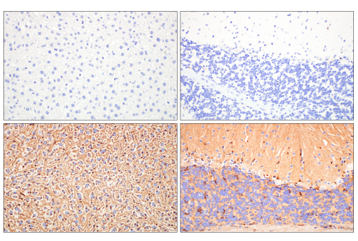
Immunohistochemical analysis of paraffin-embedded liver (left) or brain (right) from C57BL/6NTac (wt/wt, model #B6-F, top) and APOE4 knock-in (hu/hu, model #1549-F, bottom) mice using ApoE (pan) (D7I9N) Rabbit mAb. Mice from Taconic Biosciences, Inc.
undefined Image 14: LRP1-mediated Endocytosis and Transmission of Tau Antibody Sampler Kit
Western blot analysis of extracts from human cortex (lane 1), neonatal mouse brain, untreated (lane 2) or phosphatase-treated (lane 3), and fetal rat brain (lane 4), using Phospho-Tau (Ser404) (D2Z4G) Rabbit mAb (upper), Tau (Tau46) Mouse mAb #4019 (middle) and β-Actin (D6A8) Rabbit mAb #8457 (lower).
undefined Image 15: LRP1-mediated Endocytosis and Transmission of Tau Antibody Sampler Kit
Orders: 877-616-CELL (2355) [email protected] Support: 877-678-TECH (8324) [email protected] Web: cellsignal.com
For Research Use Only. Not for Use in Diagnostic Procedures.

Revision 3

Cell Signaling Technology Logo
Confocal immunofluorescent analysis of MEF-1 cells (left, LRP1 (+/+), positive) or PEA 13 cells (right, LRP1 (-/-), negative) using LRP1 (E2Q7S) Rabbit mAb (green) and β-Actin (8H10D10) Mouse mAb #3700 (red). Samples were mounted in ProLong® Gold Antifade Reagent with DAPI #8961 (blue).
undefined Image 16: LRP1-mediated Endocytosis and Transmission of Tau Antibody Sampler Kit
Confocal immunofluorescent analysis of HeLa cells using Rab5 (C8B1) Rabbit mAb (green). Blue pseudocolor = DRAQ5® #4084 (fluorescent DNA dye).
undefined Image 17: LRP1-mediated Endocytosis and Transmission of Tau Antibody Sampler Kit
Western blot analysis of extracts from various cell lines and tissues using Tau (D1M9X) XP® Rabbit mAb (upper) and β-Actin (D6A8) Rabbit mAb #8457 (lower).
undefined Image 18: LRP1-mediated Endocytosis and Transmission of Tau Antibody Sampler Kit
Orders: 877-616-CELL (2355) [email protected] Support: 877-678-TECH (8324) [email protected] Web: cellsignal.com
For Research Use Only. Not for Use in Diagnostic Procedures.

Revision 3

Cell Signaling Technology Logo
Confocal immunofluorescent analysis of A549 cells using Rab11 (D4F5) XP® Rabbit mAb (green). Actin filaments were labeled wtih DY-554 phalloidin (red). Blue pseudocolor = DRAQ5® #4084 (fluorescent DNA dye).
undefined Image 19: LRP1-mediated Endocytosis and Transmission of Tau Antibody Sampler Kit
Confocal immunofluorescent analysis of SK-MEL-28 cells using Rab7 (D95F2) XP® Rabbit mAb (green). Actin filaments were labeled using DY-554 phalloidin (red). Blue pseudocolor = DRAQ5® #4084 (fluorescent DNA dye).
undefined Image 20: LRP1-mediated Endocytosis and Transmission of Tau Antibody Sampler Kit
Immunoprecipitation of ApoE from Hep G2 cells treated with Brefeldin A #9972 (10 ng/ml, 90 min), using Rabbit (DA1E) mAb IgG XP® Isotype Control #3900 (lane 2) or ApoE (pan) (D7I9N) Rabbit mAb (lane 3). Lane 1 is 10% input. Western blot analysis was performed using ApoE (pan) (D7I9N) Rabbit mAb.
undefined Image 21: LRP1-mediated Endocytosis and Transmission of Tau Antibody Sampler Kit
Orders: 877-616-CELL (2355) [email protected] Support: 877-678-TECH (8324) [email protected] Web: cellsignal.com
For Research Use Only. Not for Use in Diagnostic Procedures.

Revision 3

Cell Signaling Technology Logo
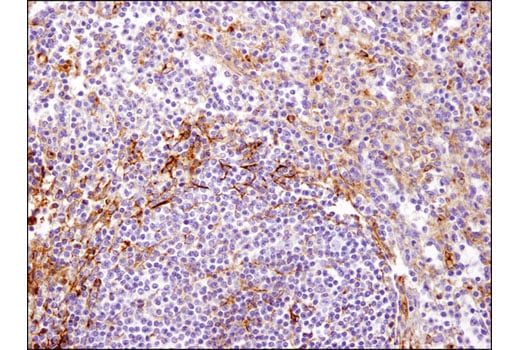
Immunohistochemical analysis of paraffin-embedded human spleen using ApoE (pan) (D7I9N) Rabbit mAb.
undefined Image 22: LRP1-mediated Endocytosis and Transmission of Tau Antibody Sampler Kit
Western blot analysis of extracts from MEF cells (lane 1) and mouse brain (lane 2) using Phospho-Tau (Ser404) (D2Z4G) Rabbit mAb (upper), Tau (Tau46) Mouse mAb #4019 (middle) and β-Actin (D6A8) Rabbit mAb #8457 (lower).
undefined Image 23: LRP1-mediated Endocytosis and Transmission of Tau Antibody Sampler Kit
Immunohistochemical analysis of paraffin-embedded human Alzheimer's brain using Tau (D1M9X) XP® Rabbit mAb in the presence of control peptide (left) or antigen-specific peptide (right).
undefined Image 24: LRP1-mediated Endocytosis and Transmission of Tau Antibody Sampler Kit
Orders: 877-616-CELL (2355) [email protected] Support: 877-678-TECH (8324) [email protected] Web: cellsignal.com
For Research Use Only. Not for Use in Diagnostic Procedures.

Revision 3

Cell Signaling Technology Logo
Immunohistochemical analysis of paraffin-embedded human Alzheimer's brain using Phospho-Tau (Thr181) (D9F4G) Rabbit mAb.
undefined Image 25: LRP1-mediated Endocytosis and Transmission of Tau Antibody Sampler Kit
Immunohistochemical analysis of paraffin-embedded human small intestine using ApoE (pan) (D7I9N) Rabbit mAb.
undefined Image 26: LRP1-mediated Endocytosis and Transmission of Tau Antibody Sampler Kit
Immunohistochemical analysis of paraffin-embedded human normal appendix using Tau (D1M9X) XP® Rabbit mAb.
undefined Image 27: LRP1-mediated Endocytosis and Transmission of Tau Antibody Sampler Kit
Orders: 877-616-CELL (2355) [email protected] Support: 877-678-TECH (8324) [email protected] Web: cellsignal.com
For Research Use Only. Not for Use in Diagnostic Procedures.

Revision 3

Cell Signaling Technology Logo
Immunohistochemical analysis of paraffin-embedded human breast carcinoma using Phospho-Tau (Thr181) (D9F4G) Rabbit mAb.
undefined Image 28: LRP1-mediated Endocytosis and Transmission of Tau Antibody Sampler Kit
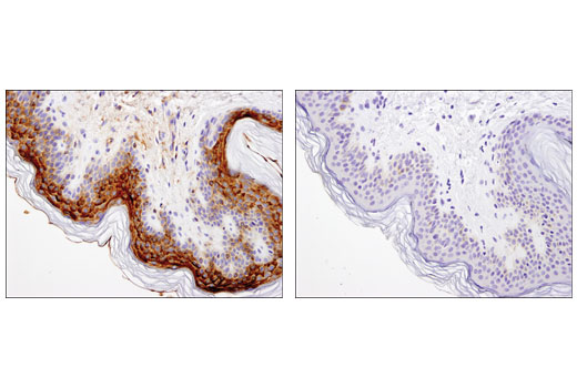
Immunohistochemical analysis of paraffin-embedded human skin using ApoE (pan) (D7I9N) Rabbit mAb in the presence of control peptide (left) and antigen-specific peptide (right).
undefined Image 29: LRP1-mediated Endocytosis and Transmission of Tau Antibody Sampler Kit
Immunohistochemical analysis of paraffin-embedded T-47D cell pellet (left, positive) or MDA-MB-231 cell pellet (right, negative) using Tau (D1M9X) XP® Rabbit mAb.
undefined Image 30: LRP1-mediated Endocytosis and Transmission of Tau Antibody Sampler Kit
Orders: 877-616-CELL (2355) [email protected] Support: 877-678-TECH (8324) [email protected] Web: cellsignal.com
For Research Use Only. Not for Use in Diagnostic Procedures.

Revision 3

Cell Signaling Technology Logo
Immunohistochemical analysis of paraffin-embedded mouse brain using Phospho-Tau (Thr181) (D9F4G) Rabbit mAb.
undefined Image 31: LRP1-mediated Endocytosis and Transmission of Tau Antibody Sampler Kit
Immunohistochemical analysis of paraffin-embedded 293T cell pellets, control (left-top) or transfected with human ApoE isoforms ApoE2 (right-top), ApoE3 (left-bottom), and ApoE4 (right-bottom) using ApoE (pan) (D7I9N) Rabbit mAb.
undefined Image 32: LRP1-mediated Endocytosis and Transmission of Tau Antibody Sampler Kit
Immunohistochemical analysis of paraffin-embedded mouse lung using Tau (D1M9X) XP® Rabbit mAb.
undefined Image 33: LRP1-mediated Endocytosis and Transmission of Tau Antibody Sampler Kit
Orders: 877-616-CELL (2355) [email protected] Support: 877-678-TECH (8324) [email protected] Web: cellsignal.com
For Research Use Only. Not for Use in Diagnostic Procedures.

Revision 3

Cell Signaling Technology Logo
Immunohistochemical analysis of paraffin-embedded mouse colon, control (left) or λ phosphatase-treated (right), using Phospho-Tau (Thr181) (D9F4G) Rabbit mAb.
undefined Image 34: LRP1-mediated Endocytosis and Transmission of Tau Antibody Sampler Kit
Immunohistochemical analysis of paraffin-embedded Hep G2 cell pellet (left, positive) or 293T cell pellet (right, negative) using ApoE (pan) (D7I9N) Rabbit mAb.
undefined Image 35: LRP1-mediated Endocytosis and Transmission of Tau Antibody Sampler Kit
Confocal immunofluorescent analysis of fixed frozen mouse striatum using Tau (D1M9X) XP® Rabbit mAb (green), TMEM119 (E4B9S) Mouse mAb #98778 (red) and ProLong® Gold Antifade Reagent with DAPI #8961 (blue).
undefined Image 36: LRP1-mediated Endocytosis and Transmission of Tau Antibody Sampler Kit
Orders: 877-616-CELL (2355) [email protected] Support: 877-678-TECH (8324) [email protected] Web: cellsignal.com
For Research Use Only. Not for Use in Diagnostic Procedures.

Revision 3

Cell Signaling Technology Logo
Confocal immunofluorescent analysis of mouse brainstem using Phospho-Tau (Thr181) (D9F4G) Rabbit mAb #12885 (green) and S6 Ribosomal Protein (54D2) Mouse mAb #2317 (red). Antibody was pre-incubated with non-phospho-Tau (Thr181) peptide (left), a phospho-Tau (Thr181) peptide (middle), or without peptide (right) to confirm phospho-specificity. Samples were mounted in ProLong® Gold Antifade Reagent with DAPI #8961 (blue).
undefined Image 37: LRP1-mediated Endocytosis and Transmission of Tau Antibody Sampler Kit
Confocal immunofluorescent analysis of T-47D (positive, left) or MDA-MB-231 (negative, right) cells using Tau (D1M9X) XP® Rabbit mAb (green). Blue pseudocolor = DRAQ5® #4084 (fluorescent DNA dye).
undefined Image 38: LRP1-mediated Endocytosis and Transmission of Tau Antibody Sampler Kit
Confocal immunofluorescent analysis of Hep G2 cells (left, positive) and 293T cells (right, negative) using ApoE (pan) (D7I9N) Rabbit mAb #13366 (green). Actin filaments were labeled with DyLight™ 554 Phalloidin #13054 (red). Samples were mounted in ProLong® Gold Antifade Reagent with DAPI #8961 (blue).
undefined Image 39: LRP1-mediated Endocytosis and Transmission of Tau Antibody Sampler Kit
Orders: 877-616-CELL (2355) [email protected] Support: 877-678-TECH (8324) [email protected] Web: cellsignal.com
For Research Use Only. Not for Use in Diagnostic Procedures.

Revision 3

Cell Signaling Technology Logo
Western blot analysis of extracts from HepG2 cells (lane 1), 293T mock transfected (lane 2) or transiently transfected with a construct expressing ApoE4 (lane 3), whole liver extracts from wild type C57BL/6NTac model #B6-F mice (lane 4), or ApoE4 knock-in (model #1549-F) (lane 5), whole brain extracts from wild type C57BL/6NTac mice (lane 6), or ApoE4 knock-in (lane 7) using ApoE (pan) (D7I9N) Rabbit mAb (upper) and β-Actin (D6A8) Rabbit mAb #8457 (lower). Mice from Taconic Biosciences, Inc.
undefined Image 40: LRP1-mediated Endocytosis and Transmission of Tau Antibody Sampler Kit
Confocal immunofluorescent analysis of fixed frozen hippocampus from C57BL/6 (left) and APOE4 knock-in (hu/hu, model #1549-F, right) mice labeled with ApoE (pan) (D7I9N) Rabbit mAb (top, green). Free secondary binding sites were then blocked with Rabbit (DA1E) mAb IgG XP® Isotype Control #3900 prior to colabeling with GFAP (GA5) Mouse mAb (Alexa Fluor® 594 Conjugate) #8152 (bottom, red), and AQP4 (D1F8E) XP® Rabbit mAb (Alexa Fluor® 647 Conjugate) #89851 (bottom, blue pseudocolor). Mice from Taconic Biosciences, Inc.
undefined Image 41: LRP1-mediated Endocytosis and Transmission of Tau Antibody Sampler Kit
Immunoprecipitation of phospho-Tau (Ser404) from mouse brain tissue extracts. Lane 1 is 10% input, lane 2 is Rabbit (DA1E) mAb IgG XP® Isotype Control #3900, and lane 3 is Phospho-Tau (Ser404) (D2Z4G) Rabbit mAb. Western blot analysis was performed using Phospho-Tau (Ser404) (D2Z4G) Rabbit mAb. Mouse Anti-rabbit IgG (Conformation Specific) (L27A9) mAb (HRP Conjugate) #5127 was used as a secondary antibody.
undefined Image 42: LRP1-mediated Endocytosis and Transmission of Tau Antibody Sampler Kit
Orders: 877-616-CELL (2355) [email protected] Support: 877-678-TECH (8324) [email protected] Web: cellsignal.com
For Research Use Only. Not for Use in Diagnostic Procedures.

Revision 3

Cell Signaling Technology Logo
Simple Western™ analysis of lysates (0.1 mg/mL) from Mouse Brain Tissue Extracts using Tau (D1M9X) XP® Rabbit #46687. The virtual lane view (left) shows the target band (as indicated) and a band corresponding to Tau (as indicated) at 1:50 and 1:250 dilutions of primary antibody. The corresponding electropherogram view (right) plots chemiluminescence by molecular weight along the capillary at 1:50 (blue line) and 1:250 (green line) dilutions of primary antibody. This experiment was performed under reducing conditions on the Jess™ Simple Western instrument from ProteinSimple, a BioTechne brand, using the 12-230 kDa separation module.
undefined Image 43: LRP1-mediated Endocytosis and Transmission of Tau Antibody Sampler Kit
Confocal immunofluorescent analysis of fixed frozen mouse cerebellum using Tau (D1M9X) XP® Rabbit mAb (green), TMEM119 (E4B9S) Mouse mAb #98778 (red) and ProLong® Gold Antifade Reagent with DAPI #8961 (blue).
undefined Image 44: LRP1-mediated Endocytosis and Transmission of Tau Antibody Sampler Kit
Confocal immunofluorescent analysis of fixed frozen mouse hippocampus using Tau (D1M9X) XP® Rabbit mAb (green), TMEM119 (E4B9S) Mouse mAb #98778 (red) and ProLong® Gold Antifade Reagent with DAPI #8961 (blue).
undefined Image 45: LRP1-mediated Endocytosis and Transmission of Tau Antibody Sampler Kit
Orders: 877-616-CELL (2355) [email protected] Support: 877-678-TECH (8324) [email protected] Web: cellsignal.com
For Research Use Only. Not for Use in Diagnostic Procedures.