Revision 5

#50546

Store at -20C

CST Logo
Orders:

877-616-CELL (2355)

[email protected]

Support:

877-678-TECH (8324)

3 Trask Lane | Danvers | Massachusetts | 01923 | USA

For Research Use Only. Not for Use in Diagnostic Procedures.

Applications:
W, IHC-P

Reactivity:
H M

Sensitivity:
Endogenous

MW (kDa):
80-100

Source/Isotype:
Rabbit IgG

UniProt ID:
#Q8TF66

Entrez-Gene Id:
131578

Product Usage Information

Application Dilution
Western Blotting 1:1000
Immunohistochemistry (Paraffin) 1:50 - 1:200

Storage

Supplied in 10 mM sodium HEPES (pH 7.5), 150 mM NaCl, 100 µg/mL BSA, 50% glycerol, and less than 0.02% sodium azide. Store at –20°C. Do not aliquot the antibody.

For a carrier free (BSA and azide free) version of this product see product #52305.

Specificity/Sensitivity

LRRC15 (E4X8J) Rabbit Monoclonal Antibody recognizes endogenous levels of total LRRC15 protein.

Source / Purification

Monoclonal antibody is produced by immunizing animals with a synthetic peptide corresponding to residues surrounding Leu100 of human LRRC15 protein.

Background

LRRC15 (Leucine-rich repeat-containing protein 15, LIB) is a transmembrane protein belonging to the LRR family of proteins involved in cell–cell and cell–ECM (extracellular matrix) interactions (1-4). It has been identified as a marker for TGF-β–driven CAFs (cancer-associated fibroblasts), which are associated with immunotherapy resistance (3,4). LRRC15 is highly expressed in multiple solid tumor types, with low expression in normal tissues, making it a good therapeutic candidate for cancers with high stromal content, such as pancreatic cancer, non–small cell lung cancer (NSCLC), and triple-negative breast cancer (3,4).

Species Reactivity

Species reactivity is determined by testing in at least one approved application (e.g., western blot).

Western Blot Buffer

IMPORTANT: For western blots, incubate membrane with diluted primary antibody in 5% w/v BSA, 1X TBS, 0.1% Tween® 20 at 4°C with gentle shaking, overnight.

Applications Key

W: Western Blotting IHC-P: Immunohistochemistry (Paraffin)

Cross-Reactivity Key

H: Human M: Mouse

Trademarks and Patents

Cell Signaling Technology is a trademark of Cell Signaling Technology, Inc.

All other trademarks are the property of their respective owners. Visit cellsignal.com/trademarks for more information.

Limited Uses

Except as otherwise expressly agreed in a writing signed by a legally authorized representative of CST, the following terms apply to Products provided by CST, its affiliates or its distributors. Any Customer's terms and conditions that are in addition to, or different from, those contained herein, unless separately accepted in writing by a legally authorized representative of CST, are rejected and are of no force or effect.

Products are labeled with For Research Use Only or a similar labeling statement and have not been approved, cleared, or licensed by the FDA or other regulatory foreign or domestic entity, for any purpose. Customer shall not use any Product for any diagnostic or therapeutic purpose, or otherwise in any manner that conflicts with its labeling statement. Products sold or licensed by CST are provided for Customer as the end-user and solely for research and development uses. Any use of Product for diagnostic, prophylactic or therapeutic purposes, or any purchase of Product for resale (alone or as a component) or other commercial purpose, requires a separate license from CST. Customer shall (a) not sell, license, loan, donate or otherwise transfer or make available any Product to any third party, whether alone or in combination with other materials, or use the Products to manufacture any commercial products, (b) not copy, modify, reverse engineer, decompile, disassemble or otherwise attempt to discover the underlying structure or technology of the Products, or use the Products for the purpose of developing any products or services that would compete with CST products or services, (c) not alter or remove from the Products any trademarks, trade names, logos, patent or copyright notices or markings, (d) use the Products solely in accordance with CST Product Terms of Sale and any applicable documentation, and (e) comply with any license, terms of service or similar agreement with respect to any third party products or services used by Customer in connection with the Products.

Orders: 877-616-CELL (2355) [email protected] Support: 877-678-TECH (8324) [email protected] Web: cellsignal.com
For Research Use Only. Not for Use in Diagnostic Procedures.

Revision 5

Cell Signaling Technology Logo
Western blot analysis of extracts from various cell lines using LRRC15 (E4X8J) Rabbit mAb (upper) or GAPDH (D16H11) XP® Rabbit mAb #5174 (lower). Negative expression of LRRC15 protein in Daudi and C2C12 cells is consistent with the predicted expression pattern.
Western Blotting Image 1: LRRC15 (E4X8J) Rabbit Monoclonal Antibody
Western blot analysis of extracts from 293T cells, mock transfected (-) or transfected with constructs expressing Myc/DDK-tagged full-length human LRRC15 protein (hLRRC15-Myc/DDK; +), or Myc/DDK-tagged full-length mouse LRRC15 protein (mLRRC15-Myc/DDK; +), using LRRC15 (E4X8J) Rabbit mAb (upper), Myc-Tag (71D10) Rabbit mAb #2278 (middle), or GAPDH (D16H11) XP® Rabbit mAb #5174 (lower).
Western Blotting Image 2: LRRC15 (E4X8J) Rabbit Monoclonal Antibody
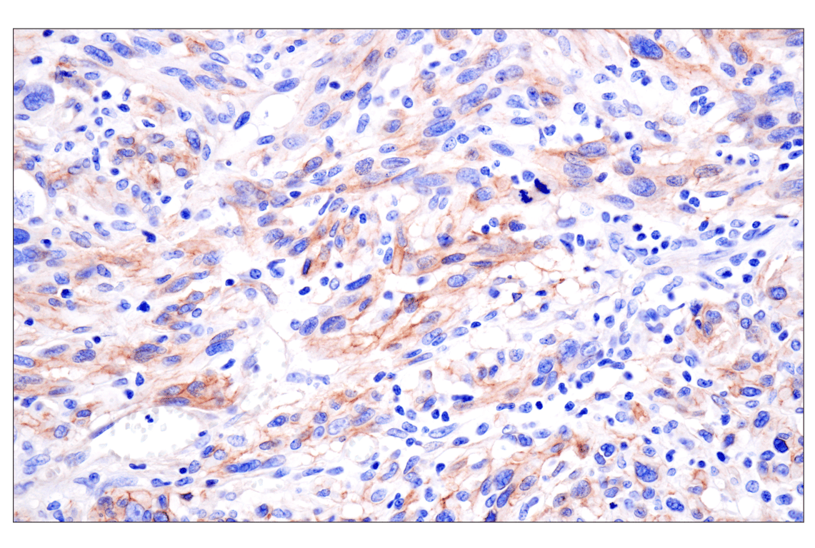
Immunohistochemical analysis of paraffin-embedded human adenoid cystic carcinoma of the salivary gland using LRRC15 (E4X8J) Rabbit mAb.
Immunohistochemistry Image 1: LRRC15 (E4X8J) Rabbit Monoclonal Antibody
Orders: 877-616-CELL (2355) [email protected] Support: 877-678-TECH (8324) [email protected] Web: cellsignal.com
For Research Use Only. Not for Use in Diagnostic Procedures.

Revision 5

Cell Signaling Technology Logo
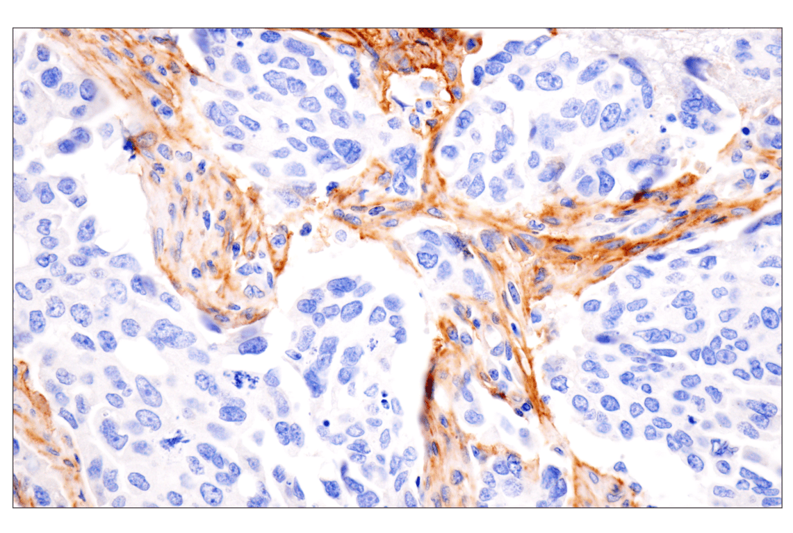
Immunohistochemical analysis of paraffin-embedded human ductal breast carcinoma using LRRC15 (E4X8J) Rabbit mAb.
Immunohistochemistry Image 2: LRRC15 (E4X8J) Rabbit Monoclonal Antibody
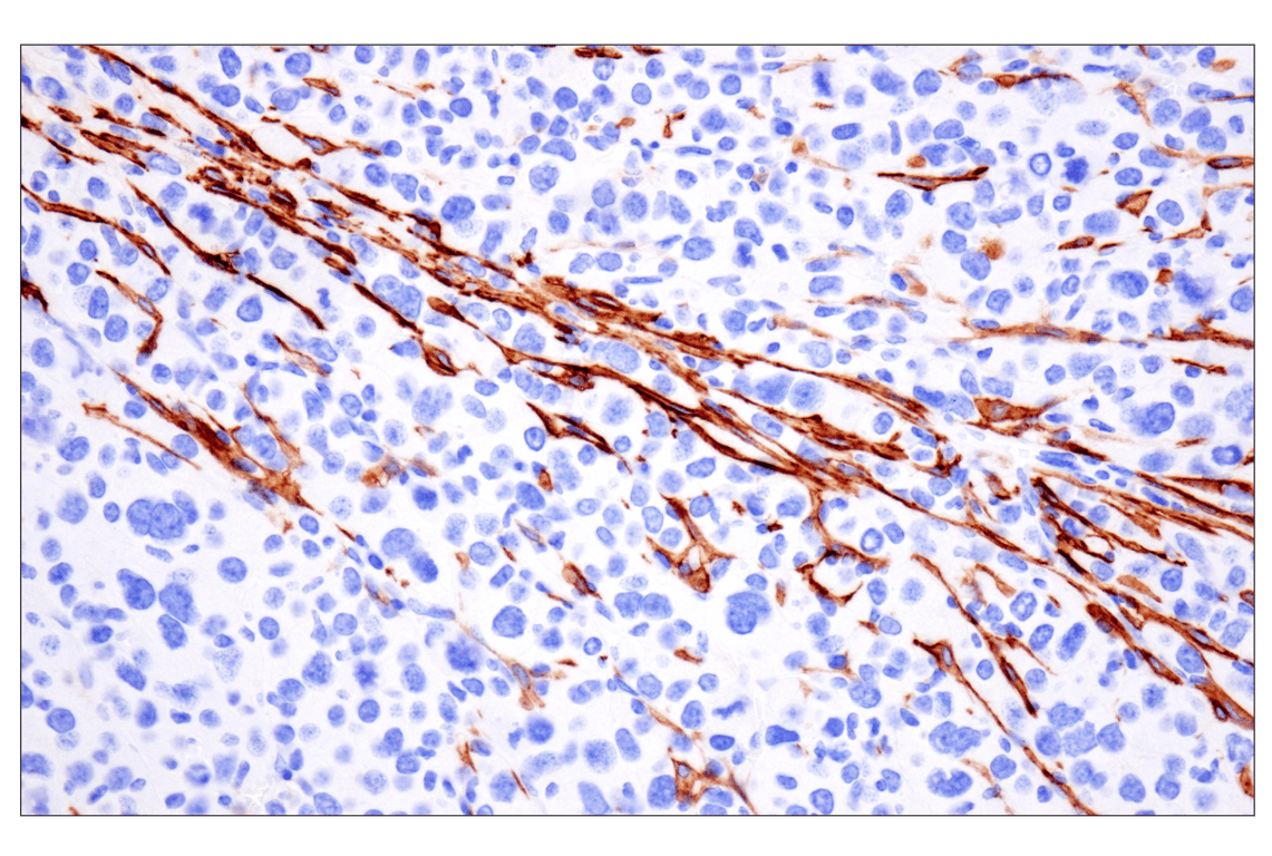
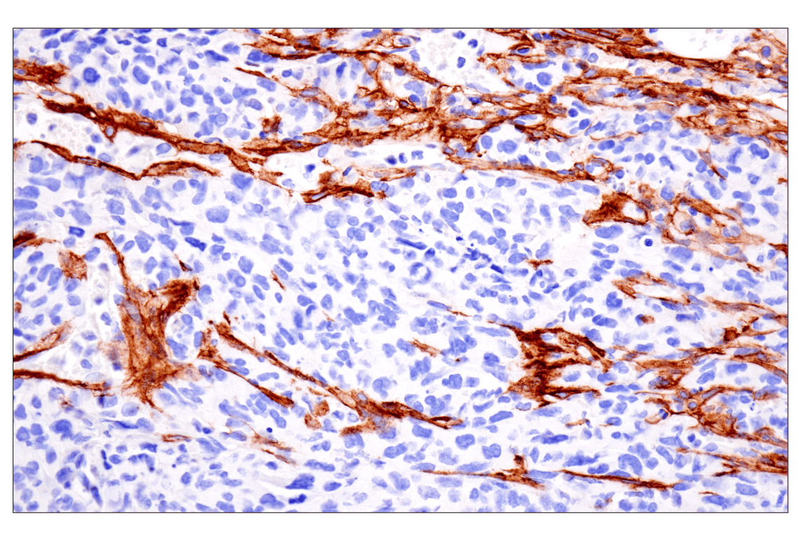
Immunohistochemical analysis of paraffin-embedded human pulmonary sarcoma using LRRC15 (E4X8J) Rabbit mAb.
Immunohistochemistry Image 3: LRRC15 (E4X8J) Rabbit Monoclonal Antibody
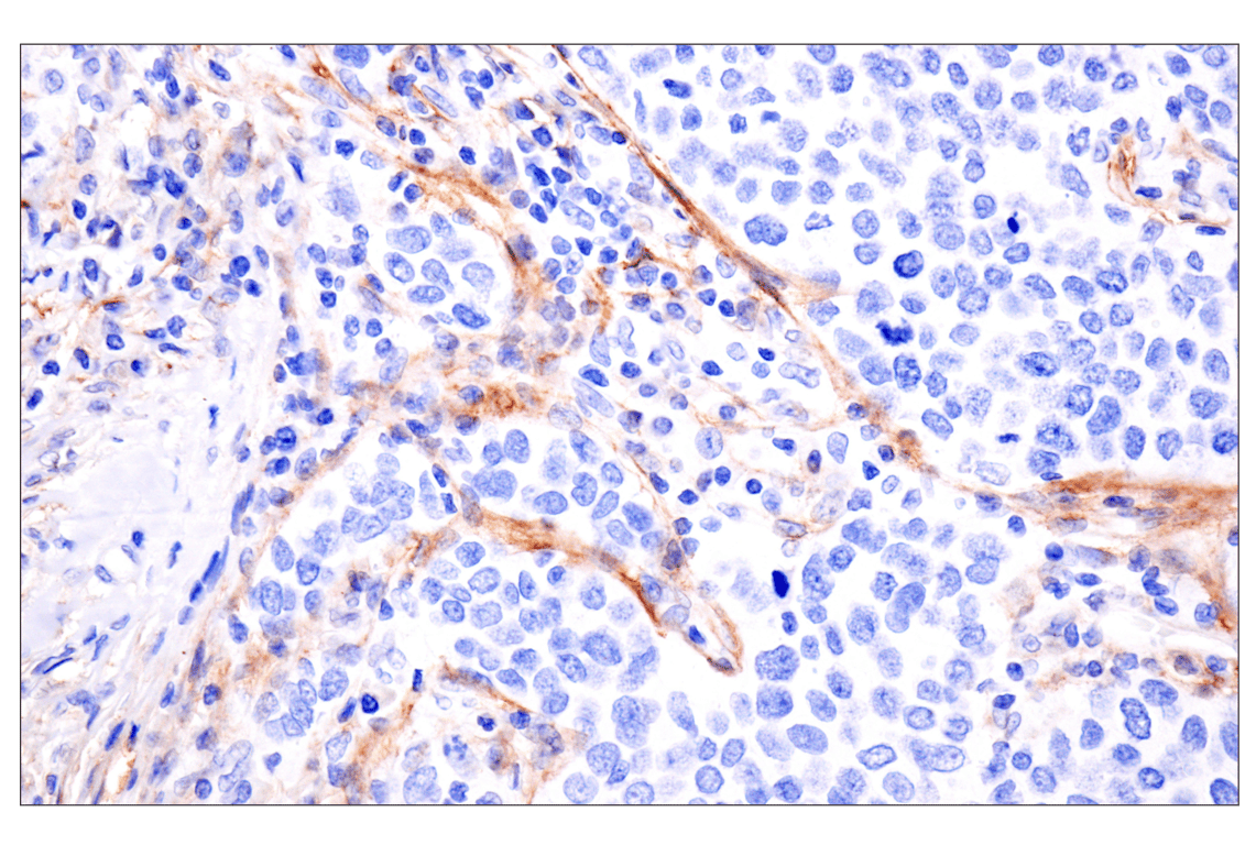
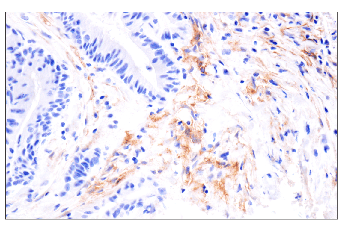
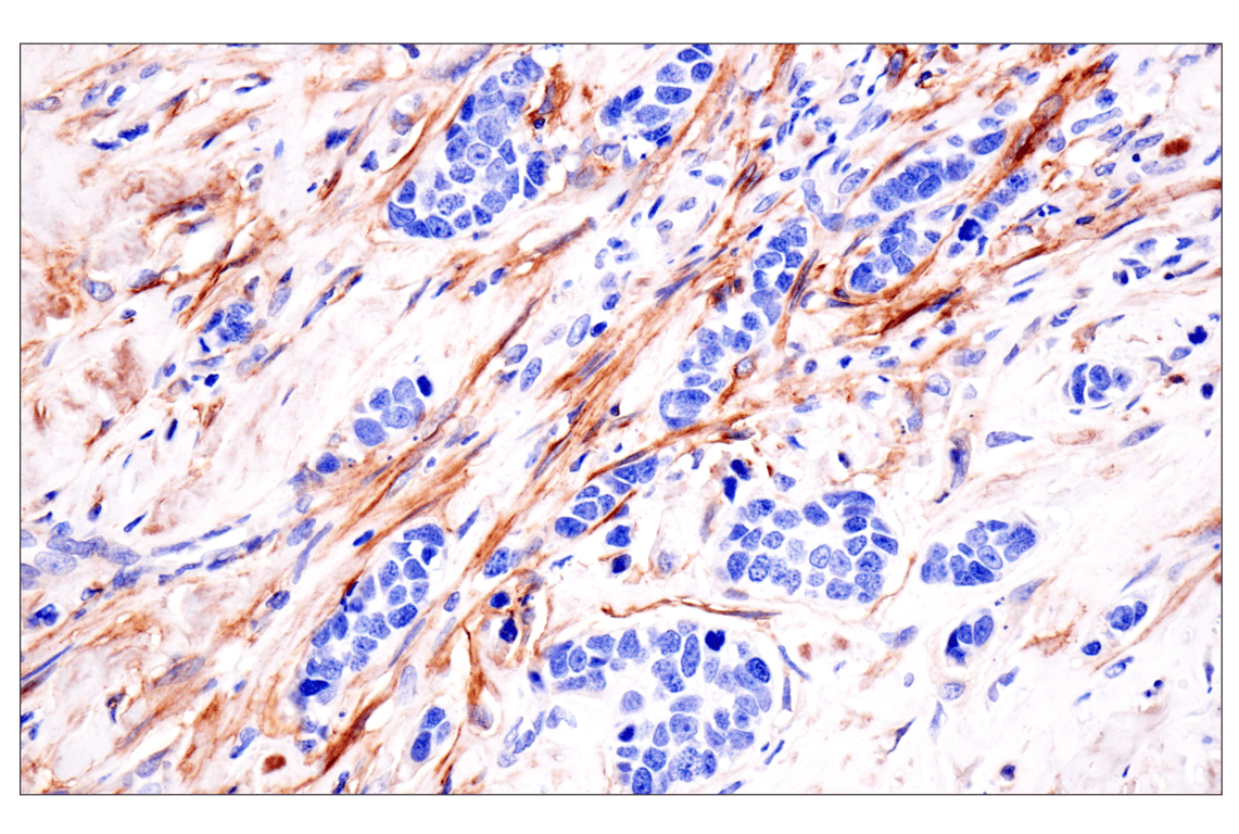
Immunohistochemical analysis of paraffin-embedded human colon adenocarcinoma using LRRC15 (E4X8J) Rabbit mAb.
Immunohistochemistry Image 4: LRRC15 (E4X8J) Rabbit Monoclonal Antibody
Orders: 877-616-CELL (2355) [email protected] Support: 877-678-TECH (8324) [email protected] Web: cellsignal.com
For Research Use Only. Not for Use in Diagnostic Procedures.

Revision 5

Cell Signaling Technology Logo
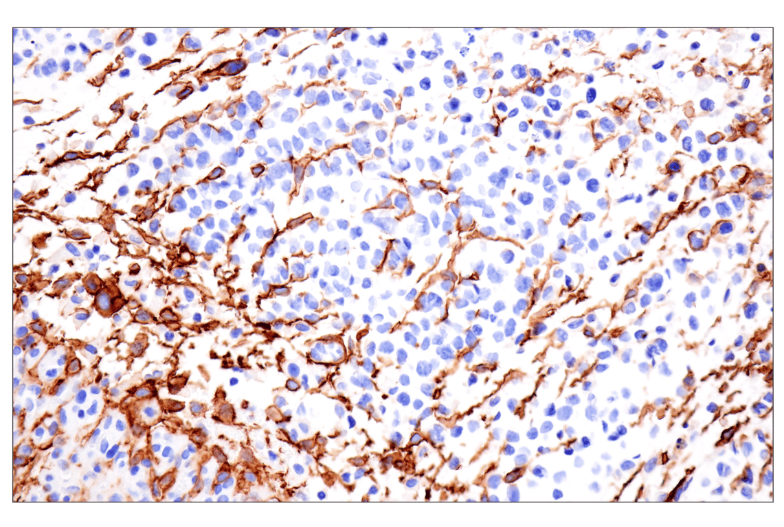
Immunohistochemical analysis of paraffin-embedded human serous papillary carcinoma of the ovary using LRRC15 (E4X8J) Rabbit mAb.
Immunohistochemistry Image 5: LRRC15 (E4X8J) Rabbit Monoclonal Antibody
Immunohistochemical analysis of paraffin-embedded Renca syngeneic tumor using LRRC15 (E4X8J) Rabbit mAb.
Immunohistochemistry Image 6: LRRC15 (E4X8J) Rabbit Monoclonal Antibody
Immunohistochemical analysis of paraffin-embedded A20 syngeneic tumor using LRRC15 (E4X8J) Rabbit mAb.
Immunohistochemistry Image 7: LRRC15 (E4X8J) Rabbit Monoclonal Antibody
Orders: 877-616-CELL (2355) [email protected] Support: 877-678-TECH (8324) [email protected] Web: cellsignal.com
For Research Use Only. Not for Use in Diagnostic Procedures.

Revision 5

Cell Signaling Technology Logo
Immunohistochemical analysis of paraffin-embedded MC-38 syngeneic tumor using LRRC15 (E4X8J) Rabbit mAb.
Immunohistochemistry Image 8: LRRC15 (E4X8J) Rabbit Monoclonal Antibody
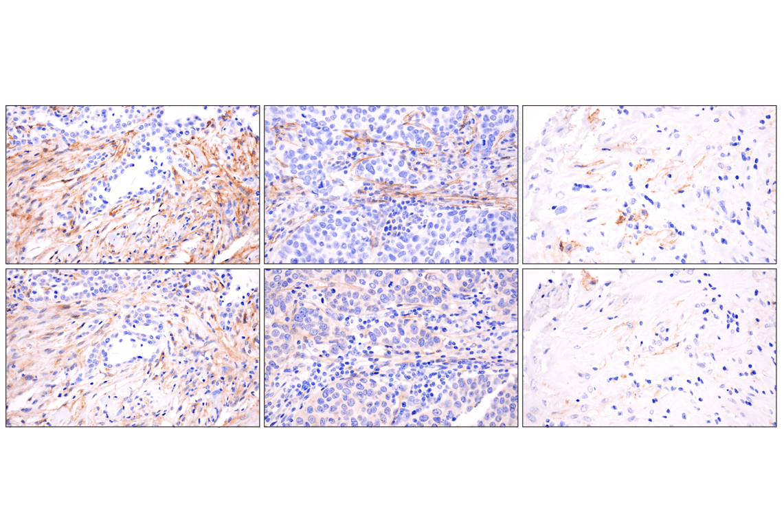
Immunohistochemical analysis of paraffin-embedded human squamous cell carcinoma of the skin (left), ductal breast carcinoma (middle), or ovarian papillary serous carcinoma (right) using LRRC15 (E4X8J) Rabbit mAb (top) or an LRRC15 Rabbit mAb (bottom). These two antibodies detect unique, non-overlapping epitopes on human LRRC15. The similar staining patterns obtained with both antibodies help to confirm the specificity of the staining.
Immunohistochemistry Image 9: LRRC15 (E4X8J) Rabbit Monoclonal Antibody
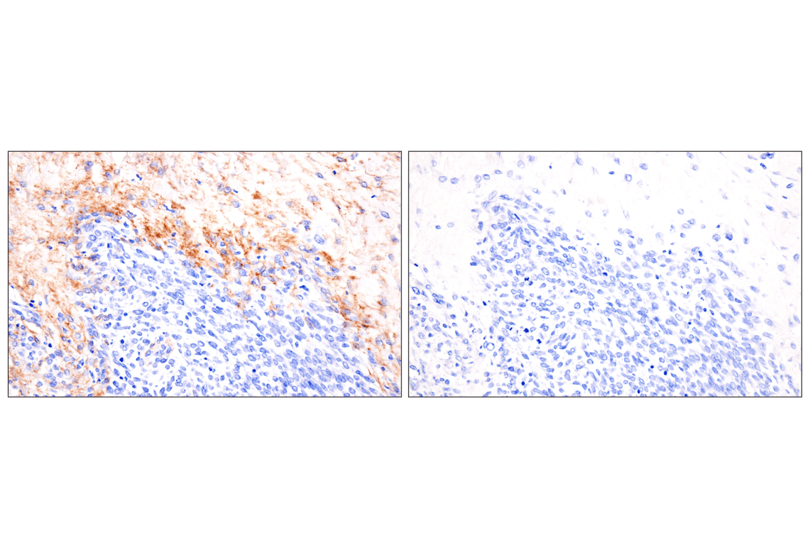
Immunohistochemical analysis of paraffin-embedded human Ewing sarcoma using LRRC15 (E4X8J) Rabbit mAb (left) compared to concentration-matched Rabbit (DA1E) mAb IgG XP® Isotype Control #3900 (right).
Immunohistochemistry Image 10: LRRC15 (E4X8J) Rabbit Monoclonal Antibody
Orders: 877-616-CELL (2355) [email protected] Support: 877-678-TECH (8324) [email protected] Web: cellsignal.com
For Research Use Only. Not for Use in Diagnostic Procedures.

Revision 5

Cell Signaling Technology Logo
Immunohistochemical analysis of paraffin-embedded U-87 MG cell pellet (left, positive) or HCT 116 cell pellet (right, negative) using LRRC15 (E4X8J) Rabbit mAb.
Immunohistochemistry Image 11: LRRC15 (E4X8J) Rabbit Monoclonal Antibody
Immunohistochemical analysis of paraffin-embedded MEF wt cell pellet (left, positive) or Neuro-2a cell pellet (right, negative) using LRRC15 (E4X8J) Rabbit mAb.
Immunohistochemistry Image 12: LRRC15 (E4X8J) Rabbit Monoclonal Antibody
Orders: 877-616-CELL (2355) [email protected] Support: 877-678-TECH (8324) [email protected] Web: cellsignal.com
For Research Use Only. Not for Use in Diagnostic Procedures.