Revision 1

#79884

Store at -20C

Lung Cancer RTK Antibody Sampler Kit

1 Kit

(9 x 20 microliters)

CST Logo
Orders:

877-616-CELL (2355)

[email protected]

Support:

877-678-TECH (8324)

3 Trask Lane | Danvers | Massachusetts | 01923 | USA

For Research Use Only. Not for Use in Diagnostic Procedures.

Product Includes Product # Quantity Mol. Wt Isotype/Source
EGF Receptor (D38B1) Rabbit Monoclonal Antibody426720 µl175 kDaRabbit IgG
EGF Receptor (L858R Mutant Specific) (43B2) Rabbit Monoclonal Antibody319720 µl175 kDaRabbit IgG
EGF Receptor (E746-A750del Specific) (D6B6) Rabbit Monoclonal Antibody208520 µl175 kDaRabbit IgG
ALK (D5F3) Rabbit Monoclonal Antibody363320 µl220 (ALK), 80 (NPM-ALK), 117 (EML4-ALK v1), 86 (EML4-ALK v3) kDaRabbit IgG
HER2/ErbB2 (D8F12) Rabbit Monoclonal Antibody429020 µl185 kDaRabbit IgG
FGF Receptor 1 (D8E4) Rabbit Monoclonal Antibody974020 µl92 , 120, 145 kDaRabbit IgG
ROS1 (D4D6) Rabbit Monoclonal Antibody328720 µl258, 110, 50-80 kDaRabbit IgG
Ret (E1N8X) Rabbit Monoclonal Antibody1455620 µl150, 175 kDaRabbit IgG
Met (D1C2) Rabbit Monoclonal Antibody819820 µl140, 170 kDaRabbit IgG
Anti-rabbit IgG, HRP-linked Antibody7074100 µlGoat

Please visit cellsignal.com for individual component applications, species cross-reactivity, dilutions, protocols, and additional product information.

Description

The Lung Cancer RTK Antibody Sampler Kit provides an economical means of detecting receptor tyrosine kinases (RTKs) associated with lung cancer. The kit includes enough antibodies to perform two western blot experiments with each primary antibody.

Storage

Supplied in 10 mM sodium HEPES (pH 7.5), 150 mM NaCl, 100 µg/mL BSA, 50% glycerol and less than 0.02% sodium azide. Store at –20°C. Do not aliquot the antibodies.

Background

Lung cancer is the leading cause of cancer-related mortality worldwide (1). It is generally divided into two broad histological classifications: small cell lung cancer (SCLC) and non-small cell lung cancer (NSCLC). NSCLC comprises about 80-85% of all lung cancers. Receptor tyrosine kinases (RTKs) are essential components to cellular signaling pathways and are often overexpressed or otherwise dysregulated by genetic mutations, fusion, or gene amplification (2,3). RTKs are generally activated by receptor specific ligands, leading to autophosphorylation and the subsequent recruitment of downstream signaling proteins. The most common RTK amplification in NSCLC is that for epidermal growth factor receptor (EGFR). Also, two of the most common mutations in EGFR include an exon 19 deletion, E746-A750, and a point mutation L858R (4,5). In addition to EGFR, several other RTKs may become aberrantly activated in NSCLC, including ALK, ROS1, HER2/ErbB2, Met, Ret, FGF Receptor 1, and NTRK (6). Specific tyrosine kinase inhibitors (TKIs) have been part of the arsenal of treating the disease and so analyzing the expression and mutational status of these receptors plays an important role in personalized treatment.  

Trademarks and Patents

Cell Signaling Technology is a trademark of Cell Signaling Technology, Inc.

D4D6 is a registered trademark of Cell Signaling Technology, Inc.

The manufacture, use, sale and import of this product is within the scope of one or more intellectual property rights (including patents and patent applications) owned or controlled by Cell Signaling Technology. The purchase of this product conveys to the buyer a non-transferrable right to use the purchased product only in research conducted by the buyer. The sale of the product is expressly conditioned on the buyer not using the products or its components (1) to analyze or reverse engineer the product for its chemical/physical properties and composition (including e.g., identification of the sequence); (2) in manufacturing; (3) to provide a service, information, or data to an unaffiliated third party for payment; (4) for therapeutic, diagnostic or prophylactic purposes; (5) resale, whether or not such product are resold for use in research; or for any other commercial purpose. For information on purchasing a license to this product for purposes other than research, contact Cell Signaling Technology, Inc. Business Development at [email protected].

All other trademarks are the property of their respective owners. Visit cellsignal.com/trademarks for more information.

Limited Uses

Except as otherwise expressly agreed in a writing signed by a legally authorized representative of CST, the following terms apply to Products provided by CST, its affiliates or its distributors. Any Customer's terms and conditions that are in addition to, or different from, those contained herein, unless separately accepted in writing by a legally authorized representative of CST, are rejected and are of no force or effect.

Products are labeled with For Research Use Only or a similar labeling statement and have not been approved, cleared, or licensed by the FDA or other regulatory foreign or domestic entity, for any purpose. Customer shall not use any Product for any diagnostic or therapeutic purpose, or otherwise in any manner that conflicts with its labeling statement. Products sold or licensed by CST are provided for Customer as the end-user and solely for research and development uses. Any use of Product for diagnostic, prophylactic or therapeutic purposes, or any purchase of Product for resale (alone or as a component) or other commercial purpose, requires a separate license from CST. Customer shall (a) not sell, license, loan, donate or otherwise transfer or make available any Product to any third party, whether alone or in combination with other materials, or use the Products to manufacture any commercial products, (b) not copy, modify, reverse engineer, decompile, disassemble or otherwise attempt to discover the underlying structure or technology of the Products, or use the Products for the purpose of developing any products or services that would compete with CST products or services, (c) not alter or remove from the Products any trademarks, trade names, logos, patent or copyright notices or markings, (d) use the Products solely in accordance with CST Product Terms of Sale and any applicable documentation, and (e) comply with any license, terms of service or similar agreement with respect to any third party products or services used by Customer in connection with the Products.

Orders: 877-616-CELL (2355) [email protected] Support: 877-678-TECH (8324) [email protected] Web: cellsignal.com
For Research Use Only. Not for Use in Diagnostic Procedures.

Revision 1

Cell Signaling Technology Logo
Western blot analysis of extracts from various cell lines using Ret (E1N8X) XP® Rabbit mAb (upper) and β-Actin (D6A8) Rabbit mAb #8457 (lower).
undefined Image 1: Lung Cancer RTK Antibody Sampler Kit
Western blot analysis of extracts from various EGFR expressing cell lines, showing the specificity of detection of mutant EGFR (E746-A750del) protein, using EGF Receptor (E746-A750del Specific) (D6B6) XP® Rabbit mAb (upper), and total EGFR control antibody (lower).
undefined Image 2: Lung Cancer RTK Antibody Sampler Kit
Western blot analysis of extracts from various EGFR expressing cell lines, showing the specificity of detection of mutant EGFR (L858R) protein using EGF Receptor (L858R Mutant Specific) (43B2) Rabbit mAb (upper), and total EGFR control antibody (lower).
undefined Image 3: Lung Cancer RTK Antibody Sampler Kit
Orders: 877-616-CELL (2355) [email protected] Support: 877-678-TECH (8324) [email protected] Web: cellsignal.com
For Research Use Only. Not for Use in Diagnostic Procedures.

Revision 1

Cell Signaling Technology Logo
Western blot analysis of extracts from HCC78 (SLC34A2-ROS1), U-118 MG (FIG-ROS1), and HeLa (ROS1 negative) cells using ROS1 (D4D6®) Rabbit mAb (upper) or β-Actin (D6A8) Rabbit mAb #8457 (lower). Note: HCC78 cells express the 85, 70, and 59 kDa forms of the SLC34A2-ROS1 fusion protein (7).
undefined Image 4: Lung Cancer RTK Antibody Sampler Kit
Western blot analysis of extracts from NCI-H2228 and NCI-H3122 cells using ALK (D5F3®) XP® Rabbit mAb. Variants denoting fusions of different EML4 exons (v1 or v3) are indicated.
undefined Image 5: Lung Cancer RTK Antibody Sampler Kit
Western blot analysis of extracts from control Hela cells (lane 1), or EGFR knockout Hela cells (lane 2) using EGF Receptor (D38B1) XP® Rabbit mAb #4267, (upper) or #8457 β-Actin (D6A8) Rabbit mAb (lower). The absence of signal in EGFR-knockout Hela cells confirms specificity of the antibody for EGFR.
undefined Image 6: Lung Cancer RTK Antibody Sampler Kit
Orders: 877-616-CELL (2355) [email protected] Support: 877-678-TECH (8324) [email protected] Web: cellsignal.com
For Research Use Only. Not for Use in Diagnostic Procedures.

Revision 1

Cell Signaling Technology Logo
Immunohistochemical analysis of paraffin-embedded human lung carcinoma using EGF Receptor (D38B1) Rabbit mAb performed on the Leica® BOND™ Rx.
undefined Image 7: Lung Cancer RTK Antibody Sampler Kit
Western blot analysis of extracts from SK-BR-3, MDA-MB-453, MCF-7, and mIMCD-3 cells using HER2/ErbB2 (D8F12) XP® Rabbit mAb (upper) or GAPDH (D16H11) XP® Rabbit mAb #5174 (lower).
undefined Image 8: Lung Cancer RTK Antibody Sampler Kit
After the primary antibody is bound to the target protein, a complex with HRP-linked secondary antibody is formed. The LumiGLO® is added and emits light during enzyme catalyzed decomposition.
undefined Image 9: Lung Cancer RTK Antibody Sampler Kit
Orders: 877-616-CELL (2355) [email protected] Support: 877-678-TECH (8324) [email protected] Web: cellsignal.com
For Research Use Only. Not for Use in Diagnostic Procedures.

Revision 1

Cell Signaling Technology Logo
Western blot analysis of extracts from HT-29 (Met+), SK-BR-3 (Met-), and T-47D (Met-) cells using Met (D1C2) XP® Rabbit mAb (upper) or β-Actin Antibody #4967 (lower).
undefined Image 10: Lung Cancer RTK Antibody Sampler Kit
Western blot analysis of extracts from A-204 (FGFR1 positive), KG-1a (FGFR1 oncogenic partner-FGFR1 fusion), A172 (FGFR1 low), and HT-29 (FGFR1 negative) cells using FGF Receptor 1 (D8E4) XP® Rabbit mAb (upper) and β-Actin (D6A8) Rabbit mAb #8457 (lower).
undefined Image 11: Lung Cancer RTK Antibody Sampler Kit
Immunohistochemical analysis of paraffin-embedded human adrenal gland using Ret (E1N8X) XP® Rabbit mAb.
undefined Image 12: Lung Cancer RTK Antibody Sampler Kit
Orders: 877-616-CELL (2355) [email protected] Support: 877-678-TECH (8324) [email protected] Web: cellsignal.com
For Research Use Only. Not for Use in Diagnostic Procedures.

Revision 1

Cell Signaling Technology Logo
Immunohistochemical analysis of paraffin-embedded H1975 (left, EGFR L858R positive) and H1650 xenografts (right, EGFR deletion positive) using EGF Receptor (E746-A750del Specific) (D6B6) XP® Rabbit mAb (upper) and total EGFR (D38B1) XP® Rabbit mAb #4267 (lower).
undefined Image 13: Lung Cancer RTK Antibody Sampler Kit
Western blot analysis of extracts from 293T cells, mock transfected (-) or transfected with a construct expressing wildtype ROS1 (hROS1; +), using ROS1 (D4D6®) Rabbit mAb (upper) or β-Actin (D6A8) Rabbit mAb #8457 (lower).
undefined Image 14: Lung Cancer RTK Antibody Sampler Kit
Immunohistochemical analysis of paraffin-embedded human non-small cell lung carcinoma using ALK (D5F3®) XP® Rabbit mAb.
undefined Image 15: Lung Cancer RTK Antibody Sampler Kit
Orders: 877-616-CELL (2355) [email protected] Support: 877-678-TECH (8324) [email protected] Web: cellsignal.com
For Research Use Only. Not for Use in Diagnostic Procedures.

Revision 1

Cell Signaling Technology Logo
Western blot analysis of extracts from A-431, BxPC3 and HeLa cells using EGF Receptor (D38B1) XP® Rabbit mAb.
undefined Image 16: Lung Cancer RTK Antibody Sampler Kit
Immunohistochemical analysis of paraffin-embedded human hepatocellular carcinoma using EGF Receptor (D38B1) XP® Rabbit mAb.
undefined Image 17: Lung Cancer RTK Antibody Sampler Kit
Immunohistochemical analysis of paraffin-embedded human urothelial carcinoma using HER2/ErbB2 (D8F12) XP® Rabbit mAb performed on the Leica® BOND™ Rx. 
undefined Image 18: Lung Cancer RTK Antibody Sampler Kit
Orders: 877-616-CELL (2355) [email protected] Support: 877-678-TECH (8324) [email protected] Web: cellsignal.com
For Research Use Only. Not for Use in Diagnostic Procedures.

Revision 1

Cell Signaling Technology Logo
Western blot analysis of extracts from control HeLa cells (lane 1) or Met knockout HeLa cells (lane 2) using Met (D1C2) XP® Rabbit mAb #8198. The absence of signal in the Met knockout HeLa cells confirms specificity of the antibody for Met.
undefined Image 19: Lung Cancer RTK Antibody Sampler Kit
Immunohistochemical analysis of paraffin-embedded human breast carcinoma using FGF Receptor 1 (D8E4) XP® Rabbit mAb.
undefined Image 20: Lung Cancer RTK Antibody Sampler Kit
Immunohistochemical analysis of paraffin-embedded human breast carcinoma using Ret (E1N8X) XP® Rabbit mAb.
undefined Image 21: Lung Cancer RTK Antibody Sampler Kit
Orders: 877-616-CELL (2355) [email protected] Support: 877-678-TECH (8324) [email protected] Web: cellsignal.com
For Research Use Only. Not for Use in Diagnostic Procedures.

Revision 1

Cell Signaling Technology Logo
Immunohistochemical analysis of paraffin embedded human lung carcinoma of known mutational status using EGF Receptor (E746-A750del Specific) (D6B6) XP® Rabbit mAb (upper) and total EGFR (D38B1) XP® Rabbit mAb #4267 (lower). EGFR L858R positive lung (left), EGFR deletion positive lung sections (right).
undefined Image 22: Lung Cancer RTK Antibody Sampler Kit
Immunoprecipitation of ROS1 from HCC78 cell extracts using Rabbit (DA1E) mAb IgG XP® Isotype Control #3900 (lane 2) or ROS1 (D4D6®) Rabbit mAb (lane 3). Lane 1 is 10% input. Western blot analysis was performed using ROS1 (D4D6®) Rabbit mAb, followed by Mouse Anti-rabbit IgG (Conformation Specific) (L27A9) mAb #3678 and Anti-mouse IgG, HRP-linked Antibody #7076.
undefined Image 23: Lung Cancer RTK Antibody Sampler Kit
Immunohistochemical analysis of paraffin-embedded anaplastic large cell lymphoma (ALCL) using ALK (D5F3®) XP® Rabbit mAb.
undefined Image 24: Lung Cancer RTK Antibody Sampler Kit
Orders: 877-616-CELL (2355) [email protected] Support: 877-678-TECH (8324) [email protected] Web: cellsignal.com
For Research Use Only. Not for Use in Diagnostic Procedures.

Revision 1

Cell Signaling Technology Logo
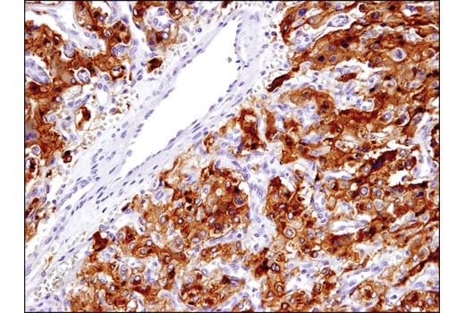
Immunohistochemical analysis of paraffin-embedded human lung carcinoma using EGF Receptor (D38B1) XP® Rabbit mAb.
undefined Image 25: Lung Cancer RTK Antibody Sampler Kit
Immunohistochemical analysis of paraffin-embedded human urothelial carcinoma using HER2/ErbB2 (D8F12) XP® Rabbit mAb performed on the Leica® BOND™ Rx. 
undefined Image 26: Lung Cancer RTK Antibody Sampler Kit
Immunohistochemical analysis of paraffin-embedded human colon adenocarcinoma using Met (D1C2) XP® Rabbit mAb performed on the Leica® Bond™ Rx.
undefined Image 27: Lung Cancer RTK Antibody Sampler Kit
Orders: 877-616-CELL (2355) [email protected] Support: 877-678-TECH (8324) [email protected] Web: cellsignal.com
For Research Use Only. Not for Use in Diagnostic Procedures.

Revision 1

Cell Signaling Technology Logo
Immunohistochemical analysis of paraffin-embedded human kidney using FGF Receptor 1 (D8E4) XP® Rabbit mAb.
undefined Image 28: Lung Cancer RTK Antibody Sampler Kit
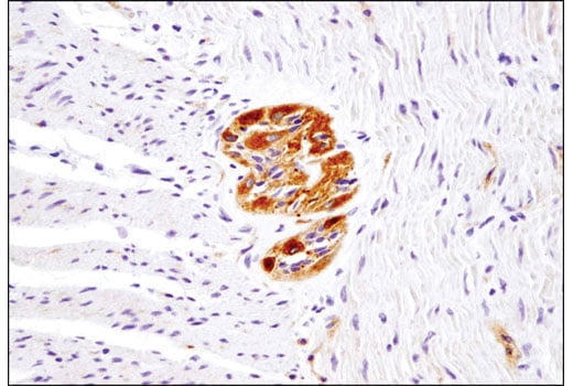
Immunohistochemical analysis of paraffin-embedded human small intestine using Ret (E1N8X) XP® Rabbit mAb. Note the positive signal of the myenteric plexus in the muscularis externa of the small intestine.
undefined Image 29: Lung Cancer RTK Antibody Sampler Kit
Immunohistochemical analysis of paraffin-embedded H1975 (left, EGFR L858R positive) and H1650 xenograft (right, EGFR deletion positive) using EGF Receptor (L858R Mutant Specific) (43B2) Rabbit mAb (upper) and total EGFR (D38B1) XP® Rabbit mAb #4267 (lower).
undefined Image 30: Lung Cancer RTK Antibody Sampler Kit
Orders: 877-616-CELL (2355) [email protected] Support: 877-678-TECH (8324) [email protected] Web: cellsignal.com
For Research Use Only. Not for Use in Diagnostic Procedures.

Revision 1

Cell Signaling Technology Logo
Immunohistochemical analysis of paraffin-embedded human lung carcinoma using ROS1 (D4D6®) Rabbit mAb. Note: Staining is of FIG-ROS1 fusion (6).
undefined Image 31: Lung Cancer RTK Antibody Sampler Kit
Immunohistochemical analysis of paraffin-embedded human lung carcinoma with high (left) and low levels (right) of ALK expression using ALK (D5F3®) XP® Rabbit mAb.
undefined Image 32: Lung Cancer RTK Antibody Sampler Kit
Immunohistochemical analysis of paraffin-embedded human placenta using EGF Receptor (D38B1) XP® Rabbit mAb.
undefined Image 33: Lung Cancer RTK Antibody Sampler Kit
Orders: 877-616-CELL (2355) [email protected] Support: 877-678-TECH (8324) [email protected] Web: cellsignal.com
For Research Use Only. Not for Use in Diagnostic Procedures.

Revision 1

Cell Signaling Technology Logo
Immunohistochemical analysis of paraffin-embedded human lung adenocarcinoma using HER2/ErbB2 (D8F12) XP® Rabbit mAb performed on the Leica® BOND™ Rx. 
undefined Image 34: Lung Cancer RTK Antibody Sampler Kit
Immunohistochemical analysis of paraffin-embedded human non-small cell lung carcinoma using Met (D1C2) XP® Rabbit mAb performed on the Leica® Bond™ Rx.
undefined Image 35: Lung Cancer RTK Antibody Sampler Kit
Immunohistochemical analysis of paraffin-embedded human lung carcinoma using FGF Receptor 1 (D8E4) XP® Rabbit mAb.
undefined Image 36: Lung Cancer RTK Antibody Sampler Kit
Orders: 877-616-CELL (2355) [email protected] Support: 877-678-TECH (8324) [email protected] Web: cellsignal.com
For Research Use Only. Not for Use in Diagnostic Procedures.

Revision 1

Cell Signaling Technology Logo
Immunohistochemical analysis of paraffin-embedded TT (left) or Hep G2 (right) cell pellets using Ret (E1N8X) XP® Rabbit mAb.
undefined Image 37: Lung Cancer RTK Antibody Sampler Kit
Immunohistochemical analysis of paraffin-embedded human lung carcinoma of known mutational status using EGF Receptor (L858R Mutant Specific) (43B2) Rabbit mAb (upper) and total EGFR (D38B1) XP® Rabbit mAb #4267 (lower). EGFR L858R positive lung (left), EGFR deletion positive lung sections (right).
undefined Image 38: Lung Cancer RTK Antibody Sampler Kit
Immunohistochemical analysis of paraffin-embedded human lung carcinomas showing distinct localization using ROS1 (D4D6®) Rabbit mAb.
undefined Image 39: Lung Cancer RTK Antibody Sampler Kit
Orders: 877-616-CELL (2355) [email protected] Support: 877-678-TECH (8324) [email protected] Web: cellsignal.com
For Research Use Only. Not for Use in Diagnostic Procedures.

Revision 1

Cell Signaling Technology Logo
Immunohistochemical analysis of paraffin-embedded rhesus monkey kidney using EGF Receptor (D38B1) Rabbit mAb.
undefined Image 40: Lung Cancer RTK Antibody Sampler Kit
Immunohistochemical analysis of paraffin-embedded human prostate carcinoma using HER2/ErbB2 (D8F12) XP® Rabbit mAb performed on the Leica® BOND™ Rx. 
undefined Image 41: Lung Cancer RTK Antibody Sampler Kit
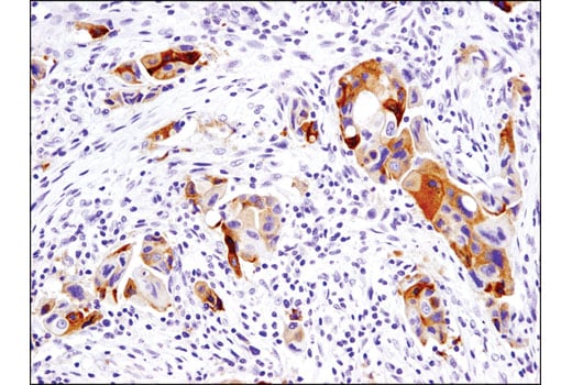
Immunohistochemical analysis of paraffin-embedded human metastatic lung carcinoma using Met (D1C2) XP® Rabbit mAb.
undefined Image 42: Lung Cancer RTK Antibody Sampler Kit
Orders: 877-616-CELL (2355) [email protected] Support: 877-678-TECH (8324) [email protected] Web: cellsignal.com
For Research Use Only. Not for Use in Diagnostic Procedures.

Revision 1

Cell Signaling Technology Logo
Immunohistochemical analysis of paraffin-embedded A-204 cell pellet (left, positive) or HT-29 cell pellet (right, negative) using FGF Receptor 1 (D8E4) XP® Rabbit mAb.
undefined Image 43: Lung Cancer RTK Antibody Sampler Kit
Confocal immunofluorescent analysis of TT (positive, left) and HeLa (negative, right) cells using Ret (E1N8X) XP® Rabbit mAb (green). Blue pseudocolor = DRAQ5® #4084 (fluorescent DNA dye).
undefined Image 44: Lung Cancer RTK Antibody Sampler Kit
Immunohistochemical analysis of paraffin-embedded human lung carcinoma using ROS1 (D4D6®) Rabbit mAb.
undefined Image 45: Lung Cancer RTK Antibody Sampler Kit
Orders: 877-616-CELL (2355) [email protected] Support: 877-678-TECH (8324) [email protected] Web: cellsignal.com
For Research Use Only. Not for Use in Diagnostic Procedures.

Revision 1

Cell Signaling Technology Logo
Immunohistochemical analysis of paraffin-embedded MDA-MB-468 (amplified EGFR, left), HT-29 (low EGFR, middle) and CAMA-1 (EGFR negative, right) cells using EGF Receptor (D38B1) XP® Rabbit mAb.
undefined Image 46: Lung Cancer RTK Antibody Sampler Kit
Immunohistochemical analysis of paraffin-embedded human breast carcinoma using HER2/ErbB2 (D8F12) XP® Rabbit mAb.
undefined Image 47: Lung Cancer RTK Antibody Sampler Kit
Immunohistochemical analysis of paraffin-embedded human hepatocellular carcinoma using Met (D1C2) XP® Rabbit mAb.
undefined Image 48: Lung Cancer RTK Antibody Sampler Kit
Orders: 877-616-CELL (2355) [email protected] Support: 877-678-TECH (8324) [email protected] Web: cellsignal.com
For Research Use Only. Not for Use in Diagnostic Procedures.

Revision 1

Cell Signaling Technology Logo
Confocal immunofluorescent analysis of A204 cells (positive, left), KG-1 cells (positive, middle) and A172 cells (weak expression, right) using FGF Receptor 1 (D8E4) XP® Rabbit mAb (green). Blue pseudocolor= DRAQ5® #4084 (fluorescent DNA dye).
undefined Image 49: Lung Cancer RTK Antibody Sampler Kit
Flow cytometric analysis of fixed and permeabilized HeLa cells (blue, negative) and TT cells (green, positive) using Ret (E1N8X) XP® Rabbit mAb (solid lines) or concentration-matched Rabbit (DA1E) mAb IgG XP® Isotype Control #3900 (dashed lines). Anti-rabbit IgG (H+L), F(ab')2 Fragment (Alexa Fluor® 488 Conjugate) #4412 was used as a secondary antibody.
undefined Image 50: Lung Cancer RTK Antibody Sampler Kit
Immunohistochemical analysis of paraffin-embedded HCC78 xenograft using ROS1 (D4D6®) Rabbit mAb.
undefined Image 51: Lung Cancer RTK Antibody Sampler Kit
Orders: 877-616-CELL (2355) [email protected] Support: 877-678-TECH (8324) [email protected] Web: cellsignal.com
For Research Use Only. Not for Use in Diagnostic Procedures.

Revision 1

Cell Signaling Technology Logo
Flow cytometric analysis of U-937 cells (blue) and KARPAS 299 cells (green) using ALK (D5F3®) XP® Rabbit mAb (solid lines) or a concentration-matched Rabbit (DA1E) mAb IgG XP® Isotype Control #3900 (dashed lines). Anti-rabbit IgG (H+L), F(ab')2 Fragment (Alexa Fluor® 488 Conjugate) #4412 was used as a secondary antibody.
undefined Image 52: Lung Cancer RTK Antibody Sampler Kit
Immunohistochemical analysis of paraffin-embedded human ductal breast carcinoma using HER2/ErbB2 (D8F12) XP® Rabbit mAb.
undefined Image 53: Lung Cancer RTK Antibody Sampler Kit
Immunohistochemical analysis of paraffin-embedded human papillary renal cell carcinoma using Met (D1C2) XP® Rabbit mAb.
undefined Image 54: Lung Cancer RTK Antibody Sampler Kit
Orders: 877-616-CELL (2355) [email protected] Support: 877-678-TECH (8324) [email protected] Web: cellsignal.com
For Research Use Only. Not for Use in Diagnostic Procedures.

Revision 1

Cell Signaling Technology Logo
Confocal immunofluorescent analysis of HCC78 (left) or HeLa (right) cells using ROS1 (D4D6®) Rabbit mAb (green). Actin filaments were labeled with DY-554 phalloidin (red). Blue pseudocolor = DRAQ5® #4084 (fluorescent DNA dye).
undefined Image 55: Lung Cancer RTK Antibody Sampler Kit
Immunohistochemical analysis of paraffin-embedded SK-BR-3 (Her2 high, left) and MCF7 cell pellets (Her2 low, right) using HER2/ErbB2 (D8F12) XP® Rabbit mAb.
undefined Image 56: Lung Cancer RTK Antibody Sampler Kit
Immunohistochemical analysis of paraffin-embedded cell pellets, MKN-45 (left) and T-47D (right), using Met (D1C2) XP® Rabbit mAb.
undefined Image 57: Lung Cancer RTK Antibody Sampler Kit
Orders: 877-616-CELL (2355) [email protected] Support: 877-678-TECH (8324) [email protected] Web: cellsignal.com
For Research Use Only. Not for Use in Diagnostic Procedures.

Revision 1

Cell Signaling Technology Logo
Flow cytometric analysis of HeLa cells (blue, negative) and HCC78 cells (green, positive) using ROS1 (D4D6®) Rabbit mAb (solid lines) or a concentration-matched Rabbit (DA1E) mAb IgG XP® Isotype Control #3900 (dashed lines). Anti-rabbit IgG (H+L), F(ab')2 Fragment (Alexa Fluor® 488 Conjugate) #4412 was used as a secondary antibody.
undefined Image 58: Lung Cancer RTK Antibody Sampler Kit
Confocal immunofluorescent analysis of A549 cells, untreated (left) or treated with human epidermal growth factor (right), using EGF Receptor (D38B1) XP® Rabbit mAb (green). Blue pseudocolor = DRAQ5® #4084 (fluorescent DNA dye).
undefined Image 59: Lung Cancer RTK Antibody Sampler Kit
Confocal immunofluorescent analysis of HCC827, H1650 and Kyse450 cells using EGF Receptor (E746-A750del Specific) (D6B6) XP® Rabbit mAb (green). Blue pseudocolor = DRAQ5® #4084 (fluorescent DNA dye).
undefined Image 60: Lung Cancer RTK Antibody Sampler Kit
Orders: 877-616-CELL (2355) [email protected] Support: 877-678-TECH (8324) [email protected] Web: cellsignal.com
For Research Use Only. Not for Use in Diagnostic Procedures.

Revision 1

Cell Signaling Technology Logo
Flow cytometric analysis of Jurkat cells (blue) and A431 cells (green) using EGF Receptor (D38B1) XP® Rabbit mAb #4267 (solid lines) or a concentration-matched Rabbit (DA1E) mAb IgG XP® Isotype Control #3900 (dashed lines). Anti-rabbit IgG (H+L), F(ab')2 Fragment (Alexa Fluor® 488 Conjugate) #4412 was used as a secondary antibody.
undefined Image 61: Lung Cancer RTK Antibody Sampler Kit
Confocal immunofluorescent analysis of HT-29 and T-47D cells using Met (D1C2) XP® Rabbit mAb (green). Actin filaments were labeled with DY-554 phalloidin (red). Blue pseudocolor = DRAQ5® #4084 (fluorescent DNA dye).
undefined Image 62: Lung Cancer RTK Antibody Sampler Kit
Flow cytometric analysis of fixed and permeabilized Ramos cells (blue, negative) and MKN-45 cells (green, positive) using Met (D1C2) XP® Rabbit mAb (solid lines) or a concentration-matched Rabbit (DA1E) mAb IgG XP® Isotype Control #3900 (dashed lines). Anti-rabbit IgG (H+L), F(ab')2 Fragment (Alexa Fluor® 488 Conjugate) #4412 was used as a secondary antibody.
undefined Image 63: Lung Cancer RTK Antibody Sampler Kit
Orders: 877-616-CELL (2355) [email protected] Support: 877-678-TECH (8324) [email protected] Web: cellsignal.com
For Research Use Only. Not for Use in Diagnostic Procedures.

Revision 1

Cell Signaling Technology Logo
Flow cytometric analysis of fixed and permeabilized Kyse450 cells (wildtype, blue) and HCC827 cells (exon 19 deletion (E746-A750del, green) using EGF Receptor (E746-A750del Specific) (D6B6) XP® Rabbit mAb.
undefined Image 64: Lung Cancer RTK Antibody Sampler Kit
Confocal immunofluorescent analysis of H3255 (left), HCC827 (middle) and A431 cells (right) using EGF Receptor (L858R Mutant Specific) (43B2) Rabbit mAb (green) and MEK1/2 (L38C12) Mouse mAb #4694 (red). H3255 cells have the L858R EGFR mutation, HCC827 cells have an exon 19 EGFR deletion, and A431 cells overexpress wild type EGFR. Blue pseudocolor = DRAQ5® #4084 (fluorescent DNA dye).
undefined Image 65: Lung Cancer RTK Antibody Sampler Kit
Flow cytometric analysis of two non-small cell lung cancer cell lines using EGF Receptor (L858R Mutant Specific) (43B2) Rabbit mAb. H3255 cells (green) harbor the L858R EGFR mutation while the H1650 cells (blue) have the exon 19 mutation (delE746-A750).
undefined Image 66: Lung Cancer RTK Antibody Sampler Kit
Orders: 877-616-CELL (2355) [email protected] Support: 877-678-TECH (8324) [email protected] Web: cellsignal.com
For Research Use Only. Not for Use in Diagnostic Procedures.

Revision 1

Cell Signaling Technology Logo
Immunoprecipitation of EGF Receptor (E746-A750del Specific) from HCC-827 cell extracts. Lane 1 is 10% input, lane 2 is precipitated with Rabbit (DA1E) mAb IgG XP® Isotype Control #3900, and lane 3 is EGF Receptor (E746-A750del Specific) (D6B6) XP® Rabbit mAb. Western blot was performed using EGF Receptor (E746-A750del Specific) (D6B6) XP® Rabbit mAb.
undefined Image 67: Lung Cancer RTK Antibody Sampler Kit
Simple Western™ analysis of lysates (0.1 mg/mL) from NCI-H3255 cells using EGF Receptor (L858R Mutant Specific) (43B2) Rabbit mAb #3197. The virtual lane view (left) shows a single target band (as indicated) at a 1:250 dilution of primary antibody. The corresponding electropherogram view (right) plots chemiluminescence by molecular weight along the capillary at 1:250 (grey line) dilution of primary antibody. This experiment was performed under reducing conditions on the Jess™ ​​​​​​​ Simple Western instrument from ProteinSimple, a BioTechne brand, using the 12 - 230 kDa separation module.
undefined Image 68: Lung Cancer RTK Antibody Sampler Kit
Simple Western™ analysis of lysates (1.0 mg/mL) from HCC-78 cells using ROS1 (D4D6® ) Rabbit mAb #3287. The virtual lane view (left) shows the target bands (as indicated) at 1:10 and 1:50 dilutions of primary antibody. The corresponding electropherogram view (right) plots chemiluminescence by molecular weight along the capillary at 1:10 (blue line) and 1:50 (green line) dilutions of primary antibody. This experiment was performed under reducing conditions on the Jess™ Simple Western instrument from ProteinSimple, a BioTechne brand, using the 66-440 kDa separation module.
undefined Image 69: Lung Cancer RTK Antibody Sampler Kit
Orders: 877-616-CELL (2355) [email protected] Support: 877-678-TECH (8324) [email protected] Web: cellsignal.com
For Research Use Only. Not for Use in Diagnostic Procedures.

Revision 1

Cell Signaling Technology Logo
Simple Western™ analysis of lysates (0.1 mg/mL) from NCI-H3122 using ALK (D5F3®) XP® Rabbit mAb #3633. The virtual lane view (left) shows the target band (as indicated) at 1:10 and 1:50 dilutions of primary antibody. The corresponding electropherogram view (right) plots chemiluminescence by molecular weight along the capillary at 1:10 (blue line) and 1:50 (green line) dilutions of primary antibody. This experiment was performed under reducing conditions on the Jess™ Simple Western instrument from ProteinSimple, a BioTechne brand, using the 66 -440 kDa separation module.
undefined Image 70: Lung Cancer RTK Antibody Sampler Kit
Simple Western™ analysis of lysates (0.1 mg/mL) from A-431 cells using EGF Receptor (D38B1) XP® Rabbit mAb #4267. The virtual lane view (left) shows a single target band (as indicated) at 1:10 and 1:50 dilutions of primary antibody. The corresponding electropherogram view (right) plots chemiluminescence by molecular weight along the capillary at 1:10 (blue line) and 1:50 (green line) dilutions of primary antibody. This experiment was performed under reducing conditions on the Jess™ Simple Western instrument from ProteinSimple, a BioTechne brand, using the 66-440 kDa separation module.
undefined Image 71: Lung Cancer RTK Antibody Sampler Kit
Immunoprecipitation of EGFR protein from HeLa cell extracts. Lane 1 is 10% input, lane 2 is Rabbit (DA1E) mAb IgG XP® Isotype Control #3900, and lane 3 is EGF Receptor (D38B1) XP® Rabbit mAb. Western blot analysis was performed using EGF Receptor (D38B1) XP® Rabbit mAb. Anti-rabbit IgG, HRP-linked Antibody #7074 was used as a secondary antibody.
undefined Image 72: Lung Cancer RTK Antibody Sampler Kit
Orders: 877-616-CELL (2355) [email protected] Support: 877-678-TECH (8324) [email protected] Web: cellsignal.com
For Research Use Only. Not for Use in Diagnostic Procedures.

Revision 1

Cell Signaling Technology Logo
Western blot analysis of extracts from HeLa, mIMCD-3, and Cos-7 cells using EGF Receptor (D38B1) XP® Rabbit mAb (upper) or GAPDH (D16H11) XP® Rabbit mAb #5174 (lower).
undefined Image 73: Lung Cancer RTK Antibody Sampler Kit
Simple Western™ analysis of lysates (0.1 mg/mL) from SK-BR-3 cells using HER2/ErbB2 (D8F12) XP® Rabbit mAb #4290. The virtual lane view (left) shows a single target band (as indicated) at 1:50 and 1:250 dilutions of primary antibody. The corresponding electropherogram view (right) plots chemiluminescence by molecular weight along the capillary at 1:50 (blue line) and 1:250 (green line) dilutions of primary antibody. This experiment was performed under reducing conditions on the Jess™ ​​​​​​​ Simple Western instrument from ProteinSimple, a BioTechne brand, using the 12-230 kDa separation module.
undefined Image 74: Lung Cancer RTK Antibody Sampler Kit
Simple Western™ analysis of lysates (0.1 mg/mL) from HT-29 untreated cells using Met (D1C2) XP® Rabbit mAb #8198 lane view (left) shows a single target band (as indicated) at 1:50 and 1:250 dilutions of primary antibody. The corresponding electropherogram view (right) plots chemiluminescence by molecular weight along the capillary at 1:50 (blue line) and 1:250 (green line) dilutions of primary antibody. This experiment was performed under reducing conditions on the Jess™ Simple Western instrument from ProteinSimple, a BioTechne brand, using the 12-230 kDa separation module.
undefined Image 75: Lung Cancer RTK Antibody Sampler Kit
Orders: 877-616-CELL (2355) [email protected] Support: 877-678-TECH (8324) [email protected] Web: cellsignal.com
For Research Use Only. Not for Use in Diagnostic Procedures.

Revision 1

Cell Signaling Technology Logo
Flow cytometric analysis of A-204 cells using FGF Receptor 1 (D8E4) XP® Rabbit mAb (solid line) compared to concentration-matched Rabbit (DA1E) mAb IgG XP® Isotype control #3900 (dashed line). Anti-rabbit IgG (H+L), F(ab')2 Fragment (Alexa Fluor® 488 Conjugate) #4412 was used as a secondary antibody.
undefined Image 76: Lung Cancer RTK Antibody Sampler Kit
Orders: 877-616-CELL (2355) [email protected] Support: 877-678-TECH (8324) [email protected] Web: cellsignal.com
For Research Use Only. Not for Use in Diagnostic Procedures.