Revision 3

#2796

Store at -20C

CST Logo
Orders:

877-616-CELL (2355)

[email protected]

Support:

877-678-TECH (8324)

3 Trask Lane | Danvers | Massachusetts | 01923 | USA

For Research Use Only. Not for Use in Diagnostic Procedures.

Applications:
W, IP, IHC-P

Reactivity:
H M R Mk

Sensitivity:
Endogenous

MW (kDa):
56

Source/Isotype:
Rabbit IgG

UniProt ID:
#P07948

Entrez-Gene Id:
4067

Product Usage Information

Application Dilution
Western Blotting 1:1000
Immunoprecipitation 1:50
Immunohistochemistry (Paraffin) 1:400

Storage

Supplied in 10 mM sodium HEPES (pH 7.5), 150 mM NaCl, 100 µg/ml BSA, 50% glycerol and less than 0.02% sodium azide. Store at –20°C. Do not aliquot the antibody.

For a carrier free (BSA and azide free) version of this product see product #48103.

Specificity/Sensitivity

Lyn (C13F9) Rabbit Monoclonal Antibody detects endogenous levels of total Lyn protein. This antibody does not cross-react with any other Src-family members.

Source / Purification

Monoclonal antibody is produced by immunizing animals with a synthetic peptide corresponding to the amino-terminal sequence of human Lyn.

Background

Lyn, one of the Src family members, is predominantly expressed in hematopoietic cells (1). Two tyrosine residues have been reported to play a crucial role in the regulation of protein tyrosine kinases of the Src family. Autophosphorylation of Tyr396 (equivalent to Tyr416 of Src), located in the catalytic domain, correlates with enzyme activation. Csk-mediated phosphorylation of the carboxy-terminal Tyr507 (equivalent to Tyr527 of Src) inactivates the kinase. Tyrosine phosphorylation and activation of Lyn occurs upon association with cell surface receptors such as the B cell Ag receptor (BCR) and CD40 (2-4). Studies using knockout mice have shown that the net effect of Lyn deficiency is to render B cells hypersensitive to BCR stimulation (5-7), suggesting that the most critical role for Lyn in vivo is in the down-regulation of B cell responses. Lyn is also involved in controlling the migration and development of specific B cell populations (8).

Species Reactivity

Species reactivity is determined by testing in at least one approved application (e.g., western blot).

Western Blot Buffer

IMPORTANT: For western blots, incubate membrane with diluted primary antibody in 5% w/v BSA, 1X TBS, 0.1% Tween® 20 at 4°C with gentle shaking, overnight.

Applications Key

W: Western Blotting IP: Immunoprecipitation IHC-P: Immunohistochemistry (Paraffin)

Cross-Reactivity Key

H: Human M: Mouse R: Rat Mk: Monkey

Trademarks and Patents

Cell Signaling Technology is a trademark of Cell Signaling Technology, Inc.

U.S. Patent No. 7,429,487, foreign equivalents, and child patents deriving therefrom.

All other trademarks are the property of their respective owners. Visit cellsignal.com/trademarks for more information.

Limited Uses

Except as otherwise expressly agreed in a writing signed by a legally authorized representative of CST, the following terms apply to Products provided by CST, its affiliates or its distributors. Any Customer's terms and conditions that are in addition to, or different from, those contained herein, unless separately accepted in writing by a legally authorized representative of CST, are rejected and are of no force or effect.

Products are labeled with For Research Use Only or a similar labeling statement and have not been approved, cleared, or licensed by the FDA or other regulatory foreign or domestic entity, for any purpose. Customer shall not use any Product for any diagnostic or therapeutic purpose, or otherwise in any manner that conflicts with its labeling statement. Products sold or licensed by CST are provided for Customer as the end-user and solely for research and development uses. Any use of Product for diagnostic, prophylactic or therapeutic purposes, or any purchase of Product for resale (alone or as a component) or other commercial purpose, requires a separate license from CST. Customer shall (a) not sell, license, loan, donate or otherwise transfer or make available any Product to any third party, whether alone or in combination with other materials, or use the Products to manufacture any commercial products, (b) not copy, modify, reverse engineer, decompile, disassemble or otherwise attempt to discover the underlying structure or technology of the Products, or use the Products for the purpose of developing any products or services that would compete with CST products or services, (c) not alter or remove from the Products any trademarks, trade names, logos, patent or copyright notices or markings, (d) use the Products solely in accordance with CST Product Terms of Sale and any applicable documentation, and (e) comply with any license, terms of service or similar agreement with respect to any third party products or services used by Customer in connection with the Products.

Orders: 877-616-CELL (2355) [email protected] Support: 877-678-TECH (8324) [email protected] Web: cellsignal.com
For Research Use Only. Not for Use in Diagnostic Procedures.

Revision 3

Cell Signaling Technology Logo
Western blot analysis of cell extracts from various cell types using Lyn (C13F9) Rabbit mAb.
Western Blotting Image 1: Lyn (C13F9) Rabbit Monoclonal Antibody
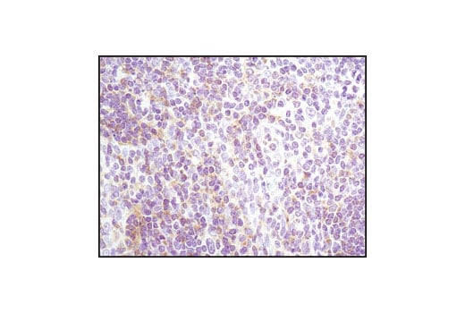
Immunohistochemical analysis of paraffin-embedded non-hodgkins lymphoma using Lyn (C13F9) Rabbit mAb.
Immunohistochemistry Image 1: Lyn (C13F9) Rabbit Monoclonal Antibody
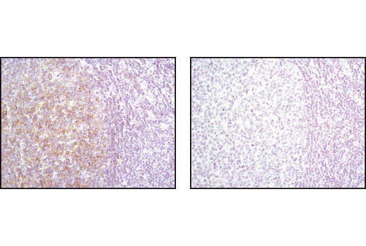
Immunohistochemical analysis of paraffin-embedded human tonsil tissue using Lyn (C13F9) Rabbit mAb in the presence of control peptide (left) and antigen specific peptide (right).
Immunohistochemistry Image 2: Lyn (C13F9) Rabbit Monoclonal Antibody
Orders: 877-616-CELL (2355) [email protected] Support: 877-678-TECH (8324) [email protected] Web: cellsignal.com
For Research Use Only. Not for Use in Diagnostic Procedures.