Revision 1

#60487

Store at -20C

CST Logo
Orders:

877-616-CELL (2355)

[email protected]

Support:

877-678-TECH (8324)

3 Trask Lane | Danvers | Massachusetts | 01923 | USA

For Research Use Only. Not for Use in Diagnostic Procedures.

Applications:
W, IHC-P, IF-F, IF-IC

Reactivity:
M R

Sensitivity:
Endogenous

MW (kDa):
17

Source/Isotype:
Rabbit IgG

UniProt ID:
#P08905, #P17897

Entrez-Gene Id:
17105, 17110

Product Usage Information

Application Dilution
Western Blotting 1:1000
Immunohistochemistry (Paraffin) 1:1600 - 1:6400
Immunofluorescence (Frozen) 1:400 - 1:1600
Immunofluorescence (Immunocytochemistry) 1:400 - 1:1600

Storage

Supplied in 10 mM sodium HEPES (pH 7.5), 150 mM NaCl, 100 µg/mL BSA, 50% glycerol, and less than 0.02% sodium azide. Store at –20°C. Do not aliquot the antibody.

Specificity/Sensitivity

Lysozyme C-1/2 (E2K5R) Rabbit Monoclonal Antibody recognizes endogenous levels of total mouse and rat Lysozyme C-1 and Lysozyme C-2 protein.

Source / Purification

Monoclonal antibody is produced by immunizing animals with a synthetic peptide corresponding to residues surrounding Leu139 of mouse Lysozyme C-1/2 protein.

Background

Lysozymes are secreted proteins that have bacteriolytic function which are critical for mammalian innate immune function. All lysozymes function to defend host animals from microbial infection by the hydrolysis of bacterial cell wall peptidoglycan (1). Conventional-type lysozymes (Lysozyme C) are one of three types of lysozymes; each family member is categorized based on amino acid sequence and biochemical properties. Lysozyme C is expressed in mammalian secretions like tears, urine, and milk but is also expressed by phagocytes such as macrophages, neutrophils, and dendritic cells. Lysozyme C is encoded in humans by a single LYZ gene. The mouse orthologs of Lysozyme C are encoded by two genes, Lyz1 and Lyz2, which encode Lysozyme C-1 and Lysozyme C-2 (Lysozyme C-1/2). Interestingly, Lyz2 is upregulated in microglia of Alzheimer's disease mouse model brains that have been stimulated by specific forms of activity (2). Lyz1 and Lyz2 are uniquely expressed in microglia, and increased Lyz2 correlates with microglia-mediated β-amyloid (Aβ) clearance, suggesting that Lysozyme C-1/2 may directly contribute to microglial-clearance of Aβ or act as a marker for certain microglial activity states in the brain (3).

Species Reactivity

Species reactivity is determined by testing in at least one approved application (e.g., western blot).

Western Blot Buffer

IMPORTANT: For western blots, incubate membrane with diluted primary antibody in 5% w/v BSA, 1X TBS, 0.1% Tween® 20 at 4°C with gentle shaking, overnight.

Applications Key

W: Western Blotting IHC-P: Immunohistochemistry (Paraffin) IF-F: Immunofluorescence (Frozen) IF-IC: Immunofluorescence (Immunocytochemistry)

Cross-Reactivity Key

M: Mouse R: Rat

Trademarks and Patents

Cell Signaling Technology is a trademark of Cell Signaling Technology, Inc.

Alexa Fluor is a registered trademark of Life Technologies Corporation.

All other trademarks are the property of their respective owners. Visit cellsignal.com/trademarks for more information.

Limited Uses

Except as otherwise expressly agreed in a writing signed by a legally authorized representative of CST, the following terms apply to Products provided by CST, its affiliates or its distributors. Any Customer's terms and conditions that are in addition to, or different from, those contained herein, unless separately accepted in writing by a legally authorized representative of CST, are rejected and are of no force or effect.

Products are labeled with For Research Use Only or a similar labeling statement and have not been approved, cleared, or licensed by the FDA or other regulatory foreign or domestic entity, for any purpose. Customer shall not use any Product for any diagnostic or therapeutic purpose, or otherwise in any manner that conflicts with its labeling statement. Products sold or licensed by CST are provided for Customer as the end-user and solely for research and development uses. Any use of Product for diagnostic, prophylactic or therapeutic purposes, or any purchase of Product for resale (alone or as a component) or other commercial purpose, requires a separate license from CST. Customer shall (a) not sell, license, loan, donate or otherwise transfer or make available any Product to any third party, whether alone or in combination with other materials, or use the Products to manufacture any commercial products, (b) not copy, modify, reverse engineer, decompile, disassemble or otherwise attempt to discover the underlying structure or technology of the Products, or use the Products for the purpose of developing any products or services that would compete with CST products or services, (c) not alter or remove from the Products any trademarks, trade names, logos, patent or copyright notices or markings, (d) use the Products solely in accordance with CST Product Terms of Sale and any applicable documentation, and (e) comply with any license, terms of service or similar agreement with respect to any third party products or services used by Customer in connection with the Products.

Orders: 877-616-CELL (2355) [email protected] Support: 877-678-TECH (8324) [email protected] Web: cellsignal.com
For Research Use Only. Not for Use in Diagnostic Procedures.

Revision 1

Cell Signaling Technology Logo
Western blot analysis of extracts from various cell lines, and mouse and rat lung tissue, using Lysozyme C-1/2 (E2K5R) XP® Rabbit mAb (upper) or α-Actinin (D6F6) XP® Rabbit mAb #6487 (lower). Negative expression of Lysozyme C-1/2 protein in Neuro-2a cells is consistent with the predicted expression pattern. Lack of signal in Hep G2 and U-251 MG cells is consistent with the inability of Lysozyme C-1/2 (E2K5R) XP® Rabbit mAb to cross-react with human Lysozyme C-1/2 protein.
Western Blotting Image 1: Lysozyme C-1/2 (E2K5R) Rabbit Monoclonal Antibody
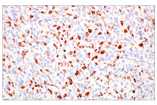
Immunohistochemical analysis of paraffin-embedded Renca syngeneic tumor using Lysozyme C-1/2 (E2K5R) XP® Rabbit mAb.
Immunohistochemistry Image 1: Lysozyme C-1/2 (E2K5R) Rabbit Monoclonal Antibody
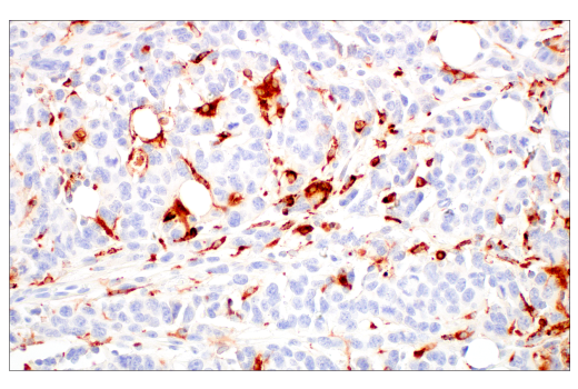
Immunohistochemical analysis of paraffin-embedded GL-261 syngeneic tumor using Lysozyme C-1/2 (E2K5R) XP® Rabbit mAb.
Immunohistochemistry Image 2: Lysozyme C-1/2 (E2K5R) Rabbit Monoclonal Antibody
Orders: 877-616-CELL (2355) [email protected] Support: 877-678-TECH (8324) [email protected] Web: cellsignal.com
For Research Use Only. Not for Use in Diagnostic Procedures.

Revision 1

Cell Signaling Technology Logo

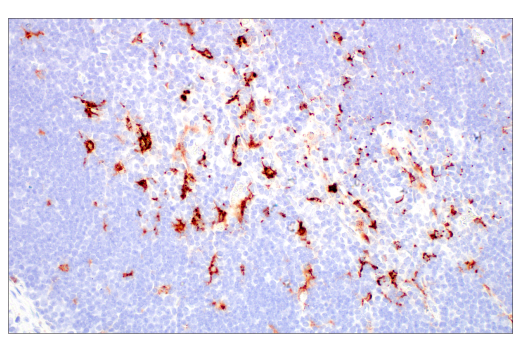
Immunohistochemical analysis of paraffin-embedded 4T1 syngeneic mammary tumor using Lysozyme C-1/2 (E2K5R) XP® Rabbit mAb.

Immunohistochemistry Image 3: Lysozyme C-1/2 (E2K5R) Rabbit Monoclonal Antibody
Immunohistochemical analysis of paraffin-embedded mouse thymus using Lysozyme C-1/2 (E2K5R) XP® Rabbit mAb.
Immunohistochemistry Image 4: Lysozyme C-1/2 (E2K5R) Rabbit Monoclonal Antibody
Immunohistochemical analysis of paraffin-embedded mouse ovary using Lysozyme C-1/2 (E2K5R) XP® Rabbit mAb.
Immunohistochemistry Image 5: Lysozyme C-1/2 (E2K5R) Rabbit Monoclonal Antibody
Orders: 877-616-CELL (2355) [email protected] Support: 877-678-TECH (8324) [email protected] Web: cellsignal.com
For Research Use Only. Not for Use in Diagnostic Procedures.

Revision 1

Cell Signaling Technology Logo
Immunohistochemical analysis of paraffin-embedded mouse colon using Lysozyme C-1/2 (E2K5R) XP® Rabbit mAb.
Immunohistochemistry Image 6: Lysozyme C-1/2 (E2K5R) Rabbit Monoclonal Antibody
Immunohistochemical analysis of paraffin-embedded mouse kidney using Lysozyme C-1/2 (E2K5R) XP® Rabbit mAb.
Immunohistochemistry Image 7: Lysozyme C-1/2 (E2K5R) Rabbit Monoclonal Antibody
Immunohistochemical analysis of paraffin-embedded mouse spleen using Lysozyme C-1/2 (E2K5R) XP® Rabbit mAb.
Immunohistochemistry Image 8: Lysozyme C-1/2 (E2K5R) Rabbit Monoclonal Antibody
Orders: 877-616-CELL (2355) [email protected] Support: 877-678-TECH (8324) [email protected] Web: cellsignal.com
For Research Use Only. Not for Use in Diagnostic Procedures.

Revision 1

Cell Signaling Technology Logo
Immunohistochemical analysis of paraffin-embedded mouse lung using Lysozyme C-1/2 (E2K5R) XP® Rabbit mAb.
Immunohistochemistry Image 9: Lysozyme C-1/2 (E2K5R) Rabbit Monoclonal Antibody
Immunohistochemical analysis of paraffin-embedded mouse spleen using Lysozyme C-1/2 (E2K5R) XP® Rabbit mAb (left) compared to concentration-matched Rabbit (DA1E) mAb IgG XP® Isotype Control #3900 (right). 
Immunohistochemistry Image 10: Lysozyme C-1/2 (E2K5R) Rabbit Monoclonal Antibody
Immunohistochemical analysis of paraffin-embedded RAW 264.7 cell pellet (left, positive) or Neuro-2a cell pellet (right, negative) using Lysozyme C-1/2 (E2K5R) XP® Rabbit mAb.
Immunohistochemistry Image 11: Lysozyme C-1/2 (E2K5R) Rabbit Monoclonal Antibody
Orders: 877-616-CELL (2355) [email protected] Support: 877-678-TECH (8324) [email protected] Web: cellsignal.com
For Research Use Only. Not for Use in Diagnostic Procedures.

Revision 1

Cell Signaling Technology Logo
Confocal immunofluorescent analysis of fixed frozen mouse small intestine labeled with Lysozyme C-1/2 (E2K5R) XP® Rabbit mAb (left, green). Free secondary binding sites were then blocked with Rabbit (DA1E) mAb IgG XP® Isotype Control #3900 prior to co-labeling with Ras (E4K9L) Rabbit mAb (Alexa Fluor® 488 Conjugate) #51813 (right, red pseudocolor) and DAPI #4083 (right, blue).
Immunofluorescence Image 1: Lysozyme C-1/2 (E2K5R) Rabbit Monoclonal Antibody
Confocal immunofluorescent analysis of fixed frozen mouse lung labeled with Lysozyme C-1/2 (E2K5R) XP® Rabbit mAb (left, green). Free secondary binding sites were then blocked with Rabbit (DA1E) mAb IgG XP® Isotype Control #3900 prior to co-labeling with Ras (E4K9L) Rabbit mAb (Alexa Fluor® 488 Conjugate) #51813 (right, red pseudocolor) and DAPI #4083 (right, blue).
Immunofluorescence Image 2: Lysozyme C-1/2 (E2K5R) Rabbit Monoclonal Antibody
Confocal immunofluorescent analysis of RAW 264.7 cells (left, positive) and Neuro-2a cells (right, negative) using Lysozyme C-1/2 (E2K5R) XP® Rabbit mAb (green), DyLight™ 650 Phalloidin #12956 (red), and DAPI #4083 (blue). Cells were treated with Brefeldin A #9972 (100 ng/mL, 90 min) to inhibit protein secretion.
Immunofluorescence Image 1: Lysozyme C-1/2 (E2K5R) Rabbit Monoclonal Antibody
Orders: 877-616-CELL (2355) [email protected] Support: 877-678-TECH (8324) [email protected] Web: cellsignal.com
For Research Use Only. Not for Use in Diagnostic Procedures.