Revision 1

#8551

Store at -20C

CST Logo
Orders:

877-616-CELL (2355)

[email protected]

Support:

877-678-TECH (8324)

3 Trask Lane | Danvers | Massachusetts | 01923 | USA

For Research Use Only. Not for Use in Diagnostic Procedures.

Applications:
W

Reactivity:
H M R Mk

Sensitivity:
Endogenous

MW (kDa):
40

Source/Isotype:
Rabbit

UniProt ID:
#O75367-1

Entrez-Gene Id:
9555

Product Usage Information

Application Dilution
Western Blotting 1:1000

Storage

Supplied in 10 mM sodium HEPES (pH 7.5), 150 mM NaCl, 100 µg/ml BSA and 50% glycerol. Store at –20°C. Do not aliquot the antibody.

Specificity/Sensitivity

MacroH2A1 Antibody recognizes endogenous levels of total MacroH2A1 protein, both isoform 1 (macroH2A1.1) and isoform 2 (macroH2A1.2). This antibody does not cross-react with MacroH2A2 protein.

Species predicted to react based on 100% sequence homology

Hamster, Bovine, Guinea Pig

Source / Purification

Polyclonal antibodies are produced by immunizing animals with a synthetic peptide corresponding to residues surrounding Val257 of human MacroH2A1 protein. Antibodies are purified by protein A and peptide affinity chromatography.

Background

Histone macroH2A1 and macroH2A2 comprise a family of variant histone H2A proteins. MacroH2A1 exists as two distinct isoforms due to alternative splicing of a single gene; macroH2A1.1 levels accumulate throughout differentiation and development while macroH2A1.2 shows a constant level of expression (1). MacroH2A1 and macroH2A2 are encoded by completely distinct genes located on separate chromosomes (2,3). Both macroH2A1 and macroH2A2 proteins contain an amino-terminal histone-like region with 64% sequence identity to canonical histone H2A, in addition to a carboxy-terminal “macro” domain (1-3). MacroH2A1 and macroH2A2 are enriched in facultative heterochromatin, including inactivated X chromosomes in mammalian females and senescence-associated heterochromatin foci (2-5). Both act to repress gene transcription by inhibiting the binding of transcription factors to chromatin, the acetylation of histones by p300, and the chromatin-remodeling activities of SWI/SNF and ACF (6,7). The macro domain of macroH2A1.1 binds to ADP-ribose and functions to recruit macroH2A1.1 to activated PARP at sites of DNA damage, where it mediates chromatin rearrangements to locally regulate the DNA damage response (8). MacroH2A1.2 and macroH2A2 do not bind poly-ADP-ribose and are not recruited to sites of activated PARP (8).

Species Reactivity

Species reactivity is determined by testing in at least one approved application (e.g., western blot).

Western Blot Buffer

IMPORTANT: For western blots, incubate membrane with diluted primary antibody in 5% w/v BSA, 1X TBS, 0.1% Tween® 20 at 4°C with gentle shaking, overnight.

Applications Key

W: Western Blotting

Cross-Reactivity Key

H: Human M: Mouse R: Rat Mk: Monkey

Trademarks and Patents

Cell Signaling Technology is a trademark of Cell Signaling Technology, Inc.

All other trademarks are the property of their respective owners. Visit cellsignal.com/trademarks for more information.

Limited Uses

Except as otherwise expressly agreed in a writing signed by a legally authorized representative of CST, the following terms apply to Products provided by CST, its affiliates or its distributors. Any Customer's terms and conditions that are in addition to, or different from, those contained herein, unless separately accepted in writing by a legally authorized representative of CST, are rejected and are of no force or effect.

Products are labeled with For Research Use Only or a similar labeling statement and have not been approved, cleared, or licensed by the FDA or other regulatory foreign or domestic entity, for any purpose. Customer shall not use any Product for any diagnostic or therapeutic purpose, or otherwise in any manner that conflicts with its labeling statement. Products sold or licensed by CST are provided for Customer as the end-user and solely for research and development uses. Any use of Product for diagnostic, prophylactic or therapeutic purposes, or any purchase of Product for resale (alone or as a component) or other commercial purpose, requires a separate license from CST. Customer shall (a) not sell, license, loan, donate or otherwise transfer or make available any Product to any third party, whether alone or in combination with other materials, or use the Products to manufacture any commercial products, (b) not copy, modify, reverse engineer, decompile, disassemble or otherwise attempt to discover the underlying structure or technology of the Products, or use the Products for the purpose of developing any products or services that would compete with CST products or services, (c) not alter or remove from the Products any trademarks, trade names, logos, patent or copyright notices or markings, (d) use the Products solely in accordance with CST Product Terms of Sale and any applicable documentation, and (e) comply with any license, terms of service or similar agreement with respect to any third party products or services used by Customer in connection with the Products.

Orders: 877-616-CELL (2355) [email protected] Support: 877-678-TECH (8324) [email protected] Web: cellsignal.com
For Research Use Only. Not for Use in Diagnostic Procedures.

Revision 1

Cell Signaling Technology Logo
Western blot analysis of extracts from various cell lines using MacroH2A1 Antibody.
Western Blotting Image 1: MacroH2A1 Antibody
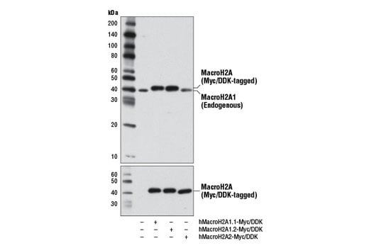
Western blot analysis of lysates from 293 cells, mock transfected (-) or transfected with a construct expressing Myc/DDK-tagged full-length human MacroH2A1.1 (hMacroH2A1.1-Myc/DDK; +), Myc/DDK-tagged full-length human MacroH2A1.2 (hMacroH2A1.2-Myc/DDK; +), or Myc/DDK-tagged full-length human MacroH2A2 (hMacroH2A2-Myc/DDK; +), using MacroH2A1 Antibody (upper) or DYKDDDDK Tag (9A3) Mouse mAb #8146 (lower).
Western Blotting Image 2: MacroH2A1 Antibody
Orders: 877-616-CELL (2355) [email protected] Support: 877-678-TECH (8324) [email protected] Web: cellsignal.com
For Research Use Only. Not for Use in Diagnostic Procedures.