Revision 4

#82491

Store at -20C

CST Logo
Orders:

877-616-CELL (2355)

[email protected]

Support:

877-678-TECH (8324)

3 Trask Lane | Danvers | Massachusetts | 01923 | USA

For Research Use Only. Not for Use in Diagnostic Procedures.

Applications:
W, IHC-P, IF-IC, FC-FP

Reactivity:
H

Sensitivity:
Endogenous

MW (kDa):
40-50

Source/Isotype:
Rabbit IgG

UniProt ID:
#P43358

Entrez-Gene Id:
4103

Product Usage Information

Application Dilution
Western Blotting 1:1000
Immunohistochemistry (Paraffin) 1:100 - 1:400
Immunofluorescence (Immunocytochemistry) 1:50 - 1:100
Flow Cytometry (Fixed/Permeabilized) 1:200 - 1:800

Storage

Supplied in 10 mM sodium HEPES (pH 7.5), 150 mM NaCl, 100 µg/ml BSA, 50% glycerol and less than 0.02% sodium azide. Store at –20°C. Do not aliquot the antibody.

For a carrier free (BSA and azide free) version of this product see product #31135.

Specificity/Sensitivity

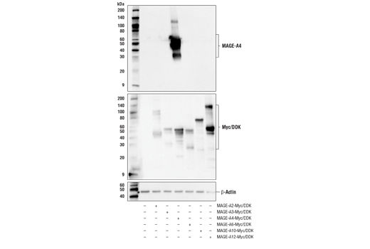
MAGE-A4 (E7O1U) Rabbit Monoclonal Antibody recognizes endogenous levels of total MAGE-A4 protein. This antibody does not cross-react with MAGE-A2, A3, A6, A10, or A12 proteins.

Source / Purification

Monoclonal antibody is produced by immunizing animals with a synthetic peptide corresponding to residues surrounding Ala 60 of human MAGE-A4 protein.

Background

Cancer/testis antigens (CTAs) are a family of more than 100 proteins whose normal expression is largely restricted to immune privileged germ cells of the testis, ovary, and trophoblast cells of the placenta. Although most normal somatic tissues are void of CTA expression, due to epigenetic silencing of gene expression, their expression is upregulated in a wide variety of human solid and liquid tumors (1,2). As such, CTAs have garnered much attention as attractive targets for a variety of immunotherapy-based approaches to selectively attack tumors (3).

Melanoma-associated antigen-A4 (MAGE-A4) is a cancer testis antigen that belongs to the type I MAGE family of proteins. MAGE-A4 is often overexpressed and mutated in several types of cancer (4-8). Research shows MAGE-A4 promotes aberrant cell growth by preventing p53-dependent cell cycle arrest and apoptosis in normal oral keratinocytes (9). However, MAGE-A4 was also found to interact with the liver oncoprotein gankyrin, suppressing its tumorigenic activity (10). The diverse roles of MAGE-A4 in tumor development may be dependent upon sub-cellular localization (nuclear or cytosolic) and p53 status (6). Due to its upregulated expression in human tumors and high degree of immunogenicity, MAGE-A4 has received significant attention as an immunotherapy target through the use of vaccines and adoptive cell therapy (11-14).

Species Reactivity

Species reactivity is determined by testing in at least one approved application (e.g., western blot).

Western Blot Buffer

IMPORTANT: For western blots, incubate membrane with diluted primary antibody in 5% w/v BSA, 1X TBS, 0.1% Tween® 20 at 4°C with gentle shaking, overnight.

Applications Key

W: Western Blotting IHC-P: Immunohistochemistry (Paraffin) IF-IC: Immunofluorescence (Immunocytochemistry) FC-FP: Flow Cytometry (Fixed/Permeabilized)

Cross-Reactivity Key

H: Human

Trademarks and Patents

Cell Signaling Technology is a trademark of Cell Signaling Technology, Inc.

Alexa Fluor is a registered trademark of Life Technologies Corporation.

All other trademarks are the property of their respective owners. Visit cellsignal.com/trademarks for more information.

Limited Uses

Except as otherwise expressly agreed in a writing signed by a legally authorized representative of CST, the following terms apply to Products provided by CST, its affiliates or its distributors. Any Customer's terms and conditions that are in addition to, or different from, those contained herein, unless separately accepted in writing by a legally authorized representative of CST, are rejected and are of no force or effect.

Products are labeled with For Research Use Only or a similar labeling statement and have not been approved, cleared, or licensed by the FDA or other regulatory foreign or domestic entity, for any purpose. Customer shall not use any Product for any diagnostic or therapeutic purpose, or otherwise in any manner that conflicts with its labeling statement. Products sold or licensed by CST are provided for Customer as the end-user and solely for research and development uses. Any use of Product for diagnostic, prophylactic or therapeutic purposes, or any purchase of Product for resale (alone or as a component) or other commercial purpose, requires a separate license from CST. Customer shall (a) not sell, license, loan, donate or otherwise transfer or make available any Product to any third party, whether alone or in combination with other materials, or use the Products to manufacture any commercial products, (b) not copy, modify, reverse engineer, decompile, disassemble or otherwise attempt to discover the underlying structure or technology of the Products, or use the Products for the purpose of developing any products or services that would compete with CST products or services, (c) not alter or remove from the Products any trademarks, trade names, logos, patent or copyright notices or markings, (d) use the Products solely in accordance with CST Product Terms of Sale and any applicable documentation, and (e) comply with any license, terms of service or similar agreement with respect to any third party products or services used by Customer in connection with the Products.

Orders: 877-616-CELL (2355) [email protected] Support: 877-678-TECH (8324) [email protected] Web: cellsignal.com
For Research Use Only. Not for Use in Diagnostic Procedures.

Revision 4

Cell Signaling Technology Logo
Western blot analysis of extracts from various cell lines using MAGE-A4 (E7O1U) XP® Rabbit mAb (upper) and β-Actin (D6A8) Rabbit mAb #8457 (lower).
Western Blotting Image 1: MAGE-A4 (E7O1U) Rabbit Monoclonal Antibody
Western blot analysis of extracts from 293T cells, mock transfected (-) or transfected (+) with constructs expressing Myc/DDK-tagged full-length MAGE-A2 (MAGE-A2-Myc/DDK), Myc/DDK-tagged full-length MAGE-A3 (MAGE-A3-Myc/DDK), Myc/DDK-tagged full-length MAGE-A4 (MAGE-A4-Myc/DDK), Myc/DDK-tagged full-length MAGE-A6 (MAGE-A6-Myc/DDK), Myc/DDK-tagged full-length MAGE-A10 (MAGE-A10-Myc/DDK), and Myc/DDK-tagged full-length MAGE-A12 (MAGE-A12-Myc/DDK), using MAGE-A4 (E7O1U) XP® Rabbit mAb (upper), Myc-Tag (71D10) Rabbit mAb #2278 (middle), and β-Actin (D6A8) Rabbit mAb #8457 (lower).
Western Blotting Image 2: MAGE-A4 (E7O1U) Rabbit Monoclonal Antibody
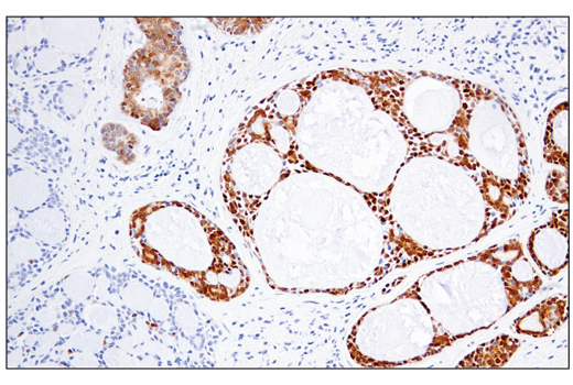
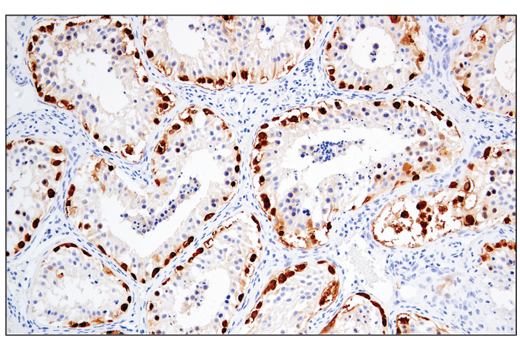
Immunohistochemical analysis of paraffin-embedded human adenoid cystic carcinoma of the trachea using MAGE-A4 (E7O1U) XP® Rabbit mAb.
Immunohistochemistry Image 1: MAGE-A4 (E7O1U) Rabbit Monoclonal Antibody
Orders: 877-616-CELL (2355) [email protected] Support: 877-678-TECH (8324) [email protected] Web: cellsignal.com
For Research Use Only. Not for Use in Diagnostic Procedures.

Revision 4

Cell Signaling Technology Logo
Immunohistochemical analysis of paraffin-embedded human melanoma using MAGE-A4 (E7O1U) XP® Rabbit mAb.
Immunohistochemistry Image 2: MAGE-A4 (E7O1U) Rabbit Monoclonal Antibody
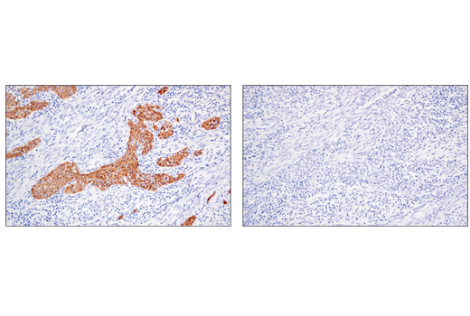
Immunohistochemical analysis of paraffin-embedded human mucoepidermoid carcinoma of the larynx using MAGE-A4 (E7O1U) XP® Rabbit mAb (left) compared to concentration-matched Rabbit (DA1E) mAb IgG XP® Isotype Control #3900 (right).
Immunohistochemistry Image 3: MAGE-A4 (E7O1U) Rabbit Monoclonal Antibody
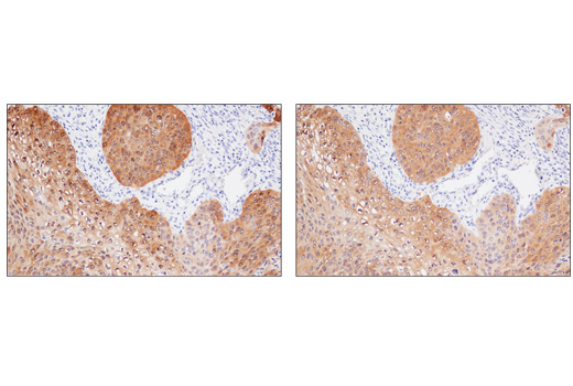
Immunohistochemical analysis of paraffin-embedded human squamous cell lung carcinoma using MAGE-A4 (E7O1U) XP® Rabbit mAb (left) or MAGE-A4 Rabbit mAb (right). These two antibodies detect independent, unique epitopes on human MAGE-A4. The similar staining patterns obtained with both antibodies help to confirm the specificity of the staining.
Immunohistochemistry Image 4: MAGE-A4 (E7O1U) Rabbit Monoclonal Antibody
Orders: 877-616-CELL (2355) [email protected] Support: 877-678-TECH (8324) [email protected] Web: cellsignal.com
For Research Use Only. Not for Use in Diagnostic Procedures.

Revision 4

Cell Signaling Technology Logo
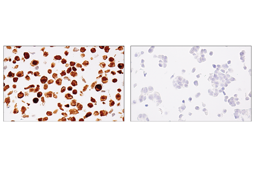
Immunohistochemical analysis of paraffin-embedded UACC-62 cell pellet (left, positive) or MCF7 cell pellet (right, negative) using MAGE-A4 (E7O1U) XP® Rabbit mAb.
Immunohistochemistry Image 5: MAGE-A4 (E7O1U) Rabbit Monoclonal Antibody
Immunohistochemical analysis of paraffin-embedded human testis using MAGE-A4 (E7O1U) XP® Rabbit mAb.
Immunohistochemistry Image 6: MAGE-A4 (E7O1U) Rabbit Monoclonal Antibody
Confocal immunofluorescent analysis of U-2 OS cells (left, positive) and MCF7 cells (right, negative) using MAGE-A4 (E7O1U) XP® Rabbit mAb (green). Actin filaments were labeled with DyLight™ 554 Phalloidin #13054 (red). Blue = Hoechst 33342 #4082 (fluorescent DNA dye).
Immunofluorescence Image 1: MAGE-A4 (E7O1U) Rabbit Monoclonal Antibody
Orders: 877-616-CELL (2355) [email protected] Support: 877-678-TECH (8324) [email protected] Web: cellsignal.com
For Research Use Only. Not for Use in Diagnostic Procedures.

Revision 4

Cell Signaling Technology Logo
Flow cytometric analysis of MCF7 cells (blue) and U-2 OS cells (green) using MAGE-A4 (E7O1U) XP® Rabbit mAb (solid lines) or a concentration-matched Rabbit (DA1E) mAb IgG XP® Isotype Control #3900 (dashed lines). Anti-rabbit IgG (H+L), F(ab')2 Fragment (Alexa Fluor® 488 Conjugate) #4412 was used as a secondary antibody.
Flow Cytometry Image 1: MAGE-A4 (E7O1U) Rabbit Monoclonal Antibody
Orders: 877-616-CELL (2355) [email protected] Support: 877-678-TECH (8324) [email protected] Web: cellsignal.com
For Research Use Only. Not for Use in Diagnostic Procedures.