Revision 1

#16675

Store at -20C

CST Logo
Orders:

877-616-CELL (2355)

[email protected]

Support:

877-678-TECH (8324)

3 Trask Lane | Danvers | Massachusetts | 01923 | USA

For Research Use Only. Not for Use in Diagnostic Procedures.

Applications:
W, IHC-P

Reactivity:
H

Sensitivity:
Endogenous

MW (kDa):
55

Source/Isotype:
Rabbit IgG

UniProt ID:
#Q9UBF1

Entrez-Gene Id:
51438

Product Usage Information

This product is the carrier free version of product #20058. All data were generated using the same antibody clone in the standard formulation which contains BSA and glycerol.

This formulation is ideal for use with technologies requiring specialized or custom antibody labeling, including fluorophores, metals, lanthanides, and oligonucleotides. It is not recommended for ChIP, ChIP-seq, CUT&RUN or CUT&Tag assays. If you require a carrier free formulation for chromatin profiling, please contact us. Optimal dilutions/concentrations should be determined by the end user.

BSA and Azide Free antibodies are quality control tested by size exclusion chromatography (SEC) to determine antibody integrity.

Formulation

Supplied in 1X PBS (10 mM Na2HPO4, 3 mM KCl, 2 mM KH2PO4, and 140 mM NaCl (pH 7.8)). BSA and Azide Free.

For standard formulation of this product see product #20058

Storage

Store at -20°C. This product will freeze at -20°C so it is recommended to aliquot into single-use vials to avoid multiple freeze/thaw cycles. A slight precipitate may be present and can be dissolved by gently vortexing. This will not interfere with antibody performance.

Specificity/Sensitivity

MAGE-C2/CT10 (E7B8D) Rabbit Monoclonal Antibody (BSA and Azide Free) recognizes endogenous levels of total MAGE-C2/CT10 protein.

Source / Purification

Monoclonal antibody is produced by immunizing animals with a synthetic peptide corresponding to residues surrounding Val75 of human MAGE-C2/CT10 protein.

Background

Cancer/testis antigens (CTAs) are a family of more than 100 proteins whose normal expression is largely restricted to immune privileged germ cells of the testis, ovary, and trophoblast cells of the placenta. Although most normal somatic tissues are void of CTA expression, due to epigenetic silencing of gene expression, their expression is upregulated in a wide variety of human solid and liquid tumors (1,2). As such, CTAs have garnered much attention as attractive targets for a variety of immunotherapy-based approaches to selectively attack tumors (3).

Melanoma-associated antigen-C2/Cancer testis antigen 10 (MAGE-C2/CT10) belongs to the type I MAGE family of proteins. In normal human tissues, MAGE-C2/CT10 expression is nuclear and largely restricted to germline cells of the testis (4). At the molecular level, research studies have demonstrated that MAGE-C2/CT10 physically interacts with and enhances activity of the TRIM28 E3 RING ubiquitin ligase (5,6). MAGE-C2/CT10 has also been shown to interact with and regulate the activity of SCF CRL E3 ubiquitin ligase complexes toward substrates that control cell cycle progression, suggesting a role for MAGE-C2/CT10 in malignant transformation (7). Indeed, MAGE-C2/CT10 is aberrantly expressed in testicular germ cell tumors, prostate carcinoma, hepatocellular carcinoma, and melanoma (8-11). Furthermore, MAGE-C2/CT10 is immunogenic in some tumor types and as a result, there is interest in targeting antigenic epitopes presented in the context of class I MHC alleles using engineered TCRs (12,13).

Species Reactivity

Species reactivity is determined by testing in at least one approved application (e.g., western blot).

Applications Key

W: Western Blotting IHC-P: Immunohistochemistry (Paraffin)

Cross-Reactivity Key

H: Human

Trademarks and Patents

Cell Signaling Technology is a trademark of Cell Signaling Technology, Inc.

All other trademarks are the property of their respective owners. Visit cellsignal.com/trademarks for more information.

Limited Uses

Except as otherwise expressly agreed in a writing signed by a legally authorized representative of CST, the following terms apply to Products provided by CST, its affiliates or its distributors. Any Customer's terms and conditions that are in addition to, or different from, those contained herein, unless separately accepted in writing by a legally authorized representative of CST, are rejected and are of no force or effect.

Products are labeled with For Research Use Only or a similar labeling statement and have not been approved, cleared, or licensed by the FDA or other regulatory foreign or domestic entity, for any purpose. Customer shall not use any Product for any diagnostic or therapeutic purpose, or otherwise in any manner that conflicts with its labeling statement. Products sold or licensed by CST are provided for Customer as the end-user and solely for research and development uses. Any use of Product for diagnostic, prophylactic or therapeutic purposes, or any purchase of Product for resale (alone or as a component) or other commercial purpose, requires a separate license from CST. Customer shall (a) not sell, license, loan, donate or otherwise transfer or make available any Product to any third party, whether alone or in combination with other materials, or use the Products to manufacture any commercial products, (b) not copy, modify, reverse engineer, decompile, disassemble or otherwise attempt to discover the underlying structure or technology of the Products, or use the Products for the purpose of developing any products or services that would compete with CST products or services, (c) not alter or remove from the Products any trademarks, trade names, logos, patent or copyright notices or markings, (d) use the Products solely in accordance with CST Product Terms of Sale and any applicable documentation, and (e) comply with any license, terms of service or similar agreement with respect to any third party products or services used by Customer in connection with the Products.

Orders: 877-616-CELL (2355) [email protected] Support: 877-678-TECH (8324) [email protected] Web: cellsignal.com
For Research Use Only. Not for Use in Diagnostic Procedures.

Revision 1

Cell Signaling Technology Logo
Western blot analysis of extracts from various human cell lines using MAGE-C2/CT10 (E7B8D) XP® Rabbit mAb (upper) or β-Actin (D6A8) Rabbit mAb #8457 (lower). Negative expression of MAGE-C2/CT10 protein in HeLa cells is consistent with published observations. Data were generated using the standard formulation of this product.
Western Blotting Image 1: MAGE-C2/CT10 (E7B8D) Rabbit Monoclonal Antibody (BSA and Azide Free)
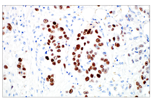
Immunohistochemical analysis of paraffin-embedded human small cell carcinoma of the salivary gland using MAGE-C2/CT10 (E7B8D) XP® Rabbit mAb. Data were generated using the standard formulation of this product.
Immunohistochemistry Image 1: MAGE-C2/CT10 (E7B8D) Rabbit Monoclonal Antibody (BSA and Azide Free)
Immunohistochemical analysis of paraffin-embedded human seminoma using MAGE-C2/CT10 (E7B8D) XP® Rabbit mAb. Data were generated using the standard formulation of this product.
Immunohistochemistry Image 2: MAGE-C2/CT10 (E7B8D) Rabbit Monoclonal Antibody (BSA and Azide Free)
Orders: 877-616-CELL (2355) [email protected] Support: 877-678-TECH (8324) [email protected] Web: cellsignal.com
For Research Use Only. Not for Use in Diagnostic Procedures.

Revision 1

Cell Signaling Technology Logo
Immunohistochemical analysis of paraffin-embedded human prostate adenocarcinoma using MAGE-C2/CT10 (E7B8D) XP® Rabbit mAb. Data were generated using the standard formulation of this product.
Immunohistochemistry Image 3: MAGE-C2/CT10 (E7B8D) Rabbit Monoclonal Antibody (BSA and Azide Free)
Immunohistochemical analysis of paraffin-embedded human non-small cell lung carcinoma using MAGE-C2/CT10 (E7B8D) XP® Rabbit mAb. Data were generated using the standard formulation of this product.
Immunohistochemistry Image 4: MAGE-C2/CT10 (E7B8D) Rabbit Monoclonal Antibody (BSA and Azide Free)
Immunohistochemical analysis of paraffin-embedded human esophageal adenocarcinoma using MAGE-C2/CT10 (E7B8D) XP® Rabbit mAb. Data were generated using the standard formulation of this product.
Immunohistochemistry Image 5: MAGE-C2/CT10 (E7B8D) Rabbit Monoclonal Antibody (BSA and Azide Free)
Orders: 877-616-CELL (2355) [email protected] Support: 877-678-TECH (8324) [email protected] Web: cellsignal.com
For Research Use Only. Not for Use in Diagnostic Procedures.

Revision 1

Cell Signaling Technology Logo
Immunohistochemical analysis of paraffin-embedded human prostate adenocarcinoma using MAGE-C2/CT10 (E7B8D) XP® Rabbit mAb. Data were generated using the standard formulation of this product.
Immunohistochemistry Image 6: MAGE-C2/CT10 (E7B8D) Rabbit Monoclonal Antibody (BSA and Azide Free)
Immunohistochemical analysis of paraffin-embedded human urothelial carcinoma using MAGE-C2/CT10 (E7B8D) XP® Rabbit mAb. Data were generated using the standard formulation of this product.
Immunohistochemistry Image 7: MAGE-C2/CT10 (E7B8D) Rabbit Monoclonal Antibody (BSA and Azide Free)
Immunohistochemical analysis of paraffin-embedded normal human testis using MAGE-C2/CT10 (E7B8D) XP® Rabbit mAb. Data were generated using the standard formulation of this product.
Immunohistochemistry Image 8: MAGE-C2/CT10 (E7B8D) Rabbit Monoclonal Antibody (BSA and Azide Free)
Orders: 877-616-CELL (2355) [email protected] Support: 877-678-TECH (8324) [email protected] Web: cellsignal.com
For Research Use Only. Not for Use in Diagnostic Procedures.

Revision 1

Cell Signaling Technology Logo
Immunohistochemical analysis of paraffin-embedded human esophageal adenocarcinoma using MAGE-C2/CT10 (E7B8D) XP® Rabbit mAb (left) compared to concentration-matched Rabbit (DA1E) mAb IgG XP® Isotype Control #3900 (right). Data were generated using the standard formulation of this product.
Immunohistochemistry Image 9: MAGE-C2/CT10 (E7B8D) Rabbit Monoclonal Antibody (BSA and Azide Free)
Immunohistochemical analysis of paraffin-embedded A-375 cell pellet (left, positive) or HeLa cell pellet (right, negative) using MAGE-C2/CT10 (E7B8D) XP® Rabbit mAb. Data were generated using the standard formulation of this product.
Immunohistochemistry Image 10: MAGE-C2/CT10 (E7B8D) Rabbit Monoclonal Antibody (BSA and Azide Free)
Orders: 877-616-CELL (2355) [email protected] Support: 877-678-TECH (8324) [email protected] Web: cellsignal.com
For Research Use Only. Not for Use in Diagnostic Procedures.