Revision 3

#5607

Store at -20C

CST Logo
Orders:

877-616-CELL (2355)

[email protected]

Support:

877-678-TECH (8324)

3 Trask Lane | Danvers | Massachusetts | 01923 | USA

For Research Use Only. Not for Use in Diagnostic Procedures.

Applications:
W, IHC-P, IF-IC, FC-FP

Reactivity:
H Mk

Sensitivity:
Endogenous

MW (kDa):
75

Source/Isotype:
Rabbit

UniProt ID:
#P29966

Entrez-Gene Id:
4082

Product Usage Information

Application Dilution
Western Blotting 1:1000
Immunohistochemistry (Paraffin) 1:400
Immunofluorescence (Immunocytochemistry) 1:100
Flow Cytometry (Fixed/Permeabilized) 1:200

Storage

Supplied in 10 mM sodium HEPES (pH 7.5), 150 mM NaCl, 100 µg/ml BSA, 50% glycerol and less than 0.02% sodium azide. Store at –20°C. Do not aliquot the antibody.

For a carrier free (BSA and azide free) version of this product see product #31181.

Specificity/Sensitivity

MARCKS (D88D11) Rabbit Monoclonal Antibody recognizes endogenous levels of total MARCKS protein.

Source / Purification

Monoclonal antibody is produced by immunizing animals with a synthetic peptide corresponding to residues surrounding Ala245 of human MARCKS protein.

Background

Myristoylated Alanine-Rich C-Kinase Substrate (MARCKS) is a major PKC substrate expressed in many cell types. MARCKS has been implicated in cell motility, cell adhesion, phagocytosis, membrane traffic, and mitogenesis (1). PKC phosphorylates Ser159, 163, 167, and 170 of MARCKS in response to growth factors and oxidative stress. Phosphorylation at these sites regulates the calcium/calmodulin binding and filamentous (F)-actin cross-linking activities of MARCKS (2-4). Phosphorylation by PKC also results in translocation of MARCKS from the plasma membrane to the cytoplasm (5).

Species Reactivity

Species reactivity is determined by testing in at least one approved application (e.g., western blot).

Western Blot Buffer

IMPORTANT: For western blots, incubate membrane with diluted primary antibody in 5% w/v BSA, 1X TBS, 0.1% Tween® 20 at 4°C with gentle shaking, overnight.

Applications Key

W: Western Blotting IHC-P: Immunohistochemistry (Paraffin) IF-IC: Immunofluorescence (Immunocytochemistry) FC-FP: Flow Cytometry (Fixed/Permeabilized)

Cross-Reactivity Key

H: Human Mk: Monkey

Trademarks and Patents

Cell Signaling Technology is a trademark of Cell Signaling Technology, Inc.

All other trademarks are the property of their respective owners. Visit cellsignal.com/trademarks for more information.

Limited Uses

Except as otherwise expressly agreed in a writing signed by a legally authorized representative of CST, the following terms apply to Products provided by CST, its affiliates or its distributors. Any Customer's terms and conditions that are in addition to, or different from, those contained herein, unless separately accepted in writing by a legally authorized representative of CST, are rejected and are of no force or effect.

Products are labeled with For Research Use Only or a similar labeling statement and have not been approved, cleared, or licensed by the FDA or other regulatory foreign or domestic entity, for any purpose. Customer shall not use any Product for any diagnostic or therapeutic purpose, or otherwise in any manner that conflicts with its labeling statement. Products sold or licensed by CST are provided for Customer as the end-user and solely for research and development uses. Any use of Product for diagnostic, prophylactic or therapeutic purposes, or any purchase of Product for resale (alone or as a component) or other commercial purpose, requires a separate license from CST. Customer shall (a) not sell, license, loan, donate or otherwise transfer or make available any Product to any third party, whether alone or in combination with other materials, or use the Products to manufacture any commercial products, (b) not copy, modify, reverse engineer, decompile, disassemble or otherwise attempt to discover the underlying structure or technology of the Products, or use the Products for the purpose of developing any products or services that would compete with CST products or services, (c) not alter or remove from the Products any trademarks, trade names, logos, patent or copyright notices or markings, (d) use the Products solely in accordance with CST Product Terms of Sale and any applicable documentation, and (e) comply with any license, terms of service or similar agreement with respect to any third party products or services used by Customer in connection with the Products.

Orders: 877-616-CELL (2355) [email protected] Support: 877-678-TECH (8324) [email protected] Web: cellsignal.com
For Research Use Only. Not for Use in Diagnostic Procedures.

Revision 3

Cell Signaling Technology Logo
Western blot analysis of cell extracts from various cell lines using MARCKS (D88D11) XP® Rabbit mAb.
Western Blotting Image 1: MARCKS (D88D11) Rabbit Monoclonal Antibody
Immunohistochemical analys of paraffin-embedded human breast carcinoma using MARCKS (D88D11) XP® Rabbit mAb.
Immunohistochemistry Image 1: MARCKS (D88D11) Rabbit Monoclonal Antibody
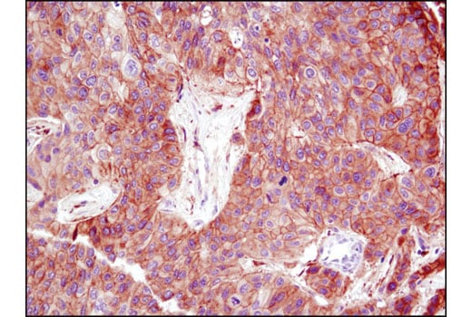
Immunohistochemical analys of paraffin-embedded human breast carcinoma using MARCKS (D88D11) XP® Rabbit mAb.
Immunohistochemistry Image 2: MARCKS (D88D11) Rabbit Monoclonal Antibody
Orders: 877-616-CELL (2355) [email protected] Support: 877-678-TECH (8324) [email protected] Web: cellsignal.com
For Research Use Only. Not for Use in Diagnostic Procedures.

Revision 3

Cell Signaling Technology Logo
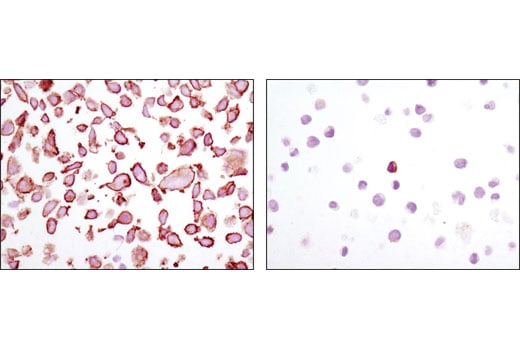
Immunohistochemical analysis of paraffin-embedded 293 (left) or K562 (right) cell pellets using MARCKS (D88D11) XP® Rabbit mAb.
Immunohistochemistry Image 3: MARCKS (D88D11) Rabbit Monoclonal Antibody
Confocal immunofluorescent analysis of HeLa (left), MCF-7 (middle), and Jurkat (right) cells using MARCKS (D88D11) XP® Rabbit mAb (green). Actin filaments were labeled with DY-554 phalloidin (red). Blue pseudocolor = DRAQ5® #4084 (fluorescent DNA dye).
Immunofluorescence Image 1: MARCKS (D88D11) Rabbit Monoclonal Antibody
Flow cytometric analysis of Jurkat (blue) and HeLa (green) cells using MARCKS (D88D11) XP® Rabbit mAb.
Flow Cytometry Image 1: MARCKS (D88D11) Rabbit Monoclonal Antibody
Orders: 877-616-CELL (2355) [email protected] Support: 877-678-TECH (8324) [email protected] Web: cellsignal.com
For Research Use Only. Not for Use in Diagnostic Procedures.