Revision 4

#83000

Store at -20C

CST Logo
Orders:

877-616-CELL (2355)

[email protected]

Support:

877-678-TECH (8324)

3 Trask Lane | Danvers | Massachusetts | 01923 | USA

For Research Use Only. Not for Use in Diagnostic Procedures.

Applications:
W, IP, IHC-P, IF-F, IF-IC

Reactivity:
M

Sensitivity:
Endogenous

MW (kDa):
75

Source/Isotype:
Rabbit IgG

UniProt ID:
#Q8VCF0

Entrez-Gene Id:
228607

Product Usage Information

Application Dilution
Western Blotting 1:1000
Immunoprecipitation 1:100
Immunohistochemistry (Paraffin) 1:200 - 1:800
Immunofluorescence (Frozen) 1:100 - 1:400
Immunofluorescence (Immunocytochemistry) 1:100 - 1:400

Storage

Supplied in 10 mM sodium HEPES (pH 7.5), 150 mM NaCl, 100 µg/ml BSA, 50% glycerol and less than 0.02% sodium azide. Store at –20°C. Do not aliquot the antibody.

For a carrier free (BSA and azide free) version of this product see product #98156.

Specificity/Sensitivity

MAVS (E8Z7M) Rabbit Monoclonal Antibody recognizes endogenous levels of total MAVS protein. Non-specific nuclear staining in mouse brain and apical membrane staining of mouse stomach epithelium were observed by immunohistochemistry.

Source / Purification

Monoclonal antibody is produced by immunizing animals with a synthetic peptide corresponding to residues surrounding Ala449 of mouse MAVS protein.

Background

The mitochondrial antiviral signaling protein (MAVS, VISA) contributes to innate immunity by triggering IRF-3 and NF-κB activation in response to viral infection, leading to the production of IFN-β (1). The MAVS protein contains an N-terminal CARD domain and a C-terminal mitochondrial transmembrane domain. The MAVS adaptor protein plays a critical and specific role in viral defenses (2). MAVS acts downstream of the RIG-I RNA helicase and viral RNA sensor, leading to the recruitment of IKKε, TRIF, and TRAF6 (3,4). Some viruses have evolved strategies to circumvent these innate defenses by using proteases that cleave MAVS to prevent its mitochondrial localization (5,6).

Species Reactivity

Species reactivity is determined by testing in at least one approved application (e.g., western blot).

Western Blot Buffer

IMPORTANT: For western blots, incubate membrane with diluted primary antibody in 5% w/v nonfat dry milk, 1X TBS, 0.1% Tween® 20 at 4°C with gentle shaking, overnight.

Applications Key

W: Western Blotting IP: Immunoprecipitation IHC-P: Immunohistochemistry (Paraffin) IF-F: Immunofluorescence (Frozen) IF-IC: Immunofluorescence (Immunocytochemistry)

Cross-Reactivity Key

M: Mouse

Trademarks and Patents

Cell Signaling Technology is a trademark of Cell Signaling Technology, Inc.

Alexa Fluor is a registered trademark of Life Technologies Corporation.

All other trademarks are the property of their respective owners. Visit cellsignal.com/trademarks for more information.

Limited Uses

Except as otherwise expressly agreed in a writing signed by a legally authorized representative of CST, the following terms apply to Products provided by CST, its affiliates or its distributors. Any Customer's terms and conditions that are in addition to, or different from, those contained herein, unless separately accepted in writing by a legally authorized representative of CST, are rejected and are of no force or effect.

Products are labeled with For Research Use Only or a similar labeling statement and have not been approved, cleared, or licensed by the FDA or other regulatory foreign or domestic entity, for any purpose. Customer shall not use any Product for any diagnostic or therapeutic purpose, or otherwise in any manner that conflicts with its labeling statement. Products sold or licensed by CST are provided for Customer as the end-user and solely for research and development uses. Any use of Product for diagnostic, prophylactic or therapeutic purposes, or any purchase of Product for resale (alone or as a component) or other commercial purpose, requires a separate license from CST. Customer shall (a) not sell, license, loan, donate or otherwise transfer or make available any Product to any third party, whether alone or in combination with other materials, or use the Products to manufacture any commercial products, (b) not copy, modify, reverse engineer, decompile, disassemble or otherwise attempt to discover the underlying structure or technology of the Products, or use the Products for the purpose of developing any products or services that would compete with CST products or services, (c) not alter or remove from the Products any trademarks, trade names, logos, patent or copyright notices or markings, (d) use the Products solely in accordance with CST Product Terms of Sale and any applicable documentation, and (e) comply with any license, terms of service or similar agreement with respect to any third party products or services used by Customer in connection with the Products.

Orders: 877-616-CELL (2355) [email protected] Support: 877-678-TECH (8324) [email protected] Web: cellsignal.com
For Research Use Only. Not for Use in Diagnostic Procedures.

Revision 4

Cell Signaling Technology Logo
Western blot analysis of extracts from various cell lines using MAVS (E8Z7M) Rabbit mAb (upper) or β-Actin (D6A8) Rabbit mAb #8457 (lower).
Western Blotting Image 1: MAVS (E8Z7M) Rabbit Monoclonal Antibody
Immunoprecipitation of MAVS protein from C2C12 cell extracts. Lane 1 is 10% input, lane 2 is Rabbit (DA1E) mAb IgG XP® Isotype Control #3900, and lane 3 is MAVS (E8Z7M) Rabbit mAb. Western blot analysis was performed using MAVS (E8Z7M) Rabbit mAb. Mouse Anti-Rabbit IgG (Light-Chain Specific) (D4W3E) mAb (HRP Conjugate) #93702 was used as a secondary antibody.
Immunoprecipitation Image 1: MAVS (E8Z7M) Rabbit Monoclonal Antibody
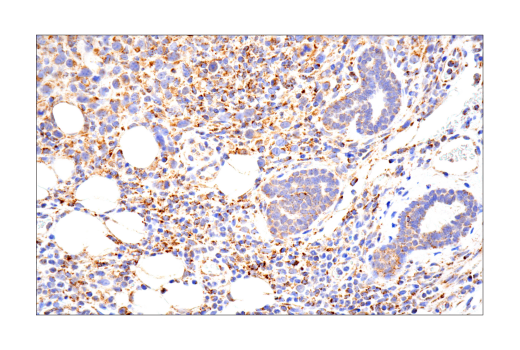
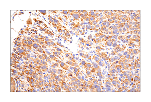
Immunohistochemical analysis of paraffin-embedded 4T1 syngeneic mammary tumor using MAVS (E8Z7M) Rabbit mAb.
Immunohistochemistry Image 1: MAVS (E8Z7M) Rabbit Monoclonal Antibody
Orders: 877-616-CELL (2355) [email protected] Support: 877-678-TECH (8324) [email protected] Web: cellsignal.com
For Research Use Only. Not for Use in Diagnostic Procedures.

Revision 4

Cell Signaling Technology Logo
Immunohistochemical analysis of paraffin-embedded A20 syngeneic tumor using MAVS (E8Z7M) Rabbit mAb.
Immunohistochemistry Image 2: MAVS (E8Z7M) Rabbit Monoclonal Antibody
Immunohistochemical analysis of paraffin-embedded mouse endometrium using MAVS (E8Z7M) Rabbit mAb.
Immunohistochemistry Image 3: MAVS (E8Z7M) Rabbit Monoclonal Antibody
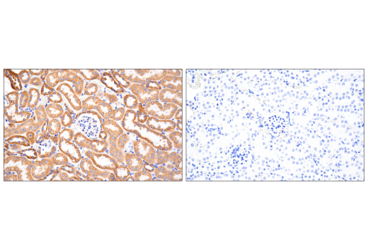
Immunohistochemical analysis of paraffin-embedded mouse kidney using MAVS (E8Z7M) Rabbit mAb (left) compared to concentration-matched Rabbit (DA1E) mAb IgG XP® Isotype Control #3900 (right).
Immunohistochemistry Image 4: MAVS (E8Z7M) Rabbit Monoclonal Antibody
Orders: 877-616-CELL (2355) [email protected] Support: 877-678-TECH (8324) [email protected] Web: cellsignal.com
For Research Use Only. Not for Use in Diagnostic Procedures.

Revision 4

Cell Signaling Technology Logo
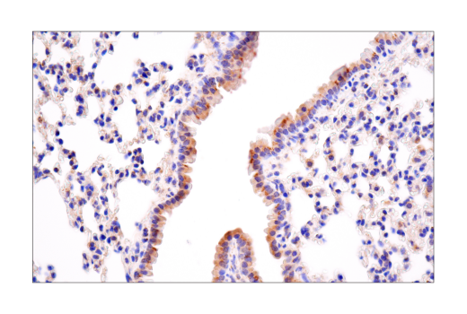
Immunohistochemical analysis of paraffin-embedded mouse lung using MAVS (E8Z7M) Rabbit mAb.
Immunohistochemistry Image 5: MAVS (E8Z7M) Rabbit Monoclonal Antibody
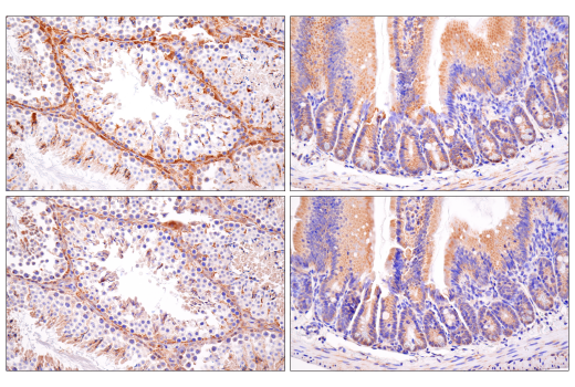
Immunohistochemical analysis of paraffin-embedded mouse testis (left) or small intestine (right) using MAVS (E8Z7M) Rabbit mAb (top) or MAVS Antibody (bottom). These two antibodies detect independent, unique epitopes on mouse MAVS. The similar staining patterns obtained with both antibodies help to confirm the specificity of the staining.
Immunohistochemistry Image 6: MAVS (E8Z7M) Rabbit Monoclonal Antibody
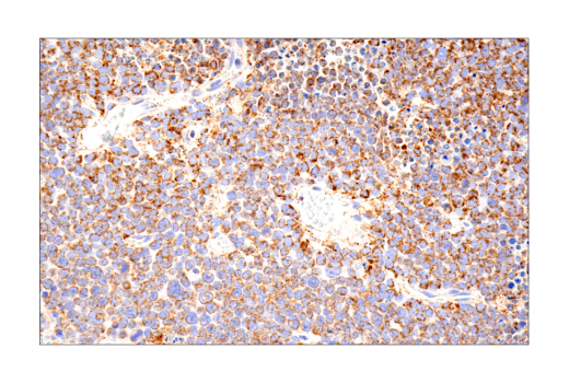
Immunohistochemical analysis of paraffin-embedded Renca syngeneic tumor using MAVS (E8Z7M) Rabbit mAb.
Immunohistochemistry Image 7: MAVS (E8Z7M) Rabbit Monoclonal Antibody
Orders: 877-616-CELL (2355) [email protected] Support: 877-678-TECH (8324) [email protected] Web: cellsignal.com
For Research Use Only. Not for Use in Diagnostic Procedures.

Revision 4

Cell Signaling Technology Logo
Confocal immunofluorescent analysis of mouse colon using MAVS (E8Z7M) Rabbit mAb (green). After blocking free secondary antibody binding sites with Rabbit (DA1E) mAb IgG XP® Isotype Control #3900, the tissue was then labeled using Ras (E4K9L) Rabbit mAb (Alexa Fluor® 647 Conjugate) #37182 (red). Samples were mounted in ProLong® Gold Antifade Reagent with DAPI #8961 (blue).
Immunofluorescence Image 1: MAVS (E8Z7M) Rabbit Monoclonal Antibody
Confocal immunofluorescent analysis of mouse kidney using MAVS (E8Z7M) Rabbit mAb (green). After blocking free secondary antibody binding sites with Rabbit (DA1E) mAb IgG XP® Isotype Control #3900, the tissue was then labeled using Ras (E4K9L) Rabbit mAb (Alexa Fluor® 647 Conjugate) #37182 (red). Samples were mounted in ProLong® Gold Antifade Reagent with DAPI #8961 (blue).
Immunofluorescence Image 2: MAVS (E8Z7M) Rabbit Monoclonal Antibody
Confocal immunofluorescent analysis of mouse pancreas using MAVS (E8Z7M) Rabbit mAb (green). After blocking free secondary antibody binding sites with Rabbit (DA1E) mAb IgG XP® Isotype Control #3900, the tissue was then labeled using Ras (E4K9L) Rabbit mAb (Alexa Fluor® 647 Conjugate) #37182 (red). Samples were mounted in ProLong® Gold Antifade Reagent with DAPI #8961 (blue).
Immunofluorescence Image 3: MAVS (E8Z7M) Rabbit Monoclonal Antibody
Orders: 877-616-CELL (2355) [email protected] Support: 877-678-TECH (8324) [email protected] Web: cellsignal.com
For Research Use Only. Not for Use in Diagnostic Procedures.

Revision 4

Cell Signaling Technology Logo
Confocal immunofluorescent analysis of mouse retina using MAVS (E8Z7M) Rabbit mAb (green). After blocking free secondary antibody binding sites with Rabbit (DA1E) mAb IgG XP® Isotype Control #3900, the tissue was then labeled using Ras (E4K9L) Rabbit mAb (Alexa Fluor® 647 Conjugate) #37182 (red). Samples were mounted in ProLong® Gold Antifade Reagent with DAPI #8961 (blue).
Immunofluorescence Image 4: MAVS (E8Z7M) Rabbit Monoclonal Antibody
Confocal immunofluorescent analysis of C2C12 cells using MAVS (E8Z7M) Rabbit mAb (green). Actin filaments were labeled with DyLight™ 554 Phalloidin #13054 (red). Blue = DAPI #4083 (fluorescent DNA dye).
Immunofluorescence Image 1: MAVS (E8Z7M) Rabbit Monoclonal Antibody
Orders: 877-616-CELL (2355) [email protected] Support: 877-678-TECH (8324) [email protected] Web: cellsignal.com
For Research Use Only. Not for Use in Diagnostic Procedures.