Revision 1

#72238

Store at -20C

CST Logo
Orders:

877-616-CELL (2355)

[email protected]

Support:

877-678-TECH (8324)

3 Trask Lane | Danvers | Massachusetts | 01923 | USA

For Research Use Only. Not for Use in Diagnostic Procedures.

Applications:
W, IHC-Bond, IHC-P, IF-IC, FC-FP

Reactivity:
H M

Sensitivity:
Endogenous

MW (kDa):
120

Source/Isotype:
Rabbit IgG

UniProt ID:
#P43121

Entrez-Gene Id:
4162

Product Usage Information

This product is the carrier free version of product #81701. All data were generated using the same antibody clone in the standard formulation which contains BSA and glycerol.

This formulation is ideal for use with technologies requiring specialized or custom antibody labeling, including fluorophores, metals, lanthanides, and oligonucleotides. It is not recommended for ChIP, ChIP-seq, CUT&RUN or CUT&Tag assays. If you require a carrier free formulation for chromatin profiling, please contact us. Optimal dilutions/concentrations should be determined by the end user.

BSA and Azide Free antibodies are quality control tested by size exclusion chromatography (SEC) to determine antibody integrity.

Formulation

Supplied in 1X PBS (10 mM Na2HPO4, 3 mM KCl, 2 mM KH2PO4, and 140 mM NaCl (pH 7.8)). BSA and Azide Free.

For standard formulation of this product see product #81701

Storage

Store at -20°C. This product will freeze at -20°C so it is recommended to aliquot into single-use vials to avoid multiple freeze/thaw cycles. A slight precipitate may be present and can be dissolved by gently vortexing. This will not interfere with antibody performance.

Specificity/Sensitivity

MCAM (E3F3E) Rabbit Monoclonal Antibody (BSA and Azide Free) recognizes endogenous levels of total MCAM protein.

Source / Purification

Monoclonal antibody is produced by immunizing animals with a synthetic peptide corresponding to residues surrounding Gly638 of human MCAM protein.

Background

Melanoma cell adhesion molecule (MCAM, MUC18, CD146) is an immunoglobulin superfamily member originally described as a cell surface adhesion protein and marker of the progression and metastasis of melanoma (1,2). Expression of MCAM protein is seen in vascular endothelial cells, activated T lymphocytes, smooth muscle, and bone marrow stromal cells. Research studies demonstrate increased MCAM expression in endothelial cells from angiogenesis-related disorders, including inflammatory bowel disease, Crohn’s disease, rheumatoid arthritis, tumors, and chronic renal failure (3). MCAM-expressing human mesenchymal stromal cells (hMSC) in the hematopoietic microenvironment are responsible for maintaining the self-renewal of hematopoietic stem and progenitor cells (HSPC) through direct contact between hMSC and HSPC (2). Related studies suggest that activation of the Notch signaling pathway may also, in part, play a role in HSPC maintenance (4). Additional research indicates that MCAM may play a role in multiple sclerosis, an autoimmune inflammatory disease that affects central nervous system neurons. Endothelial MCAM within the blood-brain barrier act as adhesion receptors that permit lymphocytes to transmigrate across the barrier and produce the inflammatory lesions that characterize the disorder (5).

Species Reactivity

Species reactivity is determined by testing in at least one approved application (e.g., western blot).

Applications Key

W: Western Blotting IHC-Bond: IHC Leica Bond IHC-P: Immunohistochemistry (Paraffin) IF-IC: Immunofluorescence (Immunocytochemistry) FC-FP: Flow Cytometry (Fixed/Permeabilized)

Cross-Reactivity Key

H: Human M: Mouse

Trademarks and Patents

Cell Signaling Technology is a trademark of Cell Signaling Technology, Inc.

Alexa Fluor is a registered trademark of Life Technologies Corporation.

All other trademarks are the property of their respective owners. Visit cellsignal.com/trademarks for more information.

Limited Uses

Except as otherwise expressly agreed in a writing signed by a legally authorized representative of CST, the following terms apply to Products provided by CST, its affiliates or its distributors. Any Customer's terms and conditions that are in addition to, or different from, those contained herein, unless separately accepted in writing by a legally authorized representative of CST, are rejected and are of no force or effect.

Products are labeled with For Research Use Only or a similar labeling statement and have not been approved, cleared, or licensed by the FDA or other regulatory foreign or domestic entity, for any purpose. Customer shall not use any Product for any diagnostic or therapeutic purpose, or otherwise in any manner that conflicts with its labeling statement. Products sold or licensed by CST are provided for Customer as the end-user and solely for research and development uses. Any use of Product for diagnostic, prophylactic or therapeutic purposes, or any purchase of Product for resale (alone or as a component) or other commercial purpose, requires a separate license from CST. Customer shall (a) not sell, license, loan, donate or otherwise transfer or make available any Product to any third party, whether alone or in combination with other materials, or use the Products to manufacture any commercial products, (b) not copy, modify, reverse engineer, decompile, disassemble or otherwise attempt to discover the underlying structure or technology of the Products, or use the Products for the purpose of developing any products or services that would compete with CST products or services, (c) not alter or remove from the Products any trademarks, trade names, logos, patent or copyright notices or markings, (d) use the Products solely in accordance with CST Product Terms of Sale and any applicable documentation, and (e) comply with any license, terms of service or similar agreement with respect to any third party products or services used by Customer in connection with the Products.

Orders: 877-616-CELL (2355) [email protected] Support: 877-678-TECH (8324) [email protected] Web: cellsignal.com
For Research Use Only. Not for Use in Diagnostic Procedures.

Revision 1

Cell Signaling Technology Logo
Western blot analysis of extracts from various cell lines using MCAM (E3F3E) XP® Rabbit mAb (upper) and GAPDH (D16H11) XP® Rabbit mAb #5174 (lower). The absence of MCAM protein in LNCaP and Colo 205 cells is consistent with mRNA expression profiles reported in public bioinformatic databases, confirming specificity of the antibody for MCAM. Data were generated using the standard formulation of this product.
Western Blotting Image 1: MCAM (E3F3E) Rabbit Monoclonal Antibody (BSA and Azide Free)
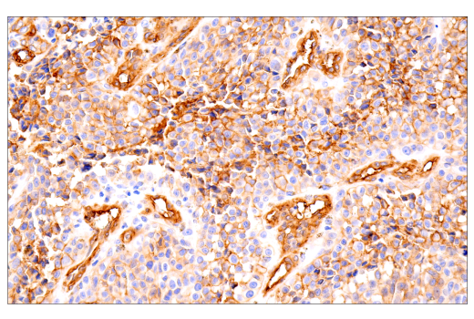
Immunohistochemical analysis of paraffin-embedded human renal cell carcinoma using MCAM (E3F3E) XP® Rabbit mAb performed on the Leica® BOND™ Rx. Data were generated using the standard formulation of this product.
Immunohistochemistry Image 1: MCAM (E3F3E) Rabbit Monoclonal Antibody (BSA and Azide Free)
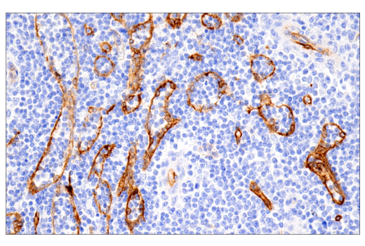
Immunohistochemical analysis of paraffin-embedded human B-cell non-Hodgkin lymphoma using MCAM (E3F3E) XP® Rabbit mAb performed on the Leica® BOND™ Rx. Data were generated using the standard formulation of this product.
Immunohistochemistry Image 2: MCAM (E3F3E) Rabbit Monoclonal Antibody (BSA and Azide Free)
Orders: 877-616-CELL (2355) [email protected] Support: 877-678-TECH (8324) [email protected] Web: cellsignal.com
For Research Use Only. Not for Use in Diagnostic Procedures.

Revision 1

Cell Signaling Technology Logo
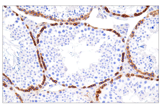
Immunohistochemical analysis of paraffin-embedded normal mouse testis using MCAM (E3F3E) XP® Rabbit mAb. Data were generated using the standard formulation of this product.
Immunohistochemistry Image 1: MCAM (E3F3E) Rabbit Monoclonal Antibody (BSA and Azide Free)
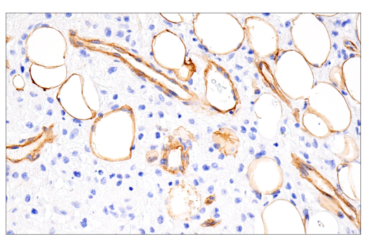
Immunohistochemical analysis of paraffin-embedded normal mouse lung using MCAM (E3F3E) XP® Rabbit mAb. Data were generated using the standard formulation of this product.
Immunohistochemistry Image 2: MCAM (E3F3E) Rabbit Monoclonal Antibody (BSA and Azide Free)
Immunohistochemical analysis of paraffin-embedded human non-Hodgkin lymphoma using MCAM (E3F3E) XP® Rabbit mAb. Data were generated using the standard formulation of this product.
Immunohistochemistry Image 3: MCAM (E3F3E) Rabbit Monoclonal Antibody (BSA and Azide Free)
Orders: 877-616-CELL (2355) [email protected] Support: 877-678-TECH (8324) [email protected] Web: cellsignal.com
For Research Use Only. Not for Use in Diagnostic Procedures.

Revision 1

Cell Signaling Technology Logo
Immunohistochemical analysis of paraffin-embedded human T-cell lymphoma using MCAM (E3F3E) XP® Rabbit mAb. Data were generated using the standard formulation of this product.
Immunohistochemistry Image 4: MCAM (E3F3E) Rabbit Monoclonal Antibody (BSA and Azide Free)
Immunohistochemical analysis of paraffin-embedded human tumors: mucoepidermoid carcinoma (left), colon carcinoma (middle), or renal cell carcinoma (right) using MCAM (E3F3E) XP® Rabbit mAb (top) or MCAM Mouse mAb (bottom). These two antibodies detect unique, non-overlapping epitopes on human MCAM. The similar staining patterns obtained with both antibodies help to confirm the specificity of the staining. Data were generated using the standard formulation of this product.
Immunohistochemistry Image 5: MCAM (E3F3E) Rabbit Monoclonal Antibody (BSA and Azide Free)
Immunohistochemical analysis of two different cases of paraffin-embedded human melanoma using MCAM (E3F3E) XP® Rabbit mAb. Note the use of the SignalStain® Vivid Purple Peroxidase Substrate Kit #96632. Data were generated using the standard formulation of this product.
Immunohistochemistry Image 6: MCAM (E3F3E) Rabbit Monoclonal Antibody (BSA and Azide Free)
Orders: 877-616-CELL (2355) [email protected] Support: 877-678-TECH (8324) [email protected] Web: cellsignal.com
For Research Use Only. Not for Use in Diagnostic Procedures.

Revision 1

Cell Signaling Technology Logo
Immunohistochemical analysis of paraffin-embedded human colon carcinoma using MCAM (E3F3E) XP® Rabbit mAb (left) compared to concentration-matched Rabbit (DA1E) mAb IgG XP® Isotype Control #3900 (right). Data were generated using the standard formulation of this product.
Immunohistochemistry Image 7: MCAM (E3F3E) Rabbit Monoclonal Antibody (BSA and Azide Free)
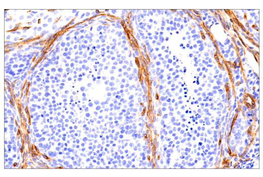
Immunohistochemical analysis of paraffin-embedded normal mouse ovary using MCAM (E3F3E) XP® Rabbit mAb. Data were generated using the standard formulation of this product.
Immunohistochemistry Image 8: MCAM (E3F3E) Rabbit Monoclonal Antibody (BSA and Azide Free)
Immunohistochemical analysis of paraffin-embedded human melanoma using MCAM (E3F3E) XP® Rabbit mAb. Data were generated using the standard formulation of this product.
Immunohistochemistry Image 9: MCAM (E3F3E) Rabbit Monoclonal Antibody (BSA and Azide Free)
Orders: 877-616-CELL (2355) [email protected] Support: 877-678-TECH (8324) [email protected] Web: cellsignal.com
For Research Use Only. Not for Use in Diagnostic Procedures.

Revision 1

Cell Signaling Technology Logo
Immunohistochemical analysis of paraffin-embedded normal human tissues: colon (left), kidney (middle), or uterus (right) using MCAM (E3F3E) XP® Rabbit mAb (top) or MCAM Mouse mAb (bottom). These two antibodies detect unique, non-overlapping epitopes on human MCAM. The similar staining patterns obtained with both antibodies help to confirm the specificity of the staining. Data were generated using the standard formulation of this product.
Immunohistochemistry Image 10: MCAM (E3F3E) Rabbit Monoclonal Antibody (BSA and Azide Free)
Immunohistochemical analysis of paraffin-embedded human non-small cell lung carcinoma using MCAM (E3F3E) XP® Rabbit mAb. Data were generated using the standard formulation of this product.
Immunohistochemistry Image 11: MCAM (E3F3E) Rabbit Monoclonal Antibody (BSA and Azide Free)
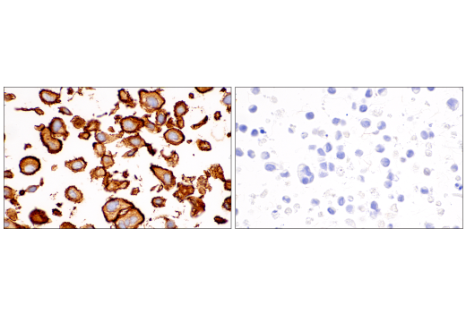
Immunohistochemical analysis of paraffin-embedded SK-MEL-28 cell pellet (left, positive) or Colo 205 cell pellet (right, negative) using MCAM (E3F3E) XP® Rabbit mAb. Data were generated using the standard formulation of this product.
Immunohistochemistry Image 12: MCAM (E3F3E) Rabbit Monoclonal Antibody (BSA and Azide Free)
Orders: 877-616-CELL (2355) [email protected] Support: 877-678-TECH (8324) [email protected] Web: cellsignal.com
For Research Use Only. Not for Use in Diagnostic Procedures.

Revision 1

Cell Signaling Technology Logo
Confocal immunofluorescent analysis of SK-MEL-28 cells (left, positive) or LNCaP cells (right, negative) using MCAM (E3F3E) XP® Rabbit mAb (green), DyLight™ 554 Phalloidin #13054 (red), and ProLong® Gold Antifade Reagent with DAPI #8961 (blue). Data were generated using the standard formulation of this product.
Immunofluorescence Image 1: MCAM (E3F3E) Rabbit Monoclonal Antibody (BSA and Azide Free)
Flow cytometric analysis of LNCaP cells (blue, negative) and SK-MEL-28 cells (green, positive) using MCAM (E3F3E) XP® Rabbit mAb (solid lines) or concentration-matched Rabbit (DA1E) mAb IgG XP® Isotype Control #3900 (dashed lines). Anti-rabbit IgG (H+L), F(ab')2 Fragment (Alexa Fluor® 488 Conjugate) #4412 was used as a secondary antibody. Data were generated using the standard formulation of this product.
Flow Cytometry Image 1: MCAM (E3F3E) Rabbit Monoclonal Antibody (BSA and Azide Free)
Orders: 877-616-CELL (2355) [email protected] Support: 877-678-TECH (8324) [email protected] Web: cellsignal.com
For Research Use Only. Not for Use in Diagnostic Procedures.