Revision 7

#76508

Store at -20C

CST Logo
Orders:

877-616-CELL (2355)

[email protected]

Support:

877-678-TECH (8324)

3 Trask Lane | Danvers | Massachusetts | 01923 | USA

For Research Use Only. Not for Use in Diagnostic Procedures.

Applications:
W, IHC-P, IF-IC, FC-FP

Reactivity:
H

Sensitivity:
Endogenous

MW (kDa):
43

Source/Isotype:
Rabbit IgG

UniProt ID:
#P53985

Entrez-Gene Id:
6566

Product Usage Information

Application Dilution
Western Blotting 1:1000
Immunohistochemistry (Paraffin) 1:50 - 1:200
Immunofluorescence (Immunocytochemistry) 1:800 - 1:1600
Flow Cytometry (Fixed/Permeabilized) 1:200 - 1:800

Storage

Supplied in 10 mM sodium HEPES (pH 7.5), 150 mM NaCl, 100 µg/mL BSA, 50% glycerol, and less than 0.02% sodium azide. Store at –20°C. Do not aliquot the antibody.

For a carrier free (BSA and azide free) version of this product see product #49825.

Specificity/Sensitivity

MCT1/SLC16A1 (E7A2K) Rabbit Monoclonal Antibody recognizes endogenous levels of total MCT1/SLC16A1 protein.

Source / Purification

Monoclonal antibody is produced by immunizing animals with a synthetic peptide corresponding to residues surrounding Gly472 of human MCT1/SLC16A1 protein.

Background

MCT1, also known as MOT1, is a multi-pass transmembrane monocarboxylate transporter (MCT) protein, encoded by the gene SLC16A1 (1,2). MCT1 is reported to be expressed in multiple tissues and cell types, including erythrocytes, immune cells, and both cardiac and skeletal myocytes. The primary role of MCT1 is to facilitate proton-coupled transport of monocarboxylates (e.g., lactate, pyruvate, ketone bodies) across the plasma membrane in response to cellular metabolic demands (1). The regulation of monocarboxylate flux by MCT1 has been identified as a possible metabolic biomarker in various diseases, including neurodegenerative diseases, ischemia, and cancer (2-5). Inhibition of MCT1 has thus been proposed as a potential therapeutic treatment of cancer (5,6).

Species Reactivity

Species reactivity is determined by testing in at least one approved application (e.g., western blot).

Western Blot Buffer

IMPORTANT: For western blots, incubate membrane with diluted primary antibody in 5% w/v BSA, 1X TBS, 0.1% Tween® 20 at 4°C with gentle shaking, overnight.

Applications Key

W: Western Blotting IHC-P: Immunohistochemistry (Paraffin) IF-IC: Immunofluorescence (Immunocytochemistry) FC-FP: Flow Cytometry (Fixed/Permeabilized)

Cross-Reactivity Key

H: Human

Trademarks and Patents

Cell Signaling Technology is a trademark of Cell Signaling Technology, Inc.

All other trademarks are the property of their respective owners. Visit cellsignal.com/trademarks for more information.

Limited Uses

Except as otherwise expressly agreed in a writing signed by a legally authorized representative of CST, the following terms apply to Products provided by CST, its affiliates or its distributors. Any Customer's terms and conditions that are in addition to, or different from, those contained herein, unless separately accepted in writing by a legally authorized representative of CST, are rejected and are of no force or effect.

Products are labeled with For Research Use Only or a similar labeling statement and have not been approved, cleared, or licensed by the FDA or other regulatory foreign or domestic entity, for any purpose. Customer shall not use any Product for any diagnostic or therapeutic purpose, or otherwise in any manner that conflicts with its labeling statement. Products sold or licensed by CST are provided for Customer as the end-user and solely for research and development uses. Any use of Product for diagnostic, prophylactic or therapeutic purposes, or any purchase of Product for resale (alone or as a component) or other commercial purpose, requires a separate license from CST. Customer shall (a) not sell, license, loan, donate or otherwise transfer or make available any Product to any third party, whether alone or in combination with other materials, or use the Products to manufacture any commercial products, (b) not copy, modify, reverse engineer, decompile, disassemble or otherwise attempt to discover the underlying structure or technology of the Products, or use the Products for the purpose of developing any products or services that would compete with CST products or services, (c) not alter or remove from the Products any trademarks, trade names, logos, patent or copyright notices or markings, (d) use the Products solely in accordance with CST Product Terms of Sale and any applicable documentation, and (e) comply with any license, terms of service or similar agreement with respect to any third party products or services used by Customer in connection with the Products.

Orders: 877-616-CELL (2355) [email protected] Support: 877-678-TECH (8324) [email protected] Web: cellsignal.com
For Research Use Only. Not for Use in Diagnostic Procedures.

Revision 7

Cell Signaling Technology Logo
Western blot analysis of extracts from various cell lines using MCT1/SLC16A1 (E7A2K) Rabbit mAb (upper) or GAPDH (D16H11) XP® Rabbit mAb #5174 (lower). Negative expression of MCT1/SLC16A1 protein in NCI-H3255 cells is consistent with the predicted expression pattern.
Western Blotting Image 1: MCT1/SLC16A1 (E7A2K) Rabbit Monoclonal Antibody
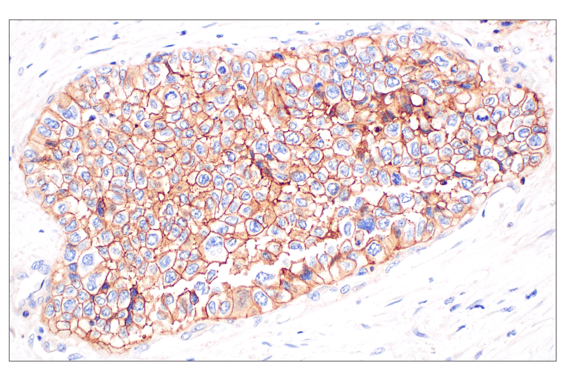
Immunohistochemical analysis of paraffin-embedded human prostate adenocarcinoma using MCT1/SLC16A1 (E7A2K) Rabbit mAb.
Immunohistochemistry Image 1: MCT1/SLC16A1 (E7A2K) Rabbit Monoclonal Antibody
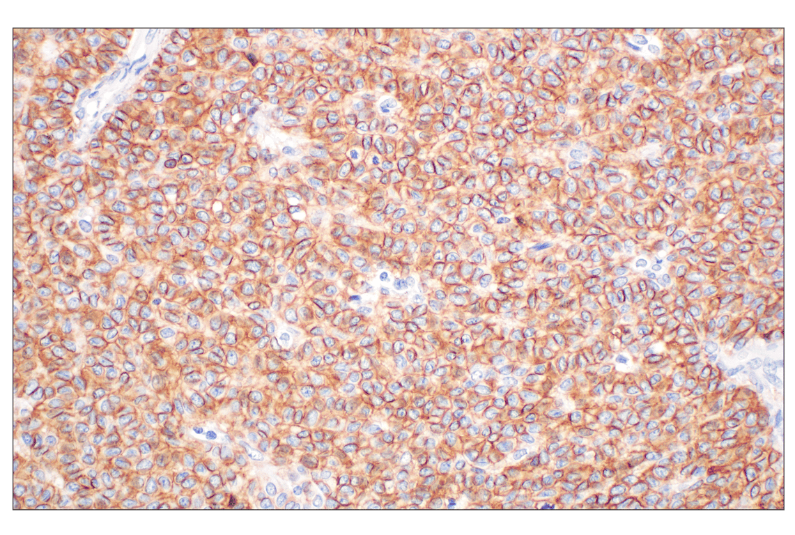
Immunohistochemical analysis of paraffin-embedded human granulosa cell tumor of the ovary using MCT1/SLC16A1 (E7A2K) Rabbit mAb.
Immunohistochemistry Image 2: MCT1/SLC16A1 (E7A2K) Rabbit Monoclonal Antibody
Orders: 877-616-CELL (2355) [email protected] Support: 877-678-TECH (8324) [email protected] Web: cellsignal.com
For Research Use Only. Not for Use in Diagnostic Procedures.

Revision 7

Cell Signaling Technology Logo
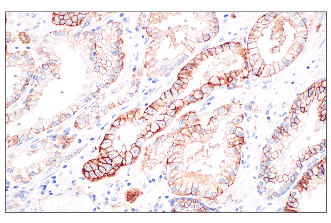
Immunohistochemical analysis of paraffin-embedded human urothelial carcinoma using MCT1/SLC16A1 (E7A2K) Rabbit mAb.
Immunohistochemistry Image 3: MCT1/SLC16A1 (E7A2K) Rabbit Monoclonal Antibody
Immunohistochemical analysis of paraffin-embedded normal human esophagus using MCT1/SLC16A1 (E7A2K) Rabbit mAb.
Immunohistochemistry Image 4: MCT1/SLC16A1 (E7A2K) Rabbit Monoclonal Antibody
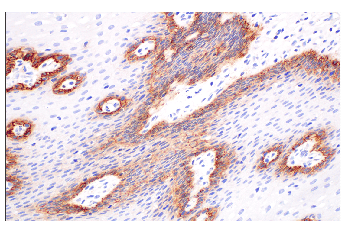
Immunohistochemical analysis of paraffin-embedded normal human uterus using MCT1/SLC16A1 (E7A2K) Rabbit mAb.
Immunohistochemistry Image 5: MCT1/SLC16A1 (E7A2K) Rabbit Monoclonal Antibody
Orders: 877-616-CELL (2355) [email protected] Support: 877-678-TECH (8324) [email protected] Web: cellsignal.com
For Research Use Only. Not for Use in Diagnostic Procedures.

Revision 7

Cell Signaling Technology Logo
Immunohistochemical analysis of paraffin-embedded normal human brain using MCT1/SLC16A1 (E7A2K) Rabbit mAb.
Immunohistochemistry Image 6: MCT1/SLC16A1 (E7A2K) Rabbit Monoclonal Antibody
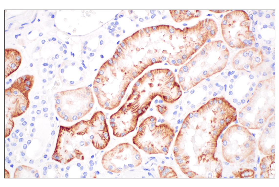
Immunohistochemical analysis of paraffin-embedded normal human kidney using MCT1/SLC16A1 (E7A2K) Rabbit mAb.
Immunohistochemistry Image 7: MCT1/SLC16A1 (E7A2K) Rabbit Monoclonal Antibody
Immunohistochemical analysis of paraffin-embedded human normal stomach adjacent to gastric carcinoma using MCT1/SLC16A1 (E7A2K) Rabbit mAb (left) or an MCT1/SLC16A1 Rabbit mAb (right). These two antibodies detect unique, non-overlapping epitopes on human MCT1/SLC16A1. The similar staining patterns obtained with both antibodies help to confirm the specificity of the staining.
Immunohistochemistry Image 8: MCT1/SLC16A1 (E7A2K) Rabbit Monoclonal Antibody
Orders: 877-616-CELL (2355) [email protected] Support: 877-678-TECH (8324) [email protected] Web: cellsignal.com
For Research Use Only. Not for Use in Diagnostic Procedures.

Revision 7

Cell Signaling Technology Logo
Immunohistochemical analysis of paraffin-embedded normal human liver using MCT1/SLC16A1 (E7A2K) Rabbit mAb (left) compared to concentration-matched Rabbit (DA1E) mAb IgG XP® Isotype Control #3900 (right).
Immunohistochemistry Image 9: MCT1/SLC16A1 (E7A2K) Rabbit Monoclonal Antibody
Immunohistochemical analysis of paraffin-embedded AGS cell pellet (left, positive) or NCI-H3255 cell pellet (right, negative) using MCT1/SLC16A1 (E7A2K) Rabbit mAb.
Immunohistochemistry Image 10: MCT1/SLC16A1 (E7A2K) Rabbit Monoclonal Antibody
Confocal immunofluorescent analysis of IMR-32 cells (left, positive) and NCI-H3255 cells (right, negative) using MCT1/SLC16A1 (E7A2K) Rabbit mAb (green), DyLight™ 650 Phalloidin #12956 (red), and DAPI #4083 (blue).
Immunofluorescence Image 1: MCT1/SLC16A1 (E7A2K) Rabbit Monoclonal Antibody
Orders: 877-616-CELL (2355) [email protected] Support: 877-678-TECH (8324) [email protected] Web: cellsignal.com
For Research Use Only. Not for Use in Diagnostic Procedures.

Revision 7

Cell Signaling Technology Logo
Flow cytometric analysis of NCI-H3255 cells (blue, negative) and IMR-32 cells (green, positive) using MCT1/SLC16A1 (E7A2K) Rabbit mAb (solid lines) or a concentration matched Rabbit (DA1E) mAb IgG XP® Isotype Control #3900 (dashed lines). Anti-rabbit IgG (H+L), F(ab')2 Fragment (Alexa Fluor® 488 Conjugate) #4412 was used as a secondary antibody.
Flow Cytometry Image 1: MCT1/SLC16A1 (E7A2K) Rabbit Monoclonal Antibody
Orders: 877-616-CELL (2355) [email protected] Support: 877-678-TECH (8324) [email protected] Web: cellsignal.com
For Research Use Only. Not for Use in Diagnostic Procedures.