Revision 1

#72635

Store at -20C

CST Logo
Orders:

877-616-CELL (2355)

[email protected]

Support:

877-678-TECH (8324)

3 Trask Lane | Danvers | Massachusetts | 01923 | USA

For Research Use Only. Not for Use in Diagnostic Procedures.

Applications:
W, IHC-P, IF-F, IF-IC, FC-FP

Reactivity:
H M R Mk

Sensitivity:
Endogenous

MW (kDa):
75

Source/Isotype:
Rabbit IgG

UniProt ID:
#P51608

Entrez-Gene Id:
4204

Product Usage Information

This product is the carrier free version of product #3456. All data were generated using the same antibody clone in the standard formulation which contains BSA and glycerol.

This formulation is ideal for use with technologies requiring specialized or custom antibody labeling, including fluorophores, metals, lanthanides, and oligonucleotides. It is not recommended for ChIP, ChIP-seq, CUT&RUN or CUT&Tag assays. If you require a carrier free formulation for chromatin profiling, please contact us. Optimal dilutions/concentrations should be determined by the end user.

BSA and Azide Free antibodies are quality control tested by size exclusion chromatography (SEC) to determine antibody integrity.

Formulation

Supplied in 1X PBS (10 mM Na2HPO4, 3 mM KCl, 2 mM KH2PO4, and 140 mM NaCl (pH 7.8)). BSA and Azide Free.

For standard formulation of this product see product #3456

Storage

Store at -20°C. This product will freeze at -20°C so it is recommended to aliquot into single-use vials to avoid multiple freeze/thaw cycles. A slight precipitate may be present and can be dissolved by gently vortexing. This will not interfere with antibody performance.

Specificity/Sensitivity

MeCP2 (D4F3) Rabbit Monoclonal Antibody (BSA and Azide Free) detects endogenous levels of MeCP2 (both isoforms A and B). This antibody does not cross-react with other MBD proteins.

Source / Purification

Monoclonal antibody is produced by immunizing animals with a synthetic peptide corresponding to the carboxy terminus of human MeCP2.

Background

Methyl-CpG-binding protein 2 (MeCP2) is the founding member of a family of methyl-CpG-binding domain (MBD) proteins that also includes MBD1, MBD2, MBD3, MBD4, MBD5, and MBD6 (1-3). Apart from MBD3, these proteins bind methylated cytosine residues in the context of the di-nucleotide 5´-CG-3´ to establish and maintain regions of transcriptionally inactive chromatin by recruiting a variety of co-repressor proteins (2). MeCP2 recruits histone deacetylases HDAC1 and HDAC2, and the DNA methyltransferase DNMT1 (4-6). MBD1 couples transcriptional silencing to DNA replication and interacts with the histone methyltransferases ESET and SUV39H1 (7,8). MBD2 and MBD3 co-purify as part of the NuRD (nucleosome remodeling and histone de-acetylation) co-repressor complex, which contains the chromatin remodeling ATPase Mi-2, HDAC1, and HDAC2 (9,10). MBD5 and MBD6 have recently been identified and little is known regarding their protein interactions. MBD proteins are associated with cancer and other diseases; MBD4 is best characterized for its role in DNA repair and MBD2 has been linked to intestinal cancer (11,12). Mutations in the MeCP2 gene cause the neurologic developmental disorder Rett Syndrome (13). MeCP2 protein levels are high in neurons, where it plays a critical role in multiple synaptic processes (14). In response to various physiological stimuli, MeCP2 is phosphorylated on Ser421 and regulates the expression of genes controlling dendritic patterning and spine morphogenesis (14). Disruption of this process in individuals with altered MeCP2 may cause the pathological changes seen in Rett Syndrome.

Species Reactivity

Species reactivity is determined by testing in at least one approved application (e.g., western blot).

Applications Key

W: Western Blotting IHC-P: Immunohistochemistry (Paraffin) IF-F: Immunofluorescence (Frozen) IF-IC: Immunofluorescence (Immunocytochemistry) FC-FP: Flow Cytometry (Fixed/Permeabilized)

Cross-Reactivity Key

H: Human M: Mouse R: Rat Mk: Monkey

Trademarks and Patents

Cell Signaling Technology is a trademark of Cell Signaling Technology, Inc.

All other trademarks are the property of their respective owners. Visit cellsignal.com/trademarks for more information.

Limited Uses

Except as otherwise expressly agreed in a writing signed by a legally authorized representative of CST, the following terms apply to Products provided by CST, its affiliates or its distributors. Any Customer's terms and conditions that are in addition to, or different from, those contained herein, unless separately accepted in writing by a legally authorized representative of CST, are rejected and are of no force or effect.

Products are labeled with For Research Use Only or a similar labeling statement and have not been approved, cleared, or licensed by the FDA or other regulatory foreign or domestic entity, for any purpose. Customer shall not use any Product for any diagnostic or therapeutic purpose, or otherwise in any manner that conflicts with its labeling statement. Products sold or licensed by CST are provided for Customer as the end-user and solely for research and development uses. Any use of Product for diagnostic, prophylactic or therapeutic purposes, or any purchase of Product for resale (alone or as a component) or other commercial purpose, requires a separate license from CST. Customer shall (a) not sell, license, loan, donate or otherwise transfer or make available any Product to any third party, whether alone or in combination with other materials, or use the Products to manufacture any commercial products, (b) not copy, modify, reverse engineer, decompile, disassemble or otherwise attempt to discover the underlying structure or technology of the Products, or use the Products for the purpose of developing any products or services that would compete with CST products or services, (c) not alter or remove from the Products any trademarks, trade names, logos, patent or copyright notices or markings, (d) use the Products solely in accordance with CST Product Terms of Sale and any applicable documentation, and (e) comply with any license, terms of service or similar agreement with respect to any third party products or services used by Customer in connection with the Products.

Orders: 877-616-CELL (2355) [email protected] Support: 877-678-TECH (8324) [email protected] Web: cellsignal.com
For Research Use Only. Not for Use in Diagnostic Procedures.

Revision 1

Cell Signaling Technology Logo
Western blot analysis of extracts from various cell lines using MeCP2 (D4F3) XP® Rabbit mAb. Data were generated using the standard formulation of this product.
Western Blotting Image 1: MeCP2 (D4F3) Rabbit Monoclonal Antibody (BSA and Azide Free)
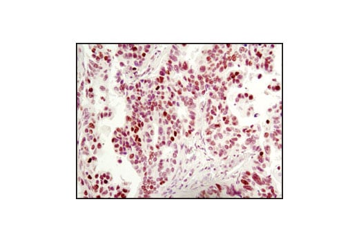
Immunohistochemical analysis of paraffin-embedded human lung carcinoma using MeCP2 (D4F3) XP® Rabbit mAb. Data were generated using the standard formulation of this product.
Immunohistochemistry Image 1: MeCP2 (D4F3) Rabbit Monoclonal Antibody (BSA and Azide Free)
Immunohistochemical analysis of paraffin-embedded mouse brain using MeCP2 (D4F3) XP® Rabbit mAb in the presence of control peptide (left) and antigen-specific peptide (right). Data were generated using the standard formulation of this product.
Immunohistochemistry Image 2: MeCP2 (D4F3) Rabbit Monoclonal Antibody (BSA and Azide Free)
Orders: 877-616-CELL (2355) [email protected] Support: 877-678-TECH (8324) [email protected] Web: cellsignal.com
For Research Use Only. Not for Use in Diagnostic Procedures.

Revision 1

Cell Signaling Technology Logo
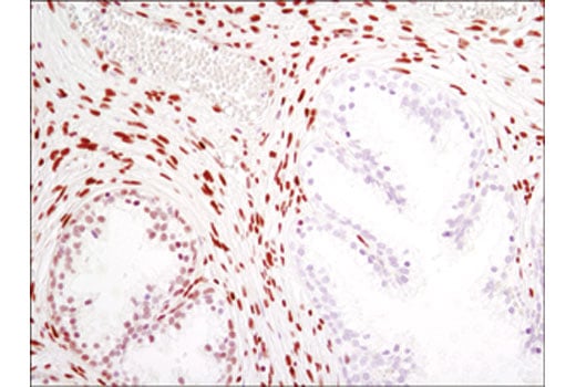
Immunohistochemical analysis of paraffin-embedded human prostate carcinoma using MeCP2 (D4F3) XP® Rabbit mAb. Data were generated using the standard formulation of this product.
Immunohistochemistry Image 3: MeCP2 (D4F3) Rabbit Monoclonal Antibody (BSA and Azide Free)
Confocal immunofluorescent analysis of fixed frozen wild-type mouse cerebellum (left) and MeCP2 knock-out cerebellum (right), labeled with MeCP2 (D4F3) XP® Rabbit mAb #3456 (top, red) and co-labeled with S6 Ribosomal Protein (54D2) Mouse mAb (Alexa Fluor® 488 Conjugate) #5317 (bottom, green), GFAP (GA5) Mouse mAb (Alexa Fluor® 647 Conjugate) #3657 (bottom, white pseudocolor) and DAPI #4083 (bottom, blue). Data were generated using the standard formulation of this product.
Immunofluorescence Image 1: MeCP2 (D4F3) Rabbit Monoclonal Antibody (BSA and Azide Free)
Confocal immunofluorescent analysis of SH-SY5Y cells using MeCP2 (D4F3) XP® Rabbit mAb (green). Actin filaments have been labeled with DY-554 phalloidin (red). Data were generated using the standard formulation of this product.
Immunofluorescence Image 1: MeCP2 (D4F3) Rabbit Monoclonal Antibody (BSA and Azide Free)
Orders: 877-616-CELL (2355) [email protected] Support: 877-678-TECH (8324) [email protected] Web: cellsignal.com
For Research Use Only. Not for Use in Diagnostic Procedures.

Revision 1

Cell Signaling Technology Logo
Flow cytometric analysis of SH-SY5Y cells using MeCP2 (D4F3) XP® Rabbit mAb (solid line) compared to concentration-matched Rabbit (DA1E) mAb IgG XP® Isotype Control #3900 (dashed line). Anti-rabbit IgG (H+L), F(ab')2 Fragment (Alexa Fluor® 488 Conjugate) #4412 was used as a secondary antibody. Data were generated using the standard formulation of this product.
Flow Cytometry Image 1: MeCP2 (D4F3) Rabbit Monoclonal Antibody (BSA and Azide Free)
Orders: 877-616-CELL (2355) [email protected] Support: 877-678-TECH (8324) [email protected] Web: cellsignal.com
For Research Use Only. Not for Use in Diagnostic Procedures.