Revision 7

#3456

Store at -20C

CST Logo
Orders:

877-616-CELL (2355)

[email protected]

Support:

877-678-TECH (8324)

3 Trask Lane | Danvers | Massachusetts | 01923 | USA

For Research Use Only. Not for Use in Diagnostic Procedures.

Applications:
W, W-S, IP, IHC-P, IF-F, IF-IC, FC-FP, C&R

Reactivity:
H M R Mk

Sensitivity:
Endogenous

MW (kDa):
75

Source/Isotype:
Rabbit IgG

UniProt ID:
#P51608

Entrez-Gene Id:
4204

Product Usage Information

The CUT&RUN dilution was determined using CUT&RUN Assay Kit #86652.
Application Dilution
Western Blotting 1:1000
Simple Western™ 1:10 - 1:50
Immunoprecipitation 1:25
Immunohistochemistry (Paraffin) 1:1600
Immunofluorescence (Frozen) 1:100 - 1:200
Immunofluorescence (Immunocytochemistry) 1:200
Flow Cytometry (Fixed/Permeabilized) 1:100
CUT&RUN 1:50

Storage

Supplied in 10 mM sodium HEPES (pH 7.5), 150 mM NaCl, 100 µg/ml BSA, 50% glycerol and less than 0.02% sodium azide. Store at –20°C. Do not aliquot the antibody.

For a carrier free (BSA and azide free) version of this product see product #72635.

Specificity/Sensitivity

MeCP2 (D4F3) Rabbit Monoclonal Antibody detects endogenous levels of MeCP2 (both isoforms A and B). This antibody does not cross-react with other MBD proteins.

Source / Purification

Monoclonal antibody is produced by immunizing animals with a synthetic peptide corresponding to the carboxy terminus of human MeCP2.

Background

Methyl-CpG-binding protein 2 (MeCP2) is the founding member of a family of methyl-CpG-binding domain (MBD) proteins that also includes MBD1, MBD2, MBD3, MBD4, MBD5, and MBD6 (1-3). Apart from MBD3, these proteins bind methylated cytosine residues in the context of the di-nucleotide 5´-CG-3´ to establish and maintain regions of transcriptionally inactive chromatin by recruiting a variety of co-repressor proteins (2). MeCP2 recruits histone deacetylases HDAC1 and HDAC2, and the DNA methyltransferase DNMT1 (4-6). MBD1 couples transcriptional silencing to DNA replication and interacts with the histone methyltransferases ESET and SUV39H1 (7,8). MBD2 and MBD3 co-purify as part of the NuRD (nucleosome remodeling and histone de-acetylation) co-repressor complex, which contains the chromatin remodeling ATPase Mi-2, HDAC1, and HDAC2 (9,10). MBD5 and MBD6 have recently been identified and little is known regarding their protein interactions. MBD proteins are associated with cancer and other diseases; MBD4 is best characterized for its role in DNA repair and MBD2 has been linked to intestinal cancer (11,12). Mutations in the MeCP2 gene cause the neurologic developmental disorder Rett Syndrome (13). MeCP2 protein levels are high in neurons, where it plays a critical role in multiple synaptic processes (14). In response to various physiological stimuli, MeCP2 is phosphorylated on Ser421 and regulates the expression of genes controlling dendritic patterning and spine morphogenesis (14). Disruption of this process in individuals with altered MeCP2 may cause the pathological changes seen in Rett Syndrome.

Species Reactivity

Species reactivity is determined by testing in at least one approved application (e.g., western blot).

Western Blot Buffer

IMPORTANT: For western blots, incubate membrane with diluted primary antibody in 5% w/v BSA, 1X TBS, 0.1% Tween® 20 at 4°C with gentle shaking, overnight.

Applications Key

W: Western Blotting W-S: Simple Western™ IP: Immunoprecipitation IHC-P: Immunohistochemistry (Paraffin) IF-F: Immunofluorescence (Frozen) IF-IC: Immunofluorescence (Immunocytochemistry) FC-FP: Flow Cytometry (Fixed/Permeabilized) C&R: CUT&RUN

Cross-Reactivity Key

H: Human M: Mouse R: Rat Mk: Monkey

Trademarks and Patents

Cell Signaling Technology is a trademark of Cell Signaling Technology, Inc.

Alexa Fluor is a registered trademark of Life Technologies Corporation.

All other trademarks are the property of their respective owners. Visit cellsignal.com/trademarks for more information.

Limited Uses

Except as otherwise expressly agreed in a writing signed by a legally authorized representative of CST, the following terms apply to Products provided by CST, its affiliates or its distributors. Any Customer's terms and conditions that are in addition to, or different from, those contained herein, unless separately accepted in writing by a legally authorized representative of CST, are rejected and are of no force or effect.

Products are labeled with For Research Use Only or a similar labeling statement and have not been approved, cleared, or licensed by the FDA or other regulatory foreign or domestic entity, for any purpose. Customer shall not use any Product for any diagnostic or therapeutic purpose, or otherwise in any manner that conflicts with its labeling statement. Products sold or licensed by CST are provided for Customer as the end-user and solely for research and development uses. Any use of Product for diagnostic, prophylactic or therapeutic purposes, or any purchase of Product for resale (alone or as a component) or other commercial purpose, requires a separate license from CST. Customer shall (a) not sell, license, loan, donate or otherwise transfer or make available any Product to any third party, whether alone or in combination with other materials, or use the Products to manufacture any commercial products, (b) not copy, modify, reverse engineer, decompile, disassemble or otherwise attempt to discover the underlying structure or technology of the Products, or use the Products for the purpose of developing any products or services that would compete with CST products or services, (c) not alter or remove from the Products any trademarks, trade names, logos, patent or copyright notices or markings, (d) use the Products solely in accordance with CST Product Terms of Sale and any applicable documentation, and (e) comply with any license, terms of service or similar agreement with respect to any third party products or services used by Customer in connection with the Products.

Orders: 877-616-CELL (2355) [email protected] Support: 877-678-TECH (8324) [email protected] Web: cellsignal.com
For Research Use Only. Not for Use in Diagnostic Procedures.

Revision 7

Cell Signaling Technology Logo
Western blot analysis of extracts from various cell lines using MeCP2 (D4F3) XP® Rabbit mAb.
Western Blotting Image 1: MeCP2 (D4F3) Rabbit Monoclonal Antibody
Simple Western™ analysis of lysates (0.1 mg/mL) from COS-7 cells using MeCP2 (D4F3) XP® Rabbit mAb #3456. The virtual lane view (left) shows the target band (as indicated) at 1:10 and 1:50 dilutions of primary antibody. The corresponding electropherogram view (right) plots chemiluminescence by molecular weight along the capillary at 1:10 (blue line) and 1:50 (green line) dilutions of primary antibody. This experiment was performed under reducing conditions on the Jess™ ​​​​​​​ Simple Western instrument from ProteinSimple, a BioTechne brand, using the 12-230 kDa separation module.
Western Blotting Image 1: MeCP2 (D4F3) Rabbit Monoclonal Antibody
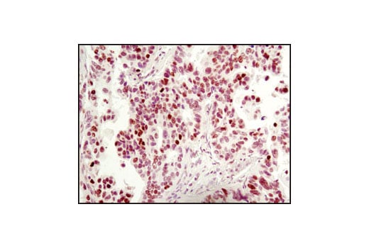
Immunohistochemical analysis of paraffin-embedded human lung carcinoma using MeCP2 (D4F3) XP® Rabbit mAb.
Immunohistochemistry Image 1: MeCP2 (D4F3) Rabbit Monoclonal Antibody
Orders: 877-616-CELL (2355) [email protected] Support: 877-678-TECH (8324) [email protected] Web: cellsignal.com
For Research Use Only. Not for Use in Diagnostic Procedures.

Revision 7

Cell Signaling Technology Logo
Immunohistochemical analysis of paraffin-embedded mouse brain using MeCP2 (D4F3) XP® Rabbit mAb in the presence of control peptide (left) and antigen-specific peptide (right).
Immunohistochemistry Image 2: MeCP2 (D4F3) Rabbit Monoclonal Antibody
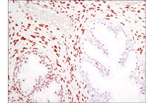
Immunohistochemical analysis of paraffin-embedded human prostate carcinoma using MeCP2 (D4F3) XP® Rabbit mAb.
Immunohistochemistry Image 3: MeCP2 (D4F3) Rabbit Monoclonal Antibody
Confocal immunofluorescent analysis of fixed frozen wild-type mouse cerebellum (left) and MeCP2 knock-out cerebellum (right), labeled with MeCP2 (D4F3) XP® Rabbit mAb #3456 (top, red) and co-labeled with S6 Ribosomal Protein (54D2) Mouse mAb (Alexa Fluor® 488 Conjugate) #5317 (bottom, green), GFAP (GA5) Mouse mAb (Alexa Fluor® 647 Conjugate) #3657 (bottom, white pseudocolor) and DAPI #4083 (bottom, blue).
Immunofluorescence Image 1: MeCP2 (D4F3) Rabbit Monoclonal Antibody
Orders: 877-616-CELL (2355) [email protected] Support: 877-678-TECH (8324) [email protected] Web: cellsignal.com
For Research Use Only. Not for Use in Diagnostic Procedures.

Revision 7

Cell Signaling Technology Logo
Confocal immunofluorescent analysis of SH-SY5Y cells using MeCP2 (D4F3) XP® Rabbit mAb (green). Actin filaments have been labeled with DY-554 phalloidin (red).
Immunofluorescence Image 1: MeCP2 (D4F3) Rabbit Monoclonal Antibody
Flow cytometric analysis of SH-SY5Y cells using MeCP2 (D4F3) XP® Rabbit mAb (solid line) compared to concentration-matched Rabbit (DA1E) mAb IgG XP® Isotype Control #3900 (dashed line). Anti-rabbit IgG (H+L), F(ab')2 Fragment (Alexa Fluor® 488 Conjugate) #4412 was used as a secondary antibody.
Flow Cytometry Image 1: MeCP2 (D4F3) Rabbit Monoclonal Antibody
CUT&RUN was performed with HeLa cells and MeCP2 (D4F3) XP® Rabbit mAb, using CUT&RUN Assay Kit #86652. DNA Library was prepared using DNA Library Prep Kit for Illumina® (ChIP-seq, CUT&RUN) #56795. The figure shows binding across the KLRK1 gene.
CUT & RUN Image 1: MeCP2 (D4F3) Rabbit Monoclonal Antibody
Orders: 877-616-CELL (2355) [email protected] Support: 877-678-TECH (8324) [email protected] Web: cellsignal.com
For Research Use Only. Not for Use in Diagnostic Procedures.

Revision 7

Cell Signaling Technology Logo
CUT&RUN was performed with HeLa cells and MeCP2 (D4F3) XP® Rabbit mAb, using CUT&RUN Assay Kit #86652. DNA Library was prepared using DNA Library Prep Kit for Illumina® (ChIP-seq, CUT&RUN) #56795. The figures show binding across chromosome 12 (upper), including the KLRK1 gene (lower).
CUT & RUN Image 2: MeCP2 (D4F3) Rabbit Monoclonal Antibody
Orders: 877-616-CELL (2355) [email protected] Support: 877-678-TECH (8324) [email protected] Web: cellsignal.com
For Research Use Only. Not for Use in Diagnostic Procedures.