Revision 1

#45307

Store at -80C

CST Logo
Orders:

877-616-CELL (2355)

[email protected]

Support:

877-678-TECH (8324)

3 Trask Lane | Danvers | Massachusetts | 01923 | USA

For Research Use Only. Not for Use in Diagnostic Procedures.

Applications:
W, IHC-P

Reactivity:
H M R Mk

Sensitivity:
Endogenous

MW (kDa):
45

Source/Isotype:
Rabbit IgG

UniProt ID:
#Q02750

Entrez-Gene Id:
5604

Product Usage Information

This product is the carrier free version of product #12671. All data were generated using the same antibody clone in the standard formulation which contains BSA and glycerol.

This formulation is ideal for use with technologies requiring specialized or custom antibody labeling, including fluorophores, metals, lanthanides, and oligonucleotides. It is not recommended for ChIP, ChIP-seq, CUT&RUN or CUT&Tag assays. If you require a carrier free formulation for chromatin profiling, please contact us. Optimal dilutions/concentrations should be determined by the end user.

BSA and Azide Free antibodies are quality control tested by size exclusion chromatography (SEC) to determine antibody integrity.

Formulation

Supplied in 1X PBS (10 mM Na2HPO4, 3 mM KCl, 2 mM KH2PO4, and 140 mM NaCl (pH 7.8)). BSA and Azide Free.

For standard formulation of this product see product #12671.

Storage

Store at -20°C. This product will freeze at -20°C so it is recommended to aliquot into single-use vials to avoid multiple freeze/thaw cycles. A slight precipitate may be present and can be dissolved by gently vortexing. This will not interfere with antibody performance.

Specificity/Sensitivity

MEK1 (D2R1O) Rabbit Monoclonal Antibody (BSA and Azide Free) recognizes endogenous levels of total MEK1 protein. This antibody does not cross-react with MEK2 or other MAPK kinase proteins.

Species predicted to react based on 100% sequence homology

Bovine, Dog, Pig, Guinea Pig

Source / Purification

Monoclonal antibody is produced by immunizing animals with a synthetic peptide corresponding to residues near the amino terminus of human MEK1 protein.

Background

MEK1 and MEK2, also called MAPK or Erk kinases, are dual-specificity protein kinases that function in a mitogen activated protein kinase cascade controlling cell growth and differentiation (1-3). Activation of MEK1 and MEK2 occurs through phosphorylation of two serine residues at positions 217 and 221, located in the activation loop of subdomain VIII, by Raf-like molecules. MEK1/2 is activated by a wide variety of growth factors and cytokines and also by membrane depolarization and calcium influx (1-4). Constitutively active forms of MEK1/2 are sufficient for the transformation of NIH/3T3 cells or the differentiation of PC-12 cells (4). MEK activates p44 and p42 MAP kinase by phosphorylating both threonine and tyrosine residues at sites located within the activation loop of kinase subdomain VIII.

Species Reactivity

Species reactivity is determined by testing in at least one approved application (e.g., western blot).

Applications Key

W: Western Blotting IHC-P: Immunohistochemistry (Paraffin)

Cross-Reactivity Key

H: Human M: Mouse R: Rat Mk: Monkey

Trademarks and Patents

Cell Signaling Technology is a trademark of Cell Signaling Technology, Inc.

SignalStain is a registered trademark of Cell Signaling Technology, Inc.

All other trademarks are the property of their respective owners. Visit cellsignal.com/trademarks for more information.

Limited Uses

Except as otherwise expressly agreed in a writing signed by a legally authorized representative of CST, the following terms apply to Products provided by CST, its affiliates or its distributors. Any Customer's terms and conditions that are in addition to, or different from, those contained herein, unless separately accepted in writing by a legally authorized representative of CST, are rejected and are of no force or effect.

Products are labeled with For Research Use Only or a similar labeling statement and have not been approved, cleared, or licensed by the FDA or other regulatory foreign or domestic entity, for any purpose. Customer shall not use any Product for any diagnostic or therapeutic purpose, or otherwise in any manner that conflicts with its labeling statement. Products sold or licensed by CST are provided for Customer as the end-user and solely for research and development uses. Any use of Product for diagnostic, prophylactic or therapeutic purposes, or any purchase of Product for resale (alone or as a component) or other commercial purpose, requires a separate license from CST. Customer shall (a) not sell, license, loan, donate or otherwise transfer or make available any Product to any third party, whether alone or in combination with other materials, or use the Products to manufacture any commercial products, (b) not copy, modify, reverse engineer, decompile, disassemble or otherwise attempt to discover the underlying structure or technology of the Products, or use the Products for the purpose of developing any products or services that would compete with CST products or services, (c) not alter or remove from the Products any trademarks, trade names, logos, patent or copyright notices or markings, (d) use the Products solely in accordance with CST Product Terms of Sale and any applicable documentation, and (e) comply with any license, terms of service or similar agreement with respect to any third party products or services used by Customer in connection with the Products.

Orders: 877-616-CELL (2355) [email protected] Support: 877-678-TECH (8324) [email protected] Web: cellsignal.com
For Research Use Only. Not for Use in Diagnostic Procedures.

Revision 1

Cell Signaling Technology Logo
Western blot analysis of extracts from various cell lines using MEK1 (D2R1O) Rabbit mAb (upper) or GAPDH (D16H11) XP® Rabbit mAb #5174 (lower). MEK1/2 WT (MEK-WT), MEK1 knockout (MEK1-/-) and MEK2 knockout (MEK2-/-) MEFs were generously provided by Dr. Jean Charron, Centre de recherche du Centre hospitalier de l'Université Laval, Quebec, Canada. Data were generated using the standard formulation of this product.
Western Blotting Image 1: MEK1 (D2R1O) Rabbit Monoclonal Antibody (BSA and Azide Free)
Western blot analysis of extracts from control MEF cells (lane 1) or MEK1 knockout MEF cells (lane 2) or MEK2 knockout MEF cells (lane 3) using MEK1 (D2R1O) Rabbit mAb #12671 (upper) or α-Actinin (D6F6) XP® Rabbit mAb (HRP Conjugate) #12413 (lower). The absence of signal in the MEK1-knockout MEF cells confirms specificity of the antibody for MEK1. MEF Knockout Cell lines kindly provided by the laboratory of Dr. Jean Charron. Data were generated using the standard formulation of this product.
Western Blotting Image 2: MEK1 (D2R1O) Rabbit Monoclonal Antibody (BSA and Azide Free)
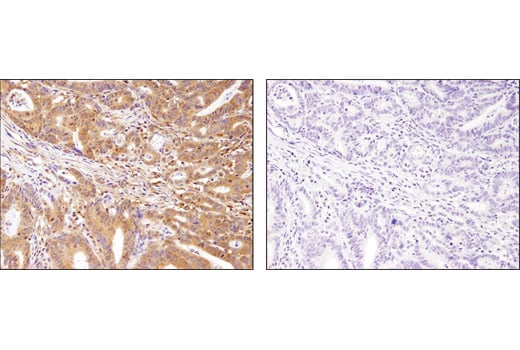
Immunohistochemical analysis of paraffin-embedded colon adenocarcinoma using MEK1 (D2R1O) Rabbit mAb in the presence of control peptide (left) or antigen-specific peptide (right). Data were generated using the standard formulation of this product.
Immunohistochemistry Image 1: MEK1 (D2R1O) Rabbit Monoclonal Antibody (BSA and Azide Free)
Orders: 877-616-CELL (2355) [email protected] Support: 877-678-TECH (8324) [email protected] Web: cellsignal.com
For Research Use Only. Not for Use in Diagnostic Procedures.

Revision 1

Cell Signaling Technology Logo
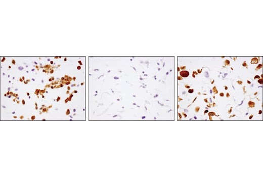
Immunohistochemical analysis of paraffin-embedded cell pellets, wild type MEF (left), MEK1 (-/-) MEF (middle) or MEK2 (-/-) MEF (right), using MEK1 (D2R1O) Rabbit mAb. Cells provided by Dr. Jean Charron, Centre de recherche du Centre hospitalier de l’Université Laval, Quebec, Canada. Data were generated using the standard formulation of this product.
Immunohistochemistry Image 2: MEK1 (D2R1O) Rabbit Monoclonal Antibody (BSA and Azide Free)
Orders: 877-616-CELL (2355) [email protected] Support: 877-678-TECH (8324) [email protected] Web: cellsignal.com
For Research Use Only. Not for Use in Diagnostic Procedures.