Revision 6

#19893

Store at -20C

CST Logo
Orders:

877-616-CELL (2355)

[email protected]

Support:

877-678-TECH (8324)

3 Trask Lane | Danvers | Massachusetts | 01923 | USA

For Research Use Only. Not for Use in Diagnostic Procedures.

Applications:
W, IP, IHC-P, ChIP, ChIP-seq

Reactivity:
H M R Mk

Sensitivity:
Endogenous

MW (kDa):
76

Source/Isotype:
Rabbit IgG

UniProt ID:
#O00255

Entrez-Gene Id:
4221

Product Usage Information

For optimal ChIP and ChIP-seq results, use 10 μl of antibody and 10 μg of chromatin (approximately 4 x 106 cells) per IP. This antibody has been validated using SimpleChIP® Enzymatic Chromatin IP Kits.
Application Dilution
Western Blotting 1:1000
Immunoprecipitation 1:200
Immunohistochemistry (Paraffin) 1:1250 - 1:5000
Chromatin IP 1:50
Chromatin IP-seq 1:50

Storage

Supplied in 10 mM sodium HEPES (pH 7.5), 150 mM NaCl, 100 µg/mL BSA, 50% glycerol, and less than 0.02% sodium azide. Store at –20°C. Do not aliquot the antibody.

For a carrier free (BSA and azide free) version of this product see product #87298.

Specificity/Sensitivity

Menin (E5P1R) Rabbit Monoclonal Antibody recognizes endogenous levels of total Menin protein. Species cross-reactivity for IHC-P is human only.

Source / Purification

Monoclonal antibody is produced by immunizing animals with a synthetic peptide corresponding to residues surrounding Pro600 of human Menin protein.

Background

Mutations in the MEN1 tumor suppressor gene cause multiple endocrine neoplasia type 1 (MEN1), an autosomal dominant familial tumor syndrome typified by tumors of the pituitary, parathyroid, lung, and enteropancreatic endocrine tissues (1,2). Patients with this tumor syndrome have inherited either missense or truncation mutations in one allele of the MEN1 gene, while the other allele is subject to loss of heterozygosity in tumors from these patients (1,2). Menin, the protein product of the MEN1 gene, is a component of the mixed-lineage leukemia protein (MLL)-containing histone methyltransferase complex that facilitates methylation of histone H3 Lys4 to promote transcriptional activation (3,4). Menin functions to suppress proliferation of pancreatic islet cells, at least in part through MLL-mediated activation of the p18 and p27 cyclin-dependent kinase inhibitor genes (5,6). Loss of Menin leads to a decrease in methylation of histone H3 Lys4 and decreased expression of the p18 and p27 genes, leading to hyperplasia (5,6). In contrast to its role as a tumor suppressor in endocrine cells, Menin has been shown to promote proliferation in leukemia cells driven by MLL-fusion proteins. Menin is essential for oncogenic MLL-fusion-protein-mediated transformation of bone marrow cells and is required for histone H3 Lys4 methylation and expression of the HoxA9 gene (7,8). Menin interacts with a wide range of proteins, including JunD, SMAD family members, estrogen receptor, vitamin D receptor, PEM, NFκB, FANCD2, RPA2, NMMHC II-A, GFAP, vimentin, and HSP70, suggesting additional roles in transcriptional regulation, DNA processing and repair, cytoskeleton organization, and protein degradation (9,10).

Species Reactivity

Species reactivity is determined by testing in at least one approved application (e.g., western blot).

Western Blot Buffer

IMPORTANT: For western blots, incubate membrane with diluted primary antibody in 5% w/v BSA, 1X TBS, 0.1% Tween® 20 at 4°C with gentle shaking, overnight.

Applications Key

W: Western Blotting IP: Immunoprecipitation IHC-P: Immunohistochemistry (Paraffin) ChIP: Chromatin IP ChIP-seq: Chromatin IP-seq

Cross-Reactivity Key

H: Human M: Mouse R: Rat Mk: Monkey

Trademarks and Patents

Cell Signaling Technology is a trademark of Cell Signaling Technology, Inc.

All other trademarks are the property of their respective owners. Visit cellsignal.com/trademarks for more information.

Limited Uses

Except as otherwise expressly agreed in a writing signed by a legally authorized representative of CST, the following terms apply to Products provided by CST, its affiliates or its distributors. Any Customer's terms and conditions that are in addition to, or different from, those contained herein, unless separately accepted in writing by a legally authorized representative of CST, are rejected and are of no force or effect.

Products are labeled with For Research Use Only or a similar labeling statement and have not been approved, cleared, or licensed by the FDA or other regulatory foreign or domestic entity, for any purpose. Customer shall not use any Product for any diagnostic or therapeutic purpose, or otherwise in any manner that conflicts with its labeling statement. Products sold or licensed by CST are provided for Customer as the end-user and solely for research and development uses. Any use of Product for diagnostic, prophylactic or therapeutic purposes, or any purchase of Product for resale (alone or as a component) or other commercial purpose, requires a separate license from CST. Customer shall (a) not sell, license, loan, donate or otherwise transfer or make available any Product to any third party, whether alone or in combination with other materials, or use the Products to manufacture any commercial products, (b) not copy, modify, reverse engineer, decompile, disassemble or otherwise attempt to discover the underlying structure or technology of the Products, or use the Products for the purpose of developing any products or services that would compete with CST products or services, (c) not alter or remove from the Products any trademarks, trade names, logos, patent or copyright notices or markings, (d) use the Products solely in accordance with CST Product Terms of Sale and any applicable documentation, and (e) comply with any license, terms of service or similar agreement with respect to any third party products or services used by Customer in connection with the Products.

Orders: 877-616-CELL (2355) [email protected] Support: 877-678-TECH (8324) [email protected] Web: cellsignal.com
For Research Use Only. Not for Use in Diagnostic Procedures.

Revision 6

Cell Signaling Technology Logo
Western blot analysis of extracts from control HCT 116 cells (lane 1) or CRISPR/Cas9 Menin knockout (KO) HCT 116 cells (lane 2) using Menin (E5P1R) Rabbit mAb (upper) or β-Actin (D6A8) Rabbit mAb #8457 (lower).
Western Blotting Image 1: Menin (E5P1R) Rabbit Monoclonal Antibody
Western blot analysis of extracts from various cell lines using Menin (E5P1R) Rabbit mAb (upper) or β-Actin (D6A8) Rabbit mAb #8457 (lower).
Western Blotting Image 2: Menin (E5P1R) Rabbit Monoclonal Antibody
Immunoprecipitation of Menin protein from HeLa cell extracts. Lane 1 is 10% input, lane 2 is Rabbit (DA1E) mAb IgG XP® Isotype Control #3900, and lane 3 is Menin (E5P1R) Rabbit mAb. Western blot analysis was performed using Menin (E5P1R) Rabbit mAb. Mouse Anti-Rabbit IgG (Light-Chain Specific) (D4W3E) mAb (HRP Conjugate) #93702 was used as a secondary antibody.
Immunoprecipitation Image 1: Menin (E5P1R) Rabbit Monoclonal Antibody
Orders: 877-616-CELL (2355) [email protected] Support: 877-678-TECH (8324) [email protected] Web: cellsignal.com
For Research Use Only. Not for Use in Diagnostic Procedures.

Revision 6

Cell Signaling Technology Logo
Immunohistochemical analysis of paraffin-embedded human squamous cell lung carcinoma using Menin (E5P1R) Rabbit mAb.
Immunohistochemistry Image 1: Menin (E5P1R) Rabbit Monoclonal Antibody
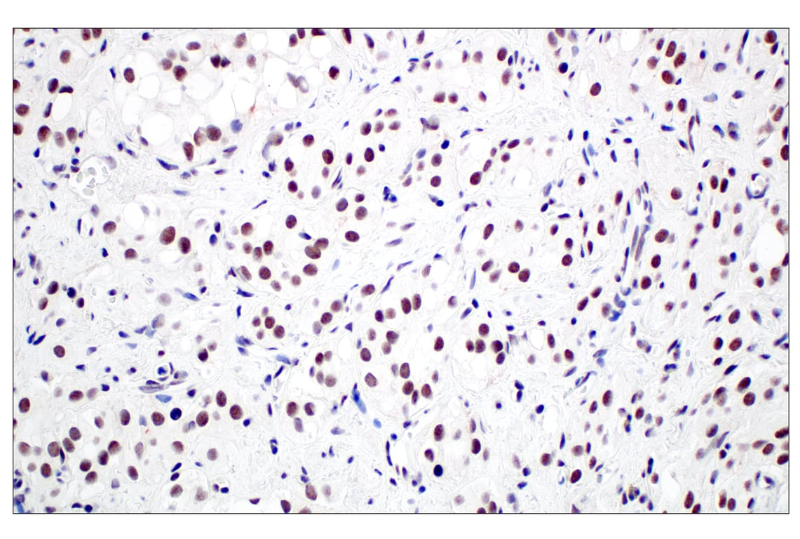
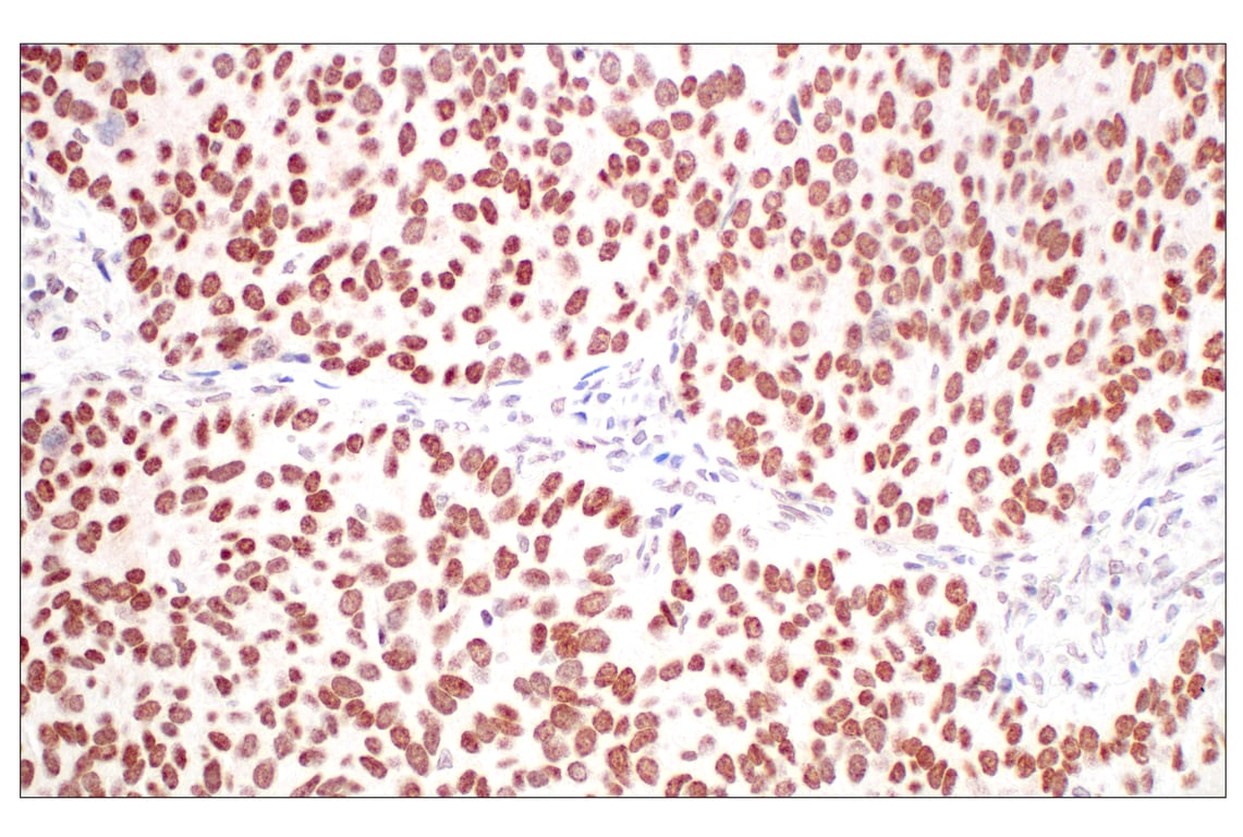
Immunohistochemical analysis of paraffin-embedded human B-cell non-Hodgkin lymphoma using Menin (E5P1R) Rabbit mAb.
Immunohistochemistry Image 2: Menin (E5P1R) Rabbit Monoclonal Antibody
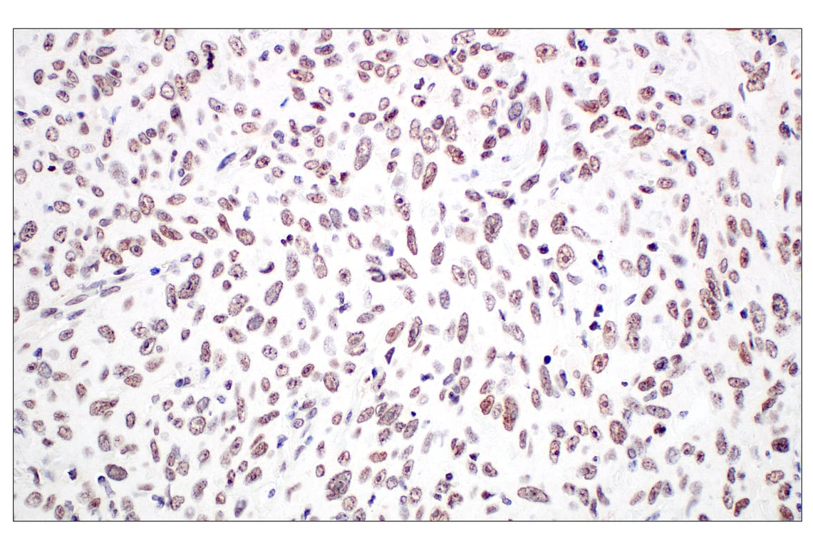
Immunohistochemical analysis of paraffin-embedded human squamous cell carcinoma of the skin using Menin (E5P1R) Rabbit mAb.
Immunohistochemistry Image 3: Menin (E5P1R) Rabbit Monoclonal Antibody
Orders: 877-616-CELL (2355) [email protected] Support: 877-678-TECH (8324) [email protected] Web: cellsignal.com
For Research Use Only. Not for Use in Diagnostic Procedures.

Revision 6

Cell Signaling Technology Logo

Immunohistochemical analysis of paraffin-embedded human papillary thyroid carcinoma using Menin (E5P1R) Rabbit mAb.

Immunohistochemistry Image 4: Menin (E5P1R) Rabbit Monoclonal Antibody
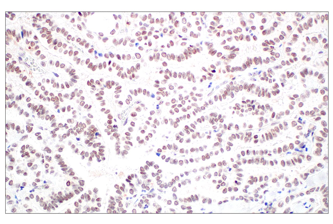
Immunohistochemical analysis of paraffin-embedded human prostate adenocarcinoma using Menin (E5P1R) Rabbit mAb.
Immunohistochemistry Image 5: Menin (E5P1R) Rabbit Monoclonal Antibody
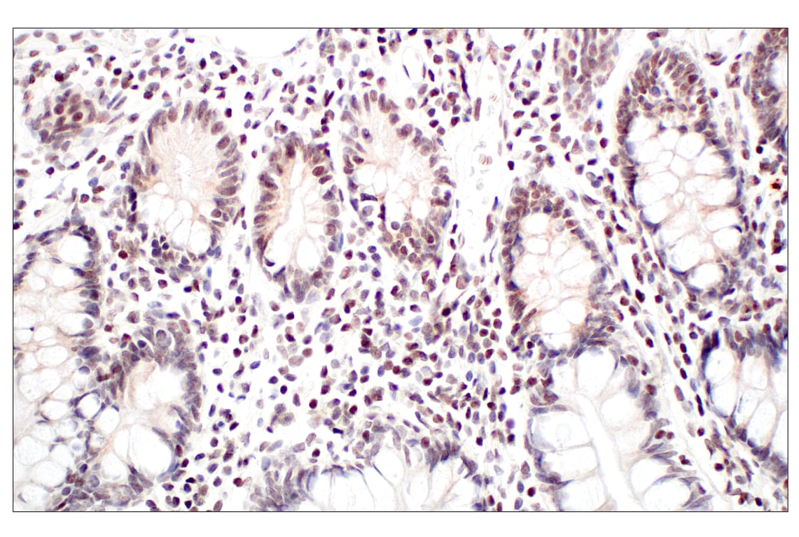
Immunohistochemical analysis of paraffin-embedded normal human small intestine using Menin (E5P1R) Rabbit mAb.
Immunohistochemistry Image 6: Menin (E5P1R) Rabbit Monoclonal Antibody
Orders: 877-616-CELL (2355) [email protected] Support: 877-678-TECH (8324) [email protected] Web: cellsignal.com
For Research Use Only. Not for Use in Diagnostic Procedures.

Revision 6

Cell Signaling Technology Logo
Immunohistochemical analysis of paraffin-embedded normal human testis using Menin (E5P1R) Rabbit mAb (left) compared to concentration-matched Rabbit (DA1E) mAb IgG XP® Isotype Control #3900 (right).
Immunohistochemistry Image 7: Menin (E5P1R) Rabbit Monoclonal Antibody
Immunohistochemical analysis of paraffin-embedded HCT 116 cell pellets, control (left, positive) or CRISPR/Cas9 Menin knockout (KO) (right, negative), using Menin (E5P1R) Rabbit mAb.
Immunohistochemistry Image 8: Menin (E5P1R) Rabbit Monoclonal Antibody
Chromatin immunoprecipitations were performed with cross-linked chromatin from MV-4-11 cells and Menin (E5P1R) Rabbit mAb, using SimpleChIP® Plus Enzymatic Chromatin IP Kit (Magnetic Beads) #9005. DNA Library was prepared using DNA Library Prep Kit for Illumina Systems (ChIP-seq, CUT&RUN) #56795. The figure shows binding across MEIS1, a known target gene of Menin (see additional figure containing ChIP-qPCR data).
Chromatin Immunoprecipitation Image 1: Menin (E5P1R) Rabbit Monoclonal Antibody
Orders: 877-616-CELL (2355) [email protected] Support: 877-678-TECH (8324) [email protected] Web: cellsignal.com
For Research Use Only. Not for Use in Diagnostic Procedures.

Revision 6

Cell Signaling Technology Logo
Chromatin immunoprecipitations were performed with cross-linked
chromatin from MV-4-11 cells and Menin (E5P1R) Rabbit mAb, using
SimpleChIP® Plus Enzymatic Chromatin IP Kit (Magnetic
Beads) #9005. DNA Library was prepared using DNA Library Prep Kit for
Illumina Systems (ChIP-seq, CUT&RUN) #56795. The figures show binding
across chromosome 2 (upper), including MEIS1 (lower), a known target
gene of Menin (see additional figure containing ChIP-qPCR data). 
Chromatin Immunoprecipitation Image 2: Menin (E5P1R) Rabbit Monoclonal Antibody
Chromatin immunoprecipitations were performed with cross-linked chromatin from MV-4-11 cells and either Menin (E5P1R) Rabbit mAb or Normal Rabbit IgG #2729, using SimpleChIP® Plus Enzymatic Chromatin IP Kit (Magnetic Beads) #9005. The enriched DNA was quantified by real-time PCR, using human CDKN2C promoter primers, MEIS1 promoter primers, and SimpleChIP® Human α Satellite Repeat Primers #4486. The amount of immunoprecipitated DNA in each sample is represented as signal relative to the total amount of input chromatin, which is equivalent to one.
Chromatin Immunoprecipitation Image 3: Menin (E5P1R) Rabbit Monoclonal Antibody
Orders: 877-616-CELL (2355) [email protected] Support: 877-678-TECH (8324) [email protected] Web: cellsignal.com
For Research Use Only. Not for Use in Diagnostic Procedures.