Revision 3

#50844

Store at -20C

CST Logo
Orders:

877-616-CELL (2355)

[email protected]

Support:

877-678-TECH (8324)

3 Trask Lane | Danvers | Massachusetts | 01923 | USA

For Research Use Only. Not for Use in Diagnostic Procedures.

Applications:
W

Reactivity:
H M R

Sensitivity:
Endogenous

MW (kDa):
80

Source/Isotype:
Rabbit IgG

UniProt ID:
#Q5U5Q3

Entrez-Gene Id:
51320

Product Usage Information

Application Dilution
Western Blotting 1:1000

Storage

Supplied in 10 mM sodium HEPES (pH 7.5), 150 mM NaCl, 100 µg/ml BSA, 50% glycerol and less than 0.02% sodium azide. Store at –20°C. Do not aliquot the antibody.

Specificity/Sensitivity

MEX3C (D5T2Z) Rabbit Monoclonal Antibody recognizes endogenous levels of total MEX3C protein.

Source / Purification

Monoclonal antibody is produced by immunizing animals with a synthetic peptide corresponding to residues surrounding Ala54 of human MEX3C protein.

Background

MEX3C is an RNA-binding E3 ubiquitin ligase implicated in a diverse set of biological functions.
Along with PIGN and ZNF516, MEX3C has been identified as a suppressor of chromosome instability (CIN), which drives intratumor heterogeneity and has been associated with poor prognosis in colon cancer. Silencing of the Mex3c gene induces chromosome instability through replication stress/impaired replication fork progression (1).
In mice, absence of the Mex3c gene causes growth retardation and reduced insulin-like growth factor 1 (IGF1) expression (2). Researchers have shown that murine MEX3C plays a role in controlling energy expenditure, physical activity and degree of adiposity (3,4). In the immune system, MEX3C is involved in post-transcriptional regulation of HLA-A2 (5), and plays a role in eliciting antiviral response (6).

Species Reactivity

Species reactivity is determined by testing in at least one approved application (e.g., western blot).

Western Blot Buffer

IMPORTANT: For western blots, incubate membrane with diluted primary antibody in 5% w/v BSA, 1X TBS, 0.1% Tween® 20 at 4°C with gentle shaking, overnight.

Applications Key

W: Western Blotting

Cross-Reactivity Key

H: Human M: Mouse R: Rat

Trademarks and Patents

Cell Signaling Technology is a trademark of Cell Signaling Technology, Inc.

All other trademarks are the property of their respective owners. Visit cellsignal.com/trademarks for more information.

Limited Uses

Except as otherwise expressly agreed in a writing signed by a legally authorized representative of CST, the following terms apply to Products provided by CST, its affiliates or its distributors. Any Customer's terms and conditions that are in addition to, or different from, those contained herein, unless separately accepted in writing by a legally authorized representative of CST, are rejected and are of no force or effect.

Products are labeled with For Research Use Only or a similar labeling statement and have not been approved, cleared, or licensed by the FDA or other regulatory foreign or domestic entity, for any purpose. Customer shall not use any Product for any diagnostic or therapeutic purpose, or otherwise in any manner that conflicts with its labeling statement. Products sold or licensed by CST are provided for Customer as the end-user and solely for research and development uses. Any use of Product for diagnostic, prophylactic or therapeutic purposes, or any purchase of Product for resale (alone or as a component) or other commercial purpose, requires a separate license from CST. Customer shall (a) not sell, license, loan, donate or otherwise transfer or make available any Product to any third party, whether alone or in combination with other materials, or use the Products to manufacture any commercial products, (b) not copy, modify, reverse engineer, decompile, disassemble or otherwise attempt to discover the underlying structure or technology of the Products, or use the Products for the purpose of developing any products or services that would compete with CST products or services, (c) not alter or remove from the Products any trademarks, trade names, logos, patent or copyright notices or markings, (d) use the Products solely in accordance with CST Product Terms of Sale and any applicable documentation, and (e) comply with any license, terms of service or similar agreement with respect to any third party products or services used by Customer in connection with the Products.

Orders: 877-616-CELL (2355) [email protected] Support: 877-678-TECH (8324) [email protected] Web: cellsignal.com
For Research Use Only. Not for Use in Diagnostic Procedures.

Revision 3

Cell Signaling Technology Logo
Western blot analysis of extracts frm various cell lines using MEX3C (D5T2Z) Rabbit mAb.
Western Blotting Image 1: MEX3C (D5T2Z) Rabbit Monoclonal Antibody
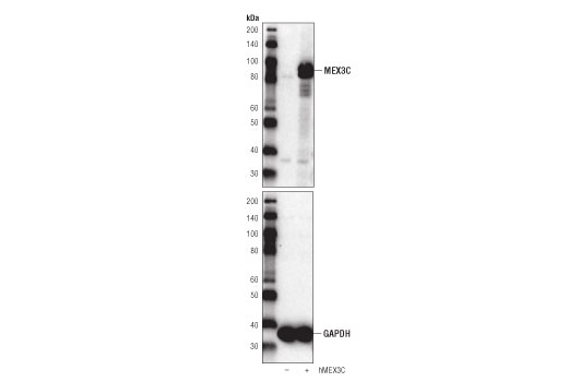
Western blot analysis of extracts from 293T cells, mock transfected or transfected with full-length human MEX3C (hMEX3C), using MEX3C (D5T2Z) Rabbit mAb (upper) or GAPDH (D16H11) Rabbit mAb #5174 (lower).
Western Blotting Image 2: MEX3C (D5T2Z) Rabbit Monoclonal Antibody
Orders: 877-616-CELL (2355) [email protected] Support: 877-678-TECH (8324) [email protected] Web: cellsignal.com
For Research Use Only. Not for Use in Diagnostic Procedures.