Revision 8

#68258

Store at -20C

CST Logo
Orders:

877-616-CELL (2355)

[email protected]

Support:

877-678-TECH (8324)

3 Trask Lane | Danvers | Massachusetts | 01923 | USA

For Research Use Only. Not for Use in Diagnostic Procedures.

Applications:
W, W-S, IP, IHC-Bond, IHC-P, FC-L

Reactivity:
H

Sensitivity:
Endogenous

MW (kDa):
25-35, 50-65

Source/Isotype:
Mouse IgG1

UniProt ID:
#P01911, #P04440

Entrez-Gene Id:
3123, 3115

Product Usage Information

Application Dilution
Western Blotting 1:1000
Simple Western™ 1:10 - 1:50
Immunoprecipitation 1:50
IHC Leica Bond 1:800 - 1:3200
Immunohistochemistry (Paraffin) 1:400 - 1:1600
Flow Cytometry (Live) 1:100 - 1:400

Storage

Supplied in 10 mM sodium HEPES (pH 7.5), 150 mM NaCl, 100 µg/ml BSA, 50% glycerol and less than 0.02% sodium azide. Store at –20°C. Do not aliquot the antibody.

For a carrier free (BSA and azide free) version of this product see product #43816.

Specificity/Sensitivity

MHC Class II (LGII-612.14) Mouse Monoclonal Antibody exhibits strong reactivity with HLA-DRB and weak reactivity with HLA-DPB in cell lines transfected with constructs expressing Myc/DDK-tagged HLA-DRB and HLA-DPB, respectively. Reactivity is not observed with HLA-DMB, HLA-DOB, and HLA-DQB in cell lines transfected with constructs expressing Myc/DDK-tagged HLA-DMB, HLA-DOB, and HLA-DQB.

Source / Purification

Monoclonal antibody is produced by immunizing animals with cultured human B lymphoid cells treated with IFN-gamma.

Background

Major histocompatibility complex class II (MHC class II) molecules are heterodimeric, transmembrane glycoproteins expressed on the surface of antigen-presenting cells, such as macrophages, dendritic cells, and B cells. Expression can also be induced on other cell types through interferon-γ signaling (1). Prior to being displayed on the cell membrane, MHC class II molecules are loaded with exogenous peptide antigens approximately 15-24 amino acids in length that were derived from endocytosed extracellular proteins digested in the lysosome (2). Antigen-presentation through MHC class II is required for T cell activation during the immune response to extracellular pathogens (2). In humans, the MHC class II protein complex is encoded by the human leukocyte antigen gene complex (HLA). HLAs corresponding to MHC class II are HLA-DP, HLA-DM, HLA-DOA, HLA-DOB, HLA-DQ, and HLA-DR (3).

In the literature, this clone is reported to react with HLA-DR, HLA-DP, and HLA-DQ (4).

Species Reactivity

Species reactivity is determined by testing in at least one approved application (e.g., western blot).

Western Blot Buffer

IMPORTANT: For western blots, incubate membrane with diluted primary antibody in 5% w/v nonfat dry milk, 1X TBS, 0.1% Tween® 20 at 4°C with gentle shaking, overnight.

Applications Key

W: Western Blotting W-S: Simple Western™ IP: Immunoprecipitation IHC-Bond: IHC Leica Bond IHC-P: Immunohistochemistry (Paraffin) FC-L: Flow Cytometry (Live)

Cross-Reactivity Key

H: Human

Trademarks and Patents

Cell Signaling Technology is a trademark of Cell Signaling Technology, Inc.

Alexa Fluor is a registered trademark of Life Technologies Corporation.

All other trademarks are the property of their respective owners. Visit cellsignal.com/trademarks for more information.

Limited Uses

Except as otherwise expressly agreed in a writing signed by a legally authorized representative of CST, the following terms apply to Products provided by CST, its affiliates or its distributors. Any Customer's terms and conditions that are in addition to, or different from, those contained herein, unless separately accepted in writing by a legally authorized representative of CST, are rejected and are of no force or effect.

Products are labeled with For Research Use Only or a similar labeling statement and have not been approved, cleared, or licensed by the FDA or other regulatory foreign or domestic entity, for any purpose. Customer shall not use any Product for any diagnostic or therapeutic purpose, or otherwise in any manner that conflicts with its labeling statement. Products sold or licensed by CST are provided for Customer as the end-user and solely for research and development uses. Any use of Product for diagnostic, prophylactic or therapeutic purposes, or any purchase of Product for resale (alone or as a component) or other commercial purpose, requires a separate license from CST. Customer shall (a) not sell, license, loan, donate or otherwise transfer or make available any Product to any third party, whether alone or in combination with other materials, or use the Products to manufacture any commercial products, (b) not copy, modify, reverse engineer, decompile, disassemble or otherwise attempt to discover the underlying structure or technology of the Products, or use the Products for the purpose of developing any products or services that would compete with CST products or services, (c) not alter or remove from the Products any trademarks, trade names, logos, patent or copyright notices or markings, (d) use the Products solely in accordance with CST Product Terms of Sale and any applicable documentation, and (e) comply with any license, terms of service or similar agreement with respect to any third party products or services used by Customer in connection with the Products.

Orders: 877-616-CELL (2355) [email protected] Support: 877-678-TECH (8324) [email protected] Web: cellsignal.com
For Research Use Only. Not for Use in Diagnostic Procedures.

Revision 8

Cell Signaling Technology Logo
Western blot analysis of extracts from various cell lines using MHC Class II (LGII-612.14) Mouse mAb (upper) or β-Actin (D6A8) Rabbit mAb #8457 (lower).
Western Blotting Image 1: MHC Class II (LGII-612.14) Mouse Monoclonal Antibody
Simple Western™ analysis of lysates (0.001 mg/mL) from Karpas299 cells using MHC Class II (LGII-612.14) Mouse mAb #68258. The virtual lane view (left) shows the target (as indicated) at 1:10 and 1:50 dilutions of primary antibody. The corresponding electropherogram view (right) plots chemiluminescence by molecular weight along the capillary at 1:10 (blue line) and 1:50 (green line) dilutions of primary antibody. This experiment was performed under reducing conditions on the Jess™ Simple Western instrument from ProteinSimple, a BioTechne brand, using the 12-230 kDa separation module.
Western Blotting Image 1: MHC Class II (LGII-612.14) Mouse Monoclonal Antibody
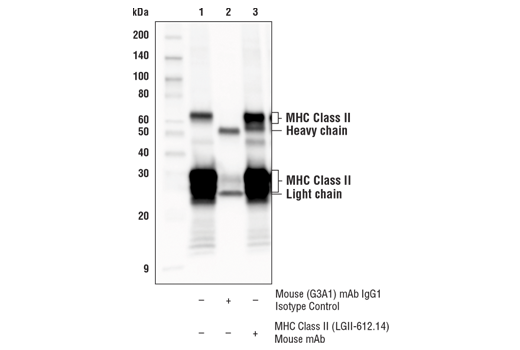
Immunoprecipitation of MHC Class II from Raji cell extracts. Lane 1 is 10% input, lane 2 is Mouse (G3A1) mAb IgG1 Isotype Control #5415, and lane 3 is MHC Class II (LGII-612.14) Mouse mAb. Western blot analysis was performed using MHC Class II (LGII-612.14) Mouse mAb. Anti-mouse IgG, HRP-linked Antibody #7076 was used as the secondary antibody.
Immunoprecipitation Image 1: MHC Class II (LGII-612.14) Mouse Monoclonal Antibody
Orders: 877-616-CELL (2355) [email protected] Support: 877-678-TECH (8324) [email protected] Web: cellsignal.com
For Research Use Only. Not for Use in Diagnostic Procedures.

Revision 8

Cell Signaling Technology Logo
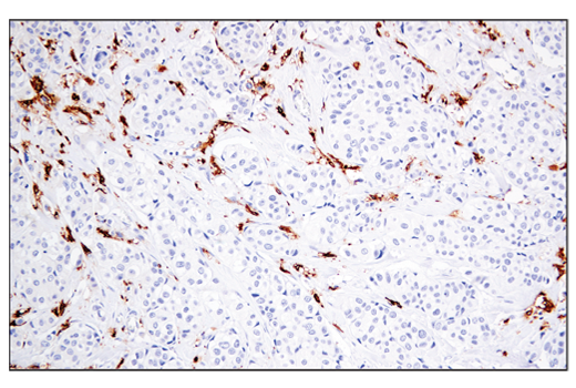
Immunohistochemical analysis of paraffin-embedded human prostate adenocarcinoma using MHC Class II (LGII-612.14) Mouse mAb performed on the Leica® BOND™ Rx.
Immunohistochemistry Image 1: MHC Class II (LGII-612.14) Mouse Monoclonal Antibody
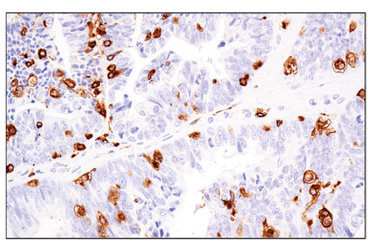
Immunohistochemical analysis of paraffin-embedded human gastric carcinoma using MHC Class II (LGII-612.14) Mouse mAb performed on the Leica® BOND™ Rx.
Immunohistochemistry Image 2: MHC Class II (LGII-612.14) Mouse Monoclonal Antibody
Immunohistochemical analysis of paraffin-embedded human ductal breast carcinoma using MHC Class II (LGII-612.14) Mouse mAb.
Immunohistochemistry Image 1: MHC Class II (LGII-612.14) Mouse Monoclonal Antibody
Orders: 877-616-CELL (2355) [email protected] Support: 877-678-TECH (8324) [email protected] Web: cellsignal.com
For Research Use Only. Not for Use in Diagnostic Procedures.

Revision 8

Cell Signaling Technology Logo
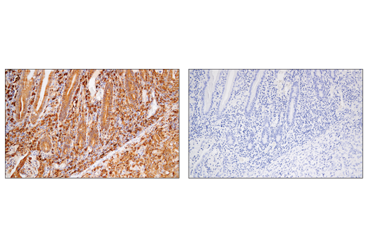
Immunohistochemical analysis of paraffin-embedded human colon carcinoma using MHC Class II (LGII-612.14) Mouse mAb (left) compared to concentration-matched Mouse (G3A1) mAb IgG1 Isotype Control #5415 (right).
Immunohistochemistry Image 2: MHC Class II (LGII-612.14) Mouse Monoclonal Antibody
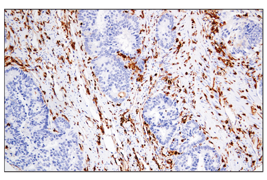
Immunohistochemical analysis of paraffin-embedded human colon adenocarcinoma using MHC Class II (LGII-612.14) Mouse mAb.
Immunohistochemistry Image 3: MHC Class II (LGII-612.14) Mouse Monoclonal Antibody
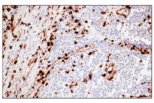
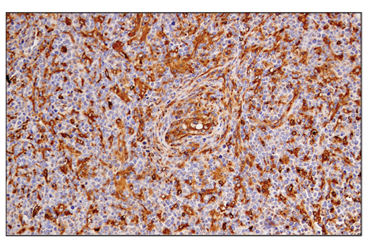
Immunohistochemical analysis of paraffin-embedded human non-Hodgkin lymphoma using MHC Class II (LGII-612.14) Mouse mAb.
Immunohistochemistry Image 4: MHC Class II (LGII-612.14) Mouse Monoclonal Antibody
Orders: 877-616-CELL (2355) [email protected] Support: 877-678-TECH (8324) [email protected] Web: cellsignal.com
For Research Use Only. Not for Use in Diagnostic Procedures.

Revision 8

Cell Signaling Technology Logo
Immunohistochemical analysis of paraffin-embedded human serous papillary carcinoma of the ovary using MHC Class II (LGII-612.14) Mouse mAb.
Immunohistochemistry Image 5: MHC Class II (LGII-612.14) Mouse Monoclonal Antibody
Immunohistochemical analysis of paraffin-embedded Raji cell pellet (left, positive) or Jurkat cell pellet (right, negative) using MHC Class II (LGII-612.14) Mouse mAb.
Immunohistochemistry Image 6: MHC Class II (LGII-612.14) Mouse Monoclonal Antibody
Flow cytometric analysis of Jurkat cells (blue) and Raji cells (green) using MHC Class II (LGII-612.14) Mouse mAb (solid lines) or a concentration-matched Mouse (G3A1) mAb IgG1 Isotype Control #5415 (dashed lines). Anti-mouse IgG (H+L), F(ab')2 Fragment (Alexa Fluor® 488 Conjugate) #4408 was used as a secondary antibody.
Flow Cytometry Image 1: MHC Class II (LGII-612.14) Mouse Monoclonal Antibody
Orders: 877-616-CELL (2355) [email protected] Support: 877-678-TECH (8324) [email protected] Web: cellsignal.com
For Research Use Only. Not for Use in Diagnostic Procedures.