Revision 1

#19171

Store at -20C

CST Logo
Orders:

877-616-CELL (2355)

[email protected]

Support:

877-678-TECH (8324)

3 Trask Lane | Danvers | Massachusetts | 01923 | USA

For Research Use Only. Not for Use in Diagnostic Procedures.

Product Includes Product # Quantity Mol. Wt Isotype/Source
ASC/TMS1 (D2W8U) Rabbit Monoclonal Antibody6782420 µl22 kDaRabbit IgG
HS1 (D5A9) Rabbit Monoclonal Antibody389220 µl80 kDaRabbit IgG
Stat2 (D9J7L) Rabbit Monoclonal Antibody7260420 µl97, 113 kDaRabbit IgG
Phospho-Stat2 (Tyr690) (D3P2P) Rabbit Monoclonal Antibody8841020 µl97, 113 kDaRabbit IgG
Akt3 (E1Z3W) Rabbit Monoclonal Antibody1498220 µl60 kDaRabbit IgG
Phospho-Akt (Ser473) (D9E) Rabbit Monoclonal Antibody406020 µl60 kDaRabbit IgG
Anti-rabbit IgG, HRP-linked Antibody7074100 µlGoat

Please visit cellsignal.com for individual component applications, species cross-reactivity, dilutions, protocols, and additional product information.

Description

The Microglia Interferon-Related Module Antibody Sampler Kit provides an economical means of detecting proteins identified as markers of interferon-related microglial activity by western blot and/or immunofluorescence.

Storage

Supplied in 10 mM sodium HEPES (pH 7.5), 150 mM NaCl, 100 µg/ml BSA, 50% glycerol and less than 0.02% sodium azide. Store at –20°C. Do not aliquot the antibody.

Background

Distinct microglial activation states have been identified using RNA-seq data from a vast array of neurological disease and aging models. These activation states have been categorized into modules corresponding to proliferation, neurodegeneration, interferon-relation, LPS-relation, and many others (1). Previous work identifying markers of specific brain cell types using RNA-seq has shown HS1 and ASC/TMS1 to be useful and specific tools to study microglia (2). HS1 is a protein kinase substrate that is expressed only in tissues and cells of hematopoietic origin (3) and ASC/TMS1 has been found to be a critical component of inflammatory signaling where it associates with and activates caspase-1 in response to pro-inflammatory signals (4).
Stat2 is critical to the transcriptional responses induced by type I interferons, IFN-alpha/beta (5,6). In response to IFN-alpha/beta, Stat2 is activated by phosphorylation at site Tyr690 through associations with receptor-bound Jak kinases (7). Akt is a protein kinase that plays a critical role in controlling survival and apoptosis. Akt is activated by various growth and survival factors to function in a wortmannin-sensitive pathway involving PI3 kinase (8-10) and its activity is shown to be essential for up-regulation of key IFN inducible proteins (11). Akt is activated by phospholipid binding and activation loop phosphorylation at Thr308 by PDK1 (12) and by phosphorylation within the carboxy terminus at Ser473. The previously elusive PDK2 responsible for phosphorylation of Akt at Ser473 has been identified as mammalian target of rapamycin (mTOR) in a rapamycin-insensitive complex with rictor and Sin1 (13,14).

Trademarks and Patents

Cell Signaling Technology is a trademark of Cell Signaling Technology, Inc.

All other trademarks are the property of their respective owners. Visit cellsignal.com/trademarks for more information.

Limited Uses

Except as otherwise expressly agreed in a writing signed by a legally authorized representative of CST, the following terms apply to Products provided by CST, its affiliates or its distributors. Any Customer's terms and conditions that are in addition to, or different from, those contained herein, unless separately accepted in writing by a legally authorized representative of CST, are rejected and are of no force or effect.

Products are labeled with For Research Use Only or a similar labeling statement and have not been approved, cleared, or licensed by the FDA or other regulatory foreign or domestic entity, for any purpose. Customer shall not use any Product for any diagnostic or therapeutic purpose, or otherwise in any manner that conflicts with its labeling statement. Products sold or licensed by CST are provided for Customer as the end-user and solely for research and development uses. Any use of Product for diagnostic, prophylactic or therapeutic purposes, or any purchase of Product for resale (alone or as a component) or other commercial purpose, requires a separate license from CST. Customer shall (a) not sell, license, loan, donate or otherwise transfer or make available any Product to any third party, whether alone or in combination with other materials, or use the Products to manufacture any commercial products, (b) not copy, modify, reverse engineer, decompile, disassemble or otherwise attempt to discover the underlying structure or technology of the Products, or use the Products for the purpose of developing any products or services that would compete with CST products or services, (c) not alter or remove from the Products any trademarks, trade names, logos, patent or copyright notices or markings, (d) use the Products solely in accordance with CST Product Terms of Sale and any applicable documentation, and (e) comply with any license, terms of service or similar agreement with respect to any third party products or services used by Customer in connection with the Products.

Orders: 877-616-CELL (2355) [email protected] Support: 877-678-TECH (8324) [email protected] Web: cellsignal.com
For Research Use Only. Not for Use in Diagnostic Procedures.

Revision 1

Cell Signaling Technology Logo
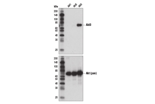
Western blot analysis of extracts from various cell lines and tissues using Akt3 (E1Z3W) Rabbit mAb (upper) and Akt (pan) (C67E7) Rabbit mAb #4691 (lower).
undefined Image 1: Microglia Interferon-Related Module Antibody Sampler Kit
Western blot analysis of cell extracts from Baf3, 32D, and mouse spleen using HS1 (D5A9) XP® Rabbit mAb.
undefined Image 2: Microglia Interferon-Related Module Antibody Sampler Kit
Western blot analysis of extracts from PC-3 cells, untreated or LY294002/wortmannin-treated, and NIH/3T3 cells, serum-starved or PDGF-treated, using Phospho-Akt (Ser473) (D9E) XP® Rabbit mAb (upper) or Akt (pan) (C67E7) Rabbit mAb #4691 (lower).
undefined Image 3: Microglia Interferon-Related Module Antibody Sampler Kit
Orders: 877-616-CELL (2355) [email protected] Support: 877-678-TECH (8324) [email protected] Web: cellsignal.com
For Research Use Only. Not for Use in Diagnostic Procedures.

Revision 1

Cell Signaling Technology Logo
Western blot analysis of extracts from J774A.1 and Raw 264.7 cells using ASC/TMS1 (D2W8U) Rabbit mAb (upper) or β-Actin (D6A8) Rabbit mAb #8457 (lower).
undefined Image 4: Microglia Interferon-Related Module Antibody Sampler Kit
After the primary antibody is bound to the target protein, a complex with HRP-linked secondary antibody is formed. The LumiGLO® is added and emits light during enzyme catalyzed decomposition.
undefined Image 5: Microglia Interferon-Related Module Antibody Sampler Kit
Western blot analysis of extracts from various cell lines using Stat2 (D9J7L) Rabbit mAb. KARPAS cell line source: Dr Abraham Karpas at the University of Cambridge.
undefined Image 6: Microglia Interferon-Related Module Antibody Sampler Kit
Orders: 877-616-CELL (2355) [email protected] Support: 877-678-TECH (8324) [email protected] Web: cellsignal.com
For Research Use Only. Not for Use in Diagnostic Procedures.

Revision 1

Cell Signaling Technology Logo
CUT&RUN was performed with U266 cells treated with Human Interferon-α1 (hIFN-α1) #8927 (10nM, 30min) and Stat2 (D9J7L) Rabbit mAb, using CUT&RUN Assay Kit #86652. DNA Library was prepared using DNA Library Prep Kit for Illumina® (ChIP-seq, CUT&RUN) #56795. The figure shows binding across GAS5 gene.
undefined Image 7: Microglia Interferon-Related Module Antibody Sampler Kit
Western blot analysis of extracts from serum-starved U266 and A-431 cells, untreated (-) or treated with Human Interferon-α1 (hIFN-α1) #8927 (10 ng/ml; +) using Phospho-Stat2 (Tyr690) (D3P2P) Rabbit mAb (upper) and total Stat2 (D9J7L) Rabbit mAb #72604 (lower).
undefined Image 8: Microglia Interferon-Related Module Antibody Sampler Kit
Western blot analysis of recombinant Akt1, Akt2, and Akt3 proteins using Akt3 (E1Z3W) Rabbit mAb (upper) and Akt1 (pan) (C67E7) Rabbit mAb #4691 (lower).
undefined Image 9: Microglia Interferon-Related Module Antibody Sampler Kit
Orders: 877-616-CELL (2355) [email protected] Support: 877-678-TECH (8324) [email protected] Web: cellsignal.com
For Research Use Only. Not for Use in Diagnostic Procedures.

Revision 1

Cell Signaling Technology Logo
Immunohistochemical analysis of paraffin-embedded mouse spleen using HS1 (D5A9) XP® Rabbit mAb.
undefined Image 10: Microglia Interferon-Related Module Antibody Sampler Kit
Immunoprecipitation of phospho-Akt (Ser473) from Jurkat extracts treated with Calyculin A #9902 (100nM, 30 min). Lane 1 is 10% input, lane 2 is Phospho-Akt (Ser473) (D9E) XP® Rabbit mAb, and lane 3 is Rabbit (DA1E) mAb IgG XP® Isotype Control #3900. Western blot analysis was performed with Phospho-Akt (Ser473) (D9E) XP® Rabbit mAb. Anti-rabbit IgG, HRP-linked Antibody #7074 was used as a secondary antibody.
undefined Image 11: Microglia Interferon-Related Module Antibody Sampler Kit
Immunoprecipitation of ASC/TMS1 from J774A.1 cell extracts. Lane 1 is 10% input, lane 2 is Rabbit (DA1E) mAb IgG XP® Isotype Control #3900, and lane 3 is ASC (D2W8U) Rabbit mAb. Western blot analysis was performed using ASC/TMS1 (D2W8U) Rabbit mAb.
undefined Image 12: Microglia Interferon-Related Module Antibody Sampler Kit
Orders: 877-616-CELL (2355) [email protected] Support: 877-678-TECH (8324) [email protected] Web: cellsignal.com
For Research Use Only. Not for Use in Diagnostic Procedures.

Revision 1

Cell Signaling Technology Logo
Immunoprecipitation of Stat2 from KARPAS-299 cell extracts. Lane 1 is 10% input, lane 2 is Rabbit (DA1E) mAb IgG XP® Isotype Control #3900, and lane 3 is Stat2 (D9J7L) Rabbit mAb. Western blot was performed using Stat2 (D9J7L) Rabbit mAb. KARPAS cell line source: Dr Abraham Karpas at the University of Cambridge.
undefined Image 13: Microglia Interferon-Related Module Antibody Sampler Kit
CUT&RUN was performed with U266 cells treated with Human Interferon-α1 (hIFN-α1) #8927 (10nM, 30min) and Stat2 (D9J7L) Rabbit mAb, using CUT&RUN Assay Kit #86652. DNA Library was prepared using DNA Library Prep Kit for Illumina® (ChIP-seq, CUT&RUN) #56795. The figures show binding across chromosome 1 (upper), including GAS5 gene (lower).
undefined Image 14: Microglia Interferon-Related Module Antibody Sampler Kit
Confocal immunofluorescent analysis of A-431 cells, serum starved (left) or treated with IFNα (1000 U/ml for 30 min; right) using Phospho-Stat2 (Tyr690) (D3P2P) Rabbit mAb (green) and β-actin (8H10D10) Mouse mAb #3700 (red).
undefined Image 15: Microglia Interferon-Related Module Antibody Sampler Kit
Orders: 877-616-CELL (2355) [email protected] Support: 877-678-TECH (8324) [email protected] Web: cellsignal.com
For Research Use Only. Not for Use in Diagnostic Procedures.

Revision 1

Cell Signaling Technology Logo
Confocal immunofluorescent analysis of A172 (positive, left) or LNCaP (negative, right) cells using Akt3 (E1Z3W) Rabbit mAb (green). Actin filaments were labeled with DyLight™ 554 Phalloidin #13054 (red). Blue pseudocolor = DRAQ5® #4084 (fluorescent DNA dye).
undefined Image 16: Microglia Interferon-Related Module Antibody Sampler Kit
Immunohistochemical analysis of paraffin-embedded LL2 syngeneic tumor using HS1 (D5A9) XP® Rabbit mAb.
undefined Image 17: Microglia Interferon-Related Module Antibody Sampler Kit
Immunohistochemical analysis of paraffin-embedded human lung carcinoma using Phospho-Akt (Ser473) (D9E) XP® Rabbit mAb.
undefined Image 18: Microglia Interferon-Related Module Antibody Sampler Kit
Orders: 877-616-CELL (2355) [email protected] Support: 877-678-TECH (8324) [email protected] Web: cellsignal.com
For Research Use Only. Not for Use in Diagnostic Procedures.

Revision 1

Cell Signaling Technology Logo
Immunohistochemical analysis of paraffin-embedded J774A.1 cell pellet (left, positive) or RAW 264.7 cell pellet (right, negative) using ASC/TMS1 (D2W8U) Rabbit mAb.
undefined Image 19: Microglia Interferon-Related Module Antibody Sampler Kit
Confocal immunofluorescent analysis of A-431 cells, serum starved (left) or treated with IFNα (1000 U/ml for 30 mins; right) using Stat2 (D9J7L) Rabbit mAb (green). Blue pseudocolor = DRAQ5® #4084 (fluorescent DNA dye).
undefined Image 20: Microglia Interferon-Related Module Antibody Sampler Kit
CUT&RUN was performed with U266 cells treated with Human Interferon-α1 (hIFN-α1) #8927 (10nM, 30min) and either Stat2 (D9J7L) Rabbit mAb or Rabbit (DA1E) mAb IgG XP® Isotype Control (CUT&RUN) #66362, using CUT&RUN Assay Kit #86652. The enriched DNA was quantified by real-time PCR using human SIN3A promoter primers and human ITM2A upstream primers. The amount of immunoprecipitated DNA in each sample is represented as signal relative to the total amount of input chromatin, which is equivalent to one.
undefined Image 21: Microglia Interferon-Related Module Antibody Sampler Kit
Orders: 877-616-CELL (2355) [email protected] Support: 877-678-TECH (8324) [email protected] Web: cellsignal.com
For Research Use Only. Not for Use in Diagnostic Procedures.

Revision 1

Cell Signaling Technology Logo
Flow cytometric analysis of U266 cells, untreated (blue) or treated with IFN-α (green) using Phospho-Stat2 (Tyr690) (D3P2P) Rabbit mAb. Anti-rabbit IgG (H+L), F(ab')2 fragment (Alexa Fluor 488 Conjugate) #4412 was used as a secondary antibody.
undefined Image 22: Microglia Interferon-Related Module Antibody Sampler Kit
Confocal immunofluorescent analysis of fixed frozen mouse cortex from wild-type (left) or an amyloid mouse model of Alzheimer's disease (right) using HS1 (D5A9) XP® Rabbit mAb (green). After blocking free secondary antibody binding sites with Rabbit (DA1E) mAb IgG XP® Isotype Control #3900, the tissue was then labeled using β-Amyloid (D54D2) XP® Rabbit mAb (Alexa Fluor® 594 Conjugate) #35363 (red) and ProLong® Gold Antifade Reagent with DAPI #8961 (blue).
undefined Image 23: Microglia Interferon-Related Module Antibody Sampler Kit
Immunohistochemical analysis of paraffin-embedded human breast carcinoma using Phospho-Akt (Ser473) (D9E) XP® Rabbit mAb.
undefined Image 24: Microglia Interferon-Related Module Antibody Sampler Kit
Orders: 877-616-CELL (2355) [email protected] Support: 877-678-TECH (8324) [email protected] Web: cellsignal.com
For Research Use Only. Not for Use in Diagnostic Procedures.

Revision 1

Cell Signaling Technology Logo
Immunohistochemical analysis of paraffin-embedded mouse forestomach using ASC/TMS1 (D2W8U) Rabbit mAb.
undefined Image 25: Microglia Interferon-Related Module Antibody Sampler Kit
Confocal immunofluorescent analysis of mouse Tg2576 brain which overexpresses mutant human APP695. Sections were first labeled with HS1 (D5A9) XP® Rabbit mAb (green) and APP/β-Amyloid (NAB228) Mouse mAb #2450 (yellow). After blocking free secondary binding sites with Mouse (G3A1) mAb IgG1 Isotype Control #5415, sections were incubated with GFAP (GA5) Mouse mAb (Alexa Fluor® 647 Conjugate) #3657 (red). Nuclei were labeled with Hoechst 33342 #4082 (blue).
undefined Image 26: Microglia Interferon-Related Module Antibody Sampler Kit
Immunohistochemical analysis of paraffin-embedded PTEN heterozygous mutant mouse endometrium using Phospho-Akt (Ser473) (D9E) XP® Rabbit mAb. (Tissue section courtesy of Dr. Sabina Signoretti, Brigham and Women's Hospital, Harvard Medical School, Boston, MA.)
undefined Image 27: Microglia Interferon-Related Module Antibody Sampler Kit
Orders: 877-616-CELL (2355) [email protected] Support: 877-678-TECH (8324) [email protected] Web: cellsignal.com
For Research Use Only. Not for Use in Diagnostic Procedures.

Revision 1

Cell Signaling Technology Logo
Immunohistochemical analysis of paraffin-embedded mouse brain using ASC/TMS1 (D2W8U) Rabbit mAb.
undefined Image 28: Microglia Interferon-Related Module Antibody Sampler Kit
Chromatin immunoprecipitations were performed with cross-linked chromatin from U266 cells treated with Human Interferon-α (IFN-α) #9906 (10nM) for 30 min and Stat2 (D9J7L) Rabbit mAb, using SimpleChIP® Plus Enzymatic Chromatin IP Kit (Magnetic Beads) #9005. DNA Libraries were prepared using DNA Library Prep Kit for Illumina® (ChIP-seq, CUT&RUN) #56795. The figure shows binding across USP18, a known target gene of Stat2 (see additional figure containing ChIP-qPCR data). For additional ChIP-seq tracks, please download the product datasheet.
undefined Image 29: Microglia Interferon-Related Module Antibody Sampler Kit
Confocal immunofluorescent analysis of 32D cells (left) and C2C12 cells (right), using HS1 (D5A9) XP® Rabbit mAb (green). Blue pseudocolor = DRAQ5® #4084 (fluorescent DNA dye).
undefined Image 30: Microglia Interferon-Related Module Antibody Sampler Kit
Orders: 877-616-CELL (2355) [email protected] Support: 877-678-TECH (8324) [email protected] Web: cellsignal.com
For Research Use Only. Not for Use in Diagnostic Procedures.

Revision 1

Cell Signaling Technology Logo
Immunohistochemical analysis of paraffin-embedded MDA-MB-468 xenograft using Phospho-Akt (Ser473) (D9E) XP® Rabbit mAb (left) or PTEN (138G6) Rabbit mAb #9559 (right). Note the presence of P-Akt staining in the PTEN deficient MDA-MB-468 cells.
undefined Image 31: Microglia Interferon-Related Module Antibody Sampler Kit
Immunohistochemical analysis of paraffin-embedded mouse colon using ASC/TMS1 (D2W8U) Rabbit mAb (left) compared to concentration-matched Rabbit (DA1E) mAb IgG XP® Isotype Control #3900 (right).
undefined Image 32: Microglia Interferon-Related Module Antibody Sampler Kit
Chromatin immunoprecipitations were performed with cross-linked chromatin from U266 cells treated with Human Interferon-α (IFN-α) #9906 (10nM) for 30 min and Stat2 (D9J7L) Rabbit mAb, using SimpleChIP® Plus Enzymatic Chromatin IP Kit (Magnetic Beads) #9005. DNA Libraries were prepared using DNA Library Prep Kit for Illumina® (ChIP-seq, CUT&RUN) #56795. The figure shows binding across chromosome 22 (upper), including USP18 (lower), a known target gene of Stat2 (see additional figure containing ChIP-qPCR data).
undefined Image 33: Microglia Interferon-Related Module Antibody Sampler Kit
Orders: 877-616-CELL (2355) [email protected] Support: 877-678-TECH (8324) [email protected] Web: cellsignal.com
For Research Use Only. Not for Use in Diagnostic Procedures.

Revision 1

Cell Signaling Technology Logo
Flow cytometric analysis of NIH/3T3 cells (blue, negative) and 32D clone 3 cells (green, positive) using HS1 (D5A9) XP® Rabbit mAb (solid lines) or concentration-matched Rabbit (DA1E) mAb IgG XP® Isotype Control #3900 (dashed lines). Anti-rabbit IgG (H+L), F(ab')2 Fragment (Alexa Fluor® 488 Conjugate) #4412 was used as a secondary antibody.
undefined Image 34: Microglia Interferon-Related Module Antibody Sampler Kit
Immunohistochemical analysis of paraffin-embedded human breast carcinoma comparing SignalStain® Antibody Diluent #8112 (left) to TBST/5% normal goat serum (right) using Phospho-Akt (Ser473) (D9E) XP® Rabbit mAb #4060.
undefined Image 35: Microglia Interferon-Related Module Antibody Sampler Kit
Immunohistochemical analysis of paraffin-embedded mouse thymus using ASC/TMS1 (D2W8U) Rabbit mAb.
undefined Image 36: Microglia Interferon-Related Module Antibody Sampler Kit
Orders: 877-616-CELL (2355) [email protected] Support: 877-678-TECH (8324) [email protected] Web: cellsignal.com
For Research Use Only. Not for Use in Diagnostic Procedures.

Revision 1

Cell Signaling Technology Logo
Chromatin immunoprecipitations were performed with cross-linked chromatin from U266 cells treated with Human Interferon-α (IFN-α) #9906 (100 ng/ml) for 30 min, and either Stat2 (D9J7L) Rabbit mAb or Normal Rabbit IgG #2729 using SimpleChIP® Enzymatic Chromatin IP Kit (Magnetic Beads) #9003. The enriched DNA was quantified by real-time PCR using human USP18 promoter primers, SimpleChIP® Human WARS Intron 1 Primers #30101, and SimpleChIP® Human α Satellite Repeat Primers #4486. The amount of immunoprecipitated DNA in each sample is represented as signal relative to the total amount of input chromatin, which is equivalent to one.
undefined Image 37: Microglia Interferon-Related Module Antibody Sampler Kit
Immunohistochemical analysis of paraffin-embedded U-87MG xenograft, untreated (left) or lambda phosphatase-treated (right), using Phospho-Akt (Ser473) (D9E) XP® Rabbit mAb.
undefined Image 38: Microglia Interferon-Related Module Antibody Sampler Kit
Immunohistochemical analysis of paraffin-embedded mouse small intestine using ASC/TMS1 (D2W8U) Rabbit mAb.
undefined Image 39: Microglia Interferon-Related Module Antibody Sampler Kit
Orders: 877-616-CELL (2355) [email protected] Support: 877-678-TECH (8324) [email protected] Web: cellsignal.com
For Research Use Only. Not for Use in Diagnostic Procedures.

Revision 1

Cell Signaling Technology Logo
Immunohistochemical analysis using Phospho-Akt (Ser473) (D9E) XP® Rabbit mAb on SignalSlide® Phospho-Akt (Ser473) IHC Controls #8101 (paraffin-embedded LNCaP cells, untreated (left) or LY294002-treated (right)).
undefined Image 40: Microglia Interferon-Related Module Antibody Sampler Kit
Immunohistochemical analysis of paraffin-embedded Renca syngeneic tumor (top left), 4T1 syngeneic mammary tumor (top right), Renca cell pellet (bottom left), and 4T1 cell pellet (bottom right) using ASC/TMS1 (D2W8U) Rabbit mAb. Both tumors show staining of infiltrating immune cells. Note the presence of staining in the Renca tumor cells and the lack of staining in the 4T1 tumor cells consistent with staining results on corresponding cell pellets.
undefined Image 41: Microglia Interferon-Related Module Antibody Sampler Kit
Confocal immunofluorescent analysis of C2C12 cells, LY294002-treated (left) or insulin-treated (right), using Phospho-Akt (Ser473) (D9E) XP® Rabbit mAb (green). Actin filaments have been labeled with Alexa Fluor® 555 phalloidin #8953 (red). Blue pseudocolor = DRAQ5®#4084 (fluorescent DNA dye).
undefined Image 42: Microglia Interferon-Related Module Antibody Sampler Kit
Orders: 877-616-CELL (2355) [email protected] Support: 877-678-TECH (8324) [email protected] Web: cellsignal.com
For Research Use Only. Not for Use in Diagnostic Procedures.

Revision 1

Cell Signaling Technology Logo
Flow cytometric analysis of Jurkat cells, untreated (green) or treated with LY294002 #9901, Wortmannin #9951, and U0126 #9903 (50 μM, 1 μM, and 10 μM, 2 hr; blue) using Phospho-Akt (Ser473) (D9E) XP® Rabbit mAb (solid lines) or concentration-matched Rabbit (DA1E) mAb IgG XP® Isotype Control #3900 (dashed lines). Anti-rabbit IgG (H+L), F(ab')2 Fragment (Alexa Fluor® 488 Conjugate) #4412 was used as a secondary antibody.
undefined Image 43: Microglia Interferon-Related Module Antibody Sampler Kit
Confocal immunofluorescent analysis of mouse Tg2576 brain which overexpresses mutant human APP695. Sections were first labeled with ASC/TMS1 (D2W8U) Rabbit mAb #67824 (green) and APP/β-Amyloid (NAB228) Mouse mAb #2450 (yellow). After blocking free secondary binding sites with Mouse (G3A1) mAb IgG1 Isotype Control #5415, sections were incubated with GFAP (GA5) Mouse mAb (Alexa Fluor® 647 Conjugate) #3657 (red). Nuclei were labeled with Hoechst 33342 #4082 (blue).
undefined Image 44: Microglia Interferon-Related Module Antibody Sampler Kit
Confocal immunofluorescent analysis of mouse primary bone marrow-derived macrophages (BMDMs) either untreated (upper left) or treated with LPS (50 ng/ml, 4 hr, middle) or LPS followed by ATP (5 mM, 45 min, upper right), and J774A.1 (lower left) or Raw 264.7 (lower right) cells, using ASC/TMS1 (D2W8U) Rabbit mAb (green). Blue pseudocolor = DRAQ5® #4084 (fluorescent DNA dye). Note the translocation of ASC to inflammasomes following stimulation with LPS and ATP (white arrows).
undefined Image 45: Microglia Interferon-Related Module Antibody Sampler Kit
Orders: 877-616-CELL (2355) [email protected] Support: 877-678-TECH (8324) [email protected] Web: cellsignal.com
For Research Use Only. Not for Use in Diagnostic Procedures.

Revision 1

Cell Signaling Technology Logo
Flow cytometric analysis of Raw264.7 cells (blue) and J774A.1 cells (green) using ASC/TMS1 (D2W8U) Rabbit mAb (solid lines) or a concentration-matched Rabbit (DA1E) mAb IgG XP® Isotype Control #3900 (dashed lines). Anti-rabbit IgG (H+L), F(ab')2 Fragment (Alexa Fluor® 488 Conjugate) #4412 was used as a secondary antibody.
undefined Image 46: Microglia Interferon-Related Module Antibody Sampler Kit
Immunoprecipitation of HS1 protein from We-HI231 cell extracts. Lane 1 is HS1 (D5A9) XP® Rabbit mAb, lane 2 is Rabbit (DA1E) mAb IgG XP® Isotype Control #3900, and lane 3 is 10% input. Western blot analysis was performed using HS1 (D5A9) XP® Rabbit mAb #3892. Anti-rabbit IgG, HRP-linked Antibody #7074 was used as a secondary antibody.
undefined Image 47: Microglia Interferon-Related Module Antibody Sampler Kit
Simple Western™ analysis of lysates (0.1 mg/mL) from Jurkat cells treated with Calyculin A (100 uM, 30 min) using Phospho-Akt (Ser473) (D9E) XP® Rabbit mAb #4060. The virtual lane view (left) shows a single target band (as indicated) at 1:10 and 1:50 dilutions of primary antibody. The corresponding electropherogram view (right) plots chemiluminescence by molecular weight along the capillary at 1:10 (blue line) and 1:50 (green line) dilutions of primary antibody. This experiment was performed under reducing conditions on the Jess™ Simple Western instrument from ProteinSimple, a BioTechne brand, using the 12-230 kDa separation module.
undefined Image 48: Microglia Interferon-Related Module Antibody Sampler Kit
Orders: 877-616-CELL (2355) [email protected] Support: 877-678-TECH (8324) [email protected] Web: cellsignal.com
For Research Use Only. Not for Use in Diagnostic Procedures.

Revision 1

Cell Signaling Technology Logo

Western blot analysis of extracts from various cell lines, untreated (-) or treated (+) as indicated with human insulin (100 nM, 20 min), mouse PDGF-BB (100 ng/ml, 20 min), or human Insulin-like Growth Factor I (hIGF-I) (100 ng/ml; 5 min), using Phospho-Akt (Ser473) (D9E) XP® Rabbit mAb (upper) or Akt (pan) (C67E7) Rabbit mAb #4691 (lower).

undefined Image 49: Microglia Interferon-Related Module Antibody Sampler Kit
Western blot analysis of extracts from MCF-7 cells, untreated (-) or treated with hIGF-1 (100 ng/ml, 10 min; +), using Akt (pan) (E7J2C) Mouse mAb #58295 (Panel A) and Phospho-Akt (Ser473) (D9E) XP® Rabbit mAb #4060 (Panel B). Anti-mouse IgG (H+L) (DyLight 680 Conjugate) #5470 (red) and Anti-rabbit IgG (H+L) (DyLight 800 4X PEG Conjugate) #5151 (green) were used as secondary antibodies.
undefined Image 50: Microglia Interferon-Related Module Antibody Sampler Kit
Flow cytometric analysis of K-562 cells using Stat2 (D9J7L) Rabbit mAb (solid line) compared to concentration-matched Rabbit (DA1E) mAb IgG XP® Isotype control #3900 (dashed line). Anti-rabbit IgG (H+L), F(ab')2 Fragment (Alexa Fluor® 488 Conjugate) #4412 was used as a secondary antibody.
undefined Image 51: Microglia Interferon-Related Module Antibody Sampler Kit
Orders: 877-616-CELL (2355) [email protected] Support: 877-678-TECH (8324) [email protected] Web: cellsignal.com
For Research Use Only. Not for Use in Diagnostic Procedures.