Revision 1

#49938

Store at -20C

CST Logo
Orders:

877-616-CELL (2355)

[email protected]

Support:

877-678-TECH (8324)

3 Trask Lane | Danvers | Massachusetts | 01923 | USA

For Research Use Only. Not for Use in Diagnostic Procedures.

Product Includes Product # Quantity Mol. Wt Isotype/Source
HS1 (D5A9) Rabbit Monoclonal Antibody389220 µl80 kDaRabbit IgG
ASC/TMS1 (D2W8U) Rabbit Monoclonal Antibody6782420 µl22 kDaRabbit IgG
Ki-67 (D3B5) Rabbit Monoclonal Antibody912920 µlRabbit IgG
MCM2 (D7G11) Rabbit Monoclonal Antibody361920 µl125 kDaRabbit IgG
Survivin (71G4B7) Rabbit Monoclonal Antibody280820 µl16 kDaRabbit IgG
HP1 alpha/beta (C7F11) Rabbit Monoclonal Antibody262320 µl25 kDaRabbit IgG
Phospho-Aurora A (Thr288)/Aurora B (Thr232)/Aurora C (Thr198) (D13A11) Rabbit Monoclonal Antibody291420 µl35, 40, 48 kDaRabbit IgG
Anti-rabbit IgG, HRP-linked Antibody7074100 µlGoat

Please visit cellsignal.com for individual component applications, species cross-reactivity, dilutions, protocols, and additional product information.

Description

The Microglia Proliferation Module Antibody Sampler Kit provides an economical means of detecting proteins identified as markers of microglial proliferation by western blot and/or immunofluorescence.

Storage

Supplied in 10 mM sodium HEPES (pH 7.5), 150 mM NaCl, 100 µg/ml BSA, 50% glycerol and less than 0.02% sodium azide. Store at –20°C. Do not aliquot the antibody.

Background

Distinct microglial activation states have been identified using RNA-seq data from a vast array of neurological disease and aging models. These activation states have been categorized into modules corresponding to proliferation, neurodegeneration, interferon-relation, LPS-relation, and many others (1). Previous work identifying markers of specific brain cell types using RNA-seq has shown HS1 and ASC/TMS1 to be useful and specific tools to study microglia (2). HS1 is a protein kinase substrate that is expressed only in tissues and cells of hematopoietic origin (3) and ASC/TMS1 has been found to be a critical component of inflammatory signaling where it associates with and activates caspase-1 in response to pro-inflammatory signals (4).
Ki-67 is a nuclear nonhistone protein (5) universally expressed among proliferating cells and absent in quiescent cells (6). Minichromosome maintenance protein 2 (MCM2) is a nuclear protein that plays a role in DNA replication and cell division (7) and is commonly used as a marker for cell proliferation, including brain tissue (8). Survivin binds and inhibits caspase-3, controlling the checkpoint in the G2/M-phase of the cell cycle by inhibiting apoptosis and promoting cell division (9). Aurora A, B, and C are a family of highly conserved serine/threonine kinases that regulate chromosomal alignment and segregation during mitosis and meiosis. Their activity requires autophosphorylation of a threonine within their kinase domain at site Thr288 of Aurora A, Thr232 of Aurora B, and Thr198 of Aurora C (10). Heterochromatin protein 1 (HP1) α and β are heterochromatic adaptor molecules involved in both gene silencing and higher order chromatin structure (11).

Trademarks and Patents

Cell Signaling Technology is a trademark of Cell Signaling Technology, Inc.

All other trademarks are the property of their respective owners. Visit cellsignal.com/trademarks for more information.

Limited Uses

Except as otherwise expressly agreed in a writing signed by a legally authorized representative of CST, the following terms apply to Products provided by CST, its affiliates or its distributors. Any Customer's terms and conditions that are in addition to, or different from, those contained herein, unless separately accepted in writing by a legally authorized representative of CST, are rejected and are of no force or effect.

Products are labeled with For Research Use Only or a similar labeling statement and have not been approved, cleared, or licensed by the FDA or other regulatory foreign or domestic entity, for any purpose. Customer shall not use any Product for any diagnostic or therapeutic purpose, or otherwise in any manner that conflicts with its labeling statement. Products sold or licensed by CST are provided for Customer as the end-user and solely for research and development uses. Any use of Product for diagnostic, prophylactic or therapeutic purposes, or any purchase of Product for resale (alone or as a component) or other commercial purpose, requires a separate license from CST. Customer shall (a) not sell, license, loan, donate or otherwise transfer or make available any Product to any third party, whether alone or in combination with other materials, or use the Products to manufacture any commercial products, (b) not copy, modify, reverse engineer, decompile, disassemble or otherwise attempt to discover the underlying structure or technology of the Products, or use the Products for the purpose of developing any products or services that would compete with CST products or services, (c) not alter or remove from the Products any trademarks, trade names, logos, patent or copyright notices or markings, (d) use the Products solely in accordance with CST Product Terms of Sale and any applicable documentation, and (e) comply with any license, terms of service or similar agreement with respect to any third party products or services used by Customer in connection with the Products.

Orders: 877-616-CELL (2355) [email protected] Support: 877-678-TECH (8324) [email protected] Web: cellsignal.com
For Research Use Only. Not for Use in Diagnostic Procedures.

Revision 1

Cell Signaling Technology Logo
Western blot analysis of lysates from HeLa, NIH/3T3, C6 and COS cells using HP1 α (C7F11) Rabbit mAb.
undefined Image 1: Microglia Proliferation Module Antibody Sampler Kit
Western blot analysis of lysates from Raji (human), BaF3 (mouse) and C6 (rat) cell lines using Survivin (71G4B7E) Rabbit mAb.
undefined Image 2: Microglia Proliferation Module Antibody Sampler Kit
Western blot analysis of extracts from HeLa, L929 and C6 cells, treated with 4 mM hydroxyurea for 20 hours to induce G1/S phase or treated with 100 nM paclitaxel or 100 ng/ml nocodazole for 20 hours to induce G2/M phase, using Phospho-Aurora A (Thr288)/Aurora B (Thr232)/Aurora C (Thr198) (D11A13) XP® Rabbit mAb (upper) or Aurora B/AIM1 Antibody #3094 (lower).
undefined Image 3: Microglia Proliferation Module Antibody Sampler Kit
Orders: 877-616-CELL (2355) [email protected] Support: 877-678-TECH (8324) [email protected] Web: cellsignal.com
For Research Use Only. Not for Use in Diagnostic Procedures.

Revision 1

Cell Signaling Technology Logo
Western blot analysis of extracts from various cell types using MCM2 (D7G11) XP® Rabbit mAb.
undefined Image 4: Microglia Proliferation Module Antibody Sampler Kit
Western blot analysis of cell extracts from Baf3, 32D, and mouse spleen using HS1 (D5A9) XP® Rabbit mAb.
undefined Image 5: Microglia Proliferation Module Antibody Sampler Kit
Western blot analysis of extracts from J774A.1 and Raw 264.7 cells using ASC/TMS1 (D2W8U) Rabbit mAb (upper) or β-Actin (D6A8) Rabbit mAb #8457 (lower).
undefined Image 6: Microglia Proliferation Module Antibody Sampler Kit
Orders: 877-616-CELL (2355) [email protected] Support: 877-678-TECH (8324) [email protected] Web: cellsignal.com
For Research Use Only. Not for Use in Diagnostic Procedures.

Revision 1

Cell Signaling Technology Logo
After the primary antibody is bound to the target protein, a complex with HRP-linked secondary antibody is formed. The LumiGLO® is added and emits light during enzyme catalyzed decomposition.
undefined Image 7: Microglia Proliferation Module Antibody Sampler Kit
Confocal immunofluorescent analysis of the ventricular zone in P21 mouse brain using Ki-67 (D3B5) Rabbit mAb (green). Actin filaments were labeled with DyLight™ 554 phalloidin #13054 (red). Blue pseudocolor = DRAQ5® #4084 (fluorescent DNA dye).
undefined Image 8: Microglia Proliferation Module Antibody Sampler Kit
Immunohistochemical analysis of paraffin-embedded human lung carcinoma, showing nuclear localization using HP1 α (C7F11) Rabbit mAb.
undefined Image 9: Microglia Proliferation Module Antibody Sampler Kit
Orders: 877-616-CELL (2355) [email protected] Support: 877-678-TECH (8324) [email protected] Web: cellsignal.com
For Research Use Only. Not for Use in Diagnostic Procedures.

Revision 1

Cell Signaling Technology Logo
Western blot analysis of extracts from HeLa cells, transfected with 100 nM SignalSilence® Control siRNA (Fluorescein Conjugate) #6201 (-) or SignalSilence® Survivin siRNA II (+), using Survivin (71G4B7E) Rabbit mAb #2808 and α-Tubulin (11H10) Rabbit mAb #2125. Survivin (71G4B7E) Rabbit mAb confirms silencing of survivin expression and α-Tubulin (11H10) Rabbit mAb is used to control for loading and specificity of survivin siRNA.
undefined Image 10: Microglia Proliferation Module Antibody Sampler Kit
Confocal immunofluorescent analysis of HT-1080 cells using Phospho-Aurora A (Thr288)/Aurora B (Thr232)/Aurora C (Thr198) (D13A11) XP® Rabbit mAb (green), β-Tubulin (9F3) Rabbit mAb (Alexa Fluor® 555 Conjugate) #2116 (red), and Phospho-Histone H3 (Ser10) (6G3) Mouse mAb #9706 (blue).
undefined Image 11: Microglia Proliferation Module Antibody Sampler Kit
Immunoprecipitation of MCM2 from HeLa cell lysates using MCM2 (D7G11) XP® Rabbit mAb followed by western blot using the same antibody. Lane 1 is 5% input.
undefined Image 12: Microglia Proliferation Module Antibody Sampler Kit
Orders: 877-616-CELL (2355) [email protected] Support: 877-678-TECH (8324) [email protected] Web: cellsignal.com
For Research Use Only. Not for Use in Diagnostic Procedures.

Revision 1

Cell Signaling Technology Logo
Immunohistochemical analysis of paraffin-embedded mouse spleen using HS1 (D5A9) XP® Rabbit mAb.
undefined Image 13: Microglia Proliferation Module Antibody Sampler Kit
Immunoprecipitation of ASC/TMS1 from J774A.1 cell extracts. Lane 1 is 10% input, lane 2 is Rabbit (DA1E) mAb IgG XP® Isotype Control #3900, and lane 3 is ASC (D2W8U) Rabbit mAb. Western blot analysis was performed using ASC/TMS1 (D2W8U) Rabbit mAb.
undefined Image 14: Microglia Proliferation Module Antibody Sampler Kit
Confocal immunofluorescent analysis of HeLa cells using Ki-67 (D3B5) Rabbit mAb (green). Actin filaments were labeled with DY-554 phalloidin (red). Blue pseudocolor = DRAQ5® #4084 (fluorescent DNA dye).
undefined Image 15: Microglia Proliferation Module Antibody Sampler Kit
Orders: 877-616-CELL (2355) [email protected] Support: 877-678-TECH (8324) [email protected] Web: cellsignal.com
For Research Use Only. Not for Use in Diagnostic Procedures.

Revision 1

Cell Signaling Technology Logo
Immunohistochemical analysis of paraffin-embedded human breast carcinoma using HP1 α (C7F11) Rabbit mAb in the presence of control peptide (left) or HP1 alpha blocking peptide #1004 (right).
undefined Image 16: Microglia Proliferation Module Antibody Sampler Kit
Immunohistochemical analysis of paraffin-embedded human transitional epithelial carcinoma of the bladder using Survivin (71G4B7E) Rabbit mAb.
undefined Image 17: Microglia Proliferation Module Antibody Sampler Kit
Flow cytometric analysis of untreated Jurkat cells using Phospho-Aurora A (Thr288)/Aurora B (Thr232)/Aurora C (Thr198) (D13A11) XP® Rabbit mAb compared to propidium iodide (DNA content). The boxed population indicates phospho-Aurora A (Thr288)/Aurora B (Thr232)/Aurora C (Thr198)-positive cells.
undefined Image 18: Microglia Proliferation Module Antibody Sampler Kit
Orders: 877-616-CELL (2355) [email protected] Support: 877-678-TECH (8324) [email protected] Web: cellsignal.com
For Research Use Only. Not for Use in Diagnostic Procedures.

Revision 1

Cell Signaling Technology Logo
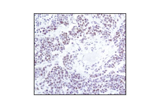
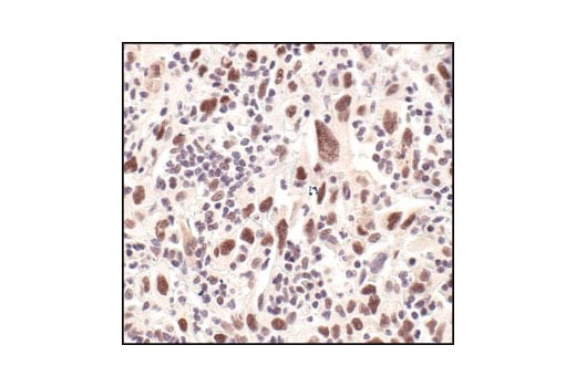
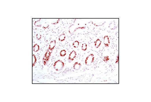
Immunohistochemical analysis of paraffin-embedded human colon carcinoma using MCM2 (D7G11) XP® Rabbit mAb.
undefined Image 19: Microglia Proliferation Module Antibody Sampler Kit
Immunohistochemical analysis of paraffin-embedded LL2 syngeneic tumor using HS1 (D5A9) XP® Rabbit mAb.
undefined Image 20: Microglia Proliferation Module Antibody Sampler Kit
Immunohistochemical analysis of paraffin-embedded J774A.1 cell pellet (left, positive) or RAW 264.7 cell pellet (right, negative) using ASC/TMS1 (D2W8U) Rabbit mAb.
undefined Image 21: Microglia Proliferation Module Antibody Sampler Kit
Orders: 877-616-CELL (2355) [email protected] Support: 877-678-TECH (8324) [email protected] Web: cellsignal.com
For Research Use Only. Not for Use in Diagnostic Procedures.

Revision 1

Cell Signaling Technology Logo
Flow cytometric analysis of Jurkat cells using Ki-67 (D3B5) Rabbit mAb and Propidium Iodide (PI)/RNase Staining Solution #4087. Anti-rabbit IgG (H+L), F(ab')2 Fragment (Alexa Fluor® 488 Conjugate) #4412 was used as a secondary antibody.
undefined Image 22: Microglia Proliferation Module Antibody Sampler Kit
Confocal immunofluorescent analysis of HeLa cells using HP1α (C7F11) Rabbit mAb (green). Actin filaments have been labeled with Alexa Fluor® 555 phalloidin (red).
undefined Image 23: Microglia Proliferation Module Antibody Sampler Kit
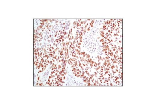
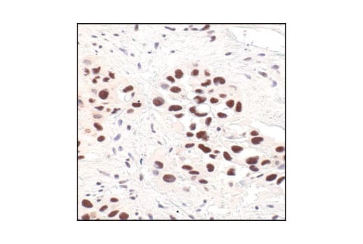
Immunohistochemical analysis of paraffin-embedded human lung carcinoma showing nuclear localization using Survivin (71G4B7E) Rabbit mAb #2808.
undefined Image 24: Microglia Proliferation Module Antibody Sampler Kit
Orders: 877-616-CELL (2355) [email protected] Support: 877-678-TECH (8324) [email protected] Web: cellsignal.com
For Research Use Only. Not for Use in Diagnostic Procedures.

Revision 1

Cell Signaling Technology Logo
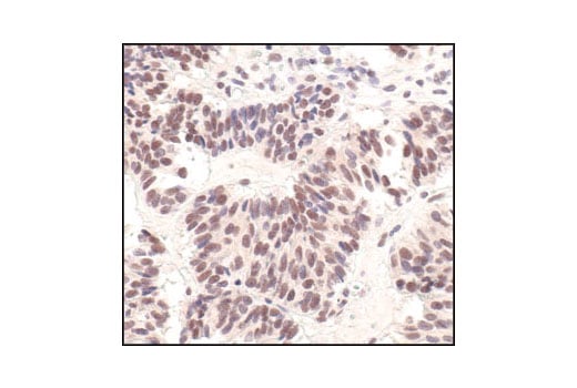
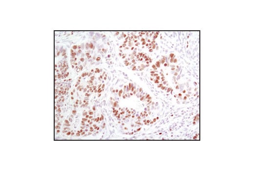
Immunohistochemical analysis of paraffin-embedded human lung carcinoma using MCM2 (D7G11) XP® Rabbit mAb.
undefined Image 25: Microglia Proliferation Module Antibody Sampler Kit
Confocal immunofluorescent analysis of fixed frozen mouse cortex from wild-type (left) or an amyloid mouse model of Alzheimer's disease (right) using HS1 (D5A9) XP® Rabbit mAb (green). After blocking free secondary antibody binding sites with Rabbit (DA1E) mAb IgG XP® Isotype Control #3900, the tissue was then labeled using β-Amyloid (D54D2) XP® Rabbit mAb (Alexa Fluor® 594 Conjugate) #35363 (red) and ProLong® Gold Antifade Reagent with DAPI #8961 (blue).
undefined Image 26: Microglia Proliferation Module Antibody Sampler Kit
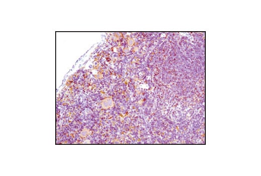
Immunohistochemical analysis of paraffin-embedded mouse forestomach using ASC/TMS1 (D2W8U) Rabbit mAb.
undefined Image 27: Microglia Proliferation Module Antibody Sampler Kit
Orders: 877-616-CELL (2355) [email protected] Support: 877-678-TECH (8324) [email protected] Web: cellsignal.com
For Research Use Only. Not for Use in Diagnostic Procedures.

Revision 1

Cell Signaling Technology Logo
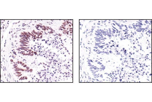
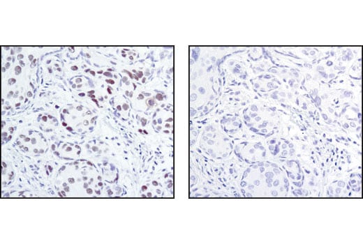
Immunohistochemical analysis of paraffin-embedded human colon carcinoma using Survivin (71G4B7E) Rabbit mAb in the presence of control peptide (left) or Survivin Blocking Peptide #1037 (right).
undefined Image 28: Microglia Proliferation Module Antibody Sampler Kit
Immunohistochemical analysis of paraffin-embedded human small intestine using MCM2 (D7G11) XP® Rabbit mAb.
undefined Image 29: Microglia Proliferation Module Antibody Sampler Kit
Confocal immunofluorescent analysis of mouse Tg2576 brain which overexpresses mutant human APP695. Sections were first labeled with HS1 (D5A9) XP® Rabbit mAb (green) and APP/β-Amyloid (NAB228) Mouse mAb #2450 (yellow). After blocking free secondary binding sites with Mouse (G3A1) mAb IgG1 Isotype Control #5415, sections were incubated with GFAP (GA5) Mouse mAb (Alexa Fluor® 647 Conjugate) #3657 (red). Nuclei were labeled with Hoechst 33342 #4082 (blue).
undefined Image 30: Microglia Proliferation Module Antibody Sampler Kit
Orders: 877-616-CELL (2355) [email protected] Support: 877-678-TECH (8324) [email protected] Web: cellsignal.com
For Research Use Only. Not for Use in Diagnostic Procedures.

Revision 1

Cell Signaling Technology Logo
Immunohistochemical analysis of paraffin-embedded mouse brain using ASC/TMS1 (D2W8U) Rabbit mAb.
undefined Image 31: Microglia Proliferation Module Antibody Sampler Kit
Immunohistochemical analysis of paraffin-embedded human pituitary adenoma using Survivin (71G4B7E) Rabbit mAb.
undefined Image 32: Microglia Proliferation Module Antibody Sampler Kit
Confocal immunofluorescent analysis of HeLa cells using MCM2 (D7G11) XP® Rabbit mAb (green). Actin filaments have been labeled with DY-554 phalloidin (red).
undefined Image 33: Microglia Proliferation Module Antibody Sampler Kit
Orders: 877-616-CELL (2355) [email protected] Support: 877-678-TECH (8324) [email protected] Web: cellsignal.com
For Research Use Only. Not for Use in Diagnostic Procedures.

Revision 1

Cell Signaling Technology Logo
Confocal immunofluorescent analysis of 32D cells (left) and C2C12 cells (right), using HS1 (D5A9) XP® Rabbit mAb (green). Blue pseudocolor = DRAQ5® #4084 (fluorescent DNA dye).
undefined Image 34: Microglia Proliferation Module Antibody Sampler Kit
Immunohistochemical analysis of paraffin-embedded mouse colon using ASC/TMS1 (D2W8U) Rabbit mAb (left) compared to concentration-matched Rabbit (DA1E) mAb IgG XP® Isotype Control #3900 (right).
undefined Image 35: Microglia Proliferation Module Antibody Sampler Kit
Chromatin immunoprecipitations were performed with cross-linked chromatin from HT-1080 cells treated with IFN-γ (50 ng/ml) for 30 minutes, and either MCM2 (D7G11) XP® Rabbit mAb or Normal Rabbit IgG #2729 using SimpleChIP® Enzymatic Chromatin IP Kit (Magnetic Beads) #9003. The enriched DNA was quantified by real-time PCR using SimpleChIP® Human TAP1 Promoter Primers #5148, human IRF-1 promoter primers, and SimpleChIP® Human α Satellite Repeat Primers #4486. The amount of immunoprecipitated DNA in each sample is represented as signal relative to the total amount of input chromatin, which is equivalent to one.
undefined Image 36: Microglia Proliferation Module Antibody Sampler Kit
Orders: 877-616-CELL (2355) [email protected] Support: 877-678-TECH (8324) [email protected] Web: cellsignal.com
For Research Use Only. Not for Use in Diagnostic Procedures.

Revision 1

Cell Signaling Technology Logo
Flow cytometric analysis of NIH/3T3 cells (blue, negative) and 32D clone 3 cells (green, positive) using HS1 (D5A9) XP® Rabbit mAb (solid lines) or concentration-matched Rabbit (DA1E) mAb IgG XP® Isotype Control #3900 (dashed lines). Anti-rabbit IgG (H+L), F(ab')2 Fragment (Alexa Fluor® 488 Conjugate) #4412 was used as a secondary antibody.
undefined Image 37: Microglia Proliferation Module Antibody Sampler Kit
Immunohistochemical analysis of paraffin-embedded mouse thymus using ASC/TMS1 (D2W8U) Rabbit mAb.
undefined Image 38: Microglia Proliferation Module Antibody Sampler Kit
Confocal immunofluorescent analysis of HeLa cells using Survivin (71G4B7E) Rabbit mAb (green). Mitochondria have been labeled with MitoTracker® Red CMXRos (red). Blue pseudocolor = DRAQ5® #4084 (fluorescent DNA dye).
undefined Image 39: Microglia Proliferation Module Antibody Sampler Kit
Orders: 877-616-CELL (2355) [email protected] Support: 877-678-TECH (8324) [email protected] Web: cellsignal.com
For Research Use Only. Not for Use in Diagnostic Procedures.

Revision 1

Cell Signaling Technology Logo
Immunohistochemical analysis of paraffin-embedded mouse small intestine using ASC/TMS1 (D2W8U) Rabbit mAb.
undefined Image 40: Microglia Proliferation Module Antibody Sampler Kit
Flow cytometric analysis of untreated Jurkat cells using Survivin (71G4B7E) Rabbit mAb (blue) compared to a nonspecific negative control antibody (red).
undefined Image 41: Microglia Proliferation Module Antibody Sampler Kit
Immunohistochemical analysis of paraffin-embedded Renca syngeneic tumor (top left), 4T1 syngeneic mammary tumor (top right), Renca cell pellet (bottom left), and 4T1 cell pellet (bottom right) using ASC/TMS1 (D2W8U) Rabbit mAb. Both tumors show staining of infiltrating immune cells. Note the presence of staining in the Renca tumor cells and the lack of staining in the 4T1 tumor cells consistent with staining results on corresponding cell pellets.
undefined Image 42: Microglia Proliferation Module Antibody Sampler Kit
Orders: 877-616-CELL (2355) [email protected] Support: 877-678-TECH (8324) [email protected] Web: cellsignal.com
For Research Use Only. Not for Use in Diagnostic Procedures.

Revision 1

Cell Signaling Technology Logo
Confocal immunofluorescent analysis of mouse Tg2576 brain which overexpresses mutant human APP695. Sections were first labeled with ASC/TMS1 (D2W8U) Rabbit mAb #67824 (green) and APP/β-Amyloid (NAB228) Mouse mAb #2450 (yellow). After blocking free secondary binding sites with Mouse (G3A1) mAb IgG1 Isotype Control #5415, sections were incubated with GFAP (GA5) Mouse mAb (Alexa Fluor® 647 Conjugate) #3657 (red). Nuclei were labeled with Hoechst 33342 #4082 (blue).
undefined Image 43: Microglia Proliferation Module Antibody Sampler Kit
Confocal immunofluorescent analysis of mouse primary bone marrow-derived macrophages (BMDMs) either untreated (upper left) or treated with LPS (50 ng/ml, 4 hr, middle) or LPS followed by ATP (5 mM, 45 min, upper right), and J774A.1 (lower left) or Raw 264.7 (lower right) cells, using ASC/TMS1 (D2W8U) Rabbit mAb (green). Blue pseudocolor = DRAQ5® #4084 (fluorescent DNA dye). Note the translocation of ASC to inflammasomes following stimulation with LPS and ATP (white arrows).
undefined Image 44: Microglia Proliferation Module Antibody Sampler Kit
Flow cytometric analysis of Raw264.7 cells (blue) and J774A.1 cells (green) using ASC/TMS1 (D2W8U) Rabbit mAb (solid lines) or a concentration-matched Rabbit (DA1E) mAb IgG XP® Isotype Control #3900 (dashed lines). Anti-rabbit IgG (H+L), F(ab')2 Fragment (Alexa Fluor® 488 Conjugate) #4412 was used as a secondary antibody.
undefined Image 45: Microglia Proliferation Module Antibody Sampler Kit
Orders: 877-616-CELL (2355) [email protected] Support: 877-678-TECH (8324) [email protected] Web: cellsignal.com
For Research Use Only. Not for Use in Diagnostic Procedures.

Revision 1

Cell Signaling Technology Logo
Simple Western™ analysis of lysates (1.0 mg/mL) from Jurkat cells using Survivin (71G4B7) Rabbit mAb #2808. The virtual lane view (left) shows the target band (as indicated) at 1:50 and 1:250 dilutions of primary antibody. The corresponding electropherogram view (right) plots chemiluminescence by molecular weight along the capillary at 1:50 (blue line) and 1:250 (green line) dilutions of primary antibody. This experiment was performed under reducing conditions on the Jess™ Simple Western instrument from ProteinSimple, a BioTechne brand, using the 12-230 kDa separation module.
undefined Image 46: Microglia Proliferation Module Antibody Sampler Kit
Immunoprecipitation of HS1 protein from We-HI231 cell extracts. Lane 1 is HS1 (D5A9) XP® Rabbit mAb, lane 2 is Rabbit (DA1E) mAb IgG XP® Isotype Control #3900, and lane 3 is 10% input. Western blot analysis was performed using HS1 (D5A9) XP® Rabbit mAb #3892. Anti-rabbit IgG, HRP-linked Antibody #7074 was used as a secondary antibody.
undefined Image 47: Microglia Proliferation Module Antibody Sampler Kit
Orders: 877-616-CELL (2355) [email protected] Support: 877-678-TECH (8324) [email protected] Web: cellsignal.com
For Research Use Only. Not for Use in Diagnostic Procedures.