Revision 2

#43110

Store at -20C

Mitophagy Antibody Sampler Kit

1 Kit

(9 x 20 microliters)

CST Logo
Orders:

877-616-CELL (2355)

[email protected]

Support:

877-678-TECH (8324)

3 Trask Lane | Danvers | Massachusetts | 01923 | USA

For Research Use Only. Not for Use in Diagnostic Procedures.

Product Includes Product # Quantity Mol. Wt Isotype/Source
SQSTM1/p62 (D5E2) Rabbit Monoclonal Antibody802520 µl62 kDaRabbit IgG
NDP52 (D1E4A) Rabbit Monoclonal Antibody6073220 µl52, 60 kDaRabbit IgG
Optineurin (D2L8S) Rabbit Monoclonal Antibody5898120 µl75 kDaRabbit IgG
Parkin (Prk8) Mouse Monoclonal Antibody421120 µl50 kDaMouse IgG2b
PINK1 (D8G3) Rabbit Monoclonal Antibody694620 µl60, 50 kDaRabbit IgG
BNIP3 (D7U1T) Rabbit Monoclonal Antibody4406020 µl22-28, 50-55 kDaRabbit IgG
BNIP3L/Nix (D4R4B) Rabbit Monoclonal Antibody1239620 µl38, 76 kDaRabbit IgG
LC3B (D11) Rabbit Monoclonal Antibody386820 µl14, 16 kDaRabbit IgG
Phospho-Ubiquitin (Ser65) (E2J6T) Rabbit Monoclonal Antibody6280220 µlRabbit IgG
Anti-rabbit IgG, HRP-linked Antibody7074100 µlGoat

Please visit cellsignal.com for individual component applications, species cross-reactivity, dilutions, protocols, and additional product information.

Description

The Mitophagy Antibody Sampler Kit provides an economical means of detecting proteins involved in the process of mitophagy. The kit includes enough primary antibody to perform two western blot experiments with each primary antibody.

Storage

Supplied in 10 mM sodium HEPES (pH 7.5), 150 mM NaCl, 100 µg/ml BSA, 50% glycerol and less than 0.02% sodium azide. Store at –20°C. Do not aliquot the antibodies.

Background

Autophagy is a catabolic process for the autophagosome-lysosomal degradation of bulk cytoplasmic contents (1, 2). Selective autophagy targets the degradation of distinct sets of substrates and organelles (3-5). One of the best studied examples of selective autophagy involves the clearance of damaged mitochondria through a process called mitophagy. Several pathways have been described for various contexts of mitophagy, including the FUNDC1 pathway, the BNIP3 and BNIP3L/Nix pathway, and the PINK1/Parkin pathway. FUNDC1 is a mitochondrial protein that is phosphorylated by the autophagy kinase ULK1 and regulates hypoxia induced mitophagy (6, 7). BNIP3L/Nix and BNIP3 are members of the Bcl-2 family of apoptosis regulators that are expressed on mitochondria, induced by hypoxia, and have been shown to play a role in mitophagy (8). BNIP3L/Nix is also important in the autophagic maturation of erythroid cells (9). FUNDC1, BNIP3 and BNIP3L/Nix bind to LC3 family members, targeting the mitochondria to the autophagosome.

Non-hypoxic induction of mitophagy can be regulated by the PINK1/Parkin pathway, which plays causative roles in neurodegenerative disease, most notably Parkinson’s disease (10, 11). PINK1 is a mitochondrial serine/threonine kinase that is stabilized on the outer mitochondrial membrane of damaged mitochondria. Substrates of PINK1 include the E3 ubiquitin ligase Parkin and ubiquitin itself (12-14). Phosphorylation of Parkin as well as binding to phosphorylated ubiquitin leads to accumulation of ubiquitinated chains on multiple mitochondrial proteins. Ubiquitinated proteins are recognized by selective cargo receptors including SQSTM1/p62, Optineurin, and NDP52 (15-16). Autophagy cargo receptors contain an LC3-interacting region (LIR) required for binding to Atg8/LC3 family members and targeting to the autophagosome (3).

Trademarks and Patents

Cell Signaling Technology is a trademark of Cell Signaling Technology, Inc.

All other trademarks are the property of their respective owners. Visit cellsignal.com/trademarks for more information.

Limited Uses

Except as otherwise expressly agreed in a writing signed by a legally authorized representative of CST, the following terms apply to Products provided by CST, its affiliates or its distributors. Any Customer's terms and conditions that are in addition to, or different from, those contained herein, unless separately accepted in writing by a legally authorized representative of CST, are rejected and are of no force or effect.

Products are labeled with For Research Use Only or a similar labeling statement and have not been approved, cleared, or licensed by the FDA or other regulatory foreign or domestic entity, for any purpose. Customer shall not use any Product for any diagnostic or therapeutic purpose, or otherwise in any manner that conflicts with its labeling statement. Products sold or licensed by CST are provided for Customer as the end-user and solely for research and development uses. Any use of Product for diagnostic, prophylactic or therapeutic purposes, or any purchase of Product for resale (alone or as a component) or other commercial purpose, requires a separate license from CST. Customer shall (a) not sell, license, loan, donate or otherwise transfer or make available any Product to any third party, whether alone or in combination with other materials, or use the Products to manufacture any commercial products, (b) not copy, modify, reverse engineer, decompile, disassemble or otherwise attempt to discover the underlying structure or technology of the Products, or use the Products for the purpose of developing any products or services that would compete with CST products or services, (c) not alter or remove from the Products any trademarks, trade names, logos, patent or copyright notices or markings, (d) use the Products solely in accordance with CST Product Terms of Sale and any applicable documentation, and (e) comply with any license, terms of service or similar agreement with respect to any third party products or services used by Customer in connection with the Products.

Orders: 877-616-CELL (2355) [email protected] Support: 877-678-TECH (8324) [email protected] Web: cellsignal.com
For Research Use Only. Not for Use in Diagnostic Procedures.

Revision 2

Cell Signaling Technology Logo
Western blot analysis of A172 and HeLa cells, untreated (-) or cobalt chloride-treated (100 μM, overnight; +), using BNIP3L/Nix (D4R4B) Rabbit mAb (upper) or β-Actin (D6A8) Rabbit mAb #8457 (lower).
undefined Image 1: Mitophagy Antibody Sampler Kit
Western blot analysis of extracts from HCT 116 and HCT 116 LC3B knockout cells, untreated (-) or treated with Chloroquine #14774 (50 μM, 18 hr) using LC3B (D11) XP® Rabbit mAb #3868 (upper) or GAPDH (D16H11) XP® Rabbit mAb #5174 (lower). The absence of signal in the HCT 116 knockout cells confirms the specificity of the antibody for LC3B.
undefined Image 2: Mitophagy Antibody Sampler Kit
Western blot analysis of extracts from PC12 cells, fetal rat brain and mouse brain, using Parkin (Prk8) Mouse mAb.
undefined Image 3: Mitophagy Antibody Sampler Kit
Orders: 877-616-CELL (2355) [email protected] Support: 877-678-TECH (8324) [email protected] Web: cellsignal.com
For Research Use Only. Not for Use in Diagnostic Procedures.

Revision 2

Cell Signaling Technology Logo
Western blot analysis of extracts from HeLa or MCF7 cells, untreated (-) or cobalt chloride-treated (100 μM, overnight; +), using BNIP3 (D7U1T) Rabbit mAb (upper) or β-Actin (D6A8) Rabbit mAb #8457 (lower).
undefined Image 4: Mitophagy Antibody Sampler Kit
Western blot analysis of extracts from various cell lines using Optineurin (D2L8S) Rabbit mAb (upper) or β-Actin (D6A8) Rabbit mAb #8457 (lower).
undefined Image 5: Mitophagy Antibody Sampler Kit
Western blot analysis of extracts from various cell lines using NDP52 (D1E4A) Rabbit mAb.
undefined Image 6: Mitophagy Antibody Sampler Kit
Orders: 877-616-CELL (2355) [email protected] Support: 877-678-TECH (8324) [email protected] Web: cellsignal.com
For Research Use Only. Not for Use in Diagnostic Procedures.

Revision 2

Cell Signaling Technology Logo
Western blot analysis of extracts from PC-3 cells, untreated (-) or treated with carbonyl cyanide 3-chlorophenylhydrazone (CCCP; 30 μM, 6 hr; +), using Phospho-Ubiquitin (Ser65) (E2J6T) Rabbit mAb (upper), PINK1 (D8G3) Rabbit mAb #6946 (middle), or GAPDH (D16H11) XP® Rabbit mAb #5174 (lower).
undefined Image 7: Mitophagy Antibody Sampler Kit
Western blot analysis of extracts from 293T cells, mock transfected (-) or transfected with a cDNA construct expressing full-length human PINK1 (hPINK1, +) using PINK1 (D8G3) Rabbit mAb.
undefined Image 8: Mitophagy Antibody Sampler Kit
After the primary antibody is bound to the target protein, a complex with HRP-linked secondary antibody is formed. The LumiGLO® is added and emits light during enzyme catalyzed decomposition.
undefined Image 9: Mitophagy Antibody Sampler Kit
Orders: 877-616-CELL (2355) [email protected] Support: 877-678-TECH (8324) [email protected] Web: cellsignal.com
For Research Use Only. Not for Use in Diagnostic Procedures.

Revision 2

Cell Signaling Technology Logo
Western blot analysis of extracts from HeLa cells (lane 1) or SQSTM1 knock-out cells (lane 2) using SQSTM1/p62 (D5E2) Rabbit mAb #8025 (upper), and β-actin (D6A8) Rabbit mAb #8457 (lower). The absence of signal in the SQSTM1 knock-out HeLa cells confirms specificity of the antibody for SQSTM1.
undefined Image 10: Mitophagy Antibody Sampler Kit
Western blot analysis of extracts from various cell lines using BNIP3L/Nix (D4R4B) Rabbit mAb.
undefined Image 11: Mitophagy Antibody Sampler Kit
Western blot analysis of extracts from HeLa cells, transfected with 100 nM SignalSilence® Control siRNA (Unconjugated) #6568 (-), SignalSilence® LC3B siRNA I #6212 (+) or SignalSilence® LC3B siRNA II #6213 (+), using LC3B (D11) XP® Rabbit mAb #3868 and α-Tubulin (11H10) Rabbit mAb #2125. The LC3B (D11) XP® Rabbit mAb confirms silencing of LC3B expression, while the α-Tubulin (11H10) Rabbit mAb is used to control for loading and specificity of LC3B siRNA.
undefined Image 12: Mitophagy Antibody Sampler Kit
Orders: 877-616-CELL (2355) [email protected] Support: 877-678-TECH (8324) [email protected] Web: cellsignal.com
For Research Use Only. Not for Use in Diagnostic Procedures.

Revision 2

Cell Signaling Technology Logo
Immunoprecipitation of Parkin protein from PC12 extracts. Lane 1 is 10% input, lane 2 is Mouse (E7Q5L) mAb IgG2b Isotype Control #53484, and lane 3 is Parkin (Prk8) Mouse mAb. Western blot analysis was performed using Parkin Antibody #2132. Anti-rabbit IgG, HRP-linked Antibody #7074 was used as a secondary antibody.
undefined Image 13: Mitophagy Antibody Sampler Kit
Western blot analysis of extracts from 293T cells, mock transfected (-) or transfected with a construct expressing Myc-tagged full-length human BNIP3 protein (hBNIP3-Myc; +), using BNIP3 (D7U1T) Rabbit mAb.
undefined Image 14: Mitophagy Antibody Sampler Kit
Western blot analysis of extracts from PC-3 cells treated with carbonyl cyanide 3-chlorophenylhydrazone (CCCP; 30 μM, 6 hr ). Lysates were treated with (+) or without (-) Lambda Phosphatase (λ-Phosphatase) and Calf Intestinal Phosphatase (CIP). Western blot was performed using Phospho-Ubiquitin (Ser65) (E2J6T) Rabbit mAb (upper) or β-Actin (D6A8) Rabbit mAb #8457 (lower).
undefined Image 15: Mitophagy Antibody Sampler Kit
Orders: 877-616-CELL (2355) [email protected] Support: 877-678-TECH (8324) [email protected] Web: cellsignal.com
For Research Use Only. Not for Use in Diagnostic Procedures.

Revision 2

Cell Signaling Technology Logo
Western blot analysis of extracts from HeLa cells, untreated (-) or treated with CCCP (10 μM, 24 hr; +), using PINK1 (D8G3) Rabbit mAb.
undefined Image 16: Mitophagy Antibody Sampler Kit
Western blot analysis of extracts from HeLa cells, transfected with 100 nM SignalSilence® Control siRNA (Unconjugated) #6568 (-), SignalSilence® SQSTM1/p62 siRNA I #6394 (+) or SignalSilence® SQSTM1/p62 siRNA II #6399 (+), using SQSTM1/p62 (D5E2) Rabbit mAb (upper) or α-Tubulin (11H10) Rabbit mAb #2125 (lower). The SQSTM1/p62 (D5E2) Rabbit mAb confirms silencing of SQSTM1/p62 expression, while the α-Tubulin (11H10) Rabbit mAb is used as a loading control.
undefined Image 17: Mitophagy Antibody Sampler Kit
Western blot analysis of extracts from 293T cells, mock transfected (-) or transfected with a construct expressing DYKDDDDK-tagged full-length human BNIP3L/Nix (hBNIP3L/Nix-DYKDDDDK; +), using BNIP3L/Nix (D4R4B) Rabbit mAb. The BNIP3L/Nix construct was kindly provided by Dr. Reuben Shaw, Salk Institute for Biological Studies, La Jolla, CA.
undefined Image 18: Mitophagy Antibody Sampler Kit
Orders: 877-616-CELL (2355) [email protected] Support: 877-678-TECH (8324) [email protected] Web: cellsignal.com
For Research Use Only. Not for Use in Diagnostic Procedures.

Revision 2

Cell Signaling Technology Logo
Immunoprecipitation of BNIP3 from MCF7 cells treated with cobalt chloride (100 μM; overnight). Lane 1 represents 10% input, lane 2 is Rabbit (DA1E) mAb IgG XP® Isotype Control #3900, and lane 3 is BNIP3 (D7U1T) Rabbit mAb. Western blot analysis was performed using BNIP3 (D7U1T) Rabbit mAb. A conformation-specific secondary antibody was used to avoid reactivity with IgG.
undefined Image 19: Mitophagy Antibody Sampler Kit
Immunoprecipitation of phospho-ubiquitin (Ser65) from extracts of PC-3 cells treated with carbonyl cyanide 3-chlorophenylhydrazone (CCCP; 30 μM, 6 hr). Lane 1 is 10% input, lane 2 is precipitated with Rabbit (DA1E) mAb IgG XP® Isotype Control #3900, and lane 3 is Phospho-Ubiquitin (Ser65) (E2J6T) Rabbit mAb. Western blot was performed using Phospho-Ubiquitin (Ser65) (E2J6T) Rabbit mAb. Mouse Anti-Rabbit IgG (Conformation Specific) (L27A9) mAb (HRP Conjugate) #5127 was used as a secondary antibody.
undefined Image 20: Mitophagy Antibody Sampler Kit
Western blot analysis of HAP1 extracts from WT or PINK1 KO untreated (-) or treated with CCCP (+) using PINK1 (D8G3) Rabbit mAb. Membranes stained with Ponceau S for total protein normalization (lower). These data were provided by YCharOS Inc., an open science company with the mission of characterizing commercially available antibodies, as a companion to validation data generated by CST scientists.
undefined Image 21: Mitophagy Antibody Sampler Kit
Orders: 877-616-CELL (2355) [email protected] Support: 877-678-TECH (8324) [email protected] Web: cellsignal.com
For Research Use Only. Not for Use in Diagnostic Procedures.

Revision 2

Cell Signaling Technology Logo
Western blot analysis of extracts from various cell lines using SQSTM1/p62 (D5E2) Rabbit mAb.
undefined Image 22: Mitophagy Antibody Sampler Kit
Immunoprecipitation of BNIP3L/Nix from A172 cells, treated with cobalt chloride (100 μM, overnight), using Rabbit (DA1E) mAb IgG XP® Isotype Control #3900 (lane 2) or BNIP3L/Nix (D4R4B) Rabbit mAb (lane 3). Lane 1 is 10% input. Western blot analysis was performed using BNIP3L/Nix (D4R4B) Rabbit mAb.
undefined Image 23: Mitophagy Antibody Sampler Kit
Immunohistochemical analysis of paraffin-embedded human non-small cell lung carcinoma using BNIP3 (D7U1T) Rabbit mAb.
undefined Image 24: Mitophagy Antibody Sampler Kit
Orders: 877-616-CELL (2355) [email protected] Support: 877-678-TECH (8324) [email protected] Web: cellsignal.com
For Research Use Only. Not for Use in Diagnostic Procedures.

Revision 2

Cell Signaling Technology Logo
Western blot analysis of extracts from SK-MEL-2 cells, untreated (-) or starved overnight in Earle's Balanced Salt Solution (EBSS) (+), using SQSTM1/p62 (D5E2) Rabbit mAb.
undefined Image 25: Mitophagy Antibody Sampler Kit
Confocal immunofluorescent analysis of A172 cells, untreated (left) or cobalt chloride-treated (100 μM, overnight; right), using BNIP3L/Nix (D4R4B) Rabbit mAb (green). Blue pseudocolor = DRAQ5® #4084 (fluorescent DNA dye).
undefined Image 26: Mitophagy Antibody Sampler Kit
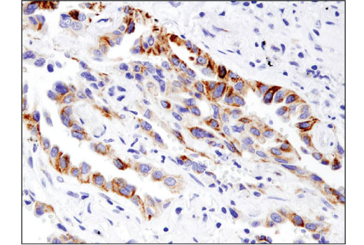
Immunohistochemical analysis of paraffin-embedded human ovarian carcinoma using BNIP3 (D7U1T) Rabbit mAb.
undefined Image 27: Mitophagy Antibody Sampler Kit
Orders: 877-616-CELL (2355) [email protected] Support: 877-678-TECH (8324) [email protected] Web: cellsignal.com
For Research Use Only. Not for Use in Diagnostic Procedures.

Revision 2

Cell Signaling Technology Logo
Western blot analysis of extracts from 293T cells, mock transfected (-) or transfected with a tagged human SQSTM1/p62 construct (+), using SQSTM1/p62 (D5E2) Rabbit mAb.
undefined Image 28: Mitophagy Antibody Sampler Kit
Confocal immunofluorescent analysis of HCT 116 cells either untreated (left) or treated with Chloroquine #14774 (50 µM, overnight) (center) or LC3B HCT 116 knockout cells treated with Chloroquine #14774 (50 µM, overnight) (right) using LC3B (D11) XP® Rabbit mAb (green). Actin filaments were labeled with β-Actin (8H10D10) Mouse mAb (red) and nuclei were labeled with DAPI #4083 (blue).
undefined Image 29: Mitophagy Antibody Sampler Kit
Immunohistochemical analysis of paraffin-embedded MCF7 cell pellets, untreated (left) or cobalt chloride-treated (right), using BNIP3 (D7U1T) Rabbit mAb.
undefined Image 30: Mitophagy Antibody Sampler Kit
Orders: 877-616-CELL (2355) [email protected] Support: 877-678-TECH (8324) [email protected] Web: cellsignal.com
For Research Use Only. Not for Use in Diagnostic Procedures.

Revision 2

Cell Signaling Technology Logo
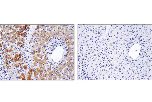
Immunohistochemical analysis of paraffin-embedded normal human liver using BNIP3 (D7U1T) Rabbit mAb in the presence of control peptide (left) and antigen-specific peptide (right).
undefined Image 31: Mitophagy Antibody Sampler Kit
Flow cytometric analysis of HCT-116 cells, wild-type (green, high expression) or LC3B knockdown (blue, negative expression), using LC3B (D11) XP® Rabbit mAb #3868 (solid lines) or a concentration-matched Rabbit (DA1E) mAb IgG XP® Isotype Control #3900 (dashed lines). Anti-rabbit IgG (H+L), F(ab')2 Fragment (Alexa Fluor® 488 Conjugate) #4412 was used as a secondary antibody.
undefined Image 32: Mitophagy Antibody Sampler Kit
Confocal immunofluorescent analysis of HeLa cells, untreated (left) or treated with cobalt chloride (100 μM, 24 hr; right), using BNIP3 (D7U1T) Rabbit mAb (green). Actin filaments were labeled with DyLight™ 554 Phalliodin #13054 (red). Blue pseudocolor = DRAQ5® #4084 (fluorescent DNA dye).
undefined Image 33: Mitophagy Antibody Sampler Kit
Orders: 877-616-CELL (2355) [email protected] Support: 877-678-TECH (8324) [email protected] Web: cellsignal.com
For Research Use Only. Not for Use in Diagnostic Procedures.

Revision 2

Cell Signaling Technology Logo

Simple Western™ analysis of lysates (1mg/ml) from HeLa cells treated with Chloroquine (50uM, O/N) using LC3B (D11) XP® Rabbit mAb #3868. The virtual lane view (left) shows the target band (as indicated) at 1:10 and 1:50 dilutions of primary antibody. The corresponding electropherogram view (right) plots chemiluminescence by molecular weight along the capillary at 1:10 (blue line) and 1:50 (green line) dilutions of primary antibody. This experiment was performed under reducing conditions on the Jess™ Simple Western instrument from ProteinSimple, a BioTechne brand, using the 2-40kDa.

undefined Image 34: Mitophagy Antibody Sampler Kit
Immunoprecipitation of PINK1 protein from PC-3+CCCP extracts. Lane 1 is 10% input, lane 2 is Rabbit (DA1E) mAb IgG XP® Isotype Control, #3900 and lane 3 is PINK1 (D8G3) Rabbit mAb. Western blot analysis was performed using PINK (D8G3) Rabbit mAb, #6946. Anti-rabbit IgG, HRP-linked Antibody, #7074 was used as the secondary antibody.
undefined Image 35: Mitophagy Antibody Sampler Kit
Orders: 877-616-CELL (2355) [email protected] Support: 877-678-TECH (8324) [email protected] Web: cellsignal.com
For Research Use Only. Not for Use in Diagnostic Procedures.