Revision 1

#50116

Store at -20C

CST Logo
Orders:

877-616-CELL (2355)

[email protected]

Support:

877-678-TECH (8324)

3 Trask Lane | Danvers | Massachusetts | 01923 | USA

For Research Use Only. Not for Use in Diagnostic Procedures.

Applications:
W, IHC-P

Reactivity:
M R

Sensitivity:
Endogenous

MW (kDa):
28, 20-22

Source/Isotype:
Rabbit

UniProt ID:
#Q10738

Entrez-Gene Id:
17393

Product Usage Information

This product is the carrier free version of product #3801. All data were generated using the same antibody clone in the standard formulation which contains BSA and glycerol.

This formulation is ideal for use with technologies requiring specialized or custom antibody labeling, including fluorophores, metals, lanthanides, and oligonucleotides. It is not recommended for ChIP, ChIP-seq, CUT&RUN or CUT&Tag assays. If you require a carrier free formulation for chromatin profiling, please contact us. Optimal dilutions/concentrations should be determined by the end user.

BSA and Azide Free antibodies are quality control tested by size exclusion chromatography (SEC) to determine antibody integrity.

Formulation

Supplied in 1X PBS (10 mM Na2HPO4, 3 mM KCl, 2 mM KH2PO4, and 140 mM NaCl (pH 7.8)). BSA and Azide Free.

For standard formulation of this product see product #3801

Storage

Store at -20°C. This product will freeze at -20°C so it is recommended to aliquot into single-use vials to avoid multiple freeze/thaw cycles. A slight precipitate may be present and can be dissolved by gently vortexing. This will not interfere with antibody performance.

Specificity/Sensitivity

MMP-7 (D4H5) Rabbit Monoclonal Antibody (BSA and Azide Free) detects endogenous levels of total MMP-7 protein.

Source / Purification

Monoclonal antibody is produced by immunizing animals with a synthetic peptide corresponding to residues surrounding Ile264 of mouse MMP-7 protein.

Background

The matrix metalloproteinases (MMPs) are a family of proteases that target many extracellular proteins including other proteases, growth factors, cell surface receptors, and adhesion molecules (1). Among the family members, MMP-2, MMP-3, MMP-7, and MMP-9 have been characterized as important factors for normal tissue remodeling during embryonic development, wound healing, tumor invasion, angiogenesis, carcinogenesis, and apoptosis (2-4). Research studies have shown that MMP activity correlates with cancer development (2). One mechanism of MMP regulation is transcriptional (5). Once synthesized, MMP exists as a latent proenzyme. Maximum MMP activity requires proteolytic cleavage to generate active MMPs by releasing the inhibitory propeptide domain from the full-length protein (5).

Species Reactivity

Species reactivity is determined by testing in at least one approved application (e.g., western blot).

Applications Key

W: Western Blotting IHC-P: Immunohistochemistry (Paraffin)

Cross-Reactivity Key

M: Mouse R: Rat

Trademarks and Patents

Cell Signaling Technology is a trademark of Cell Signaling Technology, Inc.

All other trademarks are the property of their respective owners. Visit cellsignal.com/trademarks for more information.

Limited Uses

Except as otherwise expressly agreed in a writing signed by a legally authorized representative of CST, the following terms apply to Products provided by CST, its affiliates or its distributors. Any Customer's terms and conditions that are in addition to, or different from, those contained herein, unless separately accepted in writing by a legally authorized representative of CST, are rejected and are of no force or effect.

Products are labeled with For Research Use Only or a similar labeling statement and have not been approved, cleared, or licensed by the FDA or other regulatory foreign or domestic entity, for any purpose. Customer shall not use any Product for any diagnostic or therapeutic purpose, or otherwise in any manner that conflicts with its labeling statement. Products sold or licensed by CST are provided for Customer as the end-user and solely for research and development uses. Any use of Product for diagnostic, prophylactic or therapeutic purposes, or any purchase of Product for resale (alone or as a component) or other commercial purpose, requires a separate license from CST. Customer shall (a) not sell, license, loan, donate or otherwise transfer or make available any Product to any third party, whether alone or in combination with other materials, or use the Products to manufacture any commercial products, (b) not copy, modify, reverse engineer, decompile, disassemble or otherwise attempt to discover the underlying structure or technology of the Products, or use the Products for the purpose of developing any products or services that would compete with CST products or services, (c) not alter or remove from the Products any trademarks, trade names, logos, patent or copyright notices or markings, (d) use the Products solely in accordance with CST Product Terms of Sale and any applicable documentation, and (e) comply with any license, terms of service or similar agreement with respect to any third party products or services used by Customer in connection with the Products.

Orders: 877-616-CELL (2355) [email protected] Support: 877-678-TECH (8324) [email protected] Web: cellsignal.com
For Research Use Only. Not for Use in Diagnostic Procedures.

Revision 1

Cell Signaling Technology Logo
Western blot analysis of extracts mouse intestine (MMP-7 positive), mouse colon (MMP-7 negative) and rat prostate (MMP-7 positive) tissues using MMP-7 (D4H5) XP® Rabbit mAb. Data were generated using the standard formulation of this product.
Western Blotting Image 1: MMP-7 (D4H5) Rabbit Monoclonal Antibody (BSA and Azide Free)
Western blot analysis of extracts from COS cells, untransfected or transfected with mouse MMP-7, using MMP-7 (D4H5) XP® Rabbit mAb. Data were generated using the standard formulation of this product.
Western Blotting Image 2: MMP-7 (D4H5) Rabbit Monoclonal Antibody (BSA and Azide Free)
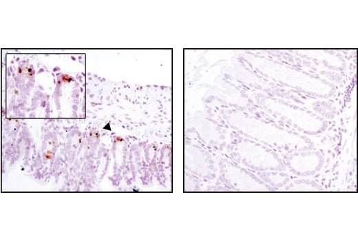
Immunohistochemical analysis of paraffin-embedded mouse small intestine (positive, left) and mouse colon (negative, right) using MMP-7 (D4H5) XP® Rabbit mAb. Data were generated using the standard formulation of this product.
Immunohistochemistry Image 1: MMP-7 (D4H5) Rabbit Monoclonal Antibody (BSA and Azide Free)
Orders: 877-616-CELL (2355) [email protected] Support: 877-678-TECH (8324) [email protected] Web: cellsignal.com
For Research Use Only. Not for Use in Diagnostic Procedures.