Revision 2

#78399

Store at -20C

CST Logo
Orders:

877-616-CELL (2355)

[email protected]

Support:

877-678-TECH (8324)

3 Trask Lane | Danvers | Massachusetts | 01923 | USA

For Research Use Only. Not for Use in Diagnostic Procedures.

Applications:
W, IP, IHC-P

Reactivity:
H

Sensitivity:
Endogenous (IHC-P), Transfected (W)

MW (kDa):
70

Source/Isotype:
Rabbit IgG

UniProt ID:
#P22894

Entrez-Gene Id:
4317

Product Usage Information

Application Dilution
Western Blotting 1:1000
Immunoprecipitation 1:100
Immunohistochemistry (Paraffin) 1:200 - 1:800

Storage

Supplied in 10 mM sodium HEPES (pH 7.5), 150 mM NaCl, 100 µg/ml BSA, 50% glycerol and less than 0.02% sodium azide. Store at –20°C. Do not aliquot the antibody.

Specificity/Sensitivity

MMP-8 (E1C4L) Rabbit Monoclonal Antibody recognizes endogenous levels of total MMP-8 protein by IHC-P and transfected levels of MMP-8 protein by Western blot. Non-specific staining was observed in human salivary gland by immunohistochemistry.

Source / Purification

Monoclonal antibody is produced by immunizing animals with recombinant protein specific to the amino terminus of human MMP-8 protein.

Background

The matrix metalloproteinases (MMPs) are a family of proteases that target many extracellular proteins including other proteases, growth factors, cell surface receptors, and adhesion molecules (1). Among the family members, MMP-2, MMP-3, MMP-7, and MMP-9 have been characterized as important factors for normal tissue remodeling during embryonic development, wound healing, tumor invasion, angiogenesis, carcinogenesis, and apoptosis (2-4). Research studies have shown that MMP activity correlates with cancer development (2). One mechanism of MMP regulation is transcriptional (5). Once synthesized, MMP exists as a latent proenzyme. Maximum MMP activity requires proteolytic cleavage to generate active MMPs by releasing the inhibitory propeptide domain from the full-length protein (5). MMP-8 is also known as Neutrophil Collagenase as it is stored in special granules in neutrophils. Like other MMPs, it also cleaves fibrillar collagens. It also is implicated in various cancers and is thought to be pro-tumorigenic (6).

Species Reactivity

Species reactivity is determined by testing in at least one approved application (e.g., western blot).

Western Blot Buffer

IMPORTANT: For western blots, incubate membrane with diluted primary antibody in 5% w/v BSA, 1X TBS, 0.1% Tween® 20 at 4°C with gentle shaking, overnight.

Applications Key

W: Western Blotting IP: Immunoprecipitation IHC-P: Immunohistochemistry (Paraffin)

Cross-Reactivity Key

H: Human

Trademarks and Patents

Cell Signaling Technology is a trademark of Cell Signaling Technology, Inc.

SignalStain is a registered trademark of Cell Signaling Technology, Inc.

All other trademarks are the property of their respective owners. Visit cellsignal.com/trademarks for more information.

Limited Uses

Except as otherwise expressly agreed in a writing signed by a legally authorized representative of CST, the following terms apply to Products provided by CST, its affiliates or its distributors. Any Customer's terms and conditions that are in addition to, or different from, those contained herein, unless separately accepted in writing by a legally authorized representative of CST, are rejected and are of no force or effect.

Products are labeled with For Research Use Only or a similar labeling statement and have not been approved, cleared, or licensed by the FDA or other regulatory foreign or domestic entity, for any purpose. Customer shall not use any Product for any diagnostic or therapeutic purpose, or otherwise in any manner that conflicts with its labeling statement. Products sold or licensed by CST are provided for Customer as the end-user and solely for research and development uses. Any use of Product for diagnostic, prophylactic or therapeutic purposes, or any purchase of Product for resale (alone or as a component) or other commercial purpose, requires a separate license from CST. Customer shall (a) not sell, license, loan, donate or otherwise transfer or make available any Product to any third party, whether alone or in combination with other materials, or use the Products to manufacture any commercial products, (b) not copy, modify, reverse engineer, decompile, disassemble or otherwise attempt to discover the underlying structure or technology of the Products, or use the Products for the purpose of developing any products or services that would compete with CST products or services, (c) not alter or remove from the Products any trademarks, trade names, logos, patent or copyright notices or markings, (d) use the Products solely in accordance with CST Product Terms of Sale and any applicable documentation, and (e) comply with any license, terms of service or similar agreement with respect to any third party products or services used by Customer in connection with the Products.

Orders: 877-616-CELL (2355) [email protected] Support: 877-678-TECH (8324) [email protected] Web: cellsignal.com
For Research Use Only. Not for Use in Diagnostic Procedures.

Revision 2

Cell Signaling Technology Logo
Western blot analysis of extracts from 293T cells, mock transfected (lane 1), or transiently transfected with Myc/DDK-tagged MMP-8 (lane2), using MMP-8 (E1C4L) Rabbit mAb (upper) and β-Actin (D6A8) Rabbit mAb #8457 (lower).
Western Blotting Image 1: MMP-8 (E1C4L) Rabbit Monoclonal Antibody
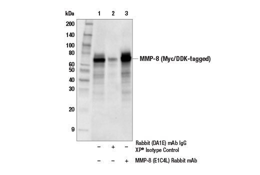
Immunoprecipitation of MMP-8 protein from extracts of 293T cells transiently transfected with plasmid encoding Myc/DDK-tagged MMP-8. Lane 1 is 10% input, lane 2 is Rabbit (DA1E) mAb IgG XP® Isotype Control #3900, and lane 3 is MMP-8 (E1C4L) Rabbit mAb. Western blot analysis was performed using MMP-8 (E1C4L) Rabbit mAb. Mouse Anti-rabbit IgG (Conformation Specific) (L27A9) mAb (HRP Conjugate) #5127 was used as the secondary antibody.
Immunoprecipitation Image 1: MMP-8 (E1C4L) Rabbit Monoclonal Antibody
Immunohistochemical analysis of paraffin-embedded normal human spleen using MMP-8 (E1C4L) Rabbit mAb.
Immunohistochemistry Image 1: MMP-8 (E1C4L) Rabbit Monoclonal Antibody
Orders: 877-616-CELL (2355) [email protected] Support: 877-678-TECH (8324) [email protected] Web: cellsignal.com
For Research Use Only. Not for Use in Diagnostic Procedures.

Revision 2

Cell Signaling Technology Logo
Immunohistochemical analysis of paraffin-embedded human colon adenocarcinoma using MMP-8 (E1C4L) Rabbit mAb.
Immunohistochemistry Image 2: MMP-8 (E1C4L) Rabbit Monoclonal Antibody
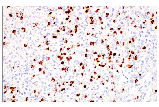
Immunohistochemical analysis of paraffin-embedded human lung sarcoma using MMP-8 (E1C4L) Rabbit mAb.
Immunohistochemistry Image 3: MMP-8 (E1C4L) Rabbit Monoclonal Antibody
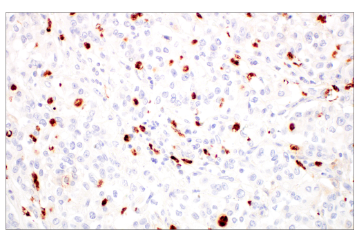
Immunohistochemical analysis of paraffin-embedded human colon adenocarcinoma using MMP-8 (E1C4L) Rabbit mAb.
Immunohistochemistry Image 4: MMP-8 (E1C4L) Rabbit Monoclonal Antibody
Orders: 877-616-CELL (2355) [email protected] Support: 877-678-TECH (8324) [email protected] Web: cellsignal.com
For Research Use Only. Not for Use in Diagnostic Procedures.

Revision 2

Cell Signaling Technology Logo
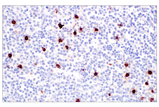
Immunohistochemical analysis of paraffin-embedded human non-Hodgkin lymphoma using MMP-8 (E1C4L) Rabbit mAb.
Immunohistochemistry Image 5: MMP-8 (E1C4L) Rabbit Monoclonal Antibody
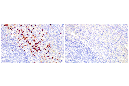
Immunohistochemical analysis of paraffin-embedded human non-Hodgkin lymphoma using MMP-8 (E1C4L) Rabbit mAb (left) compared to concentration-matched Rabbit (DA1E) mAb IgG XP® Isotype Control #3900 (right).
Immunohistochemistry Image 6: MMP-8 (E1C4L) Rabbit Monoclonal Antibody
Immunohistochemical analysis of paraffin-embedded 293T cell pellet, MMP-8-transfected (left) or untransfected (right), using MMP-8 (E1C4L) Rabbit mAb.
Immunohistochemistry Image 7: MMP-8 (E1C4L) Rabbit Monoclonal Antibody
Orders: 877-616-CELL (2355) [email protected] Support: 877-678-TECH (8324) [email protected] Web: cellsignal.com
For Research Use Only. Not for Use in Diagnostic Procedures.