Revision 2

#48734

Store at -20C

CST Logo
Orders:

877-616-CELL (2355)

[email protected]

Support:

877-678-TECH (8324)

3 Trask Lane | Danvers | Massachusetts | 01923 | USA

For Research Use Only. Not for Use in Diagnostic Procedures.

Product Includes Product # Quantity Mol. Wt Isotype/Source
Cleaved Caspase-3 (Asp175) (5A1E) Rabbit Monoclonal Antibody966420 µl17, 19 kDaRabbit IgG
Cleaved PARP (Asp214) (D6X6X) Rabbit Monoclonal Antibody9488520 µl89 kDaRabbit IgG
Phospho-RIP (Ser166) (E7G6O) Rabbit Monoclonal Antibody5328620 µl78 kDaRabbit IgG
Phospho-RIP3 (Thr231/Ser232) (E7S1R) Rabbit Monoclonal Antibody9170220 µl46-62 kDaRabbit IgG
Phospho-MLKL (Ser345) (D6E3G) Rabbit Monoclonal Antibody3733320 µl54 kDaRabbit IgG
Cleaved Gasdermin D (Asp276) (E3E3P) Rabbit Monoclonal Antibody1013720 µl31 kDaRabbit IgG
Cleaved-IL-1 beta (Asp117) (E7V2A) Rabbit Monoclonal Antibody6312420 µl17 kDaRabbit IgG
LC3B (E5Q2K) Mouse Monoclonal Antibody8350620 µl14, 16 kDaMouse IgG2b
SQSTM1/p62 (D6M5X) Rabbit Monoclonal Antibody2321420 µl62 kDaRabbit IgG
Anti-rabbit IgG, HRP-linked Antibody7074100 µlGoat

Please visit cellsignal.com for individual component applications, species cross-reactivity, dilutions, protocols, and additional product information.

Description

The Mouse Reactive Cell Death and Autophagy Antibody Sampler Kit provides an economical means of detecting common readouts in apoptosis, necroptosis, pyroptosis, and autophagy. The kit includes enough antibodies to perform two western blot experiments with each primary antibody.

Storage

Supplied in 10 mM sodium HEPES (pH 7.5), 150 mM NaCl, 100 µg/ml BSA, 50% glycerol and less than 0.02% sodium azide. Store at –20°C. Do not aliquot the antibodies.

Background

Regulated cell death has been classified based on distinct morphological and biochemical pathways (1). Type I cell death, or apoptosis, is characterized by cytoplasmic shrinkage, chromatin condensation, nuclear fragmentation, plasma membrane blebbing, and phagocytic update of dead cells. Apoptosis can occur through extrinsic pathways involving extracellular factors, including the activation of death receptors, or through intrinsic pathways involving intracellular perturbations, including mitochondrial outer membrane permeabilization (2). Both of these apoptotic pathways lead to activation of caspases, a family of cysteine acid proteases that are synthesized as inactive zymogens containing pro-domains, followed by large (p20) and small (p10) subunits which are proteolytically activated in a cascade-like fashion. Caspase-3 is a key downstream protease activated by both extrinsic and intrinsic apoptotic pathways and cleaves a large number of proteins involved in the disassembly of the cell, including poly(ADP-ribose) polymerase (PARP), a protein involved in the DNA damage response.
 
Type II cell death, or autophagy, manifests with extensive cytoplasmic vacuolization, and like apoptosis, can include phagocytic update. Autophagy is a catabolic process for the degradation of cellular components including protein aggregates, damaged organelles, and pathogens (3). The process involves the engulfment of these components into a double membrane structure, the autophagosome, which fuses to the lysosome for degradation. Autophagy requires, and can be monitored by, the conversion of LC3 family members, such as LC3B, from a type I form to a lipidated type II form that is incorporated into the autophagosome membrane and binds to a variety of cargo receptors. Cargo receptors such as SQSTM1/p62 bind LC3 along with ubiquitinated proteins that are targeted for degradation. SQSTM1/p62 is also degraded during this process, and thus its expression is frequently used to monitor this process.

Type III cell death, or necrosis, manifests with plasma membrane permeability with cellular swelling and fragmentation, and lacks a clear phagocytic response which then leads to an inflammatory signaling with the release of damage-associated molecular patterns (DAMPs). Necrosis can be triggered by multiple regulated pathways including necroptosis and pyroptosis. Necroptosis is regulated by the kinase activities of RIP and RIP3 and the pore forming ability of MLKL (4). Necroptosis requires the activation of RIP3 which then phosphorylates MLKL at Ser358 (Ser345 in mouse). Phosphorylation of MLKL leads to generation of a pore complex involved in cell swelling and the secretion of DAMPs. RIP3 activation is triggered through several RIP homotypic interaction motif (RHIM) domain interactions including RIP, TRIF, and ZBP1 and results in the phosphorylation of RIP3 at Ser227 (Thr231/Ser232 in mouse). Canonical necroptosis signaling is mediated by RIP, and this can be inhibited by necrostatins, small molecules that directly inhibit RIP kinase activity. Activation of RIP can be monitored through autophosphorylation sites including Ser166. Pyroptosis is generally induced in cells of the innate immune system, and is characterized by cleavage of Gasdermin D (5). The amino-terminal fragment of Gasdermin D produced following cleavage by inflammatory caspases (Caspase-1, -4, -5), oligomerizes to form a pore. Canonical cleavage of Gasdermin D occurs through a two-step process. The first step involves transcriptional regulation of targets such as NLRP3 and the pro-forms of IL-1β and IL-18. In the second execution step, Caspase-1 is activated through formation of inflammasome complexes. Activated Caspase-1 cleaves Gasdermin D as well as IL-1β and IL-18 to their mature forms, and these active cytokines are secreted through pores formed by Gasdermin D.

Trademarks and Patents

Cell Signaling Technology is a trademark of Cell Signaling Technology, Inc.

All other trademarks are the property of their respective owners. Visit cellsignal.com/trademarks for more information.

Limited Uses

Except as otherwise expressly agreed in a writing signed by a legally authorized representative of CST, the following terms apply to Products provided by CST, its affiliates or its distributors. Any Customer's terms and conditions that are in addition to, or different from, those contained herein, unless separately accepted in writing by a legally authorized representative of CST, are rejected and are of no force or effect.

Products are labeled with For Research Use Only or a similar labeling statement and have not been approved, cleared, or licensed by the FDA or other regulatory foreign or domestic entity, for any purpose. Customer shall not use any Product for any diagnostic or therapeutic purpose, or otherwise in any manner that conflicts with its labeling statement. Products sold or licensed by CST are provided for Customer as the end-user and solely for research and development uses. Any use of Product for diagnostic, prophylactic or therapeutic purposes, or any purchase of Product for resale (alone or as a component) or other commercial purpose, requires a separate license from CST. Customer shall (a) not sell, license, loan, donate or otherwise transfer or make available any Product to any third party, whether alone or in combination with other materials, or use the Products to manufacture any commercial products, (b) not copy, modify, reverse engineer, decompile, disassemble or otherwise attempt to discover the underlying structure or technology of the Products, or use the Products for the purpose of developing any products or services that would compete with CST products or services, (c) not alter or remove from the Products any trademarks, trade names, logos, patent or copyright notices or markings, (d) use the Products solely in accordance with CST Product Terms of Sale and any applicable documentation, and (e) comply with any license, terms of service or similar agreement with respect to any third party products or services used by Customer in connection with the Products.

Orders: 877-616-CELL (2355) [email protected] Support: 877-678-TECH (8324) [email protected] Web: cellsignal.com
For Research Use Only. Not for Use in Diagnostic Procedures.

Revision 2

Cell Signaling Technology Logo
Western blot analysis of extracts from mouse bone marrow derived macrophages (mBMDM), untreated (-) or treated with Lipopolysaccharides (LPS) #14011 (50 ng/ml, 4 hr; +) followed by Nigericin (sodium salt) #66419 (15 μM, indicated times; +), using Cleaved Gasdermin D (Asp276) (E3E3P) Rabbit mAb (upper) or GAPDH (D16H11) XP® Rabbit mAb #5174 (lower).
undefined Image 1: Mouse Reactive Cell Death and Autophagy Antibody Sampler Kit
Western blot analysis of extracts from MEFs from wild-type or SQSTM1/p62 knockout mice using SQSTM1/p62 (D6M5X) Rabbit mAb (upper) or β-Actin (D6A8) Rabbit mAb #8457 (lower). MEF SQSTM1/p62 KO cells were kindly provided by Dr. Junying Yuan, Harvard Medical School, Boston MA.
undefined Image 2: Mouse Reactive Cell Death and Autophagy Antibody Sampler Kit
Orders: 877-616-CELL (2355) [email protected] Support: 877-678-TECH (8324) [email protected] Web: cellsignal.com
For Research Use Only. Not for Use in Diagnostic Procedures.

Revision 2

Cell Signaling Technology Logo
Western blot analysis of L-929 cells, untreated (-), or treated with combinations of the following treatments as indicated: Z-VAD (20 μM, added 30 min prior to other compounds; +), Mouse Tumor Necrosis Factor-α (mTNF-α) (20 ng/ml, 4 hr; +), SM-164 (100 nM, 4 hr; +), and necrostatin-1 (Nec-1, 50 μM, 4 hr; +), using Phospho-MLKL (Ser345) (D6E3G) Rabbit mAb (upper), total MLKL (D6W1K) Rabbit mAb (Mouse Specific) #37705 (middle), or β-Actin (D6A8) Rabbit mAb #8457 (lower).
undefined Image 3: Mouse Reactive Cell Death and Autophagy Antibody Sampler Kit
Orders: 877-616-CELL (2355) [email protected] Support: 877-678-TECH (8324) [email protected] Web: cellsignal.com
For Research Use Only. Not for Use in Diagnostic Procedures.

Revision 2

Cell Signaling Technology Logo
Western blot analysis of extracts from wild-type (WT) MEF or MEF/RIPK1 knockout (KO) cells, untreated (-) or treated with Z-VAD(OMe)-FMK #60332 (20 μM, 30 min) followed by Mouse Tumor Necrosis Factor-α (mTNF-α) (20 ng/ml, 7 hr) and SM-164 (100 nM, 7 hr), using Phospho-RIP (Ser166) (E7G6O) Rabbit mAb (upper), RIP (D94C12) XP® Rabbit mAb #3493 (middle), or GAPDH (D16H11) XP® Rabbit mAb #5174 (lower). MEF/RIPK1 KO cells were kindly provided by Dr. Junying Yuan, Harvard Medical School, Boston, MA.
undefined Image 4: Mouse Reactive Cell Death and Autophagy Antibody Sampler Kit
Western blot analysis of cell extracts and media from mouse bone marrow derived macrophages (mBMDM), untreated (-), or treated (+) with combinations of LPS #14011 (50 ng/ml, 4 hr) followed by nigericin (15 μM, 45 min) using Cleaved-IL-1β (Asp117) (D7V2A) Rabbit mAb (upper) or total IL-1β (E3H1Z) Rabbit mAb #12507 (lower).
undefined Image 5: Mouse Reactive Cell Death and Autophagy Antibody Sampler Kit
After the primary antibody is bound to the target protein, a complex with HRP-linked secondary antibody is formed. The LumiGLO® is added and emits light during enzyme catalyzed decomposition.
undefined Image 6: Mouse Reactive Cell Death and Autophagy Antibody Sampler Kit
Orders: 877-616-CELL (2355) [email protected] Support: 877-678-TECH (8324) [email protected] Web: cellsignal.com
For Research Use Only. Not for Use in Diagnostic Procedures.

Revision 2

Cell Signaling Technology Logo
Western blot analysis of extracts from HCT 116 and HCT 116 LC3B knockout cells, untreated (-) or treated with Chloroquine #14774 (50 μM, 18 hr) using LC3B (E5Q2K) Mouse mAb #83506 (upper) or GAPDH (D16H11) XP® Rabbit mAb #5174 (lower). The absence of signal in the HCT 116 knockout cells confirms the specificity of the antibody for LC3B.
undefined Image 7: Mouse Reactive Cell Death and Autophagy Antibody Sampler Kit
Confocal immunofluorescent analysis of fixed frozen mouse cerebellum, labeled with LC3B (E5Q2K) Mouse mAb #83506 (left, green) and co-labeled with GFAP (E4L7M) XP® Rabbit mAb #80788 (right, red) and DAPI #4083 (right, blue).
undefined Image 8: Mouse Reactive Cell Death and Autophagy Antibody Sampler Kit
Confocal immunofluorescent analysis of fixed frozen mouse pons, labeled with LC3B (E5Q2K) Mouse mAb #83506 (left, green) and co-labeled with GFAP (E4L7M) XP® Rabbit mAb #80788 (right, red) and DAPI #4083 (right, blue).
undefined Image 9: Mouse Reactive Cell Death and Autophagy Antibody Sampler Kit
Orders: 877-616-CELL (2355) [email protected] Support: 877-678-TECH (8324) [email protected] Web: cellsignal.com
For Research Use Only. Not for Use in Diagnostic Procedures.

Revision 2

Cell Signaling Technology Logo
Western blot analysis of L-929 cells, untreated (-), or treated with combinations of the following treatments as indicated: Z-VAD (20 μM, added 30 min prior to other compounds; +), SM-164 (100 nM, 3 hr; +), and mouse TNF-α (20 ng/ml, 3 hr; +), using Phospho-RIP3 (Thr231/Ser232) (E7S1R) Rabbit mAb (upper), RIP3 (D8J3L) Rabbit mAb #15828 (middle), or β-Actin (D6A8) Rabbit mAb #8457 (lower).
undefined Image 10: Mouse Reactive Cell Death and Autophagy Antibody Sampler Kit
Western blot analysis of extracts from serum-starved Neuro-2a cells, untreated (-) or treated with Staurosporine #9953 (1 μM, 3 hr), using Cleaved PARP (Asp214) (D6X6X) Rabbit mAb (Rodent Specific) (upper) or β-Actin (D6A8) Rabbit mAb #8457 (lower).
undefined Image 11: Mouse Reactive Cell Death and Autophagy Antibody Sampler Kit
Western blot analysis of extracts from C2C12 cells, untreated (-) or treated with Chloroquine #14774 (50 μM, overnight) using SQSTM1/p62 (D6M5X) Rabbit mAb (upper) or β-Actin (D6A8) Rabbit mAb #8457 (lower).
undefined Image 12: Mouse Reactive Cell Death and Autophagy Antibody Sampler Kit
Orders: 877-616-CELL (2355) [email protected] Support: 877-678-TECH (8324) [email protected] Web: cellsignal.com
For Research Use Only. Not for Use in Diagnostic Procedures.

Revision 2

Cell Signaling Technology Logo
Confocal immunofluorescent analysis of L-929 cells, untreated (left), pre-treated with Z-VAD (20 μM, 30 min) followed by treatment with SM-164 (100 nM) and Mouse Tumor Necrosis Factor-α (mTNF-α) #5178 (20 ng/mL, 2.5 hr; center) and then post-processed with λ-phosphatase (right), using Phospho-MLKL (Ser345) (D6E3G) Rabbit mAb (green). Red = Propidium Iodide (PI)/RNase Staining Solution #4087 (fluorescent DNA dye).
undefined Image 13: Mouse Reactive Cell Death and Autophagy Antibody Sampler Kit
Orders: 877-616-CELL (2355) [email protected] Support: 877-678-TECH (8324) [email protected] Web: cellsignal.com
For Research Use Only. Not for Use in Diagnostic Procedures.

Revision 2

Cell Signaling Technology Logo
Western blot analysis of extracts from L-929 cells, untreated (-) or treated with Z-VAD(OMe)-FMK #60332 (20 μM, 30 min) followed by Mouse Tumor Necrosis Factor-α (mTNF-α) (20 ng/ml, indicated times) and SM-164 (100 nM, indicated times), using Phospho-RIP (Ser166) (E7G6O) Rabbit mAb (upper), RIP (D94C12) XP® Rabbit mAb #3493 (middle), or β-Actin (D6A8) Rabbit mAb #8457 (lower).
undefined Image 14: Mouse Reactive Cell Death and Autophagy Antibody Sampler Kit
Immunoprecipitation of Cleaved-IL-1β (Asp117) from extracts of media from mouse bone marrow derived macrophages (mBMDM) treated with LPS #14011 (50 ng/ml, 4 hr) followed by nigericin (15 μM, 45 min). Lane 1 is 10% input, lane 2 is Rabbit (DA1E) mAb IgG XP® Isotype Control #3900, and lane 3 is Cleaved-IL-1β (Asp117) (E7V2A) Rabbit mAb. Western blot was performed using Cleaved-IL-1β (Asp117) (E7V2A) Rabbit mAb. Anti-Rabbit IgG, HRP-linked Antibody #7074 was used as a secondary antibody.
undefined Image 15: Mouse Reactive Cell Death and Autophagy Antibody Sampler Kit
Western blot analysis of extracts from HeLa, C2C12, and KNRK cells, untreated (-) or treated with Chloroquine (50 μM, overnight; +) #14774 using LC3B (E5Q2K) Mouse mAb (upper) or β-Actin (D6A8) Rabbit mAb #8457 (lower).
undefined Image 16: Mouse Reactive Cell Death and Autophagy Antibody Sampler Kit
Orders: 877-616-CELL (2355) [email protected] Support: 877-678-TECH (8324) [email protected] Web: cellsignal.com
For Research Use Only. Not for Use in Diagnostic Procedures.

Revision 2

Cell Signaling Technology Logo
Confocal immunofluorescent analysis of L-929 cells, untreated (left), pre-treated with Z-VAD (20 μM, 30 min) followed by treatment with SM-164 (100 nM) and Mouse Tumor Necrosis Factor-α (mTNF-α) (20 ng/mL, 2.25 hr; center), or pre-treated with Z-VAD followed by treatment with SM-164 and hTNF-α and post-processed with λ-phosphatase (right), using Phospho-RIP3 (Thr231/Ser232) (E7S1R) Rabbit mAb (green). Samples were mounted in ProLong® Gold Antifade Reagent with DAPI #8961 (blue).
undefined Image 17: Mouse Reactive Cell Death and Autophagy Antibody Sampler Kit
Western blot analysis of extracts from various cell lines using SQSTM1/p62 (D6M5X) Rabbit mAb.
undefined Image 18: Mouse Reactive Cell Death and Autophagy Antibody Sampler Kit
Western blot analysis of extracts from H9c2(2-1) cells, untreated (-) or treated with Z-VAD(OMe)-FMK #60332 (20 μM, 30 min) followed by Mouse Tumor Necrosis Factor-α (mTNF-α) (20 ng/ml, 4.5 hr) and SM-164 (100 nM, 4.5 hr), using Phospho-RIP (Ser166) (E7G6O) Rabbit mAb (upper), RIP (D94C12) XP® Rabbit mAb #3493 (middle), or GAPDH (D16H11) XP® Rabbit mAb #5174 (lower).
undefined Image 19: Mouse Reactive Cell Death and Autophagy Antibody Sampler Kit
Orders: 877-616-CELL (2355) [email protected] Support: 877-678-TECH (8324) [email protected] Web: cellsignal.com
For Research Use Only. Not for Use in Diagnostic Procedures.

Revision 2

Cell Signaling Technology Logo
Western blot analysis of extracts from HeLa cells or HeLa cells with a knockout of LC3B (HeLa/LC3B KO) using LC3B (E5Q2K) Mouse mAb (upper) or β-Actin (D6A8) Rabbit mAb #8457 (lower).
undefined Image 20: Mouse Reactive Cell Death and Autophagy Antibody Sampler Kit
Western blot analysis of extracts from MEFs, untreated (-) or treated with Earles Basic Salt Solution (EBSS; 4 hr; +) using SQSTM1/p62 (D6M5X) Rabbit mAb (upper) or β-Actin (D6A8) Rabbit mAb #8457 (lower).
undefined Image 21: Mouse Reactive Cell Death and Autophagy Antibody Sampler Kit
Immunoprecipitation of phospho-RIP (Ser166) protein from L-929 cell extracts treated with Z-VAD(OMe)-FMK #60332 (20 μM, 30 min) followed by Mouse Tumor Necrosis Factor-α (mTNF-α) (20 ng/ml, 2 hr) and SM-164 (100 nM, 2 hr). Lane 1 is 10% input, lane 2 is Rabbit (DA1E) mAb IgG XP® Isotype Control #3900, and lane 3 Phospho-RIP (Ser166) (E7G6O) Rabbit mAb. Western blot analysis was performed using Phospho-RIP (Ser166) (E7G6O) Rabbit mAb. Mouse Anti-rabbit IgG (Conformation Specific) (L27A9) mAb (HRP Conjugate) #5127 was used as a secondary antibody.
undefined Image 22: Mouse Reactive Cell Death and Autophagy Antibody Sampler Kit
Orders: 877-616-CELL (2355) [email protected] Support: 877-678-TECH (8324) [email protected] Web: cellsignal.com
For Research Use Only. Not for Use in Diagnostic Procedures.

Revision 2

Cell Signaling Technology Logo
Western blot analysis of extracts from A549 cells, untreated (-) or starved with Earle's Balanced Salt Solution (EBSS) (indicated times) using LC3B (E5Q2K) Mouse mAb (upper) or β-Actin (D6A8) Rabbit mAb (lower).
undefined Image 23: Mouse Reactive Cell Death and Autophagy Antibody Sampler Kit
Immunoprecipitation of SQSTM1 from L-929 cell extracts. Lane 1 is 10% input, lane 2 is Rabbit (DA1E) mAb IgG XP® Isotype Control #3900, and lane 3 is SQSTM1/p62 (D6M5X) Rabbit mAb. Western blot was performed using SQSTM1/p62 (D6M5X) Rabbit mAb. Mouse Anti-rabbit IgG (Conformation Specific) (L27A9) mAb (HRP Conjugate) #5127 was used as a secondary antibody.
undefined Image 24: Mouse Reactive Cell Death and Autophagy Antibody Sampler Kit
Western blot analysis of extracts from MCF7 and Raji cells, untreated (-) or treated with Torin 1 (250 nM, 5 hr; +) #14379, using LC3B (E5Q2K) Mouse mAb (upper) or β-Actin (D6A8) Rabbit mAb #8457 (lower).
undefined Image 25: Mouse Reactive Cell Death and Autophagy Antibody Sampler Kit
Orders: 877-616-CELL (2355) [email protected] Support: 877-678-TECH (8324) [email protected] Web: cellsignal.com
For Research Use Only. Not for Use in Diagnostic Procedures.

Revision 2

Cell Signaling Technology Logo
Immunohistochemical analysis of paraffin-embedded MEF wild-type cell pellet (left, positive) or MEF SQSTM1/p62 KO cell pellet (right, negative) using SQSTM1/p62 (D6M5X) Rabbit mAb. MEF SQSTM1/p62 KO cells were kindly provided by Dr. Junying Yuan, Harvard Medical School, Boston MA.
undefined Image 26: Mouse Reactive Cell Death and Autophagy Antibody Sampler Kit
Immunoprecipitation of LC3B from HeLa cells treated with Chloroquine (50 μM, overnight) # 14774. Lane 1 is 10% input, lane 2 is Mouse (G3A1) mAb IgG1 Isotype Control, and lane 3 is LC3B (E5Q2K) Mouse mAb. Western blot was performed using LC3B (E5Q2K) Mouse mAb. Anti-mouse IgG, HRP-linked Antibody #7076 was used as a secondary antibody.
undefined Image 27: Mouse Reactive Cell Death and Autophagy Antibody Sampler Kit
Immunohistochemical analysis of paraffin-embedded mouse forestomach using SQSTM1/p62 (D6M5X) Rabbit mAb.
undefined Image 28: Mouse Reactive Cell Death and Autophagy Antibody Sampler Kit
Orders: 877-616-CELL (2355) [email protected] Support: 877-678-TECH (8324) [email protected] Web: cellsignal.com
For Research Use Only. Not for Use in Diagnostic Procedures.

Revision 2

Cell Signaling Technology Logo
Immunohistochemical analysis of paraffin-embedded human colon carcinoma using LC3B (E5Q2K) Mouse mAb.
undefined Image 29: Mouse Reactive Cell Death and Autophagy Antibody Sampler Kit
Immunohistochemical analysis of paraffin-embedded mouse kidney using SQSTM1/p62 (D6M5X) Rabbit mAb.
undefined Image 30: Mouse Reactive Cell Death and Autophagy Antibody Sampler Kit
Immunohistochemical analysis of paraffin-embedded human esophageal carcinoma using LC3B (E5Q2K) Mouse mAb.
undefined Image 31: Mouse Reactive Cell Death and Autophagy Antibody Sampler Kit
Orders: 877-616-CELL (2355) [email protected] Support: 877-678-TECH (8324) [email protected] Web: cellsignal.com
For Research Use Only. Not for Use in Diagnostic Procedures.

Revision 2

Cell Signaling Technology Logo
Immunohistochemical analysis of paraffin-embedded mouse spleen using SQSTM1/p62 (D6M5X) Rabbit mAb.
undefined Image 32: Mouse Reactive Cell Death and Autophagy Antibody Sampler Kit
Immunohistochemical analysis of paraffin-embedded human lung carcinoma using LC3B (E5Q2K) Mouse mAb.
undefined Image 33: Mouse Reactive Cell Death and Autophagy Antibody Sampler Kit
Immunohistochemical analysis of paraffin-embedded rat spleen using SQSTM1/p62 (D6M5X) Rabbit mAb.
undefined Image 34: Mouse Reactive Cell Death and Autophagy Antibody Sampler Kit
Orders: 877-616-CELL (2355) [email protected] Support: 877-678-TECH (8324) [email protected] Web: cellsignal.com
For Research Use Only. Not for Use in Diagnostic Procedures.

Revision 2

Cell Signaling Technology Logo
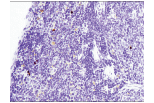
Immunohistochemical analysis of paraffin-embedded human non-Hodgkin's lymphoma using LC3B (E5Q2K) Mouse mAb.
undefined Image 35: Mouse Reactive Cell Death and Autophagy Antibody Sampler Kit
Immunohistochemical analysis of paraffin-embedded mouse small intestine using SQSTM1/p62 (D6M5X) Rabbit mAb.
undefined Image 36: Mouse Reactive Cell Death and Autophagy Antibody Sampler Kit
Immunohistochemical analysis of paraffin-embedded HCT116 cell pellets, untreated (left-top) or treated with Chloroquine #14774 (right-top), and HCT116 LC3B knockout cell pellets, untreated (left-bottom) or treated with Chloroquine #14774 (right-bottom), using LC3B (E5Q2K) Mouse mAb.
undefined Image 37: Mouse Reactive Cell Death and Autophagy Antibody Sampler Kit
Orders: 877-616-CELL (2355) [email protected] Support: 877-678-TECH (8324) [email protected] Web: cellsignal.com
For Research Use Only. Not for Use in Diagnostic Procedures.

Revision 2

Cell Signaling Technology Logo
Confocal immunofluorescent analysis of wild-type MEFs, either untreated (left) or treated with Chloroquine #14774 (50 μM, 18 hours; center), and SQSTM1/p62 knock-out MEFs treated with chloroquine (right), using SQSTM1 (D6M5X) Rabbit mAb (green). Actin filaments were labeled with β-Actin (8H10D10) Mouse mAb #3700 (red). Blue pseudocolor = DRAQ5® #4084 (fluorescent DNA dye). MEF SQSTM1/p62 KO cells were kindly provided by Dr. Junying Yuan, Harvard Medical School, Boston MA.
undefined Image 38: Mouse Reactive Cell Death and Autophagy Antibody Sampler Kit
Immunohistochemical analysis of paraffin-embedded normal human brain using LC3B (E5Q2K) Mouse mAb.
undefined Image 39: Mouse Reactive Cell Death and Autophagy Antibody Sampler Kit
Immunohistochemical analysis of paraffin-embedded KARPAS 299 cell pellet (left, high-expressing) or VCaP cell pellet (right, low-expressing) using LC3B (E5Q2K) Mouse mAb.
undefined Image 40: Mouse Reactive Cell Death and Autophagy Antibody Sampler Kit
Orders: 877-616-CELL (2355) [email protected] Support: 877-678-TECH (8324) [email protected] Web: cellsignal.com
For Research Use Only. Not for Use in Diagnostic Procedures.

Revision 2

Cell Signaling Technology Logo
Immunohistochemical analysis of paraffin-embedded HeLa cell pellets, untreated (left) or treated with Chloroquine #14774 (right), using LC3B (E5Q2K) Mouse mAb.
undefined Image 41: Mouse Reactive Cell Death and Autophagy Antibody Sampler Kit
Immunohistochemical analysis of paraffin-embedded normal human spleen using LC3B (E5Q2K) Mouse mAb.
undefined Image 42: Mouse Reactive Cell Death and Autophagy Antibody Sampler Kit
Confocal immunofluorescent analysis of HCT 116 cells either untreated (left) or treated with Chloroquine #14774 (50 µM, overnight) (center) or LC3B HCT 116 knockout cells treated with Chloroquine #14774 (50 µM, overnight) (right) using LC3B (E5Q2K) Mouse mAb (green). Actin filaments were labeled with β-Actin (13E5) Rabbit mAb #4970 (red) and nuclei were labeled with DAPI #4083 (blue).
undefined Image 43: Mouse Reactive Cell Death and Autophagy Antibody Sampler Kit
Orders: 877-616-CELL (2355) [email protected] Support: 877-678-TECH (8324) [email protected] Web: cellsignal.com
For Research Use Only. Not for Use in Diagnostic Procedures.

Revision 2

Cell Signaling Technology Logo
Flow cytometric analysis of HCT-116 cells, wild-type (green, high expression) or LC3B knockdown (blue, negative expression), using LC3B (E5Q2K) Mouse mAb or a concentration-matched Mouse (E7Q5L) mAb IgG2b Isotype Control #53484 (dashed lines). Anti-mouse IgG (H+L), F(ab')2 Fragment (Alexa Fluor® 488 Conjugate) #4408 was used as a secondary antibody.
undefined Image 44: Mouse Reactive Cell Death and Autophagy Antibody Sampler Kit
Flow cytometric analysis of HCT-116 cells, untreated (blue) or treated with Chloroquine #14774 (50 μM, 18 hr; green) using LC3B (E5Q2K) Mouse mAb Antibody (solid lines) or concentration-matched Mouse (E7Q5L) mAb IgG2b Isotype Control #53484 (dashed lines). Anti-mouse IgG (H+L), F(ab')2 Fragment (Alexa Fluor® 488 Conjugate) #4408 was used as a secondary antibody.
undefined Image 45: Mouse Reactive Cell Death and Autophagy Antibody Sampler Kit
Western blot analysis of extracts from serum-starved H-4-II-E cells, untreated (-) or treated with Staurosporine #9953 (1 μM, 6 hr; +), using Cleaved PARP (Asp214) (D6X6X) Rabbit mAb (Rodent Specific) (upper) or β-Actin (D6A8) Rabbit mAb #8457 (lower).
undefined Image 46: Mouse Reactive Cell Death and Autophagy Antibody Sampler Kit
Orders: 877-616-CELL (2355) [email protected] Support: 877-678-TECH (8324) [email protected] Web: cellsignal.com
For Research Use Only. Not for Use in Diagnostic Procedures.

Revision 2

Cell Signaling Technology Logo
Immunoprecipitation of Cleaved PARP (Asp214) from Neuro-2a cell extracts treated with Staurosporine #9953 (1 μM, 3 hr). Lane 1 is 10% input, lane 2 is Rabbit (DA1E) mAb IgG XP® Isotype Control #3900, and lane 3 is Cleaved PARP (Asp214) (D6X6X) Rabbit mAb (Rodent Specific). Western blot was perform using Cleaved PARP (Asp214) (D6X6X) Rabbit mAb (Rodent Specific). Anti-rabbit IgG, HRP-linked Antibody #7074 was used as a secondary antibody.
undefined Image 47: Mouse Reactive Cell Death and Autophagy Antibody Sampler Kit
Immunohistochemical analysis of paraffin-embedded 3T3 cell pellet, untreated (left, negative) or treated with Staurosporine #9953 (right, positive), using Cleaved PARP (Asp214)(D6X6X) mAb (Rodent Specific).
undefined Image 48: Mouse Reactive Cell Death and Autophagy Antibody Sampler Kit
Immunohistochemical analysis of paraffin-embedded E14 rat embryo using Cleaved PARP (Asp214)(D6X6X) mAb (Rodent Specific).
undefined Image 49: Mouse Reactive Cell Death and Autophagy Antibody Sampler Kit
Orders: 877-616-CELL (2355) [email protected] Support: 877-678-TECH (8324) [email protected] Web: cellsignal.com
For Research Use Only. Not for Use in Diagnostic Procedures.

Revision 2

Cell Signaling Technology Logo
Immunohistochemical analysis of paraffin-embedded H-4-II-E cell pellet, untreated (left, negative) or treated with Staurosporine #9953 (right, positive), using Cleaved PARP (Asp214)(D6X6X) mAb (Rodent Specific).
undefined Image 50: Mouse Reactive Cell Death and Autophagy Antibody Sampler Kit
Immunohistochemical analysis of paraffin-embedded mouse ovary using Cleaved PARP (Asp214)(D6X6X) mAb (Rodent Specific).
undefined Image 51: Mouse Reactive Cell Death and Autophagy Antibody Sampler Kit
Immunohistochemical analysis of paraffin-embedded mouse spleen using Cleaved PARP (Asp214)(D6X6X) mAb (Rodent Specific).
undefined Image 52: Mouse Reactive Cell Death and Autophagy Antibody Sampler Kit
Orders: 877-616-CELL (2355) [email protected] Support: 877-678-TECH (8324) [email protected] Web: cellsignal.com
For Research Use Only. Not for Use in Diagnostic Procedures.

Revision 2

Cell Signaling Technology Logo
Confocal immunofluorescent analysis of Neuro-2a cells, untreated (left, negative) or treated with Staurosporine #9953 (1 μM, 3 hr; right, positive), using Cleaved PARP (Asp214) (D6X6X) Rabbit mAb (Rodent Specific) (green). Actin filaments were labeled with DyLight™ 554 Phalloidin #13054 (red). Blue pseudocolor = DRAQ5® #4084 (fluorescent DNA dye).
undefined Image 53: Mouse Reactive Cell Death and Autophagy Antibody Sampler Kit
Flow cytometric analysis of serum-starved Neuro-2a cells, untreated (blue) or treated with Staurosporine #9953 (1 μM, 3 hr; green), using Cleaved PARP (Asp214) (D6X6X) Rabbit mAb (Rodent Specific) (solid lines) or concentration-matched Rabbit (DA1E) mAb IgG XP® Isotype Control #3900 (dashed lines). Anti-rabbit IgG (H+L), F(ab')2 Fragment (Alexa Fluor® 488 Conjugate) #4412 was used as a secondary antibody.
undefined Image 54: Mouse Reactive Cell Death and Autophagy Antibody Sampler Kit
Flow cytometric analysis of serum-starved H-4-II-E cells, untreated (blue) or treated with Staurosporine #9953 (1 μM, 3 hr; green), using Cleaved PARP (Asp214) (D6X6X) Rabbit mAb (Rodent Specific) (solid lines) or concentration-matched Rabbit (DA1E) mAb IgG XP® Isotype Control #3900 (dashed lines). Anti-rabbit IgG (H+L), F(ab')2 Fragment (Alexa Fluor® 488 Conjugate) #4412 was used as a secondary antibody.
undefined Image 55: Mouse Reactive Cell Death and Autophagy Antibody Sampler Kit
Orders: 877-616-CELL (2355) [email protected] Support: 877-678-TECH (8324) [email protected] Web: cellsignal.com
For Research Use Only. Not for Use in Diagnostic Procedures.

Revision 2

Cell Signaling Technology Logo
Confocal immunofluorescent analysis of fixed frozen E14 mouse embryo digit labeled with Cleaved PARP (Asp214) (D6X6X) Rabbit Monoclonal Antibody (green), TUNEL Assay Kit (Fluorescence, 640 nm) #64936 (red), and ProLong Gold Antifade Reagent with DAPI #8961 (blue).
undefined Image 56: Mouse Reactive Cell Death and Autophagy Antibody Sampler Kit
Western blot analysis of extracts from C6 (rat), NIH/3T3 (mouse), and Jurkat (human) cells, untreated or treated with staurosporine #9953 (1uM, 3hrs) or etoposide #2200 (25uM, 5hrs) as indicated, using Cleaved Caspase-3 (Asp175) (5A1E) Rabbit mAb.
undefined Image 57: Mouse Reactive Cell Death and Autophagy Antibody Sampler Kit
Immunohistochemical analysis of paraffin-embedded mouse embryo, using Cleaved Caspase-3 (Asp175) (5A1E) Rabbit mAb in the presence of control peptide (left) or Cleaved Caspase-3 (Asp175) Blocking Peptide (#1050) (right).
undefined Image 58: Mouse Reactive Cell Death and Autophagy Antibody Sampler Kit
Orders: 877-616-CELL (2355) [email protected] Support: 877-678-TECH (8324) [email protected] Web: cellsignal.com
For Research Use Only. Not for Use in Diagnostic Procedures.

Revision 2

Cell Signaling Technology Logo
Immunohistochemical analysis using Cleaved Caspase-3 (Asp175) (5A1E) Rabbit mAb on SignalSlide® Cleaved Caspase-3 IHC Controls #8104 (paraffin-embedded Jurkat cells, untreated (left) or etoposide-treated (right)).
undefined Image 59: Mouse Reactive Cell Death and Autophagy Antibody Sampler Kit
Immunohistochemical staining of paraffin-embedded mouse embryo, showing cytoplasmic localization in apoptotic cells, using Cleaved Caspase-3 (Asp175) (5A1E) Rabbit mAb.
undefined Image 60: Mouse Reactive Cell Death and Autophagy Antibody Sampler Kit
Confocal immunofluorescent images of HT-29 cells, untreated (left) or Staurosporine #9953 treated (right) labeled with Cleaved Caspase-3 (Asp175) (5A1E) Rabbit mAb (green). Actin filaments have been labeled with Alexa Fluor® 555 phalloidin #8953 (red). Blue pseudocolor = DRAQ5® #4084 (fluorescent DNA dye).
undefined Image 61: Mouse Reactive Cell Death and Autophagy Antibody Sampler Kit
Orders: 877-616-CELL (2355) [email protected] Support: 877-678-TECH (8324) [email protected] Web: cellsignal.com
For Research Use Only. Not for Use in Diagnostic Procedures.

Revision 2

Cell Signaling Technology Logo
Simple Western™ analysis of lysates (0.1 mg/mL) from Jurkat cells treated with Cytochrome C using Cleaved Caspase-3 (Asp175) (5A1E) Rabbit mAb #9664. The virtual lane view (left) shows the target bands (as indicated) at 1:10 and 1:50 dilutions of primary antibody. The corresponding electropherogram view (right) plots chemiluminescence by molecular weight along the capillary at 1:10 (blue line) and 1:50 (green line) dilutions of primary antibody. This experiment was performed under reducing conditions on the Jess™ Simple Western instrument from ProteinSimple, a BioTechne brand, using the 12-230 kDa separation module.
undefined Image 62: Mouse Reactive Cell Death and Autophagy Antibody Sampler Kit
Immunoprecipitation of Cleaved Caspase-3 from Jurkat cells treated with etoposide (25uM, 5hrs). Lane 1 is 10% input, lane 2 is Rabbit (DA1E) mAb IgG XP® Isotype Control #3900, and lane 3 is Cleaved Caspase-3 (Asp175) (5A1E) Rabbit mAb. Western blot was performed using Cleaved Caspase-3 (Asp175) (5A1E) Rabbit mAb. Anti-rabbit IgG, HRP-linked Antibody #7074 was used as a secondary antibody.
undefined Image 63: Mouse Reactive Cell Death and Autophagy Antibody Sampler Kit
Flow cytometric analysis of Jurkat cells, untreated (blue) or treated with Etoposide #2200 (25 μM, 18 hr; green) using Cleaved Caspase-3 (Asp175) (5A1E) Rabbit mAb (solid lines) or concentration-matched Rabbit (DA1E) mAb IgG XP® Isotype Control #3900 (dashed lines). Anti-rabbit IgG (H+L), F(ab')2 Fragment (Alexa Fluor® 488 Conjugate) #4412 was used as a secondary antibody.
undefined Image 64: Mouse Reactive Cell Death and Autophagy Antibody Sampler Kit
Orders: 877-616-CELL (2355) [email protected] Support: 877-678-TECH (8324) [email protected] Web: cellsignal.com
For Research Use Only. Not for Use in Diagnostic Procedures.