Revision 1

#20836

Store at -20C

CST Logo
Orders:

877-616-CELL (2355)

[email protected]

Support:

877-678-TECH (8324)

3 Trask Lane | Danvers | Massachusetts | 01923 | USA

For Research Use Only. Not for Use in Diagnostic Procedures.

Product Includes Product # Quantity Mol. Wt Isotype/Source
NLRP3 (D4D8T) Rabbit Monoclonal Antibody1510120 µl110 kDaRabbit IgG
AIM2 Antibody6366020 µl43 kDaRabbit
ASC/TMS1 (D2W8U) Rabbit Monoclonal Antibody6782420 µl22 kDaRabbit IgG
Cleaved-IL-1 beta (Asp117) (E7V2A) Rabbit Monoclonal Antibody6312420 µl17 kDaRabbit IgG
IL-1 beta (D6D6T) Rabbit Monoclonal Antibody3120220 µl17, 31 kDaRabbit IgG
Cleaved Caspase-1 (Asp296) (E2G2I) Rabbit Monoclonal Antibody8933220 µl22 kDaRabbit IgG
Caspase-1 (E2Z1C) Rabbit Monoclonal Antibody2423220 µl48, 10 kDaRabbit IgG
Anti-rabbit IgG, HRP-linked Antibody7074100 µlGoat

Please visit cellsignal.com for individual component applications, species cross-reactivity, dilutions, protocols, and additional product information.

Description

The Mouse Reactive Inflammasome Antibody Sampler Kit provides an economical means of detecting multiple inflammasome components. The kit includes enough antibodies to perform at least two western blot experiments with each primary antibody.

Storage

Supplied in 10 mM sodium HEPES (pH 7.5), 150 mM NaCl, 100 µg/ml BSA, 50% glycerol and less than 0.02% sodium azide. Store at –20°C. Do not aliquot the antibody.

Background

The innate immune system works as the first line of defense in protection from pathogenic microbes and host-derived signals of cellular distress. One way in which these “danger” signals trigger inflammation is through activation of inflammasomes, which are multiprotein complexes that assemble in the cytosol after exposure to pathogen-associated molecular patterns (PAMPs) or danger-associated molecular patterns (DAMPs) and result in the activation of caspase-1 and subsequent cleavage of proinflammatory cytokines IL-1β and IL-18 (Reviewed in 1-6). Inflammasome complexes typically consist of a cytosolic pattern recognition receptor (PRR; a nucleotide-binding domain and leucine-rich-repeat [NLR] or AIM2-like receptor [ALR] family member), an adaptor protein (ASC/TMS1), and pro-caspase-1. A number of distinct inflammasome complexes have been identified, each with a unique PRR and activation triggers. The best characterized is the NLRP3 complex, which contains NLRP3, ASC/TMS1, and pro-caspase-1. The NLRP3 inflammasome is activated in a two-step process. First, NF-κB signaling is induced through PAMP- or DAMP-mediated activation of TLR4 or TNFR, resulting in increased expression of NLRP3, pro-IL-1β, and pro-IL-18 (priming step, signal 1). Next, indirect activation of NLRP3 occurs by a multitude of signals (whole pathogens, PAMPs/DAMPs, potassium efflux, lysosomal-damaging environmental factors [uric acid, silica, alum] and endogenous factors [amyloid-β, cholesterol crystals], and mitochondrial damage), leading to complex assembly and activation of caspase-1 (signal 2). The complex inflammasome structure is built via domain interactions among the protein components. Other inflammasomes are activated by more direct means: double-stranded DNA activates the AIM2 complex, anthrax toxin activates NLRP1, and bacterial flagellin activates NLRC4. Activated caspase-1 induces secretion of proinflammatory cytokines IL-1β and -18, but also regulates metabolic enzyme expression, phagosome maturation, vasodilation, and pyroptosis, an inflammatory programmed cell death. Inflammasome signaling contributes to the onset of a number of diseases, including atherosclerosis, type II diabetes, Alzheimer’s disease, and autoimmune disorders.

Trademarks and Patents

Cell Signaling Technology is a trademark of Cell Signaling Technology, Inc.

All other trademarks are the property of their respective owners. Visit cellsignal.com/trademarks for more information.

Limited Uses

Except as otherwise expressly agreed in a writing signed by a legally authorized representative of CST, the following terms apply to Products provided by CST, its affiliates or its distributors. Any Customer's terms and conditions that are in addition to, or different from, those contained herein, unless separately accepted in writing by a legally authorized representative of CST, are rejected and are of no force or effect.

Products are labeled with For Research Use Only or a similar labeling statement and have not been approved, cleared, or licensed by the FDA or other regulatory foreign or domestic entity, for any purpose. Customer shall not use any Product for any diagnostic or therapeutic purpose, or otherwise in any manner that conflicts with its labeling statement. Products sold or licensed by CST are provided for Customer as the end-user and solely for research and development uses. Any use of Product for diagnostic, prophylactic or therapeutic purposes, or any purchase of Product for resale (alone or as a component) or other commercial purpose, requires a separate license from CST. Customer shall (a) not sell, license, loan, donate or otherwise transfer or make available any Product to any third party, whether alone or in combination with other materials, or use the Products to manufacture any commercial products, (b) not copy, modify, reverse engineer, decompile, disassemble or otherwise attempt to discover the underlying structure or technology of the Products, or use the Products for the purpose of developing any products or services that would compete with CST products or services, (c) not alter or remove from the Products any trademarks, trade names, logos, patent or copyright notices or markings, (d) use the Products solely in accordance with CST Product Terms of Sale and any applicable documentation, and (e) comply with any license, terms of service or similar agreement with respect to any third party products or services used by Customer in connection with the Products.

Orders: 877-616-CELL (2355) [email protected] Support: 877-678-TECH (8324) [email protected] Web: cellsignal.com
For Research Use Only. Not for Use in Diagnostic Procedures.

Revision 1

Cell Signaling Technology Logo
Western blot analysis of extracts from mouse bone marrow-derived dendritic cells (BMDC) and various cell lines using NLRP3 (D4D8T) Rabbit mAb (upper) and β-Actin (D6A8) Rabbit mAb #8457 (lower).
undefined Image 1: Mouse Reactive Inflammasome Antibody Sampler Kit
Western blot analysis of extracts from various cell lines using Caspase-1 (E2Z1C) Rabbit mAb (upper), or β-Actin (D6A8) Rabbit mAb #8457 (lower).
undefined Image 2: Mouse Reactive Inflammasome Antibody Sampler Kit
Western blot analysis of extracts from Raw264.7 cells, untreated (-) or treated with LPS (100 ng/mL, 6 hr; +), using IL-1β (D6D6T) Rabbit mAb (upper), or β-Actin (D6A8) Rabbit mAb #8457 (lower).
undefined Image 3: Mouse Reactive Inflammasome Antibody Sampler Kit
Orders: 877-616-CELL (2355) [email protected] Support: 877-678-TECH (8324) [email protected] Web: cellsignal.com
For Research Use Only. Not for Use in Diagnostic Procedures.

Revision 1

Cell Signaling Technology Logo
Western blot analysis of cell extracts and media from mouse bone marrow derived macrophages (mBMDM), untreated (-), or treated (+) with combinations of LPS #14011 (50 ng/ml, 4 hr) followed by nigericin (15 μM, 45 min) using Cleaved-IL-1β (Asp117) (D7V2A) Rabbit mAb (upper) or total IL-1β (E3H1Z) Rabbit mAb #12507 (lower).
undefined Image 4: Mouse Reactive Inflammasome Antibody Sampler Kit
Western blot analysis of extracts from 293T cells, mock transfected (-) or transfected with a construct expressing full-length mouse AIM2 (mAIM2; +), using AIM2 Antibody.
undefined Image 5: Mouse Reactive Inflammasome Antibody Sampler Kit
Western blot analysis of extracts from J774A.1 and Raw 264.7 cells using ASC/TMS1 (D2W8U) Rabbit mAb (upper) or β-Actin (D6A8) Rabbit mAb #8457 (lower).
undefined Image 6: Mouse Reactive Inflammasome Antibody Sampler Kit
Orders: 877-616-CELL (2355) [email protected] Support: 877-678-TECH (8324) [email protected] Web: cellsignal.com
For Research Use Only. Not for Use in Diagnostic Procedures.

Revision 1

Cell Signaling Technology Logo
After the primary antibody is bound to the target protein, a complex with HRP-linked secondary antibody is formed. The LumiGLO® is added and emits light during enzyme catalyzed decomposition.
undefined Image 7: Mouse Reactive Inflammasome Antibody Sampler Kit
Western blot analysis of cell extracts from the cells or media from mouse bone marrow derived macrophages (mBMDM), untreated (-) or treated with Lipopolysaccharides (LPS) #14011 (50 ng/ml, 4 hr) followed by Nigericin (15 μM, 45 min) (+), using Cleaved Caspase-1 (Asp296) (E2G2I) Rabbit mAb (upper), or Caspase-1 (E2Z1C) Rabbit mAb (lower).
undefined Image 8: Mouse Reactive Inflammasome Antibody Sampler Kit
Western blot analysis of THP-1 extracts from WT or NLRP3 KO untreated (-) or treated with PMA (+) using NLRP3 (D4D8T) Rabbit mAb. Membranes stained with Ponceau S for total protein normalization (lower). These data were provided by YCharOS Inc., an open science company with the mission of characterizing commercially available antibodies, as a companion to validation data generated by CST scientists.
undefined Image 9: Mouse Reactive Inflammasome Antibody Sampler Kit
Orders: 877-616-CELL (2355) [email protected] Support: 877-678-TECH (8324) [email protected] Web: cellsignal.com
For Research Use Only. Not for Use in Diagnostic Procedures.

Revision 1

Cell Signaling Technology Logo
Western blot analysis of cell extracts from the cells or media from mouse bone marrow derived macrophages (mBMDM), untreated (-) or treated with Lipopolysaccharides (LPS) #14011 (50 ng/ml, 4hr) followed by Nigericin (15 μM, 45 min) (+) using Caspase-1 (E2Z1C) Rabbit mAb.
undefined Image 10: Mouse Reactive Inflammasome Antibody Sampler Kit
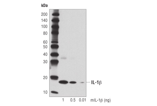
Western blot analysis of recombinant mouse IL-1β (mIL-1β) using IL-1β (D6D6T) Rabbit mAb.
undefined Image 11: Mouse Reactive Inflammasome Antibody Sampler Kit
Immunoprecipitation of Cleaved-IL-1β (Asp117) from extracts of media from mouse bone marrow derived macrophages (mBMDM) treated with LPS #14011 (50 ng/ml, 4 hr) followed by nigericin (15 μM, 45 min). Lane 1 is 10% input, lane 2 is Rabbit (DA1E) mAb IgG XP® Isotype Control #3900, and lane 3 is Cleaved-IL-1β (Asp117) (E7V2A) Rabbit mAb. Western blot was performed using Cleaved-IL-1β (Asp117) (E7V2A) Rabbit mAb. Anti-Rabbit IgG, HRP-linked Antibody #7074 was used as a secondary antibody.
undefined Image 12: Mouse Reactive Inflammasome Antibody Sampler Kit
Orders: 877-616-CELL (2355) [email protected] Support: 877-678-TECH (8324) [email protected] Web: cellsignal.com
For Research Use Only. Not for Use in Diagnostic Procedures.

Revision 1

Cell Signaling Technology Logo
Western blot analysis of extracts from A20, J774A.1, and C2C12 cell lines using AIM2 Antibody (upper) or β-Actin (D6A8) Rabbit mAb #8457 (lower).
undefined Image 13: Mouse Reactive Inflammasome Antibody Sampler Kit
Immunoprecipitation of ASC/TMS1 from J774A.1 cell extracts. Lane 1 is 10% input, lane 2 is Rabbit (DA1E) mAb IgG XP® Isotype Control #3900, and lane 3 is ASC (D2W8U) Rabbit mAb. Western blot analysis was performed using ASC/TMS1 (D2W8U) Rabbit mAb.
undefined Image 14: Mouse Reactive Inflammasome Antibody Sampler Kit
Western blot of A20, EL4, and M1 cell lines using Cleaved Caspase-1 (Asp296) (E2G2I) Rabbit mAb (upper), Caspase-1 (E2Z1C) Rabbit mAb (middle), or β-Actin (D6A8) Rabbit mAb #8457 (lower). The lack of staining in these cell lines using Cleaved Caspase-1 (Asp296) (E2G2I) Rabbit mAb demonstrates that it does not cross-react with full-length caspase-1.
undefined Image 15: Mouse Reactive Inflammasome Antibody Sampler Kit
Orders: 877-616-CELL (2355) [email protected] Support: 877-678-TECH (8324) [email protected] Web: cellsignal.com
For Research Use Only. Not for Use in Diagnostic Procedures.

Revision 1

Cell Signaling Technology Logo
Simple Western™ analysis of lysates (0.1 mg/mL) from THP-1 cells using NLRP3 (D4D8T) Rabbit mAb #15101. The virtual lane view (left) shows the target band (as indicated) at 1:10 and 1:50 dilutions of primary antibody. The corresponding electropherogram view (right) plots chemiluminescence by molecular weight along the capillary at 1:10 (blue line) and 1:50 (green line) dilutions of primary antibody. This experiment was performed under reducing conditions on the Jess™ Simple Western instrument from ProteinSimple, a BioTechne brand, using the 12-230 kDa separation module.
undefined Image 16: Mouse Reactive Inflammasome Antibody Sampler Kit
Immunoprecipitation of Caspase-1 from EL4 cell extracts. Lane 1 is 10% input, lane 2 is Rabbit (DA1E) mAb IgG XP® Isotype Control #3900, and lane 3 Caspase-1 (E2Z1C) Rabbit mAb. Western blot was performed using Caspase-1 (E2Z1C) Rabbit mAb. Mouse Anti-rabbbit IgG (Conformation Specific) (L27A9) mAb (HRP Conjugate) #5127 was used as a secondary antibody.
undefined Image 17: Mouse Reactive Inflammasome Antibody Sampler Kit
Flow cytometric analysis of Raw264.7 cells, untreated (blue) or treated with LPS #14011 (100ng/ml, 6 hrs; green) using IL-1β (D6D6T) Rabbit mAb (solid lines) or concentration matched Rabbit (DA1E) mAb IgG XP® Isotype Control #3900 (dashed lines). Anti-rabbit IgG (H+L), F(ab')2 Fragment (Alexa Fluor® 488 Conjugate) #4412 was used as a secondary antibody.
undefined Image 18: Mouse Reactive Inflammasome Antibody Sampler Kit
Orders: 877-616-CELL (2355) [email protected] Support: 877-678-TECH (8324) [email protected] Web: cellsignal.com
For Research Use Only. Not for Use in Diagnostic Procedures.

Revision 1

Cell Signaling Technology Logo
Western blot analysis of extracts from J774A.1 cells, mock transfected (-) or transfected with mouse AIM2 siRNA (mAIM siRNA; +), using AIM2 Antibody (upper) or β-Actin (D6A8) Rabbit mAb #8457 (lower).
undefined Image 19: Mouse Reactive Inflammasome Antibody Sampler Kit
Immunohistochemical analysis of paraffin-embedded J774A.1 cell pellet (left, positive) or RAW 264.7 cell pellet (right, negative) using ASC/TMS1 (D2W8U) Rabbit mAb.
undefined Image 20: Mouse Reactive Inflammasome Antibody Sampler Kit
Immunoprecipitation of Cleaved Caspase-1 (Asp296) from extracts of acetone precipitated media from mouse bone marrow derived macrophages treated with Lipopolysaccharides (LPS) #14011 (50ng/ml, 4hr) followed by Nigericin (15 μM, 45 min). Lane 1 is 10% input, lane 2 is Rabbit (DA1E) mAb IgG XP® Isotype Control #3900, and lane 3 is Cleaved Caspase-1 (Asp296) (E2G2I) Rabbit mAb. Western blot analysis was performed using Cleaved Caspase-1 (Asp296) (E2G2I) Rabbit mAb. Anti-rabbit IgG, HRP-linked Antibody #7074 was used as a secondary antibody.
undefined Image 21: Mouse Reactive Inflammasome Antibody Sampler Kit
Orders: 877-616-CELL (2355) [email protected] Support: 877-678-TECH (8324) [email protected] Web: cellsignal.com
For Research Use Only. Not for Use in Diagnostic Procedures.

Revision 1

Cell Signaling Technology Logo
Immunoprecipitation of NLRP3 from J774A.1 cell extracts using Rabbit (DA1E) mAb IgG XP® Isotype Control #3900 (lane 2) or NLRP3 (D4D8T) Rabbit mAb (lane 3). Lane 1 is 10% input. Western blot analysis was performed using NLRP3 (D4D8T) Rabbit mAb.
undefined Image 22: Mouse Reactive Inflammasome Antibody Sampler Kit
Immunoprecipitation of mouse AIM2 from J774A.1 cell extracts. Lane 1 is 10% input, lane 2 is Normal Rabbit IgG #2729, and lane 3 is AIM2 Antibody. Western blot was performed using AIM2 Antibody. Mouse Anti-rabbit IgG (Conformation Specific) (L27A9) mAb (HRP Conjugate) #5127 was used as a secondary antibody.
undefined Image 23: Mouse Reactive Inflammasome Antibody Sampler Kit
Immunohistochemical analysis of paraffin-embedded mouse forestomach using ASC/TMS1 (D2W8U) Rabbit mAb.
undefined Image 24: Mouse Reactive Inflammasome Antibody Sampler Kit
Orders: 877-616-CELL (2355) [email protected] Support: 877-678-TECH (8324) [email protected] Web: cellsignal.com
For Research Use Only. Not for Use in Diagnostic Procedures.

Revision 1

Cell Signaling Technology Logo
Immunohistochemical analysis of paraffin-embedded mouse brain using ASC/TMS1 (D2W8U) Rabbit mAb.
undefined Image 25: Mouse Reactive Inflammasome Antibody Sampler Kit
Immunohistochemical analysis of paraffin-embedded mouse colon using ASC/TMS1 (D2W8U) Rabbit mAb (left) compared to concentration-matched Rabbit (DA1E) mAb IgG XP® Isotype Control #3900 (right).
undefined Image 26: Mouse Reactive Inflammasome Antibody Sampler Kit
Immunohistochemical analysis of paraffin-embedded mouse thymus using ASC/TMS1 (D2W8U) Rabbit mAb.
undefined Image 27: Mouse Reactive Inflammasome Antibody Sampler Kit
Orders: 877-616-CELL (2355) [email protected] Support: 877-678-TECH (8324) [email protected] Web: cellsignal.com
For Research Use Only. Not for Use in Diagnostic Procedures.

Revision 1

Cell Signaling Technology Logo
Immunohistochemical analysis of paraffin-embedded mouse small intestine using ASC/TMS1 (D2W8U) Rabbit mAb.
undefined Image 28: Mouse Reactive Inflammasome Antibody Sampler Kit
Immunohistochemical analysis of paraffin-embedded Renca syngeneic tumor (top left), 4T1 syngeneic mammary tumor (top right), Renca cell pellet (bottom left), and 4T1 cell pellet (bottom right) using ASC/TMS1 (D2W8U) Rabbit mAb. Both tumors show staining of infiltrating immune cells. Note the presence of staining in the Renca tumor cells and the lack of staining in the 4T1 tumor cells consistent with staining results on corresponding cell pellets.
undefined Image 29: Mouse Reactive Inflammasome Antibody Sampler Kit
Confocal immunofluorescent analysis of mouse Tg2576 brain which overexpresses mutant human APP695. Sections were first labeled with ASC/TMS1 (D2W8U) Rabbit mAb #67824 (green) and APP/β-Amyloid (NAB228) Mouse mAb #2450 (yellow). After blocking free secondary binding sites with Mouse (G3A1) mAb IgG1 Isotype Control #5415, sections were incubated with GFAP (GA5) Mouse mAb (Alexa Fluor® 647 Conjugate) #3657 (red). Nuclei were labeled with Hoechst 33342 #4082 (blue).
undefined Image 30: Mouse Reactive Inflammasome Antibody Sampler Kit
Orders: 877-616-CELL (2355) [email protected] Support: 877-678-TECH (8324) [email protected] Web: cellsignal.com
For Research Use Only. Not for Use in Diagnostic Procedures.

Revision 1

Cell Signaling Technology Logo
Confocal immunofluorescent analysis of mouse primary bone marrow-derived macrophages (BMDMs) either untreated (upper left) or treated with LPS (50 ng/ml, 4 hr, middle) or LPS followed by ATP (5 mM, 45 min, upper right), and J774A.1 (lower left) or Raw 264.7 (lower right) cells, using ASC/TMS1 (D2W8U) Rabbit mAb (green). Blue pseudocolor = DRAQ5® #4084 (fluorescent DNA dye). Note the translocation of ASC to inflammasomes following stimulation with LPS and ATP (white arrows).
undefined Image 31: Mouse Reactive Inflammasome Antibody Sampler Kit
Flow cytometric analysis of Raw264.7 cells (blue) and J774A.1 cells (green) using ASC/TMS1 (D2W8U) Rabbit mAb (solid lines) or a concentration-matched Rabbit (DA1E) mAb IgG XP® Isotype Control #3900 (dashed lines). Anti-rabbit IgG (H+L), F(ab')2 Fragment (Alexa Fluor® 488 Conjugate) #4412 was used as a secondary antibody.
undefined Image 32: Mouse Reactive Inflammasome Antibody Sampler Kit
Simple Western™ analysis of lysates (1 mg/ml) from Raw264.7 cells treated with LPS and BFA using IL-1β (D6D6T) Rabbit mAb #31202. The virtual lane view (left) shows the target band (as indicated) at 1:50 and 1:250 dilutions of primary antibody. The corresponding electropherogram view (right) plots chemiluminescence by molecular weight along the capillary at 1:50 (blue line) and 1:250 (green line) dilutions of primary antibody. This experiment was performed under reducing conditions on the Jess™ Simple Western instrument from ProteinSimple, a BioTechne brand, using the 12-230kDa.
undefined Image 33: Mouse Reactive Inflammasome Antibody Sampler Kit
Orders: 877-616-CELL (2355) [email protected] Support: 877-678-TECH (8324) [email protected] Web: cellsignal.com
For Research Use Only. Not for Use in Diagnostic Procedures.