Revision 1

#97624

Store at -20C

CST Logo
Orders:

877-616-CELL (2355)

[email protected]

Support:

877-678-TECH (8324)

3 Trask Lane | Danvers | Massachusetts | 01923 | USA

For Research Use Only. Not for Use in Diagnostic Procedures.

Product Includes Product # Quantity Mol. Wt Isotype/Source
F4/80 (D2S9R) Rabbit Monoclonal Antibody7007620 µl65-250 kDaRabbit IgG
CD68 (E3O7V) Rabbit Monoclonal Antibody9777820 µl70-80, 130-140, 200 kDaRabbit IgG
CD86 (E5W6H) Rabbit Monoclonal Antibody1958920 µl60-85 kDaRabbit IgG
CD11c (D1V9Y) Rabbit Monoclonal Antibody9758520 µl145 kDaRabbit IgG
CD206/MRC1 (E6T5J) Rabbit Monoclonal Antibody2459520 µl190-250 kDaRabbit IgG
Arginase-1 (D4E3M) Rabbit Monoclonal Antibody9366820 µl40 kDaRabbit IgG
Iba1/AIF-1 (E4O4W) Rabbit Monoclonal Antibody1719820 µl17 kDaRabbit IgG
Anti-rabbit IgG, HRP-linked Antibody7074100 µlGoat

Please visit cellsignal.com for individual component applications, species cross-reactivity, dilutions, protocols, and additional product information.

Description

The Mouse Reactive M1 vs M2 Macrophage IHC Antibody Sampler Kit provides an economical means of characterizing the extent of M1 and M2 macrophages in formalin-fixed, paraffin-embedded tissue samples.

Storage

Supplied in 10 mM sodium HEPES (pH 7.5), 150 mM NaCl, 100 µg/ml BSA, 50% glycerol and less than 0.02% sodium azide. Store at –20°C. Do not aliquot the antibodies.

Background

Macrophages are myeloid cells of the innate immune system that are found in all human tissues in the body and exhibit anatomical and functional diversity. These heterogenous cells are derived from monocyte precursors in the blood that infiltrate into the tissues and differentiate in the presence of cytokines and growth factors. A spectrum of different macrophage phenotypes, or polarizations, have been described based on their secretory profiles, gene expression, and functions. Macrophages have great plasticity and can switch from one phenotype to another under different conditions. At the opposite extremes of this spectrum are so called M1, or classically activated phenotype, and M2 or alternatively activated phenotype. M1 macrophages are generally inflammatory and anti-tumor, while M2 macrophages, commonly referred to as tumor-associated macrophages (TAMs), are generally anti-inflammatory and pro-tumor. Relative contents of M1 and M2 macrophages in the tumor microenvironment may have prognostic values. Modulating macrophage polarization is actively pursued as a therapeutic intervention for many different diseases (1-6).
In mice, F4/80, CD68, and Iba1/AIF-1 are considered general markers for macrophages. CD86, CD11c, and others have been used as markers for M1 macrophages, while CD206, Arginase-1, and others have been used as markers for M2 macrophages (7-10).

Trademarks and Patents

Cell Signaling Technology is a trademark of Cell Signaling Technology, Inc.

All other trademarks are the property of their respective owners. Visit cellsignal.com/trademarks for more information.

Limited Uses

Except as otherwise expressly agreed in a writing signed by a legally authorized representative of CST, the following terms apply to Products provided by CST, its affiliates or its distributors. Any Customer's terms and conditions that are in addition to, or different from, those contained herein, unless separately accepted in writing by a legally authorized representative of CST, are rejected and are of no force or effect.

Products are labeled with For Research Use Only or a similar labeling statement and have not been approved, cleared, or licensed by the FDA or other regulatory foreign or domestic entity, for any purpose. Customer shall not use any Product for any diagnostic or therapeutic purpose, or otherwise in any manner that conflicts with its labeling statement. Products sold or licensed by CST are provided for Customer as the end-user and solely for research and development uses. Any use of Product for diagnostic, prophylactic or therapeutic purposes, or any purchase of Product for resale (alone or as a component) or other commercial purpose, requires a separate license from CST. Customer shall (a) not sell, license, loan, donate or otherwise transfer or make available any Product to any third party, whether alone or in combination with other materials, or use the Products to manufacture any commercial products, (b) not copy, modify, reverse engineer, decompile, disassemble or otherwise attempt to discover the underlying structure or technology of the Products, or use the Products for the purpose of developing any products or services that would compete with CST products or services, (c) not alter or remove from the Products any trademarks, trade names, logos, patent or copyright notices or markings, (d) use the Products solely in accordance with CST Product Terms of Sale and any applicable documentation, and (e) comply with any license, terms of service or similar agreement with respect to any third party products or services used by Customer in connection with the Products.

Orders: 877-616-CELL (2355) [email protected] Support: 877-678-TECH (8324) [email protected] Web: cellsignal.com
For Research Use Only. Not for Use in Diagnostic Procedures.

Revision 1

Cell Signaling Technology Logo
Western blot analysis of extracts from various cell lines using Iba1/AIF-1 (E4O4W) XP® Rabbit mAb (upper) and β-Tubulin (D2N5G) Rabbit mAb #15115 (lower).
undefined Image 1: Mouse Reactive M1 vs M2 Macrophage IHC Antibody Sampler Kit
Western blot analysis of extracts from J774A.1 cells, Neuro-2a cells, and mouse spleen tissue using CD86 (E5W6H) Rabbit mAb (upper) or β-Actin (D6A8) Rabbit mAb #8457 (lower).
undefined Image 2: Mouse Reactive M1 vs M2 Macrophage IHC Antibody Sampler Kit
Western blot analysis of extracts from various cell lines and tissues using CD206/MRC1 (E6T5J) XP® Rabbit mAb (upper) or α-Actinin (D6F6) XP® Rabbit mAb #6487 (lower).
undefined Image 3: Mouse Reactive M1 vs M2 Macrophage IHC Antibody Sampler Kit
Orders: 877-616-CELL (2355) [email protected] Support: 877-678-TECH (8324) [email protected] Web: cellsignal.com
For Research Use Only. Not for Use in Diagnostic Procedures.

Revision 1

Cell Signaling Technology Logo
Western blot analysis of extracts from various cell lines using F4/80 (D2S9R) XP® Rabbit mAb (upper) or β-Actin (D6A8) Rabbit mAb #8457 (lower).
undefined Image 4: Mouse Reactive M1 vs M2 Macrophage IHC Antibody Sampler Kit
After the primary antibody is bound to the target protein, a complex with HRP-linked secondary antibody is formed. The LumiGLO® is added and emits light during enzyme catalyzed decomposition.
undefined Image 5: Mouse Reactive M1 vs M2 Macrophage IHC Antibody Sampler Kit
Western blot analysis of extracts from mouse and rat liver using Arginase-1 (D4E3M) Rabbit mAb.
undefined Image 6: Mouse Reactive M1 vs M2 Macrophage IHC Antibody Sampler Kit
Orders: 877-616-CELL (2355) [email protected] Support: 877-678-TECH (8324) [email protected] Web: cellsignal.com
For Research Use Only. Not for Use in Diagnostic Procedures.

Revision 1

Cell Signaling Technology Logo
Western blot analysis of extracts from Raw 264.7, C2C12, and 3T3 cells using CD11c (D1V9Y) Rabbit mAb (upper) or β-Actin (D6A8) Rabbit mAb #8457 (lower).
undefined Image 7: Mouse Reactive M1 vs M2 Macrophage IHC Antibody Sampler Kit
Immunoprecipitation of Iba1/AIF-1 from THP-1 cell extracts. Lane 1 is 10% input, lane 2 is Rabbit (DA1E) mAb IgG XP® Isotype Control #3900, and lane 3 is Iba1/AIF-1 (E4O4W) XP® Rabbit mAb. Western blot analysis was performed using Iba1/AIF-1 (E4O4W) XP® Rabbit mAb.
undefined Image 8: Mouse Reactive M1 vs M2 Macrophage IHC Antibody Sampler Kit
Immunohistochemical analysis of paraffin-embedded mouse liver using CD86 (E5W6H) Rabbit mAb performed on the Leica® BOND™ Rx.
undefined Image 9: Mouse Reactive M1 vs M2 Macrophage IHC Antibody Sampler Kit
Orders: 877-616-CELL (2355) [email protected] Support: 877-678-TECH (8324) [email protected] Web: cellsignal.com
For Research Use Only. Not for Use in Diagnostic Procedures.

Revision 1

Cell Signaling Technology Logo
Immunoprecipitation of CD206/MRC1 protein from mouse liver extracts. Lane 1 is 10% input, lane 2 is Rabbit (DA1E) mAb IgG XP® Isotype Control #3900, and lane 3 is CD206/MRC1 (E6T5J) XP® Rabbit mAb. Western blot analysis was performed using CD206/MRC1 (E6T5J) XP® Rabbit mAb. Anti-rabbit IgG, HRP-linked Antibody #7074 was used as the secondary antibody.
undefined Image 10: Mouse Reactive M1 vs M2 Macrophage IHC Antibody Sampler Kit
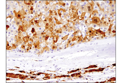
Immunohistochemical analysis of paraffin-embedded mouse liver using F4/80 (D2S9R) XP® Rabbit mAb.
undefined Image 11: Mouse Reactive M1 vs M2 Macrophage IHC Antibody Sampler Kit
Western blot analysis of extracts from mouse liver and mouse small intestine using Arginase-1 (D4E3M) Rabbit mAb (upper) or β-Actin (D6A8) Rabbit mAb #8457 (lower).
undefined Image 12: Mouse Reactive M1 vs M2 Macrophage IHC Antibody Sampler Kit
Orders: 877-616-CELL (2355) [email protected] Support: 877-678-TECH (8324) [email protected] Web: cellsignal.com
For Research Use Only. Not for Use in Diagnostic Procedures.

Revision 1

Cell Signaling Technology Logo
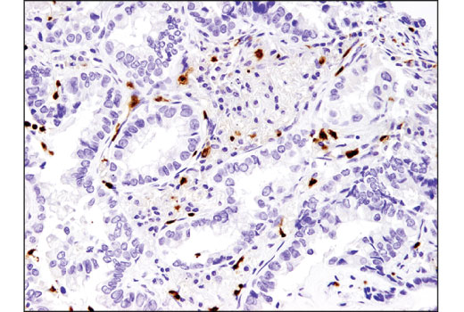
Immunohistochemical analysis of paraffin-embedded 4T1 mammary tumor using CD11c (D1V9Y) Rabbit mAb performed on the Leica® Bond™ Rx.
undefined Image 13: Mouse Reactive M1 vs M2 Macrophage IHC Antibody Sampler Kit
Immunohistochemical analysis of paraffin-embedded human neuroendocrine carcinoma of the lung using Iba1/AIF-1 (E4O4W) XP® Rabbit mAb performed on the Leica® BOND™ Rx.
undefined Image 14: Mouse Reactive M1 vs M2 Macrophage IHC Antibody Sampler Kit
Immunohistochemical analysis of paraffin-embedded mouse lung using CD86 (E5W6H) Rabbit mAb performed on the Leica® BOND™ Rx.
undefined Image 15: Mouse Reactive M1 vs M2 Macrophage IHC Antibody Sampler Kit
Orders: 877-616-CELL (2355) [email protected] Support: 877-678-TECH (8324) [email protected] Web: cellsignal.com
For Research Use Only. Not for Use in Diagnostic Procedures.

Revision 1

Cell Signaling Technology Logo
Immunohistochemical analysis of paraffin-embedded mouse liver using CD206/MRC1 (E6T5J) XP® Rabbit mAb performed on the Leica® BOND™ Rx.
undefined Image 16: Mouse Reactive M1 vs M2 Macrophage IHC Antibody Sampler Kit
Immunohistochemical analysis of paraffin-embedded mouse spleen using F4/80 (D2S9R) XP® Rabbit mAb.
undefined Image 17: Mouse Reactive M1 vs M2 Macrophage IHC Antibody Sampler Kit
Immunohistochemical analysis of paraffin-embedded human colon adenocarcinoma using Arginase-1 (D4E3M) Rabbit mAb performed on the Leica® BOND™ Rx.
undefined Image 18: Mouse Reactive M1 vs M2 Macrophage IHC Antibody Sampler Kit
Orders: 877-616-CELL (2355) [email protected] Support: 877-678-TECH (8324) [email protected] Web: cellsignal.com
For Research Use Only. Not for Use in Diagnostic Procedures.

Revision 1

Cell Signaling Technology Logo
Immunohistochemical analysis of paraffin-embedded mouse kidney using CD11c (D1V9Y) Rabbit mAb.
undefined Image 19: Mouse Reactive M1 vs M2 Macrophage IHC Antibody Sampler Kit
Immunohistochemical analysis of paraffin-embedded human non-Hodgkin's lymphoma using Iba1/AIF-1 (E4O4W) XP® Rabbit mAb performed on the Leica® BOND™ Rx.
undefined Image 20: Mouse Reactive M1 vs M2 Macrophage IHC Antibody Sampler Kit
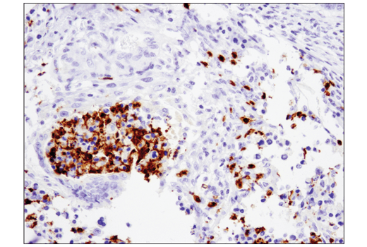
Immunohistochemical analysis of paraffin-embedded CT26.WT syngeneic tumor using CD86 (E5W6H) Rabbit mAb.
undefined Image 21: Mouse Reactive M1 vs M2 Macrophage IHC Antibody Sampler Kit
Orders: 877-616-CELL (2355) [email protected] Support: 877-678-TECH (8324) [email protected] Web: cellsignal.com
For Research Use Only. Not for Use in Diagnostic Procedures.

Revision 1

Cell Signaling Technology Logo
Immunohistochemical analysis of paraffin-embedded mouse lung using CD206/MRC1 (E6T5J) XP® Rabbit mAb performed on the Leica® BOND™ Rx.
undefined Image 22: Mouse Reactive M1 vs M2 Macrophage IHC Antibody Sampler Kit
Immunohistochemical analysis of paraffin-embedded mouse small intestine using F4/80 (D2S9R) XP® Rabbit mAb.
undefined Image 23: Mouse Reactive M1 vs M2 Macrophage IHC Antibody Sampler Kit
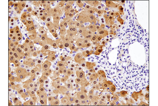
Immunohistochemical analysis of paraffin-embedded human hepatocellular carcinoma using Arginase-1 (D4E3M) Rabbit mAb.
undefined Image 24: Mouse Reactive M1 vs M2 Macrophage IHC Antibody Sampler Kit
Orders: 877-616-CELL (2355) [email protected] Support: 877-678-TECH (8324) [email protected] Web: cellsignal.com
For Research Use Only. Not for Use in Diagnostic Procedures.

Revision 1

Cell Signaling Technology Logo
Immunohistochemical analysis of paraffin-embedded mouse liver using CD11c (D1V9Y) Rabbit mAb.
undefined Image 25: Mouse Reactive M1 vs M2 Macrophage IHC Antibody Sampler Kit
Immunohistochemical analysis of paraffin-embedded human ovarian clear cell carcinoma using Iba1/AIF-1 (E4O4W) XP® Rabbit mAb (left) or Iba1/AIF-1 (E5N4J) Mouse mAb (IHC Formulated) #58970 (right) performed on the Leica® BOND™ Rx. These two antibodies detect independent, unique epitopes on human Iba1/AIF-1 protein. The similar staining patterns obtained with both antibodies help to confirm the specificity of the staining.
undefined Image 26: Mouse Reactive M1 vs M2 Macrophage IHC Antibody Sampler Kit
Immunohistochemical analysis of paraffin-embedded GL-261 syngeneic tumor using CD86 (E5W6H) Rabbit mAb.
undefined Image 27: Mouse Reactive M1 vs M2 Macrophage IHC Antibody Sampler Kit
Orders: 877-616-CELL (2355) [email protected] Support: 877-678-TECH (8324) [email protected] Web: cellsignal.com
For Research Use Only. Not for Use in Diagnostic Procedures.

Revision 1

Cell Signaling Technology Logo
Immunohistochemical analysis of paraffin-embedded mouse stomach using CD206/MRC1 (E6T5J) XP® Rabbit mAb performed on the Leica® BOND™ Rx.
undefined Image 28: Mouse Reactive M1 vs M2 Macrophage IHC Antibody Sampler Kit
Immunohistochemical analysis of paraffin-embedded Raw 264.7 cell pellet (left, positive) or Neuro-2A cell pellet (right, negative) using F4/80 (D2S9R) XP® Rabbit mAb.
undefined Image 29: Mouse Reactive M1 vs M2 Macrophage IHC Antibody Sampler Kit
Immunohistochemical analysis of paraffin-embedded normal human liver using Arginase-1 (D4E3M) Rabbit mAb.
undefined Image 30: Mouse Reactive M1 vs M2 Macrophage IHC Antibody Sampler Kit
Orders: 877-616-CELL (2355) [email protected] Support: 877-678-TECH (8324) [email protected] Web: cellsignal.com
For Research Use Only. Not for Use in Diagnostic Procedures.

Revision 1

Cell Signaling Technology Logo
Immunohistochemical analysis of paraffin-embedded mouse lung using CD11c (D1V9Y) Rabbit mAb.
undefined Image 31: Mouse Reactive M1 vs M2 Macrophage IHC Antibody Sampler Kit
Dual immunohistochemical analysis of paraffin-embedded human Alzheimer's brain using Iba1/AIF-1 (E4O4W) XP® Rabbit mAb (brown) and APP/β-Amyloid (NAB228) Mouse mAb #2450 (red).
undefined Image 32: Mouse Reactive M1 vs M2 Macrophage IHC Antibody Sampler Kit
Immunohistochemical analysis of paraffin-embedded J774A.1 cell pellet (left, positive) or BA/F3 cell pellet (right, negative) using CD86 (E5W6H) Rabbit mAb.
undefined Image 33: Mouse Reactive M1 vs M2 Macrophage IHC Antibody Sampler Kit
Orders: 877-616-CELL (2355) [email protected] Support: 877-678-TECH (8324) [email protected] Web: cellsignal.com
For Research Use Only. Not for Use in Diagnostic Procedures.

Revision 1

Cell Signaling Technology Logo
Immunohistochemical analysis of paraffin-embedded 4T1 syngeneic mammary tumor using CD206/MRC1 (E6T5J) XP® Rabbit mAb.
undefined Image 34: Mouse Reactive M1 vs M2 Macrophage IHC Antibody Sampler Kit
Multiplex immunohistochemical analysis of paraffin-embedded mouse LL2 syngeneic tumor tissue using F4/80 (D2S9R) XP® rabbit mAb (orange), PD-1 (D7D5W) XP® rabbit mAb #84651 (green), PD-L1 (D5V3B) rabbit mAb #64988 (yellow), CD3ε (D4V8L) rabbit mAb #99940 (red), CD8α (D4W2Z) XP® rabbit mAb #98941 (magenta) and pan keratin (C11) mouse mAb #4279 (cyan).
undefined Image 35: Mouse Reactive M1 vs M2 Macrophage IHC Antibody Sampler Kit
Immunohistochemical analysis of paraffin-embedded human lung carcinoma using Arginase-1 (D4E3M) Rabbit mAb.
undefined Image 36: Mouse Reactive M1 vs M2 Macrophage IHC Antibody Sampler Kit
Orders: 877-616-CELL (2355) [email protected] Support: 877-678-TECH (8324) [email protected] Web: cellsignal.com
For Research Use Only. Not for Use in Diagnostic Procedures.

Revision 1

Cell Signaling Technology Logo
Immunohistochemical analysis of paraffin-embedded Raw 264.7 cell pellet (left, positive) or C2C12 cell pellet (right, negative) using CD11c (D1V9Y) Rabbit mAb.
undefined Image 37: Mouse Reactive M1 vs M2 Macrophage IHC Antibody Sampler Kit
Immunohistochemical analysis of paraffin-embedded mouse brain using Iba1/AIF-1 (E4O4W) XP® Rabbit mAb.
undefined Image 38: Mouse Reactive M1 vs M2 Macrophage IHC Antibody Sampler Kit
Immunohistochemical analysis of paraffin-embedded mouse spleen using CD86 (E5W6H) Rabbit mAb (left) compared to concentration-matched Rabbit (DA1E) mAb IgG XP® Isotype Control #3900 (right).
undefined Image 39: Mouse Reactive M1 vs M2 Macrophage IHC Antibody Sampler Kit
Orders: 877-616-CELL (2355) [email protected] Support: 877-678-TECH (8324) [email protected] Web: cellsignal.com
For Research Use Only. Not for Use in Diagnostic Procedures.

Revision 1

Cell Signaling Technology Logo
Immunohistochemical analysis of paraffin-embedded CT26.WT syngeneic tumor using CD206/MRC1 (E6T5J) XP® Rabbit mAb.
undefined Image 40: Mouse Reactive M1 vs M2 Macrophage IHC Antibody Sampler Kit
Immunoprecipitation of F4/80 from BaF3 cell extracts. Lane 1 is 10% input, lane 2 is precipitated with Rabbit (DA1E) mAb IgG XP® Isotype Control #3900, and lane 3 is F4/80 (D2S9R) XP® Rabbit mAb, #70076. Western blot was performed using F4/80 (D2S9R) XP® Rabbit mAb.
undefined Image 41: Mouse Reactive M1 vs M2 Macrophage IHC Antibody Sampler Kit
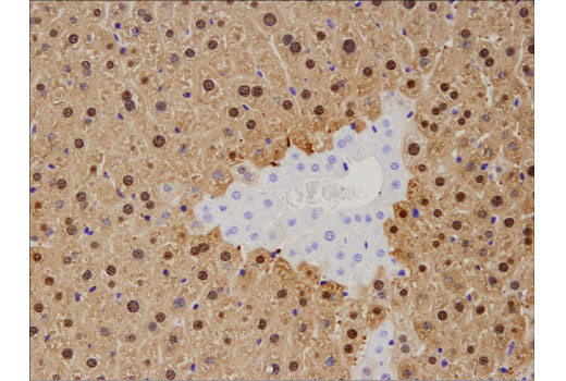
Immunohistochemical analysis of paraffin-embedded mouse liver using Arginase-1 (D4E3M) Rabbit mAb.
undefined Image 42: Mouse Reactive M1 vs M2 Macrophage IHC Antibody Sampler Kit
Orders: 877-616-CELL (2355) [email protected] Support: 877-678-TECH (8324) [email protected] Web: cellsignal.com
For Research Use Only. Not for Use in Diagnostic Procedures.

Revision 1

Cell Signaling Technology Logo
Immunohistochemical analysis of paraffin-embedded mouse spleen using CD11c (D1V9Y) Rabbit mAb.
undefined Image 43: Mouse Reactive M1 vs M2 Macrophage IHC Antibody Sampler Kit
Immunohistochemical analysis of paraffin-embedded mouse spleen using Iba1/AIF-1 (E4O4W) XP® Rabbit mAb.
undefined Image 44: Mouse Reactive M1 vs M2 Macrophage IHC Antibody Sampler Kit
Immunohistochemical analysis of paraffin-embedded LL/2 syngeneic tumor using CD206/MRC1 (E6T5J) XP® Rabbit mAb.
undefined Image 45: Mouse Reactive M1 vs M2 Macrophage IHC Antibody Sampler Kit
Orders: 877-616-CELL (2355) [email protected] Support: 877-678-TECH (8324) [email protected] Web: cellsignal.com
For Research Use Only. Not for Use in Diagnostic Procedures.

Revision 1

Cell Signaling Technology Logo
Confocal immunofluorescent analysis of mouse spleen (left) and mouse kidney (right) using CD11c (D1V9Y) Rabbit mAb. Nuclei were labeled with ProLong® Gold Antifade reagent with DAPI #8961 (blue).
undefined Image 46: Mouse Reactive M1 vs M2 Macrophage IHC Antibody Sampler Kit
Immunohistochemical analysis of paraffin-embedded mouse small intestine using Iba1/AIF-1 (E4O4W) XP® Rabbit mAb.
undefined Image 47: Mouse Reactive M1 vs M2 Macrophage IHC Antibody Sampler Kit
Immunohistochemical analysis of paraffin-embedded Renca syngeneic tumor using CD206/MRC1 (E6T5J) XP® Rabbit mAb.
undefined Image 48: Mouse Reactive M1 vs M2 Macrophage IHC Antibody Sampler Kit
Orders: 877-616-CELL (2355) [email protected] Support: 877-678-TECH (8324) [email protected] Web: cellsignal.com
For Research Use Only. Not for Use in Diagnostic Procedures.

Revision 1

Cell Signaling Technology Logo
Confocal immunofluorescent analysis of mouse liver (positive; left) or small intestine (negative; right) using Arginase-1 (D4E3M) Rabbit mAb (green). Blue pseudocolor = DRAQ5 #4084 (fluorescent DNA dye).
undefined Image 49: Mouse Reactive M1 vs M2 Macrophage IHC Antibody Sampler Kit
Confocal immunofluorescent analysis of Raw 264.7 cells (left, positive) and 3T3 cells (right, negative) using CD11c (D1V9Y) Rabbit mAb (green). Red = Propidium Iodide (PI)/RNase Staining Solution #4087.
undefined Image 50: Mouse Reactive M1 vs M2 Macrophage IHC Antibody Sampler Kit
Immunohistochemical analysis of paraffin-embedded normal rat brain using Iba1/AIF-1 (E4O4W) XP® Rabbit mAb.
undefined Image 51: Mouse Reactive M1 vs M2 Macrophage IHC Antibody Sampler Kit
Orders: 877-616-CELL (2355) [email protected] Support: 877-678-TECH (8324) [email protected] Web: cellsignal.com
For Research Use Only. Not for Use in Diagnostic Procedures.

Revision 1

Cell Signaling Technology Logo
Immunohistochemical analysis of paraffin-embedded mouse colon using CD206/MRC1 (E6T5J) XP® Rabbit mAb.
undefined Image 52: Mouse Reactive M1 vs M2 Macrophage IHC Antibody Sampler Kit
Confocal immunofluorescent analysis of mouse primary bone marrow-derived macrophages (BMDMs) using Arginase-1 (D4E3M) Rabbit mAb (green). BMDMs were differentiated with M-CSF (20 ng/ml, 7 days) and activated with either IL-4/cAMP (20 ng/ml, 0.5 mM, 24 hours; left) or LPS/IFNγ (50 ng/ml, 20 ng/ml, 24 hours; right). Red = Propidium Iodide (PI)/RNase Staining Solution #4087.
undefined Image 53: Mouse Reactive M1 vs M2 Macrophage IHC Antibody Sampler Kit
Immunohistochemical analysis of paraffin-embedded normal rhesus monkey spleen using Iba1/AIF-1 (E4O4W) XP® Rabbit mAb.
undefined Image 54: Mouse Reactive M1 vs M2 Macrophage IHC Antibody Sampler Kit
Orders: 877-616-CELL (2355) [email protected] Support: 877-678-TECH (8324) [email protected] Web: cellsignal.com
For Research Use Only. Not for Use in Diagnostic Procedures.

Revision 1

Cell Signaling Technology Logo
Immunohistochemical analysis of paraffin-embedded mouse pancreas using CD206/MRC1 (E6T5J) XP® Rabbit mAb.
undefined Image 55: Mouse Reactive M1 vs M2 Macrophage IHC Antibody Sampler Kit
Flow cytometric analysis of human whole blood using Arginase-1 (D4E3M) Rabbit mAb (solid line) compared to concentration-matched Rabbit (DA1E) mAb IgG Isotype Control #3900 (dashed line). Anti-rabbit IgG (H+L), F(ab')2 Fragment (Alexa Fluor® 488 Conjugate) #4412 was used as a secondary antibody. Analysis was performed on cells in the granulocyte gate.
undefined Image 56: Mouse Reactive M1 vs M2 Macrophage IHC Antibody Sampler Kit
Immunohistochemical analysis of paraffin-embedded normal rhesus monkey liver using Iba1/AIF-1 (E4O4W) XP® Rabbit
undefined Image 57: Mouse Reactive M1 vs M2 Macrophage IHC Antibody Sampler Kit
Orders: 877-616-CELL (2355) [email protected] Support: 877-678-TECH (8324) [email protected] Web: cellsignal.com
For Research Use Only. Not for Use in Diagnostic Procedures.

Revision 1

Cell Signaling Technology Logo
Immunohistochemical analysis of paraffin-embedded mouse spleen using CD206/MRC1 (E6T5J) XP® Rabbit mAb (left) compared to concentration-matched Rabbit (DA1E) mAb IgG XP® Isotype Control #3900 (right).
undefined Image 58: Mouse Reactive M1 vs M2 Macrophage IHC Antibody Sampler Kit
Confocal immunofluorescent analysis of human cortex (left) and mouse CA1 hippocampus (right) using Iba1/AIF-1 (E4O4W) XP® Rabbit mAb (green). In mouse tissue sections, cell nuclei were labeled with DAPI (blue). Images kindly provided by Dr. Simone Brioschi and Dr. Marco Colonna (Washington University) and used with permission.
undefined Image 59: Mouse Reactive M1 vs M2 Macrophage IHC Antibody Sampler Kit
Immunohistochemical analysis of paraffin-embedded normal Syrian hamster small intestine using Iba1/AIF-1 (E4O4W) XP® Rabbit mAb.
undefined Image 60: Mouse Reactive M1 vs M2 Macrophage IHC Antibody Sampler Kit
Orders: 877-616-CELL (2355) [email protected] Support: 877-678-TECH (8324) [email protected] Web: cellsignal.com
For Research Use Only. Not for Use in Diagnostic Procedures.

Revision 1

Cell Signaling Technology Logo
Immunohistochemical analysis of paraffin-embedded mouse testis using CD206/MRC1 (E6T5J) XP® Rabbit mAb (left) or CD206/MRC1 antibody (right). These two antibodies detect independent, unique epitopes on mouse CD206/MRC1. The similar staining patterns obtained with both antibodies help to confirm the specificity of the staining.
undefined Image 61: Mouse Reactive M1 vs M2 Macrophage IHC Antibody Sampler Kit
Immunohistochemical analysis of paraffin-embedded human ovarian serous carcinoma using Iba1/AIF-1 (E4O4W) XP® Rabbit mAb.
undefined Image 62: Mouse Reactive M1 vs M2 Macrophage IHC Antibody Sampler Kit
Confocal immunofluorescent analysis of mouse small intestine using Iba1/AIF-1 (E4O4W) XP® Rabbit mAb (green). Actin filaments were labeled with DyLight™ 554 Phalloidin #13054 (red). Sections were mounted in ProLong® Gold Antifade Reagent with DAPI #8961 (blue).
undefined Image 63: Mouse Reactive M1 vs M2 Macrophage IHC Antibody Sampler Kit
Orders: 877-616-CELL (2355) [email protected] Support: 877-678-TECH (8324) [email protected] Web: cellsignal.com
For Research Use Only. Not for Use in Diagnostic Procedures.

Revision 1

Cell Signaling Technology Logo
Confocal immunofluorescent analysis of mouse heart using CD206/MRC1 (E6T5J) XP® Rabbit mAb (green). Actin filaments were labeled with DyLight™ 650 Phalloidin #12956 (red). Sections were mounted in ProLong® Gold Antifade Reagent with DAPI #8961 (blue).
undefined Image 64: Mouse Reactive M1 vs M2 Macrophage IHC Antibody Sampler Kit
Immunohistochemical analysis of paraffin-embedded normal rhesus monkey spleen using CD206/MRC1 (E6T5J) XP® Rabbit mAb.
undefined Image 65: Mouse Reactive M1 vs M2 Macrophage IHC Antibody Sampler Kit
Immunohistochemical analysis of paraffin-embedded human colon carcinoma using Iba1/AIF-1 (E4O4W) XP® Rabbit mAb.
undefined Image 66: Mouse Reactive M1 vs M2 Macrophage IHC Antibody Sampler Kit
Orders: 877-616-CELL (2355) [email protected] Support: 877-678-TECH (8324) [email protected] Web: cellsignal.com
For Research Use Only. Not for Use in Diagnostic Procedures.

Revision 1

Cell Signaling Technology Logo
Confocal immunofluorescent analysis of mouse liver using Iba1/AIF-1 (E4O4W) XP® Rabbit mAb (green). Actin filaments were labeled with DyLight™ 554 Phalloidin #13054 (red). Sections were mounted in ProLong® Gold Antifade Reagent with DAPI #8961 (blue).
undefined Image 67: Mouse Reactive M1 vs M2 Macrophage IHC Antibody Sampler Kit
Confocal immunofluorescent analysis of mouse spleen using CD206/MRC1 (E6T5J) XP® Rabbit mAb (green). Actin filaments were labeled with DyLight™ 650 Phalloidin #12956 (red). Sections were mounted in ProLong® Gold Antifade Reagent with DAPI #8961 (blue).
undefined Image 68: Mouse Reactive M1 vs M2 Macrophage IHC Antibody Sampler Kit
Immunohistochemical analysis of paraffin-embedded human ductal breast carcinoma using Iba1/AIF-1 (E4O4W) XP® Rabbit mAb (left) compared to concentration-matched Rabbit (DA1E) mAb IgG XP® Isotype Control #3900 (right).
undefined Image 69: Mouse Reactive M1 vs M2 Macrophage IHC Antibody Sampler Kit
Orders: 877-616-CELL (2355) [email protected] Support: 877-678-TECH (8324) [email protected] Web: cellsignal.com
For Research Use Only. Not for Use in Diagnostic Procedures.

Revision 1

Cell Signaling Technology Logo
Confocal immunofluorescent analysis of microglia in mouse hippocampus using Iba1/AIF-1 (E4O4W) XP® Rabbit mAb (green). Sections were mounted in ProLong® Gold Antifade Reagent with DAPI #8961 (blue).
undefined Image 70: Mouse Reactive M1 vs M2 Macrophage IHC Antibody Sampler Kit
Confocal immunofluorescent analysis of mouse liver using CD206/MRC1 (E6T5J) XP® Rabbit mAb (green). Actin filaments were labeled with DyLight™ 650 Phalloidin #12956 (red). Sections were mounted in ProLong® Gold Antifade Reagent with DAPI #8961 (blue).
undefined Image 71: Mouse Reactive M1 vs M2 Macrophage IHC Antibody Sampler Kit
Immunohistochemical analysis of paraffin-embedded THP-1 cell pellet (left, positive) or SH-SY5Y cell pellet (right, negative) using Iba1/AIF-1 (E4O4W) XP® Rabbit mAb.
undefined Image 72: Mouse Reactive M1 vs M2 Macrophage IHC Antibody Sampler Kit
Orders: 877-616-CELL (2355) [email protected] Support: 877-678-TECH (8324) [email protected] Web: cellsignal.com
For Research Use Only. Not for Use in Diagnostic Procedures.

Revision 1

Cell Signaling Technology Logo
Confocal immunofluorescent analysis of THP-1 cells differentiated with TPA (12-O-Tetradecanoylphorbol-13-Acetate) #4174 (80 nM, 24 hr; left, positive) and SH-SY5Y cells (right, negative), using Iba1/AIF-1 (E4O4W) XP® Rabbit mAb (green). Actin filaments were labeled with DyLight™ 554 Phalloidin #13054 (red). Samples were mounted in ProLong® Gold Antifade Reagent with DAPI #8961 (blue).
undefined Image 73: Mouse Reactive M1 vs M2 Macrophage IHC Antibody Sampler Kit
Flow cytometric analysis of SH-SY5Y cells (blue, negative) and THP-1 cells (green, positive) using Iba1/AIF-1 (E4O4W) XP® Rabbit mAb (solid lines) or a concentration-matched Rabbit (DA1E) mAb IgG XP® Isotype Control #3900 (dashed lines). Anti-rabbit IgG (H+L), F(ab')2 Fragment (Alexa Fluor® 488 Conjugate) #4412 was used as a secondary antibody.
undefined Image 74: Mouse Reactive M1 vs M2 Macrophage IHC Antibody Sampler Kit
Simple Western™ analysis of lysates (1 mg/mL) from THP-1 cells using Iba1/AIF-1 (E4O4W) XP® Rabbit mAb #17198. The virtual lane view (left) shows the target band (as indicated) at 1:10 and 1:50 dilutions of primary antibody. The corresponding electropherogram view (right) plots chemiluminescence by molecular weight along the capillary at 1:10 (blue line) and 1:50 (green line) dilutions of primary antibody. This experiment was performed under reducing conditions on the Jess™ Simple Western instrument from ProteinSimple, a BioTechne brand, using the 12-230 kDa separation module.
undefined Image 75: Mouse Reactive M1 vs M2 Macrophage IHC Antibody Sampler Kit
Orders: 877-616-CELL (2355) [email protected] Support: 877-678-TECH (8324) [email protected] Web: cellsignal.com
For Research Use Only. Not for Use in Diagnostic Procedures.

Revision 1

Cell Signaling Technology Logo
Confocal immunofluorescent analysis of MUTZ-3 cells (left, positive) or Jurkat cells (right, negative) using CD206/MRC1 (E6T5J) XP® Rabbit mAb (green) and DAPI #4083 (blue).
undefined Image 76: Mouse Reactive M1 vs M2 Macrophage IHC Antibody Sampler Kit
Simple WesternTM analysis of lysates (0.1 mg/mL) from mouse spleen tissue using CD206/MRC1 (E6T5J) XP® Rabbit mAb #24595. The virtual lane view (left) shows the target (as indicated) at 1:10 and 1:50 dilutions of primary antibody. The corresponding electropherogram view (right) plots chemiluminescence by molecular weight along the capillary at 1:10 (blue line) and 1:50 (green line) dilutions of primary antibody. This experiment was performed under reducing conditions on the JessTM Simple Western instrument from ProteinSimple, a BioTechne brand, using the 66-440 kDa separation module.
undefined Image 77: Mouse Reactive M1 vs M2 Macrophage IHC Antibody Sampler Kit
Simple Western™ analysis of extracts (0.1 mg/mL) from mouse liver tissue using Arginase-1 (D4E3M) Rabbit mAb #93668. The virtual lane view (left) shows the target band (as indicated) at 1:10 and 1:50 dilutions of primary antibody. The corresponding electropherogram view (right) plots chemiluminescence by molecular weight along the capillary at 1:10 (blue line) and 1:50 (green line) dilutions of primary antibody. This experiment was performed under reducing conditions on the Jess™ Simple Western instrument from ProteinSimple, a BioTechne brand, using the 12-230 kDa separation module.
undefined Image 78: Mouse Reactive M1 vs M2 Macrophage IHC Antibody Sampler Kit
Orders: 877-616-CELL (2355) [email protected] Support: 877-678-TECH (8324) [email protected] Web: cellsignal.com
For Research Use Only. Not for Use in Diagnostic Procedures.

Revision 1

Cell Signaling Technology Logo
Flow cytometric analysis of mouse bone marrow-derived macrophage cells, untreated (blue) or treated with hIL-4 (20 ng/mL, 48 hr; green), using Arginase-1 (D4E3M) Rabbit mAb (solid lines) or a concentration-matched Rabbit (DA1E) mAb IgG Isotype Control #3900 (dashed lines). Anti-rabbit IgG (H+L), F(ab')2 fragment (Alexa Fluor® 488 conjugate) #4412 was used as a secondary antibody.
undefined Image 79: Mouse Reactive M1 vs M2 Macrophage IHC Antibody Sampler Kit
Western blot analysis of extracts from various mouse cells using CD68 (E3O7V) Rabbit mAb (upper) or GAPDH (D16H11) XP® Rabbit mAb #5174 (lower).
undefined Image 80: Mouse Reactive M1 vs M2 Macrophage IHC Antibody Sampler Kit
Confocal immunofluorescent analysis of mouse subiculum using CD68 (E3O7V) Rabbit mAb (red). Free secondary binding sites were then blocked with Rabbit (DA1E) mAb IgG XP® Isotype Control #3900 prior to colabeling with GFAP (GA5) Mouse mAb (Alexa Fluor® 488 Conjugate) #3655 (right, green), β-Amyloid (D54D2) XP® Rabbit mAb (Alexa Fluor® 647 Conjugate) #42284 (right, cyan pseudocolor), and DAPI #4083 (right, blue).
undefined Image 81: Mouse Reactive M1 vs M2 Macrophage IHC Antibody Sampler Kit
Orders: 877-616-CELL (2355) [email protected] Support: 877-678-TECH (8324) [email protected] Web: cellsignal.com
For Research Use Only. Not for Use in Diagnostic Procedures.

Revision 1

Cell Signaling Technology Logo
Western blot analysis of extracts from 293T cells, mock transfected (-) or transfected with a construct expressing Myc/DDK-tagged full-length mouse CD68 protein (mCD68-Myc/DDK; +), using CD68 (E3O7V) Rabbit mAb (upper), Myc-Tag (71D10) Rabbit mAb #2278 (middle), and β-Actin (D6A8) Rabbit mAb #8457 (lower).
undefined Image 82: Mouse Reactive M1 vs M2 Macrophage IHC Antibody Sampler Kit
Confocal immunofluorescent analysis of RAW 264.7 cells (left, positive) and Neuro-2a cells (right, negative) using CD68 (E3O7V) Rabbit mAb (green), DyLight 488 Phalloidin #12935 (red pseudocolor), and DAPI #4083 (blue).
undefined Image 83: Mouse Reactive M1 vs M2 Macrophage IHC Antibody Sampler Kit
Immunohistochemical analysis of paraffin-embedded mouse colon using CD68 (E3O7V) Rabbit mAb performed on the Leica® BOND™ Rx.
undefined Image 84: Mouse Reactive M1 vs M2 Macrophage IHC Antibody Sampler Kit
Orders: 877-616-CELL (2355) [email protected] Support: 877-678-TECH (8324) [email protected] Web: cellsignal.com
For Research Use Only. Not for Use in Diagnostic Procedures.

Revision 1

Cell Signaling Technology Logo
Immunohistochemical analysis of paraffin-embedded mouse lung using CD68 (E3O7V) Rabbit mAb performed on the Leica® BOND™ Rx.
undefined Image 85: Mouse Reactive M1 vs M2 Macrophage IHC Antibody Sampler Kit
Immunohistochemical analysis of paraffin-embedded mouse spleen using CD68 (E3O7V) Rabbit mAb performed on the Leica® BOND™ Rx.
undefined Image 86: Mouse Reactive M1 vs M2 Macrophage IHC Antibody Sampler Kit
Immunohistochemical analysis of paraffin-embedded mouse testis using CD68 (E3O7V) Rabbit mAb performed on the Leica® BOND™ Rx.
undefined Image 87: Mouse Reactive M1 vs M2 Macrophage IHC Antibody Sampler Kit
Orders: 877-616-CELL (2355) [email protected] Support: 877-678-TECH (8324) [email protected] Web: cellsignal.com
For Research Use Only. Not for Use in Diagnostic Procedures.

Revision 1

Cell Signaling Technology Logo
Immunohistochemical analysis of paraffin-embedded RAW 264.7 cell pellet (left, positive), Renca cell pellet (middle, positive), or Neuro-2a cell pellet (right, negative) using CD68 (E3O7V) Rabbit mAb.
undefined Image 88: Mouse Reactive M1 vs M2 Macrophage IHC Antibody Sampler Kit
Immunohistochemical analysis of paraffin-embedded mouse small intestine using CD68 (E3O7V) Rabbit mAb (left) compared to concentration-matched Rabbit (DA1E) mAb IgG XP® Isotype Control #3900 (right).
undefined Image 89: Mouse Reactive M1 vs M2 Macrophage IHC Antibody Sampler Kit
Immunohistochemical analysis of paraffin-embedded A20 syngeneic tumor using CD68 (E3O7V) Rabbit mAb.
undefined Image 90: Mouse Reactive M1 vs M2 Macrophage IHC Antibody Sampler Kit
Orders: 877-616-CELL (2355) [email protected] Support: 877-678-TECH (8324) [email protected] Web: cellsignal.com
For Research Use Only. Not for Use in Diagnostic Procedures.

Revision 1

Cell Signaling Technology Logo
Immunohistochemical analysis of paraffin-embedded 4T1 syngeneic mammary tumor using CD68 (E3O7V) Rabbit mAb.
undefined Image 91: Mouse Reactive M1 vs M2 Macrophage IHC Antibody Sampler Kit
Immunohistochemical analysis of paraffin-embedded mouse liver using CD68 (E3O7V) Rabbit mAb.
undefined Image 92: Mouse Reactive M1 vs M2 Macrophage IHC Antibody Sampler Kit
Immunohistochemical analysis of paraffin-embedded Renca syngeneic tumor using CD68 (E3O7V) Rabbit mAb.
undefined Image 93: Mouse Reactive M1 vs M2 Macrophage IHC Antibody Sampler Kit
Orders: 877-616-CELL (2355) [email protected] Support: 877-678-TECH (8324) [email protected] Web: cellsignal.com
For Research Use Only. Not for Use in Diagnostic Procedures.

Revision 1

Cell Signaling Technology Logo
Confocal immunofluorescent analysis of mouse colon (left) and liver (right) using CD68 (E3O7V) Rabbit mAb (red). After blocking free secondary antibody binding sites with Rabbit (DA1E) mAb IgG XP® Isotype Control #3900, the tissue was then labeled using HS1 (D5A9) XP® Rabbit mAb (Rodent Specific) (Alexa Fluor® 488 Conjugate) #68206 (green). Sections were mounted in ProLong® Gold Antifade Reagent with DAPI #8961 (blue).
undefined Image 94: Mouse Reactive M1 vs M2 Macrophage IHC Antibody Sampler Kit
Confocal immunofluorescent analysis of RAW 264.7 cells (left, positive) and Neuro-2a cells (right, negative) using CD68 (E3O7V) Rabbit mAb (green). Cells were mounted in ProLong® Gold Antifade Reagent with DAPI #8961 (blue).
undefined Image 95: Mouse Reactive M1 vs M2 Macrophage IHC Antibody Sampler Kit
Flow cytometric analysis of RAW 264.7 cells, untreated (blue) or treated with TPA (12-O-Tetradecanoylphorbol-13-Acetate) #4174 (100 ng/mL, 24 h; green) using CD68 (E3O7V) Rabbit mAb (solid lines) or concentration-matched Rabbit (DA1E) mAb IgG XP® Isotype Control #3900 (dashed lines). Anti-rabbit IgG (H+L), F(ab')₂ Fragment (Alexa Fluor® 488 Conjugate) #4412 was used as a secondary antibody.
undefined Image 96: Mouse Reactive M1 vs M2 Macrophage IHC Antibody Sampler Kit
Orders: 877-616-CELL (2355) [email protected] Support: 877-678-TECH (8324) [email protected] Web: cellsignal.com
For Research Use Only. Not for Use in Diagnostic Procedures.

Revision 1

Cell Signaling Technology Logo
Immunohistochemical anaylsis of paraffin-embedded Syrian hamster colon using CD68 (E3O7V) Rabbit mAb.
undefined Image 97: Mouse Reactive M1 vs M2 Macrophage IHC Antibody Sampler Kit
Immunohistochemical anaylsis of paraffin-embedded rat small intestine using CD68 (E3O7V) Rabbit mAb.
undefined Image 98: Mouse Reactive M1 vs M2 Macrophage IHC Antibody Sampler Kit
Orders: 877-616-CELL (2355) [email protected] Support: 877-678-TECH (8324) [email protected] Web: cellsignal.com
For Research Use Only. Not for Use in Diagnostic Procedures.