Revision 4

#9864

Store at -20C

mTOR Regulation Antibody Sampler Kit

1 Kit

(6 x 20 microliters)

CST Logo
Orders:

877-616-CELL (2355)

[email protected]

Support:

877-678-TECH (8324)

3 Trask Lane | Danvers | Massachusetts | 01923 | USA

For Research Use Only. Not for Use in Diagnostic Procedures.

Product Includes Product # Quantity Mol. Wt Isotype/Source
mTOR (7C10) Rabbit Monoclonal Antibody298320 µl289 kDaRabbit IgG
Phospho-mTOR (Ser2448) (D9C2) Rabbit Monoclonal Antibody553620 µl289 kDaRabbit IgG
Phospho-Raptor (Ser792) Antibody208320 µl150 kDaRabbit
PRAS40 (D23C7) Rabbit Monoclonal Antibody269120 µl40 kDaRabbit IgG
Phospho-PRAS40 (Thr246) (C77D7) Rabbit Monoclonal Antibody299720 µl40 kDaRabbit IgG
RagC (D8H5) Rabbit Monoclonal Antibody948020 µl50 kDaRabbit IgG
Anti-rabbit IgG, HRP-linked Antibody7074100 µlGoat

Please visit cellsignal.com for individual component applications, species cross-reactivity, dilutions, protocols, and additional product information.

Description

The mTOR Regulation Sampler Kit provides an economical means to evaluate the regulation of mTOR signaling by such proteins as phosphorylated Raptor, RagC and PRAS40. The kit contains enough primary and secondary antibodies to perform two Western blot experiments per primary antibody.

Storage

Supplied in 10 mM sodium HEPES (pH 7.5), 150 mM NaCl, 100 µg/ml BSA, 50% glycerol and less than 0.02% sodium azide. Store at –20°C. Do not aliquot the antibody.

Background

The mammalian target of rapamycin (mTOR, FRAP, RAFT) is a Ser/Thr protein kinase (1-3) that functions as an ATP and amino acid sensor to balance nutrient availability and cell growth (4,5). When sufficient nutrients are available, mTOR responds to a phosphatidic acid-mediated signal to transmit a positive signal to p70 S6 kinase and participate in the inactivation of the eIF4E inhibitor, 4E-BP1 (6). These events result in the translation of specific mRNA subpopulations. mTOR is phosphorylated at Ser2448 via the PI3 kinase/Akt signaling pathway and autophosphorylated at Ser2481 (7,8). mTOR plays a key role in cell growth and homeostasis and may be abnormally regulated in tumors. For these reasons, mTOR is currently under investigation as a potential target for anti-cancer therapy (9).
The regulatory associated protein of mTOR (Raptor) was identified as an mTOR binding partner that mediates mTOR signaling to downstream targets (10,11). Raptor binds to mTOR substrates, including 4E-BP1 and p70 S6 kinase, through their TOR signaling (TOS) motifs and is required for mTOR-mediated phosphorylation of these substrates (12,13). PRAS40 interacts with raptor in insulin-deprived cells and inhibits the activation of the mTORC1 pathway. Phosphorylation of PRAS40 by Akt at Thr246 relieves PRAS40 inhibition of mTORC1 (14). Recently raptor has been identified as a direct substrate of the AMP-activated protein kinase (AMPK) (15). AMPK phosphorylates raptor on Ser722/Ser792 (15). This phosphorylation is essential for inhibition of the raptor-containing mTOR complex 1 (mTORC1) and induces cell cycle arrest when cells are stressed for energy (15). These findings suggest that raptor is a critical switch that correlates cell cycle progression with energy status. The activity of mTORC1 kinase complex is modulated by energy levels, growth factors and amino acids (16,17). Recent studies found that RagA, RagB, RagC and RagD, the four related GTPases, interact with raptor in the mTORC1 complex (18,19). These interactions are both necessary and sufficient for mTORC1 activation in response to amino acid signals (18,19).

Trademarks and Patents

Cell Signaling Technology is a trademark of Cell Signaling Technology, Inc.

All other trademarks are the property of their respective owners. Visit cellsignal.com/trademarks for more information.

Limited Uses

Except as otherwise expressly agreed in a writing signed by a legally authorized representative of CST, the following terms apply to Products provided by CST, its affiliates or its distributors. Any Customer's terms and conditions that are in addition to, or different from, those contained herein, unless separately accepted in writing by a legally authorized representative of CST, are rejected and are of no force or effect.

Products are labeled with For Research Use Only or a similar labeling statement and have not been approved, cleared, or licensed by the FDA or other regulatory foreign or domestic entity, for any purpose. Customer shall not use any Product for any diagnostic or therapeutic purpose, or otherwise in any manner that conflicts with its labeling statement. Products sold or licensed by CST are provided for Customer as the end-user and solely for research and development uses. Any use of Product for diagnostic, prophylactic or therapeutic purposes, or any purchase of Product for resale (alone or as a component) or other commercial purpose, requires a separate license from CST. Customer shall (a) not sell, license, loan, donate or otherwise transfer or make available any Product to any third party, whether alone or in combination with other materials, or use the Products to manufacture any commercial products, (b) not copy, modify, reverse engineer, decompile, disassemble or otherwise attempt to discover the underlying structure or technology of the Products, or use the Products for the purpose of developing any products or services that would compete with CST products or services, (c) not alter or remove from the Products any trademarks, trade names, logos, patent or copyright notices or markings, (d) use the Products solely in accordance with CST Product Terms of Sale and any applicable documentation, and (e) comply with any license, terms of service or similar agreement with respect to any third party products or services used by Customer in connection with the Products.

Orders: 877-616-CELL (2355) [email protected] Support: 877-678-TECH (8324) [email protected] Web: cellsignal.com
For Research Use Only. Not for Use in Diagnostic Procedures.

Revision 4

Cell Signaling Technology Logo
Western blot analysis of C2C12 or 293 cells, untreated or treated with AICAR (0.5 mM for 30 minutes) or oligomycin (0.5 μM for 30 minutes), using Phospho-Raptor (Ser792) Antibody (upper and lower left ) or Raptor Antibody (upper and lower right).

*Cross-reacting bands at 200 kDa.

undefined Image 1: mTOR Regulation Antibody Sampler Kit
Western blot analysis of extracts from various cell types using PRAS40 (D23C7) XP® Rabbit mAb.
undefined Image 2: mTOR Regulation Antibody Sampler Kit
Immunoprecipitation of mTOR protein from MCF-7 cell extracts. Lane 1 is 10% input, lane 2 is Rabbit (DA1E) mAb IgG XP® Isotype Control #3900, and lane 3 is mTOR (7C10) Rabbit mAb. Western blot analysis was performed using mTOR (7C10) Rabbit mAb. Anti-rabbit IgG, HRP-linked Antibody #7074 was used as the secondary antibody.
undefined Image 3: mTOR Regulation Antibody Sampler Kit
Orders: 877-616-CELL (2355) [email protected] Support: 877-678-TECH (8324) [email protected] Web: cellsignal.com
For Research Use Only. Not for Use in Diagnostic Procedures.

Revision 4

Cell Signaling Technology Logo
Western blot analysis of extracts from serum starved H3255, Mkn45 and NIH/3T3 cells, untreated or treated with either Gefitinib (1 μM, 3 hours), Su11274 (1 μM, 3 hours) or insulin (150 nM, 15 minutes), using Phospho-PRAS40 (Thr246) (C77D7) Rabbit mAb (upper) or PRAS40 (D23C7) Rabbit mAb #2691 (lower).
undefined Image 4: mTOR Regulation Antibody Sampler Kit
Western blot analysis of extracts from serum-starved NIH/3T3 cells, untreated or insulin-treated (150 nM, 5 minutes), alone or in combination with λ-phosphatase, using Phospho-mTOR (Ser2448) (D9C2) XP® Rabbit mAb (upper) or mTOR (7C10) Rabbit mAb #2983.
undefined Image 5: mTOR Regulation Antibody Sampler Kit
After the primary antibody is bound to the target protein, a complex with HRP-linked secondary antibody is formed. The LumiGLO® is added and emits light during enzyme catalyzed decomposition.
undefined Image 6: mTOR Regulation Antibody Sampler Kit
Orders: 877-616-CELL (2355) [email protected] Support: 877-678-TECH (8324) [email protected] Web: cellsignal.com
For Research Use Only. Not for Use in Diagnostic Procedures.

Revision 4

Cell Signaling Technology Logo
Western blot analysis of extracts from various cell lines using RagC (D8H5) Rabbit mAb.
undefined Image 7: mTOR Regulation Antibody Sampler Kit
Western blot analysis of wild-type (WT) and AMPKα1 and α2 knockout (KO) mouse embryonic fibroblasts (MEFs), untreated or treated with AICAR (2 mM for 1 hour), using Phospho-Raptor (Ser792) Antibody (upper) or Raptor Antibody (lower). (Image provided by Dr. Reuben Shaw, Salk Institute for Biological Studies).

*Cross-reacting bands at 60, 70 and 240 kDa

undefined Image 8: mTOR Regulation Antibody Sampler Kit
Immunohistochemical analysis of paraffin-embedded human breast carcinoma using PRAS40 (D23C7) XP® Rabbit mAb.
undefined Image 9: mTOR Regulation Antibody Sampler Kit
Orders: 877-616-CELL (2355) [email protected] Support: 877-678-TECH (8324) [email protected] Web: cellsignal.com
For Research Use Only. Not for Use in Diagnostic Procedures.

Revision 4

Cell Signaling Technology Logo
Western blot analysis of extracts from HeLa cells, transfected with 100 nM SignalSilence® Control siRNA (Fluorescein Conjugate) #6201 (-) or SignalSilence® mTOR siRNA II (+), using mTOR (7C10) Rabbit mAb #2983 and α-Tubulin (11H10) Rabbit mAb #2125. mTOR (7C10) Rabbit mAb confirms silencing of mTOR expression, while the α-Tubulin (11H10) Rabbit mAb is used to control for loading and specificity of mTOR siRNA.
undefined Image 10: mTOR Regulation Antibody Sampler Kit
Western blot analysis of extracts from serum starved HeLa cells, untreated or treated with insulin (100 nM, 5 minutes) or with insulin and λ phosphatase, using Phospho-PRAS40 (Thr246) (C77D7) Rabbit mAb (upper) or PRAS40 Antibody #2610 (lower).
undefined Image 11: mTOR Regulation Antibody Sampler Kit
Confocal immunofluorescent analysis of HeLa cells, rapamycin-treated (#9904, 10 nM for 2 hours, left), insulin-treated (150 nM for 6 minutes, middle) or insulin- and λ-phosphatase-treated (right), using Phospho-mTOR (Ser2448) (D9C2) XP® Rabbit mAb (green). Actin filaments were labeled with DY-554 phalloidin. Blue pseudocolor = DRAQ5® #4084 (fluorescent DNA dye).
undefined Image 12: mTOR Regulation Antibody Sampler Kit
Orders: 877-616-CELL (2355) [email protected] Support: 877-678-TECH (8324) [email protected] Web: cellsignal.com
For Research Use Only. Not for Use in Diagnostic Procedures.

Revision 4

Cell Signaling Technology Logo
Confocal immunofluorescent analysis of HeLa cells using RagC (D8H5) Rabbit mAb (green). Actin filaments have been labeled with DY-554 phalloidin (red). Blue pseudocolor = DRAQ5® #4084 (fluorescent DNA dye).
undefined Image 13: mTOR Regulation Antibody Sampler Kit
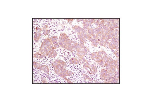
Immunohistochemical analysis of paraffin-embedded human breast carcinoma, showing cytoplasmic localization using mTOR (7C10) Rabbit mAb.
undefined Image 14: mTOR Regulation Antibody Sampler Kit
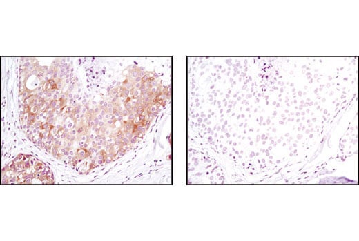
Immunohistochemical analysis of paraffin-embedded human breast carcinoma using Phospho-PRAS40 (Thr246) (C77D7) Rabbit mAb in the presence of control peptide (left) or antigen specific peptide (right).
undefined Image 15: mTOR Regulation Antibody Sampler Kit
Orders: 877-616-CELL (2355) [email protected] Support: 877-678-TECH (8324) [email protected] Web: cellsignal.com
For Research Use Only. Not for Use in Diagnostic Procedures.

Revision 4

Cell Signaling Technology Logo
Flow cytometric analysis of HeLa cells using RagC (D8H5) Rabbit mAb (solid line) compared to concentration-matched Rabbit (DA1E) mAb IgG XP® Isotype Control #3900 (dashed line). Anti-rabbit IgG (H+L), F(ab')2 Fragment (Alexa Fluor® 488 Conjugate) #4412 was used as a secondary antibody.
undefined Image 16: mTOR Regulation Antibody Sampler Kit
Immunohistochemical analysis of paraffin-embedded human lung carcinoma, using mTOR (7C10) Rabbit mAb in the presence of control peptide (left) or mTOR Blocking Peptide #1072 (right).
undefined Image 17: mTOR Regulation Antibody Sampler Kit
Immunohistochemical analysis of paraffin-embedded human breast carcinoma, control (left) or λ phosphatase-treated (right), using Phospho-PRAS40 (Thr246) (C77D7) Rabbit mAb.
undefined Image 18: mTOR Regulation Antibody Sampler Kit
Orders: 877-616-CELL (2355) [email protected] Support: 877-678-TECH (8324) [email protected] Web: cellsignal.com
For Research Use Only. Not for Use in Diagnostic Procedures.

Revision 4

Cell Signaling Technology Logo
Immunohistochemical analysis of paraffin-embedded mouse brain using mTOR (7C10) Rabbit mAb.
undefined Image 19: mTOR Regulation Antibody Sampler Kit
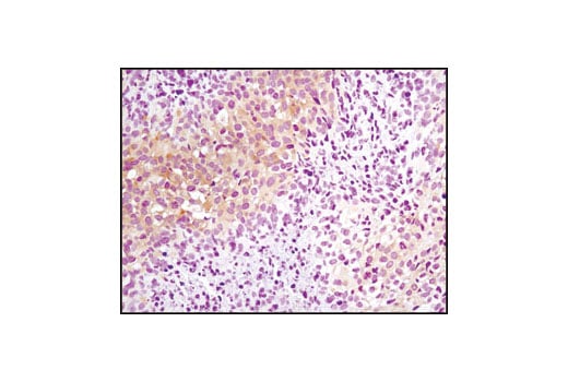
Immunohistochemical analysis of paraffin-embedded metastatic SKOV-3 tumor in mouse lung using Phospho-PRAS40 (Thr246) (C77D7) Rabbit mAb.
undefined Image 20: mTOR Regulation Antibody Sampler Kit
Confocal immunofluorescent analysis of mouse embryonic fibroblast (MEF) cells using mTOR (7C10) Rabbit mAb (green). Actin filaments were labeled with DY-554 phalloidin (red). Blue pseudocolor = DRAQ5® #4084 (fluorescent DNA dye).
undefined Image 21: mTOR Regulation Antibody Sampler Kit
Orders: 877-616-CELL (2355) [email protected] Support: 877-678-TECH (8324) [email protected] Web: cellsignal.com
For Research Use Only. Not for Use in Diagnostic Procedures.

Revision 4

Cell Signaling Technology Logo
Flow cytometric analysis of A549 cells using mTOR (7C10) Rabbit mAb (solid line) compared to concentration-matched Rabbit (DA1E) mAb IgG XP® Isotype Control #3900 (dashed line). Anti-rabbit IgG (H+L), F(ab')2 Fragment (Alexa Fluor® 488 Conjugate) #4412 was used as a secondary antibody.
undefined Image 22: mTOR Regulation Antibody Sampler Kit
Simple Western™ analysis of lysates (0.1 mg/mL) from MCF-7 cells using PRAS40 (D23C7) XP® Rabbit mAb. The virtual lane view (left) shows the target band (as indicated) at 1:50 and 1:250 dilutions of primary antibody. The corresponding electropherogram view (right) plots chemiluminescence by molecular weight along the capillary at 1:50 (blue line) and 1:250 (green line) dilutions of primary antibody. This experiment was performed under reducing conditions on the Jess™ ​​​​​​​Simple Western instrument from ProteinSimple, a BioTechne brand, using the 12-230 kDa separation module.
undefined Image 23: mTOR Regulation Antibody Sampler Kit
Western blot analysis of extracts from various cell lines using mTOR (7C10) Rabbit mAb.
undefined Image 24: mTOR Regulation Antibody Sampler Kit
Orders: 877-616-CELL (2355) [email protected] Support: 877-678-TECH (8324) [email protected] Web: cellsignal.com
For Research Use Only. Not for Use in Diagnostic Procedures.

Revision 4

Cell Signaling Technology Logo
Simple Western™ analysis of lysates (0.1 mg/mL) from Hela cells using mTOR (7C10) Rabbit mAb #2983. The virtual lane view (left) shows a single target band (as indicated) at 1:10 and 1:50 dilutions of primary antibody. The corresponding electropherogram view (right) plots chemiluminescence by molecular weight along the capillary at 1:10 (blue line) and 1:50 (green line) dilutions of primary antibody. This experiment was performed under reducing conditions on the Jess™ Simple Western instrument from ProteinSimple, a BioTechne brand, using the 66-440 kDa separation module.
undefined Image 25: mTOR Regulation Antibody Sampler Kit
Simple Western™ analysis of lysates (1.0 mg/mL) from serum-starved MCF-7 cells treated with human IGF-1 (100 ng/mL, 10 min) using Phospho-PRAS40 (Thr246) (C77D7) Rabbit mAb #2997. The virtual lane view (left) shows a single target band (as indicated) at 1:10 and 1:50 dilutions of primary antibody. The corresponding electropherogram view (right) plots chemiluminescence by molecular weight along the capillary at 1:10 (blue line) and 1:50 (green line) dilutions of primary antibody. This experiment was performed under reducing conditions on the Jess™ Simple Western instrument from ProteinSimple, a BioTechne brand, using the 12-230 kDa separation module.
undefined Image 26: mTOR Regulation Antibody Sampler Kit
Immunoprecipitation of Phospho-PRAS40 (Thr246) from MCF-7 cell extracts. Cells were treated with hIGF-I (100 ng/mL, 10 min.). Lane 1 is 10% input, lane 2 is Rabbit (DA1E) mAb IgG XP® Isotype Control #3900, and lane 3 is Phospho-PRAS40 (Thr246) (C77D7) Rabbit mAb. Western blot analysis was performed using Phospho-PRAS40 (Thr246) (C77D7) Rabbit mAb. Anti-rabbit IgG, HRP-linked Antibody #7074 was used as a secondary antibody.
undefined Image 27: mTOR Regulation Antibody Sampler Kit
Orders: 877-616-CELL (2355) [email protected] Support: 877-678-TECH (8324) [email protected] Web: cellsignal.com
For Research Use Only. Not for Use in Diagnostic Procedures.

Revision 4

Cell Signaling Technology Logo
Simple WesternTM analysis of lysates (0.1 mg/mL) from MCF-7 cells treated with insulin (100nM, 10 minutes) using Phospho-mTOR (Ser2448) (D9C2) XP® Rabbit mAb #5536. The virtual lane view (left) shows a single target band (as indicated) at 1:10 and 1:50 dilutions of primary antibody. The corresponding electropherogram view (right) plots chemiluminescence by molecular weight along the capillary at 1:10 (blue line) and 1:50 (green line) dilutions of primary antibody. This experiment was performed under reducing conditions on the JessTM Simple Western instrument from ProteinSimple, a BioTechne brand, using the 66-440 kDa separation module.
undefined Image 28: mTOR Regulation Antibody Sampler Kit
Western blot analysis of extracts from serum-starved Jurkat cells, treated with LY294002 (50 uM, one hour) (negative control) or treated with Calyculin A (100 nM, 30 min) (positive control), using mTOR (L27D4) Mouse mAb #4517 (Panel A) and Phospho-mTOR (Ser2448) (D9C2) XP® Rabbit mAb #5536 (Panel B). Anti-mouse IgG (H+L) (DyLight 680 Conjugate) #5470 (red) and Anti-rabbit IgG (H+L) (DyLight 800 4X PEG Conjugate) #5151 (green) were used as secondary antibodies.
undefined Image 29: mTOR Regulation Antibody Sampler Kit
Orders: 877-616-CELL (2355) [email protected] Support: 877-678-TECH (8324) [email protected] Web: cellsignal.com
For Research Use Only. Not for Use in Diagnostic Procedures.