Revision 1

#9862

Store at -20C

mTOR Substrates Antibody Sampler Kit

1 Kit

(5 x 20 microliters)

CST Logo
Orders:

877-616-CELL (2355)

[email protected]

Support:

877-678-TECH (8324)

3 Trask Lane | Danvers | Massachusetts | 01923 | USA

For Research Use Only. Not for Use in Diagnostic Procedures.

Product Includes Product # Quantity Mol. Wt Isotype/Source
mTOR (7C10) Rabbit mAb298320 µl289 kDaRabbit IgG
Phospho-p70 S6 Kinase (Thr389) (108D2) Rabbit mAb923420 µl70, 85 kDaRabbit IgG
Phospho-p70 S6 Kinase (Ser371) Antibody920820 µl70, 85 kDaRabbit
Phospho-4E-BP1 (Thr37/46) (236B4) Rabbit mAb285520 µl15 to 20 kDaRabbit IgG
Phospho-mTOR (Ser2448) (D9C2) XP® Rabbit mAb553620 µl289 kDaRabbit IgG
Anti-rabbit IgG, HRP-linked Antibody7074100 µlGoat

Please visit cellsignal.com for individual component applications, species cross-reactivity, dilutions, protocols, and additional product information.

Description

The mTOR Substrates Antibody Sampler Kit provides an economical means to evaluate the signaling of mTOR to downstream substrates including p70 S6 Kinase and 4E-BP1. The kit contains enough primary and secondary antibodies to perform two Western blot experiments per primary antibody.

Storage

Supplied in 10 mM sodium HEPES (pH 7.5), 150 mM NaCl, 100 µg/ml BSA, 50% glycerol and less than 0.02% sodium azide. Store at –20°C. Do not aliquot the antibody.

Background

The mammalian target of rapamycin (mTOR, FRAP, RAFT) is a Ser/Thr protein kinase (1-3) that functions as an ATP and amino acid sensor to balance nutrient availability and cell growth (4,5). When sufficient nutrients are available, mTOR responds to a phosphatidic acid-mediated signal to transmit a positive signal to p70 S6 kinase and participate in the inactivation of the eIF4E inhibitor, 4E-BP1 (6). These events result in the translation of specific mRNA subpopulations. mTOR is phosphorylated at Ser2448 via the PI3 kinase/Akt signaling pathway and autophosphorylated at Ser2481 (7,8). mTOR plays a key role in cell growth and homeostasis and may be abnormally regulated in tumors. For these reasons, mTOR is currently under investigation as a potential target for anti-cancer therapy (9).
The regulatory associated protein of mTOR (Raptor) interacts with mTOR to mediate mTOR signaling to downstream targets (10,11). Raptor binds to mTOR substrates, such as 4E-BP1 and p70 S6 kinase, through their TOR signaling (TOS) motifs and is required for mTOR-mediated substrate phosphorylation (12,13). Binding of the FKBP12-rapamycin complex to mTOR inhibits mTOR-raptor interaction, which suggests a mechanism for the inhibition of mTOR signaling by rapamycin (14). This mTOR-raptor interaction and its regulation by nutrients and/or rapamycin are dependent on a protein called GβL (15). GβL is part of the rapamycin-insensitive complex between mTOR and rictor (rapamycin-insensitive companion of mTOR) and may mediate rictor-mTOR signaling to PKCα and other downstream targets (16). The rictor-mTOR complex has been identified as the previously elusive PDK2 responsible for the phosphorylation of Akt/PKB at Ser473, which is required for PDK1 phosphorylation of Akt/PKB at Thr308 and full activation of Akt/PKB (17).

Trademarks and Patents

Cell Signaling Technology is a trademark of Cell Signaling Technology, Inc.

All other trademarks are the property of their respective owners. Visit cellsignal.com/trademarks for more information.

Limited Uses

Except as otherwise expressly agreed in a writing signed by a legally authorized representative of CST, the following terms apply to Products provided by CST, its affiliates or its distributors. Any Customer's terms and conditions that are in addition to, or different from, those contained herein, unless separately accepted in writing by a legally authorized representative of CST, are rejected and are of no force or effect.

Products are labeled with For Research Use Only or a similar labeling statement and have not been approved, cleared, or licensed by the FDA or other regulatory foreign or domestic entity, for any purpose. Customer shall not use any Product for any diagnostic or therapeutic purpose, or otherwise in any manner that conflicts with its labeling statement. Products sold or licensed by CST are provided for Customer as the end-user and solely for research and development uses. Any use of Product for diagnostic, prophylactic or therapeutic purposes, or any purchase of Product for resale (alone or as a component) or other commercial purpose, requires a separate license from CST. Customer shall (a) not sell, license, loan, donate or otherwise transfer or make available any Product to any third party, whether alone or in combination with other materials, or use the Products to manufacture any commercial products, (b) not copy, modify, reverse engineer, decompile, disassemble or otherwise attempt to discover the underlying structure or technology of the Products, or use the Products for the purpose of developing any products or services that would compete with CST products or services, (c) not alter or remove from the Products any trademarks, trade names, logos, patent or copyright notices or markings, (d) use the Products solely in accordance with CST Product Terms of Sale and any applicable documentation, and (e) comply with any license, terms of service or similar agreement with respect to any third party products or services used by Customer in connection with the Products.

Orders: 877-616-CELL (2355) [email protected] Support: 877-678-TECH (8324) [email protected] Web: cellsignal.com
For Research Use Only. Not for Use in Diagnostic Procedures.

Revision 1

Cell Signaling Technology Logo
Western blot analysis of extracts from 293T cells using 4E-BP1 Antibody #9452 (upper) and Phospho-4E-BP1 (Thr37/46) Antibody #2855 (lower). The cells were starved for 24 hours in serum-free medium and underwent a 1 hour amino acid deprivation. Amino acids were replenished for 1 hour. Cells were then either untreated (-) or treated with 100 nM insulin (+) for 30 minutes.
undefined Image 1: mTOR Substrates Antibody Sampler Kit
Immunoprecipitation of mTOR protein from MCF-7 cell extracts. Lane 1 is 10% input, lane 2 is Rabbit (DA1E) mAb IgG XP® Isotype Control #3900, and lane 3 is mTOR (7C10) Rabbit mAb. Western blot analysis was performed using mTOR (7C10) Rabbit mAb. Anti-rabbit IgG, HRP-linked Antibody #7074 was used as the secondary antibody.
undefined Image 2: mTOR Substrates Antibody Sampler Kit
Western blot analysis of extracts from serum-starved NIH/3T3 cells, untreated or insulin-treated (150 nM, 5 minutes), alone or in combination with λ-phosphatase, using Phospho-mTOR (Ser2448) (D9C2) XP® Rabbit mAb (upper) or mTOR (7C10) Rabbit mAb #2983.
undefined Image 3: mTOR Substrates Antibody Sampler Kit
Orders: 877-616-CELL (2355) [email protected] Support: 877-678-TECH (8324) [email protected] Web: cellsignal.com
For Research Use Only. Not for Use in Diagnostic Procedures.

Revision 1

Cell Signaling Technology Logo
After the primary antibody is bound to the target protein, a complex with HRP-linked secondary antibody is formed. The LumiGLO® is added and emits light during enzyme catalyzed decomposition.
undefined Image 4: mTOR Substrates Antibody Sampler Kit
Western blot analysis of lysates from unsynchronized (U) and nocodazole (N) treated (50ng/ml for 48 hours) HT29 cells using Phospho-p70 S6 Kinase (Ser371) Antibody (B) and p70 S6 Kinase Antibody #9202 (D). Incubation of the nitrocellulose membrane with calf intestinal alkaline phosphatase (CIP) after Western transfer abolishes the phospho-p70 S6 Kinase signal (A), but has no effect on the total p70 S6 kinase signal (C).
undefined Image 5: mTOR Substrates Antibody Sampler Kit
Western blot analysis of extracts from serum starved or serum treated (20%) 293, NIH/3T3, and PC12 cells, using Phospho-p70 S6 Kinase (Thr389) (108D2) Rabbit mAb (upper), or p70 S6 Kinase (49D7) rabbit mAb #2708 (lower).
undefined Image 6: mTOR Substrates Antibody Sampler Kit
Orders: 877-616-CELL (2355) [email protected] Support: 877-678-TECH (8324) [email protected] Web: cellsignal.com
For Research Use Only. Not for Use in Diagnostic Procedures.

Revision 1

Cell Signaling Technology Logo
Immunohistochemical analysis of paraffin-embedded human colon carcinoma using Phospho-4E-BP1 (Thr37/46) (236B4) Rabbit mAb.
undefined Image 7: mTOR Substrates Antibody Sampler Kit
Western blot analysis of extracts from HeLa cells, transfected with 100 nM SignalSilence® Control siRNA (Fluorescein Conjugate) #6201 (-) or SignalSilence® mTOR siRNA II (+), using mTOR (7C10) Rabbit mAb #2983 and α-Tubulin (11H10) Rabbit mAb #2125. mTOR (7C10) Rabbit mAb confirms silencing of mTOR expression, while the α-Tubulin (11H10) Rabbit mAb is used to control for loading and specificity of mTOR siRNA.
undefined Image 8: mTOR Substrates Antibody Sampler Kit
Confocal immunofluorescent analysis of HeLa cells, rapamycin-treated (#9904, 10 nM for 2 hours, left), insulin-treated (150 nM for 6 minutes, middle) or insulin- and λ-phosphatase-treated (right), using Phospho-mTOR (Ser2448) (D9C2) XP® Rabbit mAb (green). Actin filaments were labeled with DY-554 phalloidin. Blue pseudocolor = DRAQ5® #4084 (fluorescent DNA dye).
undefined Image 9: mTOR Substrates Antibody Sampler Kit
Orders: 877-616-CELL (2355) [email protected] Support: 877-678-TECH (8324) [email protected] Web: cellsignal.com
For Research Use Only. Not for Use in Diagnostic Procedures.

Revision 1

Cell Signaling Technology Logo
Western blot analysis of lysates from 293 cells grown in low serum, then treated with 20% serum for 30 minutes alone or after 1 hour preincubation with rapamycin (10nM) #9904 or LY294002 (50uM) #9901, using Phospho-p70 S6 Kinase (Ser371) Antibody (upper) or p70 S6 Kinase Antibody #9202 (lower).
undefined Image 10: mTOR Substrates Antibody Sampler Kit
Immunohistochemical analysis of paraffin-embedded human lymphoma using Phospho-4E-BP1 (Thr37/46) (236B4) Rabbit mAb.
undefined Image 11: mTOR Substrates Antibody Sampler Kit
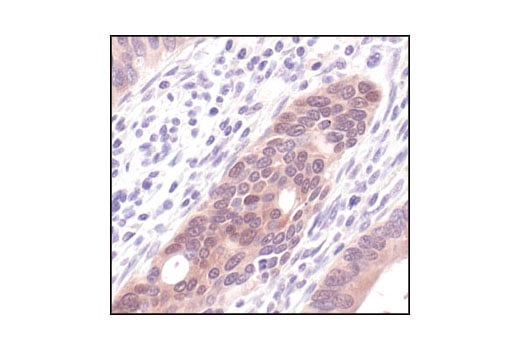
Immunohistochemical analysis of paraffin-embedded human breast carcinoma, showing cytoplasmic localization using mTOR (7C10) Rabbit mAb.
undefined Image 12: mTOR Substrates Antibody Sampler Kit
Orders: 877-616-CELL (2355) [email protected] Support: 877-678-TECH (8324) [email protected] Web: cellsignal.com
For Research Use Only. Not for Use in Diagnostic Procedures.

Revision 1

Cell Signaling Technology Logo
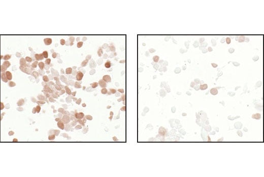
Immunohistochemical analysis of paraffin-embedded LNCaP cells, untreated (left) or LY294002-treated (right), using Phospho-4E-BP1 (Thr37/46) (236B4) Rabbit mAb on SignalSlide (TM) Phospho-Akt (Ser473) IHC Controls #8101.
undefined Image 13: mTOR Substrates Antibody Sampler Kit
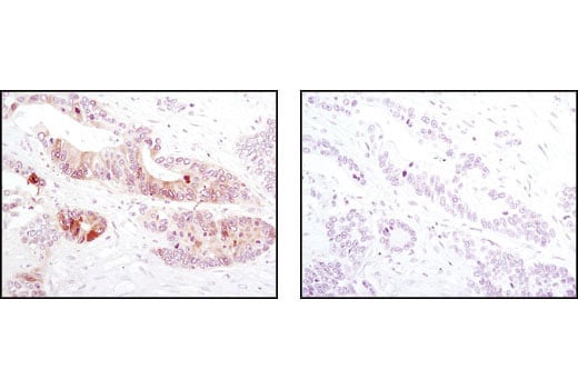
Immunohistochemical analysis of paraffin-embedded human lung carcinoma, using mTOR (7C10) Rabbit mAb in the presence of control peptide (left) or mTOR Blocking Peptide #1072 (right).
undefined Image 14: mTOR Substrates Antibody Sampler Kit
Immunohistochemical analysis of paraffin-embedded human colon carcinoma using Phospho-4E-BP1 (Thr37/46) (236B4) Rabbit mAb in the presence of control peptide (left) or Phospho-4E-BP1 (Thr37/46) Blocking Peptide #1052 (right).
undefined Image 15: mTOR Substrates Antibody Sampler Kit
Orders: 877-616-CELL (2355) [email protected] Support: 877-678-TECH (8324) [email protected] Web: cellsignal.com
For Research Use Only. Not for Use in Diagnostic Procedures.

Revision 1

Cell Signaling Technology Logo
Immunohistochemical analysis of paraffin-embedded mouse brain using mTOR (7C10) Rabbit mAb.
undefined Image 16: mTOR Substrates Antibody Sampler Kit
Confocal immunofluorescent analysis of mouse embryonic fibroblast (MEF) cells using mTOR (7C10) Rabbit mAb (green). Actin filaments were labeled with DY-554 phalloidin (red). Blue pseudocolor = DRAQ5® #4084 (fluorescent DNA dye).
undefined Image 17: mTOR Substrates Antibody Sampler Kit
Flow cytometric analysis of A549 cells using mTOR (7C10) Rabbit mAb (solid line) compared to concentration-matched Rabbit (DA1E) mAb IgG XP® Isotype Control #3900 (dashed line). Anti-rabbit IgG (H+L), F(ab')2 Fragment (Alexa Fluor® 488 Conjugate) #4412 was used as a secondary antibody.
undefined Image 18: mTOR Substrates Antibody Sampler Kit
Orders: 877-616-CELL (2355) [email protected] Support: 877-678-TECH (8324) [email protected] Web: cellsignal.com
For Research Use Only. Not for Use in Diagnostic Procedures.

Revision 1

Cell Signaling Technology Logo
Confocal immunofluorescent analysis of 293 cells, expressing either non-targeting shRNA (top) or shRNA targeting 4E-BP1/2 (bottom), using Phospho-4E-BP1 (Thr37/46) (236B4) Rabbit mAb (green). To confirm phospho-specificity, cells were treated with an inhibitor cocktail consisting of LY294002 #9901, U0126 #9903, and Rapamycin #9904 (50 μM; 10 μm; 10 nM; 2 hr) (left), stimulated with insulin (100 nM, 30 min; middle), or processed with λ-phosphatase following insulin stimulation (right). Red = Propidium Iodide (PI)/RNase Staining Solution (#4087).
undefined Image 19: mTOR Substrates Antibody Sampler Kit
Flow cytometric analysis of Jurkat cells, untreated (green) or treated with LY294002 #9901, Wortmannin #9951, and U0126 #9903 (50 μM, 1 μM, and 10 μM, 2 hr; blue) using Phospho-4E-BP1 (Thr36/46) (236B4) Rabbit mAb (solid lines) or concentration-matched Rabbit (DA1E) mAb IgG XP® Isotype Control #3900 (dashed lines). Anti-rabbit IgG (H+L), F(ab')2 Fragment (Alexa Fluor® 488 Conjugate) #4412 was used as a secondary antibody.
undefined Image 20: mTOR Substrates Antibody Sampler Kit
Simple Western™ analysis of lysates (0.1 mg/mL) from 3T3 cells using Phospho-4E-BP1 (Thr37/46) (236B4) Rabbit mAb #2855. The virtual lane view (left) shows the target band (as indicated) at 1:10 and 1:50 dilutions of primary antibody. The corresponding electropherogram view (right) plots chemiluminescence by molecular weight along the capillary at 1:10 (blue line) and 1:50 (green line) dilutions of primary antibody. This experiment was performed under reducing conditions on the Jess™ Simple Western instrument from ProteinSimple, a BioTechne brand, using the 12-230 kDa separation module.
undefined Image 21: mTOR Substrates Antibody Sampler Kit
Orders: 877-616-CELL (2355) [email protected] Support: 877-678-TECH (8324) [email protected] Web: cellsignal.com
For Research Use Only. Not for Use in Diagnostic Procedures.

Revision 1

Cell Signaling Technology Logo
Western blot analysis of extracts from various cell lines using mTOR (7C10) Rabbit mAb.
undefined Image 22: mTOR Substrates Antibody Sampler Kit
Simple Western™ analysis of lysates (0.1 mg/mL) from Hela cells using mTOR (7C10) Rabbit mAb #2983. The virtual lane view (left) shows a single target band (as indicated) at 1:10 and 1:50 dilutions of primary antibody. The corresponding electropherogram view (right) plots chemiluminescence by molecular weight along the capillary at 1:10 (blue line) and 1:50 (green line) dilutions of primary antibody. This experiment was performed under reducing conditions on the Jess™ Simple Western instrument from ProteinSimple, a BioTechne brand, using the 66-440 kDa separation module.
undefined Image 23: mTOR Substrates Antibody Sampler Kit
Simple WesternTM analysis of lysates (0.1 mg/mL) from MCF-7 cells treated with insulin (100nM, 10 minutes) using Phospho-mTOR (Ser2448) (D9C2) XP® Rabbit mAb #5536. The virtual lane view (left) shows a single target band (as indicated) at 1:10 and 1:50 dilutions of primary antibody. The corresponding electropherogram view (right) plots chemiluminescence by molecular weight along the capillary at 1:10 (blue line) and 1:50 (green line) dilutions of primary antibody. This experiment was performed under reducing conditions on the JessTM Simple Western instrument from ProteinSimple, a BioTechne brand, using the 66-440 kDa separation module.
undefined Image 24: mTOR Substrates Antibody Sampler Kit
Orders: 877-616-CELL (2355) [email protected] Support: 877-678-TECH (8324) [email protected] Web: cellsignal.com
For Research Use Only. Not for Use in Diagnostic Procedures.

Revision 1

Cell Signaling Technology Logo
Western blot analysis of extracts from serum-starved Jurkat cells, treated with LY294002 (50 uM, one hour) (negative control) or treated with Calyculin A (100 nM, 30 min) (positive control), using mTOR (L27D4) Mouse mAb #4517 (Panel A) and Phospho-mTOR (Ser2448) (D9C2) XP® Rabbit mAb #5536 (Panel B). Anti-mouse IgG (H+L) (DyLight 680 Conjugate) #5470 (red) and Anti-rabbit IgG (H+L) (DyLight 800 4X PEG Conjugate) #5151 (green) were used as secondary antibodies.
undefined Image 25: mTOR Substrates Antibody Sampler Kit
Simple Western™ analysis of lysates (0.1 mg/mL) from serum-starved MCF-7 cells treated with hIGF-1 (100 ng/mL, 10 min) using Phospho-p70 S6 Kinase (Thr389) (108D2) Rabbit mAb #9234. The virtual lane view (left) shows the target band (as indicated) and a band corresponding to Phospho-p85 S6 Kinase (Thr412) (as indicated) at 1:10 and 1:50 dilutions of primary antibody. The corresponding electropherogram view (right) plots chemiluminescence by molecular weight along the capillary at 1:10 (blue line) and 1:50 (green line) dilutions of primary antibody. This experiment was performed under reducing conditions on the Jess™ Simple Western instrument from ProteinSimple, a BioTechne brand, using the 12-230 kDa separation module.
undefined Image 26: mTOR Substrates Antibody Sampler Kit
Orders: 877-616-CELL (2355) [email protected] Support: 877-678-TECH (8324) [email protected] Web: cellsignal.com
For Research Use Only. Not for Use in Diagnostic Procedures.