Revision 1

#93065

Store at -20C

CST Logo
Orders:

877-616-CELL (2355)

[email protected]

Support:

877-678-TECH (8324)

3 Trask Lane | Danvers | Massachusetts | 01923 | USA

For Research Use Only. Not for Use in Diagnostic Procedures.

Applications:
W, IP, IHC-P, IF-IC

Reactivity:
H R

Sensitivity:
Endogenous

MW (kDa):
95-105

Source/Isotype:
Rabbit IgG

UniProt ID:
#O43312

Entrez-Gene Id:
9788

Product Usage Information

Application Dilution
Western Blotting 1:1000
Immunoprecipitation 1:200
Immunohistochemistry (Paraffin) 1:200
Immunofluorescence (Immunocytochemistry) 1:1600

Storage

Supplied in 10 mM sodium HEPES (pH 7.5), 150 mM NaCl, 100 µg/ml BSA, 50% glycerol and less than 0.02% sodium azide. Store at –20°C. Do not aliquot the antibody.

Specificity/Sensitivity

MTSS1 (D2H4L) Rabbit Monoclonal Antibody recognizes endogenous levels of total MTSS1 protein.

Source / Purification

Monoclonal antibody is produced by immunizing animals with a synthetic peptide corresponding to residues surrounding Val650 of human MTSS1 protein.

Background

Metastasis suppressor 1 (MTSS1) is a multi-functional scaffold protein that was initially discovered using a differential display technique that identified proteins missing from bladder cancer cell lines (1,2). MTSS1 (also known as Missing in Metastasis or MIM) is a cytoskeletal remodeling protein that contains a C-terminal WH2 actin-binding motif (1,3). Presence of an IMD (IRSp53/MIM homology) domain allows MTSS1 to induce F-actin bundling and filopodia formation in cells (4). MTSS1 binds to and activates Rac, a protein known to promote the formation of filopodia and lamellipodia (5). The receptor tyrosine phosphatase δ (PTPRD) is associated with MTSS1 and is required for MTSS1-dependent cytoskeletal change (6,7). MTSS1 is a SHH responsive gene that can help regulate GLI-dependent transcriptional activity (8).

Species Reactivity

Species reactivity is determined by testing in at least one approved application (e.g., western blot).

Western Blot Buffer

IMPORTANT: For western blots, incubate membrane with diluted primary antibody in 5% w/v BSA, 1X TBS, 0.1% Tween® 20 at 4°C with gentle shaking, overnight.

Applications Key

W: Western Blotting IP: Immunoprecipitation IHC-P: Immunohistochemistry (Paraffin) IF-IC: Immunofluorescence (Immunocytochemistry)

Cross-Reactivity Key

H: Human R: Rat

Trademarks and Patents

Cell Signaling Technology is a trademark of Cell Signaling Technology, Inc.

SignalStain is a registered trademark of Cell Signaling Technology, Inc.

All other trademarks are the property of their respective owners. Visit cellsignal.com/trademarks for more information.

Limited Uses

Except as otherwise expressly agreed in a writing signed by a legally authorized representative of CST, the following terms apply to Products provided by CST, its affiliates or its distributors. Any Customer's terms and conditions that are in addition to, or different from, those contained herein, unless separately accepted in writing by a legally authorized representative of CST, are rejected and are of no force or effect.

Products are labeled with For Research Use Only or a similar labeling statement and have not been approved, cleared, or licensed by the FDA or other regulatory foreign or domestic entity, for any purpose. Customer shall not use any Product for any diagnostic or therapeutic purpose, or otherwise in any manner that conflicts with its labeling statement. Products sold or licensed by CST are provided for Customer as the end-user and solely for research and development uses. Any use of Product for diagnostic, prophylactic or therapeutic purposes, or any purchase of Product for resale (alone or as a component) or other commercial purpose, requires a separate license from CST. Customer shall (a) not sell, license, loan, donate or otherwise transfer or make available any Product to any third party, whether alone or in combination with other materials, or use the Products to manufacture any commercial products, (b) not copy, modify, reverse engineer, decompile, disassemble or otherwise attempt to discover the underlying structure or technology of the Products, or use the Products for the purpose of developing any products or services that would compete with CST products or services, (c) not alter or remove from the Products any trademarks, trade names, logos, patent or copyright notices or markings, (d) use the Products solely in accordance with CST Product Terms of Sale and any applicable documentation, and (e) comply with any license, terms of service or similar agreement with respect to any third party products or services used by Customer in connection with the Products.

Orders: 877-616-CELL (2355) [email protected] Support: 877-678-TECH (8324) [email protected] Web: cellsignal.com
For Research Use Only. Not for Use in Diagnostic Procedures.

Revision 1

Cell Signaling Technology Logo
Western blot analysis of extracts from various cell lines using MTSS1 (D2H4L) XP® Rabbit mAb (upper) and β-Actin (D6A8) Rabbit mAb #8457 (lower). U-2 OS and HeLa cells are negative for MTSS1 expression, confirming specificity of the antibody.
Western Blotting Image 1: MTSS1 (D2H4L) Rabbit Monoclonal Antibody
Immunoprecipitation of MTSS1 protein from NCI-H2052 cell extracts. Lane 1 is 10% input, lane 2 is Rabbit (DA1E) mAb IgG XP® Isotype Control #3900, and lane 3 is MTSS1 (D2H4L) XP® Rabbit mAb. Western blot analysis was performed using MTSS1 (D2H4L) XP® Rabbit mAb.
Immunoprecipitation Image 1: MTSS1 (D2H4L) Rabbit Monoclonal Antibody
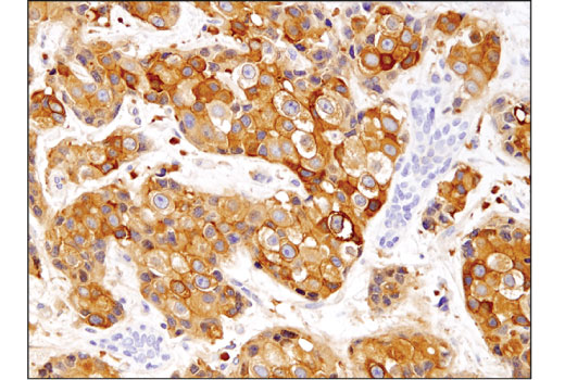
Immunohistochemical analysis of paraffin-embedded human ductal carcinoma of the breast using MTSS1 (D2H4L) XP® Rabbit mAb.
Immunohistochemistry Image 1: MTSS1 (D2H4L) Rabbit Monoclonal Antibody
Orders: 877-616-CELL (2355) [email protected] Support: 877-678-TECH (8324) [email protected] Web: cellsignal.com
For Research Use Only. Not for Use in Diagnostic Procedures.

Revision 1

Cell Signaling Technology Logo
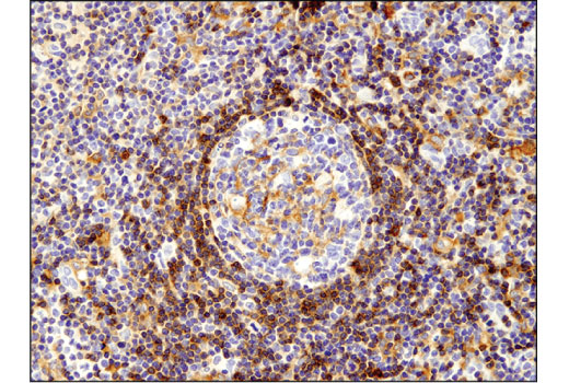
Immunohistochemical analysis of paraffin-embedded human lymphoid tissue using MTSS1 (D2H4L) XP® Rabbit mAb.
Immunohistochemistry Image 2: MTSS1 (D2H4L) Rabbit Monoclonal Antibody
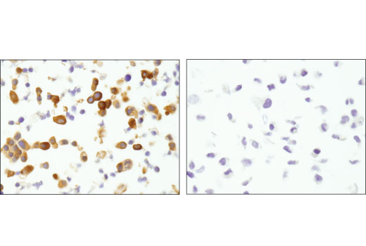
Immunohistochemical analysis of paraffin-embedded TT (left) and U-2 OS (right) cell pellets using MTSS1 (D2H4L) XP® Rabbit mAb.
Immunohistochemistry Image 3: MTSS1 (D2H4L) Rabbit Monoclonal Antibody
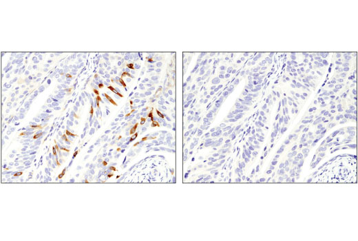
Immunohistochemical analysis of paraffin-embedded human colon carcinoma using MTSS1 (D2H4L) XP® Rabbit mAb in the presence of control peptide (left) and antigen-specific peptide (right).
Immunohistochemistry Image 4: MTSS1 (D2H4L) Rabbit Monoclonal Antibody
Orders: 877-616-CELL (2355) [email protected] Support: 877-678-TECH (8324) [email protected] Web: cellsignal.com
For Research Use Only. Not for Use in Diagnostic Procedures.

Revision 1

Cell Signaling Technology Logo
Confocal immunofluorescent analysis of NCI-H2052 (left), TT (center), and U20S (right) cells using MTSS1 (D2H4L) XP® Rabbit mAb (green). Actin filaments were labeled with DyLight™ 554 Phalloidin #13054 (red). Blue pseudocolor = DRAQ5® #4084 (fluorescent DNA dye).
Immunofluorescence Image 1: MTSS1 (D2H4L) Rabbit Monoclonal Antibody
Orders: 877-616-CELL (2355) [email protected] Support: 877-678-TECH (8324) [email protected] Web: cellsignal.com
For Research Use Only. Not for Use in Diagnostic Procedures.