Revision 6

#16564

Store at -20C

CST Logo
Orders:

877-616-CELL (2355)

[email protected]

Support:

877-678-TECH (8324)

3 Trask Lane | Danvers | Massachusetts | 01923 | USA

For Research Use Only. Not for Use in Diagnostic Procedures.

Applications:
W, IHC-P, IF-IC

Reactivity:
H

Sensitivity:
Endogenous

MW (kDa):
25

Source/Isotype:
Rabbit IgG

UniProt ID:
#P15941

Entrez-Gene Id:
4582

Product Usage Information

Application Dilution
Western Blotting 1:1000
Immunohistochemistry (Paraffin) 1:200 - 1:400
Immunofluorescence (Immunocytochemistry) 1:400 - 1:800

Storage

Supplied in 10 mM sodium HEPES (pH 7.5), 150 mM NaCl, 100 µg/ml BSA, 50% glycerol and less than 0.02% sodium azide. Store at –20°C. Do not aliquot the antibody.

For a carrier free (BSA and azide free) version of this product see product #50160.

Specificity/Sensitivity

MUC1-C (D5K9I) Rabbit Monoclonal Antibody recognizes endogenous levels of total MUC1-C protein. This antibody does not detect MUC1-N protein.

Source / Purification

Monoclonal antibody is produced by immunizing animals with a synthetic peptide corresponding to residues surrounding Gly1192 of human MUC1 protein.

Background

Mucins represent a family of glycoproteins characterized by repeat domains and dense O-glycosylation (1). MUC1 (or mucin 1) is aberrantly overexpressed in most human carcinomas. Increased expression of MUC1 in carcinomas reduces cell-cell and cell-ECM interactions. MUC1 is cleaved proteolytically, and the large ectodomain can remain associated with the small 25 kDa carboxy-terminal domain that contains a transmembrane segment and a 72-residue cytoplasmic tail (1). MUC1 interacts with ErbB family receptors and potentiates ERK1/2 activation (2). MUC1 also interacts with β-catenin, which is regulated by GSK-3β, PKCγ, and Src through phosphorylation at Ser44, Thr41, and Tyr46 of the MUC1 cytoplasmic tail (3-5). Overexpression of MUC1 potentiates transformation (6) and attenuates stress-induced apoptosis through the Akt or p53 pathways (7,8).
MUC1-C is the carboxy-terminal transmembrane subunit of MUC1 resulting from proteolytic cleavage of the full length protein. MUC1-N is the amino-terminal subunit, which can be tethered to MUC1-C, or released from the plasma membrane. MUC1-C interacts with receptor tyrosine kinases, β-catenin and other signaling proteins, and is thought to induce activation of MAPK, Akt and Wnt pathways. Due to its signaling functions and expression in human cancer, MUC1-C is a potential therapeutic target (reviewed in 9).

Species Reactivity

Species reactivity is determined by testing in at least one approved application (e.g., western blot).

Western Blot Buffer

IMPORTANT: For western blots, incubate membrane with diluted primary antibody in 5% w/v BSA, 1X TBS, 0.1% Tween® 20 at 4°C with gentle shaking, overnight.

Applications Key

W: Western Blotting IHC-P: Immunohistochemistry (Paraffin) IF-IC: Immunofluorescence (Immunocytochemistry)

Cross-Reactivity Key

H: Human

Trademarks and Patents

Cell Signaling Technology is a trademark of Cell Signaling Technology, Inc.

SignalStain is a registered trademark of Cell Signaling Technology, Inc.

All other trademarks are the property of their respective owners. Visit cellsignal.com/trademarks for more information.

Limited Uses

Except as otherwise expressly agreed in a writing signed by a legally authorized representative of CST, the following terms apply to Products provided by CST, its affiliates or its distributors. Any Customer's terms and conditions that are in addition to, or different from, those contained herein, unless separately accepted in writing by a legally authorized representative of CST, are rejected and are of no force or effect.

Products are labeled with For Research Use Only or a similar labeling statement and have not been approved, cleared, or licensed by the FDA or other regulatory foreign or domestic entity, for any purpose. Customer shall not use any Product for any diagnostic or therapeutic purpose, or otherwise in any manner that conflicts with its labeling statement. Products sold or licensed by CST are provided for Customer as the end-user and solely for research and development uses. Any use of Product for diagnostic, prophylactic or therapeutic purposes, or any purchase of Product for resale (alone or as a component) or other commercial purpose, requires a separate license from CST. Customer shall (a) not sell, license, loan, donate or otherwise transfer or make available any Product to any third party, whether alone or in combination with other materials, or use the Products to manufacture any commercial products, (b) not copy, modify, reverse engineer, decompile, disassemble or otherwise attempt to discover the underlying structure or technology of the Products, or use the Products for the purpose of developing any products or services that would compete with CST products or services, (c) not alter or remove from the Products any trademarks, trade names, logos, patent or copyright notices or markings, (d) use the Products solely in accordance with CST Product Terms of Sale and any applicable documentation, and (e) comply with any license, terms of service or similar agreement with respect to any third party products or services used by Customer in connection with the Products.

Orders: 877-616-CELL (2355) [email protected] Support: 877-678-TECH (8324) [email protected] Web: cellsignal.com
For Research Use Only. Not for Use in Diagnostic Procedures.

Revision 6

Cell Signaling Technology Logo
Western blot analysis of extracts from various cell lines using MUC1-C (D5K9I) XP® Rabbit mAb (upper) or β-Actin (D6A8) Rabbit mAb #8457 (lower).
Western Blotting Image 1: MUC1-C (D5K9I) Rabbit Monoclonal Antibody
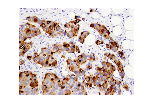
Immunohistochemical analysis of paraffin-embedded human ductal carcinoma of the breast using MUC1-C (D5K9I) XP® Rabbit mAb.
Immunohistochemistry Image 1: MUC1-C (D5K9I) Rabbit Monoclonal Antibody
Immunohistochemical analysis of paraffin-embedded ZR-75-1 (left, positive) and HCT 116 (right, negative) cell pellets using MUC1-C (D5K9I) XP® Rabbit mAb.
Immunohistochemistry Image 2: MUC1-C (D5K9I) Rabbit Monoclonal Antibody
Orders: 877-616-CELL (2355) [email protected] Support: 877-678-TECH (8324) [email protected] Web: cellsignal.com
For Research Use Only. Not for Use in Diagnostic Procedures.

Revision 6

Cell Signaling Technology Logo
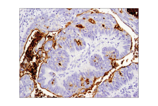
Immunohistochemical analysis of paraffin-embedded human colon carcinoma using MUC1-C (D5K9I) XP® Rabbit mAb.
Immunohistochemistry Image 3: MUC1-C (D5K9I) Rabbit Monoclonal Antibody
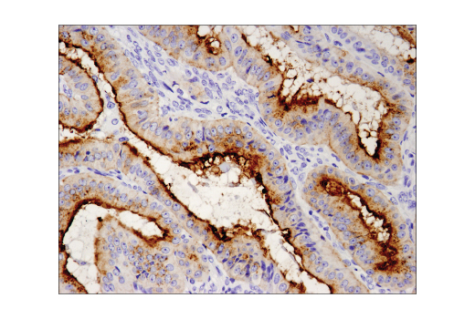
Immunohistochemical analysis of paraffin-embedded human lung carcinoma using MUC1-C (D5K9I) XP® Rabbit mAb.
Immunohistochemistry Image 4: MUC1-C (D5K9I) Rabbit Monoclonal Antibody
Immunohistochemical analysis of paraffin-embedded human endometrioid adenocarcinoma using MUC1-C (D5K9I) XP® Rabbit mAb.
Immunohistochemistry Image 5: MUC1-C (D5K9I) Rabbit Monoclonal Antibody
Orders: 877-616-CELL (2355) [email protected] Support: 877-678-TECH (8324) [email protected] Web: cellsignal.com
For Research Use Only. Not for Use in Diagnostic Procedures.

Revision 6

Cell Signaling Technology Logo
Confocal immunofluorescent analysis of T-47D (left, positive) and SK-MEL-28 (right, negative) cells using MUC1-C (D5K91) XP® Rabbit mAb (green). Actin filaments have been labeled with DyLight™ 554 Phalloidin #13054 (red). Blue pseudocolor = DRAQ5® #4084 (fluorescent DNA dye).
Immunofluorescence Image 1: MUC1-C (D5K9I) Rabbit Monoclonal Antibody
Orders: 877-616-CELL (2355) [email protected] Support: 877-678-TECH (8324) [email protected] Web: cellsignal.com
For Research Use Only. Not for Use in Diagnostic Procedures.